Mitral regurgitation (MR) is the most common valve disease globally and is associated with significant morbidity and mortality.1 Transcatheter edge-to-edge repair (TEER) has assumed an important role in the management of high-risk patients with severe MR and has been incorporated into the latest guidelines.2 The MitraClip device (Abbott) has led the field of TEER and is supported by multiple clinical trials and registries, showing benefit in reducing heart failure (HF) hospitalization and improving survival.3-5 The Pascal device (Edwards Lifesciences) has demonstrated efficacy in improving symptoms, reducing MR, and reducing HF hospitalization and is currently being studied in a noninferiority study against MitraClip.6,7 This article focuses on features of current TEER devices, reviews data supporting TEER in specific anatomies, and provides guidance on patient selection.

MITRACLIP

Since the first successful in-human implantation of MitraClip in 2003, the device has undergone significant iterations to facilitate safe and successful implantation. It is important to recognize that the COAPT pivotal trial used the original “classic” MitraClip, and since then, three generations have been released to market. Initial improvements to the MitraClip system included a more steerable sleeve and changes to the gripper material. The third-generation MitraClip was released in 2018 and included two clip sizes: XTR and NTR. Compared to the NTR clip, the XTR clip has longer grippers (9 vs 6 mm) with two more frictional elements (six vs four rows) and longer arms (12 vs 9 mm). This change led to an increase in the coaptation area by 44%.8 Early experience from a multicenter observational study of 103 patients treated with XTR demonstrated technical success in 93%, with a reduction in MR to ≤ 1+ in 77% of patients at discharge. Failure to grasp, usually in cases with a wide flail gap, was a common cause of procedural failure with the original MitraClip and was not reported in this study. However, 4% of patients needed surgery due to single-leaflet device attachment (SLDA) or leaflet tears, highlighting the importance of leaflet tension when using larger clips.9 Subsequently, the EXPAND registry of 1,041 patients reported MR ≤ 1+ in 89%, with SLDA or leaflet injury in 2.1% of patients.10 The XTR clip was used more frequently in patients with primary MR to more effectively address large flail gaps and complex anatomy.

The most recent iteration of the MitraClip system is the fourth generation (G4), which was released in 2019 (Figure 1). Important improvements in this generation include the addition of two new clip sizes (NTW and XTW), which provide a 50% wider grasping area compared with the available NTR and XTR, as well as the ability to perform independent grasping of leaflets, enhanced continuous left atrial pressure monitoring, and simplified preparation and deployment. These improvements provide operators with more options for treating patients with more complex anatomy, reduce the number of clips implanted, and reduce leaflet stress. An early report of the G4 system in 59 patients reported an MR ≤ 1+ in 93% of cases.11 Subsequently, the EXPAND G4 registry of 529 patients reported an MR ≤ 1+ in 91%, with SLDA/leaflet injury in only 1.1%, despite the use of controlled gripper actuation in 22% of cases.12 Overall, 89% of patients were treated with a wider clip, with no associated increase in mitral gradient compared to narrow clips. In summary, the G4 system allows for tailored TEER with improved MR reduction, safety, and procedural efficiency.

Figure 1. MitraClip system: the delivery system (A), NT/NTW device (B), and XT/XTW device (C). Reproduced with permission of Abbott, 2022. All rights reserved.

PASCAL

The Pascal device received CE Mark approval in 2019 and has some features that distinguish it from the MitraClip device. Among those is a central spacer designed to fill the regurgitant orifice, further reducing MR. The spacer also reduces leaflet approximation force, leading to less tension on the leaflets. The device can be fully elongated, which is a particularly important feature for avoiding entanglement in the subvalvular apparatus and leads to safer atrialization of the device. Moreover, the delivery system is smaller than that of the MitraClip (22 vs 24 F). In addition, the Pascal system does not have a locking mechanism; instead, a nitinol-based passive closing system maintains device closure, reducing leaflet tension. Similarities between the devices include the ability to perform independent grasping (allowing the operator to treat more complex mitral valve pathology) and continuous left atrial pressure monitoring. The Pascal system has two implant sizes: Pascal and Pascal Ace, which has a modified shape and smaller spacer, with lower-profile paddles (6 vs 10 mm) (Figure 2).

Figure 2. Pascal system: the delivery system (A), Pascal device (B), and Pascal Ace device (C). Reproduced with permission of Edwards Lifesciences, 2022. All rights reserved.

The CLASP study included 109 patients with functional and degenerative MR. This study included a broader anatomic inclusion criterion compared to COAPT or EVEREST II. The device was implanted successfully in 95% of patients irrespective of MR etiology, with MR ≤ 1+ in 80% of cases at 30-day follow-up.13 These results were durable at 1-year follow-up with MR ≤ 1+ in 80% of patients. Freedom from HF hospitalization was achieved in 88% of patients (100% for degenerative MR and 80% for functional MR), and survival was 92% (96% for degenerative MR and 89% for functional MR) at 1 year.14 The CLASP IID/IIF trial is an ongoing randomized, noninferiority trial comparing Pascal with MitraClip in patients with both degenerative and functional MR. It will provide important data on the relative efficacy and safety of these devices across the spectrum of mitral anatomic complexity.7

PATIENT SELECTION CONSIDERATIONS FOR TEER

The early clinical trial data for TEER understandably tested these devices in central (A2-P2) mitral valve pathology.5,15 Patients with non-EVEREST mitral anatomy had a higher rate of reintervention with either TEER or surgery using early generation MitraClip devices.16 However, the aforementioned device iterations, as well as advancements in real-time three-dimensional (3D) echocardiography with multiplanar reconstruction, have allowed treatment of more challenging anatomy. In the EXPAND study, 29% of patients had complex anatomy, and the XTR clip was used more frequently in such patients, particularly those with primary MR and large flail gaps.10 However, there is a subset of mitral valve pathologies that is still considered unsuitable for TEER. Multiple studies have used the red-yellow-green analogy to classify factors that determine suitability for TEER and predict outcomes after the procedure.17-20 A recent consensus document from the Heart Valve Collaboratory provides a useful framework for TEER nonsuitability, identifying patients with anatomic features associated with (1) high risk of mitral stenosis (MS) or (2) inability to achieve adequate MR reduction; (3) patient factors precluding procedural success, such as anatomic, imaging, or technical issues; and (4) futility due to cardiac or noncardiac comorbidities.20

Anatomy at Risk for MS After TEER

Mitral valve diseases associated with thickening of the valve, nonpliable leaflets, and involvement of the subvalvular apparatus are associated with a higher risk of MS after TEER. For example, patients with rheumatic MR may have a mitral valve area that appears to be adequate for treatment, and yet TEER may result in an unacceptably high gradient due to stiff, nonpliable leaflets. Similarly, radiation-induced heart disease (Figure 3) and/or severe mitral annular calcification, particularly when there is extension of calcium into the valve leaflet, may result in significant MS or leaflet injury with TEER. Instead, such patients may be considered for transcatheter mitral valve replacement (TMVR). Although a baseline gradient of 5 mm Hg and a mitral valve area of 3.5 cm2 may imply an increased risk for MS after TEER, other factors contribute to the degree of MS after TEER, including cardiac output, heart rate, severity, and etiology of MR. Although it may be feasible to perform TEER in a patient with previous failed mitral annuloplasty ring, there is a higher risk of developing MS after TEER, particularly if the mitral valve orifice is small.21,22 Instead, these patients may be better served by valve-in-ring implantation.

Figure 3. TEE images of a patient with severe functional MR and previous chest radiation with MitraClip nonimplant (ie, attempted TEER with subsequent removal of device due to unacceptable MVG or MR reduction). Severe central MR (A). Baseline mitral valve area, 3.8 cm2 (B). Mild MR after MitraClip XTW implantation (C). Severe MS; MVG = 11 mm Hg (D). The device was removed, and the patient underwent successful TMVR.

Trade-Off Between MR Reduction and MS

As a general principle, MR reduction to ≤ 1+ is the primary goal of TEER because residual MR affects prognosis. This must be counterbalanced with induction of iatrogenic severe MS, as the only solution is usually surgery. Interestingly, in an analysis from the COAPT trial, there was no difference in mortality or HF hospitalization between quartiles of mitral valve gradient (MVG).23 Similarly, in the EXPAND registry, there was no difference in survival between patients with MVG > 5 mm Hg and ≤ 5 mm Hg at 1-year follow-up, for both degenerative MR and functional MR.24 Although MR reduction is more important than induction of mild-moderate MS in most patients, the decision should be individualized for a given patient based on age, activity level, and lifestyle.

Anatomy at Risk for Insufficient MR Reduction

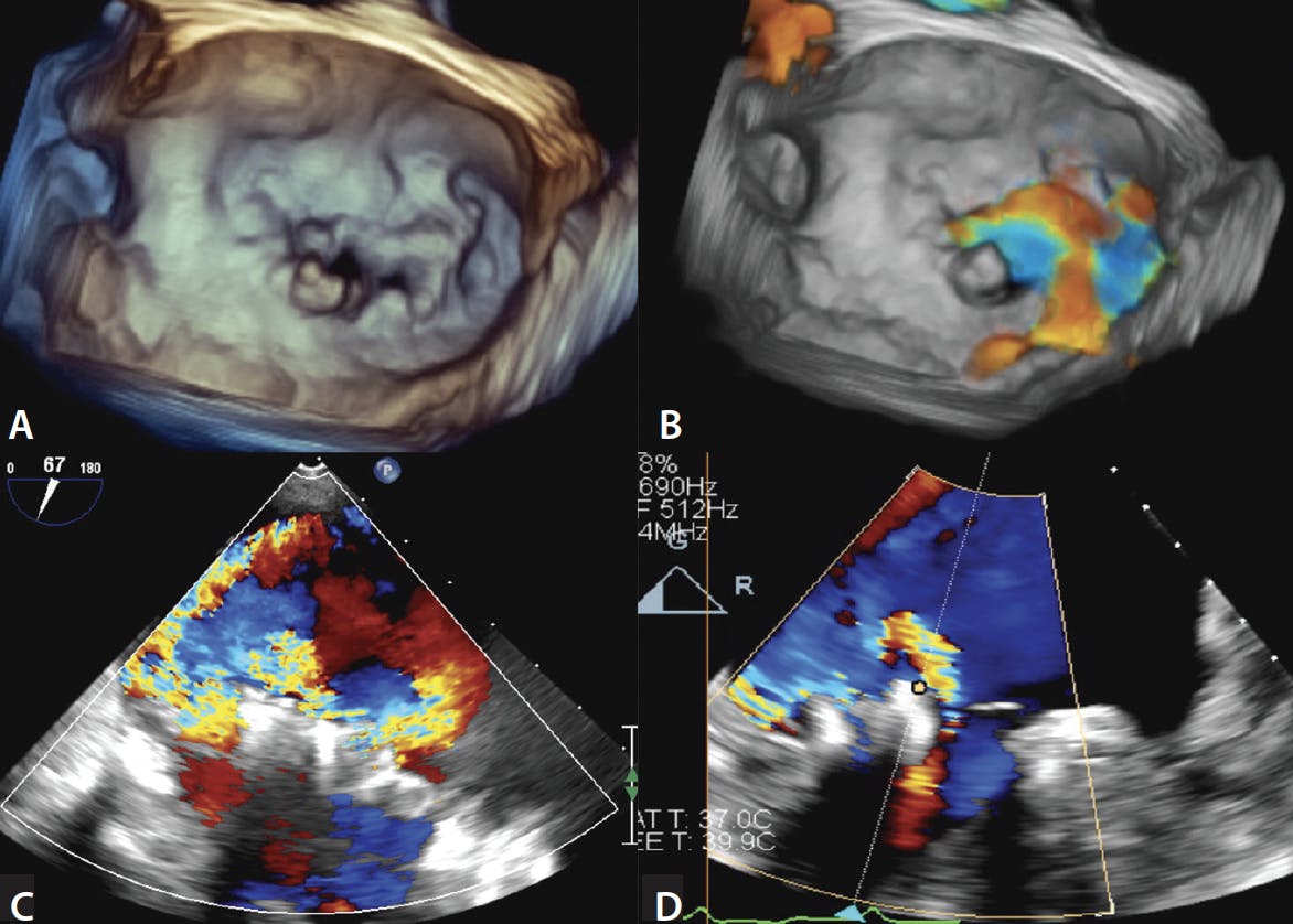
Patients with complex mitral valve pathology, such as Barlow disease with multiple prolapsing segments associated with multiple jets, may have suboptimal MR reduction with TEER, even with current-generation devices (Figure 4). Similarly, patients with active endocarditis or sequelae of previous endocarditis with perforation are other examples of cases in which TEER may not result in a meaningful reduction in MR. These patient subsets should be reconsidered for surgery if the risk is not prohibitive. Patients with a short posterior leaflet (< 5 mm) in the grasping zone such that there is not enough tissue to securely grasp are at risk of SLDA or leaflet injury. These patients may not have a durable result because TEER relies on apposition of ≥ 6 mm of leaflet tissue for stable implantation. Instead, such patients may be better served by TMVR.

Figure 4. TEE images of a patient with severe degenerative MR and Barlow disease with multiple prolapsing segments and MR jets. Baseline 3D TEE (A). 3D TEE with color (B). The patient was initially treated with XTR and NTR clips with moderate MR (not shown). TEE showing severe recurrent MR 1 year later (C). TEE after redo MitraClip XTR with moderate MR (D).

Patient Factors Associated With Inability to Complete the Procedure

Current TEER devices use a transfemoral venous transseptal approach. In the absence of caval connection to the heart, whether congenital or acquired (eg, thrombosed inferior vena cava filter), the ability to deliver devices is lacking. There are reports of successful transjugular or transhepatic approaches being used for TEER, but these should be limited to experienced operators.25,26 The presence of large atrial septal closure devices is an example where transseptal puncture may be challenging. Although there are case reports of successful TEER in such circumstances, this again should be reserved for patients with no other options and in the hands of experienced operators.27 Intracardiac echocardiography (ICE) is an established means of guiding safe transseptal puncture, but transesophageal echocardiography (TEE) remains the gold standard for TEER procedural guidance. Inability to perform TEE due to esophageal pathology or inability to obtain grasping views due to patient anatomy may infrequently preclude patients from safely undergoing TEER. In the future, four-dimensional ICE may provide a useful alternative in such patients, and early reports are encouraging.28

Futility Due to Cardiac or Noncardiac Comorbidities

Prior to considering TEER, the severity of MR should be assessed using quantitative and multiple qualitative and semiquantitative parameters, as recommended by echocardiography guidelines.29-31 Although a recent study from the EXPAND registry comparing COAPT-like patients with non–COAPT-like patients with moderate MR showed a similar reduction in MR and improvement in New York Heart Association functional class at 1 year in both groups, there are no randomized data to support TEER in patients with less than moderate to severe MR.32 Similarly, TEER is not recommended for patients with other cardiac and noncardiac terminal diseases with an expected prognosis of < 12 months.

CONCLUSION

TEER has assumed a central role in the management of high-risk patients with MR. Currently, MitraClip and Pascal, each with their own unique features, are being used to tackle this common condition. Through a process of innovative device iteration, current TEER devices allow operators to tailor treatment of complex anatomy with unparalleled procedural success, efficiency, and safety. However, nuanced patient selection remains central to successful TEER, with careful consideration of anatomy, clinical factors, and imaging.

1. Bonow RO, O’Gara PT, Adams DH, et al. 2020 focused update of the 2017 ACC expert consensus decision pathway on the management of mitral regurgitation: a report of the American College of Cardiology Solution Set Oversight Committee. J Am Coll Cardiol. 2020;75:2236-2270. doi: 10.1016/j.jacc.2020.02.005

2. Otto CM, Nishimura RA, Bonow RO, et al. 2020 ACC/AHA guideline for the management of patients with valvular heart disease: a report of the American College of Cardiology/American Heart Association Joint Committee on Clinical Practice Guidelines. Circulation. 2021;143:e72-e227. doi: 10.1161/CIR.0000000000000923

3. Feldman T, Kar S, Elmariah S, et al. Randomized comparison of percutaneous repair and surgery for mitral regurgitation: 5-year results of EVEREST II. J Am Coll Cardiol. 2015;66:2844-2854. doi: 10.1016/j.jacc.2015.10.018

4. Lim DS, Reynolds MR, Feldman T, et al. Improved functional status and quality of life in prohibitive surgical risk patients with degenerative mitral regurgitation after transcatheter mitral valve repair. J Am Coll Cardiol. 2014;64:182-192. doi: 10.1016/j.jacc.2013.10.021

5. Stone GW, Lindenfeld J, Abraham WT, et al. Transcatheter mitral-valve repair in patients with heart failure. N Engl J Med. 2018;379:2307-2318. doi: 10.1056/NEJMoa1806640

6. Praz F, Spargias K, Chrissoheris M, et al. Compassionate use of the PASCAL transcatheter mitral valve repair system for patients with severe mitral regurgitation: a multicentre, prospective, observational, first-in-man study. Lancet. 2017;390:773-780. doi: 10.1016/S0140-6736(17)31600-8

7. Edwards PASCAL CLASP IID/IIF pivotal clinical trial (CLASP IID/IIF). Clinicaltrials.gov website. Accessed July 28, 2022. https://clinicaltrials.gov/ct2/show/NCT03706833

8. Mackensen GB, Reisman M. Edge-to-edge repair of the mitral valve with the Mitraclip system: evolution of leaflet grasping technology. Struct Heart. 2019;3:341-347. doi: 10.1080/24748706.2019.1627015

9. Praz F, Braun D, Unterhuber M, et al. Edge-to-edge mitral valve repair with extended clip arms: early experience from a multicenter observational study. JACC Cardiovasc Interv. 2019;12:1356-1365. doi: 10.1016/j.jcin.2019.03.023

10. Kar S, Rottbauer W, Mahoney P, et al. Core-lab adjudicated contemporary clinical outcomes at 1 year with MitraClip™ (NTR/XTR) System from Global EXPAND Study. Presented at: TCT Connect 2020; October 14-18, 2020; virtual presentation.

11. Chakravarty T, Makar M, Patel D, et al. Transcatheter edge-to-edge mitral valve repair with the MitraClip G4 system. JACC Cardiovasc Interv. 2020;13:2402-2414. doi: 10.1016/j.jcin.2020.06.053

12. Rodriguez E, Denti P, Bedogni F, et al. EXPAND G4: core laboratory echocardiographic outcomes from a multicenter study of a fourth generation TEER system to treat mitral regurgitation. Presented at: Transcatheter Cardiovascular Therapeutics (TCT) 2021; November 4-6, 2021; Orlando, Florida.

13. Lim DS, Kar S, Spargias K, et al. Transcatheter valve repair for patients with mitral regurgitation: 30-day results of the CLASP study. JACC Cardiovasc Interv. 2019;12:1369-1378. doi: 10.1016/j.jcin.2019.04.034

14. Webb JG, Hensey M, Szerlip M, et al. 1-year outcomes for transcatheter repair in patients with mitral regurgitation from the CLASP study. JACC Cardiovasc Interv. 2020;13:2344-2357. doi: 10.1016/j.jcin.2020.06.019

15. Feldman T, Foster E, Glower DD, et al. Percutaneous repair or surgery for mitral regurgitation. N Engl J Med. 2011;364:1395-406. doi: 10.1056/NEJMoa1009355

16. Lesevic H, Karl M, Braun D, et al. Long-term outcomes after MitraClip implantation according to the presence or absence of EVEREST inclusion criteria. Am J Cardiol. 2017;119:1255-1261. doi: 10.1016/j.amjcard.2016.12.027

17. Salvatore T, Ricci F, Dangas GD, et al. Selection of the optimal candidate to MitraClip for secondary mitral regurgitation: beyond mitral valve morphology. Front Cardiovasc Med. 2021;8:585415. doi: 10.3389/fcvm.2021.585415

18. Ben-Shoshan J, Overtchook P, Buithieu J, et al. Predictors of outcomes following transcatheter edge-to-edge mitral valve repair. JACC Cardiovasc Interv. 2020;13:1733-1748. doi: 10.1016/j.jcin.2020.03.025

19. Boekstegers P, Hausleiter J, Baldus S, et al. Percutaneous interventional mitral regurgitation treatment using the Mitra-Clip system. Clin Res Cardiol. 2014;103:85-96. doi: 10.1007/s00392-013-0614-x

20. Lim DS, Herrmann HC, Grayburn P, et al. Consensus document on non-suitability for transcatheter mitral valve repair by edge-to-edge therapy. Struct Heart. 2021;5:227-233. doi: 10.1080/24748706.2021.1902595

21. Agricola E, Taramasso M, Marini C, et al. First-in-man MitraClip implantation to treat late postoperative systolic anterior motion: rare cause of tardive mitral repair failure. Circ Cardiovasc Interv. 2014;7:860-862. doi: 10.1161/CIRCINTERVENTIONS.114.001579

22. Hanson ID, Hanzel GS, Shannon FL. Mitral valve repair after annuloplasty ring dehiscence using MitraClip. Catheter Cardiovasc Interv. 2016;88:301-306. doi: 10.1002/ccd.26169

23. Halaby R, Herrmann HC, Gertz ZM, et al. Effect of mitral valve gradient after MitraClip on outcomes in secondary mitral regurgitation: results from the COAPT Trial. JACC Cardiovasc Interv. 2021;14:879-889. doi: 10.1016/j.jcin.2021.01.049

24. Singh G, Price M, von Bardeleben S, et al. Impact of mitral valve gradient on clinical outcomes, results from the MitraClip ™ EXPAND study. Presented at: TVT 2021; July 20-22, 2021; Miami Beach, Florida.

25. Fam NP, Ho EC, Ahmed N, Edwards J. First transjugular edge-to-edge mitral valve repair with the MitraClip system. EuroIntervention. 2017;13:284-285. doi: 10.4244/EIJ-D-17-00164

26. de Brito FS, Jr., Nasser F, Gobbo R, et al. Percutaneous transhepatic mitral valve repair with the MitraClip System. JACC Cardiovasc Interv. 2018;11:e109-e111. doi: 10.1016/j.jcin.2018.02.013

27. Mehta R, Hudock K, Shreenivas S. How to go trans-septal if the door is closed: Mitraclip placement in a patient with prior atrial septal defect closure device with the assistance of 3-D printing. Struct Heart. 2019;3:158-159.
doi: 10.1080/24748706.2018.1554276

28. Sanchez CE, Yakubov SJ, Singh G, et al. 4-dimensional intracardiac echocardiography in transcatheter mitral valve repair with the Mitraclip system. JACC Cardiovasc Imaging. 2021;14:2033-2040. doi: 10.1016/j.jcmg.2020.08.042

29. Hahn RT, Saric M, Faletra FF, et al. Recommended standards for the performance of transesophageal echocardiographic screening for structural heart intervention: from the American Society of Echocardiography. J Am Soc Echocardiogr. 2022;35:1-76. doi: 10.1016/j.echo.2021.07.006

30. Zoghbi WA, Asch FM, Bruce C, et al. Guidelines for the evaluation of valvular regurgitation after percutaneous valve repair or replacement. J Am Soc Echocardiogr. 2019;32:431-475. doi: 10.1016/j.echo.2019.01.003

31. Zamorano JL, Badano LP, Bruce C, et al. EAE/ASE recommendations for the use of echocardiography in new transcatheter interventions for valvular heart disease. Eur J Echocardiogr. 2011;12:557-584. doi: 10.1093/ejechocard/jer086

32. Tang G, Mahoney P, Bardeleben RS, et al. One-year outcomes in patients with secondary MR outside the COAPT criteria: from the MitraClip Global EXPAND study. Presented at: TVT 2022; June 8-10, 2022; Chicago, Illinois.

Loai Almazroa, MD, FRCPC
Division of Cardiology
St. Michael’s Hospital
University of Toronto
Toronto, Ontario, Canada
loai.almazroa@unityhealth.to
Disclosures: None.

Neil P. Fam, MD, MSc
Division of Cardiology
St. Michael’s Hospital
University of Toronto
Toronto, Ontario, Canada
neil.fam@unityhealth.to
Disclosures: Consultant to Abbott Vascular and Edwards Lifesciences.