Raghav Gattani, MD
Virginia Heart/Inova Schar Heart and Vascular Institute
Falls Church, Virginia
rgattani@virginiaheart.com
Disclosures: None.

Lindsey Cilia, MD, FACC, FSCAI
Virginia Heart/Inova Schar Heart and Vascular Institute
Falls Church, Virginia
lcilia@virginiaheart.com
Disclosures: Speaker/consultant for Abbott Vascular, Boston Scientific Corporation, and Abiomed.

Wiring a coronary artery stenosis is often the rate-limiting (and arguably most critical) step in percutaneous coronary intervention (PCI). Coronary guidewires consist of three key components—coating, core, and tip—each conferring a distinct functional property.1 Traditionally, workhorse coronary wires are used for primary wiring in routine, noncomplex, and nonchronic total occlusion lesions. However, with the advent of contemporary medical therapy, interventional cardiologists are increasingly encountering complex, calcified coronary anatomy that is challenging to wire.2 In these patients, standard workhorse wires fail, prompting escalation to high-tip-load, polymer-jacketed wires—an approach associated with an increased risk for wire-related complications, including perforation. This underscores the need for a workhorse wire that bridges the gap between conventional workhorse and escalation wires while maintaining a favorable safety profile.

RUNTHROUGH® NS IZANAI®: DESIGNED FOR COMPLEX ANATOMY

The Runthrough® NS Izanai® Coronary Guidewire (Terumo Interventional Systems) is one such wire designed to combine enhanced trackability and support with a soft and low tip weight design, making it well suited to navigate complex anatomy without compromising safety. The Runthrough NS Izanai is a 0.6-gf workhorse wire that features an extended hydrophilic coating (approximately 25 cm of Terumo’s M-coat) that enhances trackability and lubricity, approaching the performance of polymer-jacketed wires but without the associated risks. These properties make it ideal for upfront primary wiring in challenging calcific and tortuous anatomy, potentially reducing the need for wire escalation or exchange.3 Wire durability is further supported by its nitinol core-to-tip construction, which offers excellent tip resilience. Additionally, its direct-joint DuoCore™ technology connects two distinct metal segments to provide 1:1 torque response and precise steerability, advantages that are particularly useful when wiring angulated side branches or bifurcations. Finally, the wire is available with a white or blue proximal shaft to allow easy identification when selected as a secondary wire. The features of the Runthrough NS Izanai wire are summarized in Table 1.

NAVIGATING BALLOON-UNCROSSABLE LESIONS WITH TAKERU®

Once a complex lesion is successfully wired, the next challenge often lies in lesion preparation. In the setting of severely stenotic calcific, tortuous, or bifurcation anatomy, lesions can not only be difficult to wire but also resistant to balloon advancement. Such balloon-uncrossable lesions are a well-recognized obstacle in contemporary PCI and frequently require low-profile, high-crossability balloon platforms to initiate lesion modification.4 The Takeru® PTCA Balloon Dilatation Catheter (Terumo Interventional Systems) was designed specifically to meet this need. It is available in semicompliant (SC), noncompliant (NC), and over-the-wire variants, with the smallest SC Takeru balloon available in a 1.5-mm diameter to enable a lower entry profile than the leading 1.2-mm balloons. The NC Takeru balloon also has a low-entry profile. Unlike standard NC balloons, the NC Takeru balloon provides superior pushability and tighter rewrap, allowing it to cross heavily calcified lesions where standard NC balloons often fail. Despite its slim profile, the NC Takeru can deliver up to 20 atm of rated burst pressure, providing the force necessary for effective plaque modification.5


Successful PCI of Native Ramus Occlusion in Post-CABG Patient

PATIENT PRESENTATION

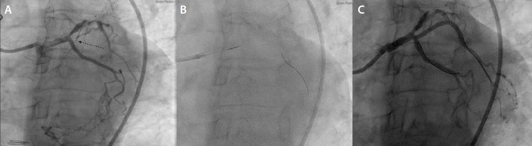
A man in his early 60s with a history of hypertension, hyperlipidemia, current tobacco use, and prior coronary artery bypass grafting (CABG) (left internal mammary artery [LIMA]–left anterior descending artery [LAD], saphenous vein graft [SVG]–ramus artery), presented to an outside hospital with intermittent chest pain lasting 1 week. In the emergency department, an electrocardiogram showed lateral ST depression and an elevated high-sensitivity cardiac troponin of 900 ng/L, which peaked at 1,900 ng/L. Transthoracic echocardiography showed preserved left ventricular ejection fraction (LVEF) with anterolateral akinesis. Coronary angiography demonstrated an occluded SVG-to-ramus, patent LIMA-to-LAD, and severe native triple-vessel disease, including subtotal occlusion of the native ostial ramus (arrow) (Figure 1A). No percutaneous intervention was performed at the outside hospital. He was managed medically with heparin infusion for 48 hours and discharged on dual antiplatelet therapy with aspirin and clopidogrel. At follow-up with his primary cardiologist, the patient continued to report recurrent angina despite maximally tolerated medical therapy. He was subsequently referred to our center for evaluation and consideration of native ramus revascularization. After discussing the risks and benefits of the procedure, we decided to proceed with PCI.

Figure 1. Coronary angiography demonstrating an occluded SVG-to-ramus, patent LIMA-to-LAD, and severe native triple-vessel disease, including subtotal occlusion of the native ostial ramus (arrow) (A). The ostial ramus subtotal occlusion was successfully wired (B). A drug-eluting stent was deployed and postdilated, yielding an excellent result with no complications (C).

PROCEDURAL OVERVIEW

The right common femoral artery was accessed using a micropuncture kit under ultrasound guidance. A 7-F Pinnacle® sheath (Terumo Interventional Systems) was inserted over a 0.035-inch wire. A 7-F EBU 3.5 guiding catheter (Medtronic) was seated in the left main coronary artery. Using a Runthrough NS Izanai coronary wire loaded in a Turnpike™ LP microcatheter (Teleflex), the ostial ramus subtotal occlusion was successfully wired (Figure 1B). Luminal positioning was confirmed, followed by serial balloon dilations. A 2.5- X 33-mm Xience Skypoint™ drug-eluting stent (Abbott) was deployed and postdilated with a 3-mm NC balloon, with an excellent result and no complications (Figure 1C).

Use of an OptiCross™ intravascular ultrasound (IVUS) catheter (Boston Scientific Corporation) confirmed well-apposed and expanded stents, with a minimal stent area of 7 mm2. The femoral artery sheath was removed and hemostasis was obtained using an Angio-Seal® vascular closure device (Terumo Interventional Systems).


High-Risk Multivessel PCI in NSTEMI Patient

PATIENT PRESENTATION

A man in his mid 80s with a history of coronary artery disease after remote right coronary artery PCI, hypertension, and type 2 diabetes, presented at an outside hospital with epigastric and substernal pain of 2 to 3 weeks’ duration. He was ruled in for non–ST-segment myocardial infarction and initiated on heparin infusion. The patient underwent coronary angiography, which showed three-vessel disease. Transesophageal echocardiography demonstrated overall preserved LVEF with inferior wall motion abnormalities.

He was transferred to our institution on a Friday for surgical evaluation; due to a high Society of Thoracic Surgeons Predicted Risk of Mortality score, he was deemed a prohibitive candidate for CABG and was referred for high-risk multivessel PCI. After a heart team discussion, the plan was to proceed with multivessel PCI the following Monday. However, he developed worsening chest pain with new inferior T wave inversions over the weekend and was taken urgently to the cardiac catheterization lab for right coronary artery PCI, with plans for staged LAD and left circumflex artery revascularization.

PROCEDURAL OVERVIEW

The right common femoral artery was accessed under ultrasound guidance using a micropuncture kit. A 6-F sheath was placed, and a 6-F AL 0.75 guide catheter (Medtronic) was used to intubate the right coronary artery. Coronary angiography revealed severe, calcific stenosis in the mid to distal right coronary artery (Figure 2A). The lesion was successfully crossed with a Runthrough NS Izanai coronary guidewire delivered through a Turnpike LP microcatheter, and the wire was advanced into the patent ductus arteriosus (Figure 2B). Despite Guideliner™ (Teleflex) support, a 2- X 8-mm SC balloon failed to cross the lesion. The balloon was then downsized to a 1.5- X 12-mm RX Takeru® balloon, which successfully crossed the stenosis and was inflated to 12 atm (Figure 2C). Serial balloon dilations were performed, followed by IVUS, which revealed a calcific nodule with 360° calcium and a < 3.5-mm vessel diameter at the lesion site (IVUS calcium score, 3). Given these findings, intravascular lithotripsy (IVL) was performed using a 3- X 12-mm Shockwave™ IVL balloon catheter (Shockwave Medical), followed by stenting with a 3- X 38-mm Resolute Onyx™ drug-eluting stent (Medtronic). Postdilation was completed with a 3-mm NC balloon, resulting in an excellent angiographic and IVUS outcome (Figure 2D).

Figure 2. Coronary angiography revealed severe, calcific stenosis in the mid to distal right coronary artery (A). The lesion was crossed with a coronary guidewire that was advanced into the patent ductus arteriosus (B). An SC balloon failed to cross the lesion. The balloon was downsized to a 1.5- X 12-mm RX Takeru balloon that successfully crossed the stenosis and was inflated to 12 atm (C). Postdilatation with a 3- X 38-mm Resolute Onyx resulted in an excellent angiographic outcome (D).

The femoral sheath was removed and hemostasis was achieved using a Perclose ProGlide® vascular closure device (Abbott).

1. Cook J. Fundamentals of coronary interventional equipment. Intervent Cardiol. Published online December 8, 2023. doi: 10.37532/1755- 5310.2023.15(S20).492

2. Rozenbaum Z, Takahashi T, Kobayashi Y, et al. Contemporary technologies to modify calcified plaque in coronary artery disease. Prog Cardiovasc Dis. 2021;69:18-26. doi: 10.1016/j.pcad.2021.07.00

3. Goldberg SM, Moses JW, Parashara DK, et al. Guidewires—expert round table. US Cardiol Rev. 2008;5:34-38. doi: 10.15420/usc.2008.5.1.34

4. McQuillan C, Jackson MWP, Brilakis ES, Egred M. Uncrossable and undilatable lesions–a practical approach to optimizing outcomes in PCI. Catheter Cardiovasc Interv. 2021;97:121-126. doi: 10.1002/ccd.29001

5. RX Takeru PTCA Balloon Dilatation Catheter [Instructions for Use]. Teurmo: 2020. Accessed July 20, 2025. https://www.terumois.com/en-us/product-assets/ptca-balloon-family/RX-Takeru-IFU.pdf