New device technologies for structural heart interventions have become more sophisticated, as indications continue to expand, necessitating advanced real-time imaging to ensure optimal outcomes for greater complexity of these procedures. Intracardiac devices, such as transcatheter edge-to-edge repair (TEER) for treatment of tricuspid regurgitation (TR), have primarily relied on transesophageal echocardiography (TEE) imaging with fluoroscopy to analyze anatomic cardiac structures and provide guidance on proper device deployment. However, the tricuspid valve (TV) and particularly the right ventricle (RV) can be challenging to visualize with TEE due to their anterior location and close proximity to the chest wall. Limitations of TEE, with regard to imaging the TV, include the variable position of the esophagus in relation to the plane of the TV annulus, which limits structural definition of the TV leaflet body. Far-field reverberation is not uncommon and can limit confirmation of sufficient leaflet insertion during grasping.1-3 Because procedural success—defined as optimal leaflet insertion—and a significant reduction in TR are the main predictors of improved clinical outcomes,1 optimal image guidance is necessary.

Data supporting TEER using the MitraClip (Abbott) and other TV devices show reasonable procedural success rate, low mortality, and symptomatic improvement.1,2 TEER in the tricuspid position has been the most frequently utilized transcatheter TV intervention (TTVI) technology, used in two-thirds of patients in a large tricuspid registry.2 All TEER procedures in the tricuspid position were performed using general anesthesia and fluoroscopic and echocardiographic guidance. Real-time, three-dimensional (3D) intracardiac echocardiography (ICE) is a novel technology that has emerged as an alternative or adjunctive intraprocedural imaging tool in TEER of the TV and other TTVI devices. Three-dimensional ICE may overcome several of the limitations of TEE and may serve as a useful adjunct to TEE.

3D ICE IMAGING TECHNOLOGIES

Currently, there are three imaging devices available: the VeriSight Pro ICE (Philips), the Acuson AcuNav Volume ICE (Siemens Healthineers), and the NuVera 3D ICE catheter (Biosense Webster). Each technology has slightly different features.

The VeriSight Pro ICE catheter (Figure 1) is used with the Epiq 7C, CVx, and CVxi cardiology ultrasound systems (Philips) to provide two-dimensional (2D) and 3D live image guidance for a wide range of procedures in structural heart disease and electrophysiology. The VeriSight Pro ICE catheter is 9 F in size, with 840 imaging elements. The catheter has a working length of 90 cm with an articulating segment of 7.5 cm and a deflection range of 120° in four planes (anterior/posterior and left/right). The VeriSight Pro ICE catheter is an xMatrix (Philips) array, which provides a 90° X 90° field of view. The xPlane (Philips) feature allows the ability to simultaneously adjust biplane images. Electronic rotation capabilities (iRotate, Philips) allow the operator to digitally steer within the 90° X 90° volume without moving the catheter. This 3D ICE catheter has multiple imaging modalities, including 2D imaging, color-flow Doppler, live 3D echo, live 3D color-flow Doppler, spectral Doppler, and live xPlane imaging.

Figure 1. The VeriSight Pro ICE catheter.
(Courtesy of Philips.)

The AcuNav Volume ICE catheter (Figure 2) is used with the Acuson SC2000 Prime ultrasound system (Siemens Healthineers) to provide 2D and real-time volume (four-dimensional, 4D) imaging. The AcuNav Volume ICE catheter is 12.5 F in size, with up to 40 volumes per second in 4D B-mode and up to 20 volumes per second in 4D color mode. The catheter provides azimuthal projections, elevation, and coronal planes. The catheter has a working length of 90 cm and a deflection range in four planes (anterior/posterior and left/right). The sector size of the catheter is 90° X 50°. The AcuNav Volume ICE catheter has 2D and 4D imaging, 2D and 4D color-flow Doppler, pulsed-wave, and continuous-wave spectral Doppler.

Figure 2. The Acuson AcuNav Volume ICE catheter.
(Courtesy of Siemens Healthineers.)

The NuVera 3D ICE catheter (Figure 3) is used with the Vivid Ultra Edition ultrasound system (General Electric Healthcare), providing 2D and 3D live image guidance for a wide range of procedures in structural heart disease and electrophysiology. The NuVera 3D ICE catheter is a 10-F catheter with an array that provides a 90° X 90° field of view and 840 imaging elements. The catheter has a working length of 90 cm with a steerable shaft designed to provide independent transducer tip rotation for fine image adjustment and a deflection in two planes (anterior/posterior). The NuVera 3D ICE catheter has multiple imaging modalities including 2D imaging, color-flow Doppler, live 3D echo, live 3D color-flow Doppler, spectral Doppler, and live biplane and triplane imaging.

Figure 3. The NuVera 3D ICE catheter.
(Courtesy of GE Healthcare.)

STRATEGIES AND TECHNIQUES TO ADJUNCTIVELY USE 3D ICE FOR TV TEER LEAFLET INSERTION

Although ICE with 2D views enhances selected TV procedures, extensive catheter manipulation is frequently required to keep the tricuspid clip system in plane during implantation. Three-dimensional ICE guidance for TV TEER is often able to improve TV imaging with minimal manipulation of the ICE catheter. It is often very beneficial to have an operator skillful in reconstructing images, distinct from the operator of the catheter, to facilitate the procedure. This communication is similar to that of the procedural operator with an imaging specialist performing TEE.

Figure 4. 2D ICE view showing all three tricuspid leaflets from the home view. P, posterior leaflet; A, anterior leaflet; S, septal leaflet.

The initial 3D ICE imaging for the TV is the home view position in the right atrium (RA) with and without color to identify all three TV leaflets and origination of the TR jet (Figure 4). Biplane images are obtained to determine the area of maximum regurgitation and full anatomic assessment, including an RV inflow/outflow view (Figure 5). A multiplane reconstruction (MPR) view is obtained by placing the crosshair markers across the TV, creating a 3D en-face view of the TV in real time. Ideally, the aortic valve is placed at the nine o’clock position to help identify all leaflets in a consistent manner, according to this anterior landmark. From this view, anterior, posterior, and septal leaflets are identified (Figure 6). The TV often has more than three leaflets. The steerable guide catheter (SGC) is identified in the RA, and the clip delivery system (CDS; Abbott) is viewed while exiting the SGC. The CDS is steered from the septal side of the RA toward the TV, and the clip is positioned above of the TV regurgitant jet.

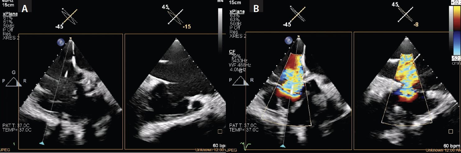
Figure 5. Biplane view showing the TV anatomy (A). Biplane images are obtained to determine the area of maximum regurgitation (B) and full anatomic assessment with an RV inflow/outflow view.

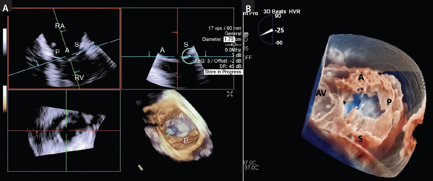
Figure 6. MPR view identifying the TV leaflets in 3D views. Once the RV inflow view (upper left panel) is acquired, multiplane feature simultaneously identifies the orthogonal view (upper right panel), with an en-face reconstructed 2D view (bottom left panel) and 3D en-face atrial view (bottom right panel) with the AcuNav catheter (A) and using the VeriSight Pro (B) in real time. The green circular cursor can be placed to identify the septal, anterior, and posterior leaflet on multiple views. AV, aortic valve.

Orthogonal views with biplane or real-time 3D MPR can be displayed simultaneously (Figure 7). The tricuspid clip is opened above the TV, aligned above the TV, and advanced into the RV just below the targeted leaflets with the orthogonal views as guidance. If the desired grasping area is located along the anteroseptal commissure, the grasping view will typically show the anterior and septal leaflets on top of the tricuspid clip arms (Figure 8). The absence of acoustic interference of the CDS at the level of the tricuspid leaflets is a distinct imaging advantage with 3D ICE. This facilitates proper leaflet grasping with no need for catheter manipulation, allowing the operator to maintain the delivery system in plane throughout grasping. Crosshair alignment of the image is used to properly orient the clip with TV leaflets, confirming of insertion of both anterior and septal leaflets. Doppler flow is used to determine residual regurgitation and need for additional clip placement.

Figure 7. 3D MPR view showing the clip aligned perpendicular to the TV anteroseptal coaptation line. The TV 3D view from the RA is showing the clip perpendicular to the anteroseptal coaptation line prior to entering the RV (A). MPR of the clip in the RV is ready for leaflet grasping (B).

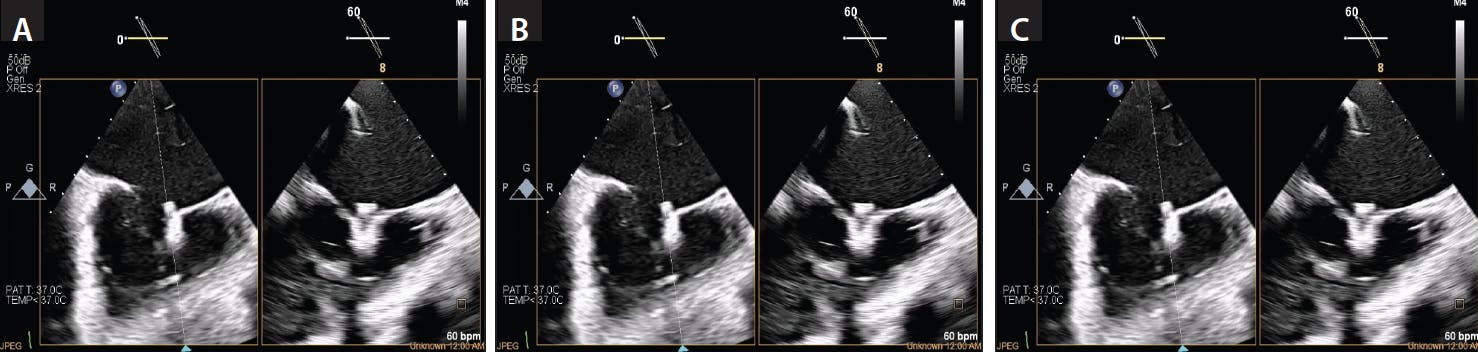
Figure 8. Biplane and MPR views showing the leaflet grasped by the XTR MitraClip. The biplane view is showing confirmation of insertion of both anterior and septal leaflets without (A) and with (B) color with the VeriSight ICE catheter. The MPR reconstruction (C) is also showing confirmation of leaflet grasping with the Acuson ICE catheter.

When additional clips are necessary, TEE biplane imaging is used to align the TV leaflets, and there can be acoustic interference created by the first clip, as well as the clip delivery catheter. Three-dimensional ICE biplane imaging or MPR minimizes the chance of acoustic interference as the imaging catheter lies directly behind the CDS. Proper alignment of the subsequent clip is performed after the same procedural steps as the first clip. MPR is routinely used for the second clip, aligning the crosshairs to the second clip to optimize and confirm leaflet grasping.

CONCLUSION

Real-time 3D ICE is a novel technology useful as an adjunct to TEE to visualize and guide leaflet grasping and confirm leaflet insertion in TV TEER. Due to the ability to deflect in multiple planes, to simultaneously adjust biplane images along with electronic rotation capabilities, and digital steering without moving the catheter, 3D ICE has the potential to overcome many of the current imaging limitations of TEE. Current generations of 3D ICE catheters have some limitations of suboptimal 2D resolution in biplane and MPR modes. Catheter design enhancements, protocols for image guidance, and enhanced experience and education will make 3D ICE a necessary component of TTVI.

1. Mehr M, Taramasso M, Besler C, et al. 1-year outcomes after edge-to-edge valve repair for symptomatic tricuspid regurgitation: results from the TriValve registry. JACC Cardiovasc Interv. 2019;12:1451-1461. doi: 10.1016/j.jcin.2019.04.019

2. Taramasso M, Alessandrini H, Latib A, et al. Outcomes after transcatheter tricuspid valve intervention. Mid-term results from the International TriValve registry. JACC Cardiovasc Interv. 2019;12:155-165. doi: 10.1016/j.jcin.2018.10.022

3. Muraru D, Hahn RT, Soliman OI, et al. 3-dimensional echocardiography in imaging the tricuspid valve. JACC Cardiovasc Imaging. 2019;12:500-515. doi: 10.1016/j.jcmg.2018.10.035

Carlos E. Sanchez, MD
Department of Interventional Cardiology
Riverside Methodist Hospital-OhioHeath
Columbus, Ohio
carlos.sanchez@ohiohealth.com
Disclosures: Consulting fees from Philips.

Steven J. Yakubov, MD
Department of Interventional Cardiology
Riverside Methodist Hospital-OhioHeath
Columbus, Ohio
steven.yakubov@ohiohealth.com
Disclosures: None.