George Chrysant, MD
Chief Medical Officer
INTEGRIS Health Heart Hospital
Oklahoma City, Oklahoma
Disclosures: Consultant to Abbott Vascular, Boston Scientific, Medtronic, Penumbra, Philips, and Shockwave.

Aspiration thrombectomy has become an essential tool in the management of thrombotic occlusions, with advancements in technology continuously refining the safety and efficacy of these devices. The evolution of thrombectomy in the coronary space began with manual aspiration and has progressed to more advanced devices, such as CAT™ RX (Penumbra, Inc.), designed for coronary thrombus removal in acute coronary syndrome. Clinical data from the CHEETAH* study and real-world experience have demonstrated the benefits of upfront aspiration thrombectomy with CAT RX*, particularly in cases with high thrombus burden.

Beyond coronary aspiration, the field has seen significant advancements for the treatment of pulmonary embolism (PE) with the introduction of Lightning Flash™ 2.0 (Penumbra, Inc.) with Computer Assisted Vacuum Thrombectomy (CAVT™) technology. Lightning Flash 2.0 features next-generation dual clot detection algorithms engineered to quickly and accurately engage and ingest thrombus. In addition, the microprocessor allows for real-time audiovisual cues to indicate the presence of thrombus, allowing operators to streamline thrombus removal.

The system applies modulated “stress” multiple times per second. In contrast, other analog-style devices utilize static aspiration, which lose vacuum quickly without a continuous source and without modulation. To compensate, these devices often rely on larger catheters, funnels, and ancillary devices at the cost of longer procedure times.

Figure 1 illustrates an S-N curve (ie, stress over time in a procedure). CAVT’s modulation sequence applies stress to clot at approximately 1,000 cycles per minute, engineered for expedited clot removal. CAVT is designed to optimize speed, safety, and simplicity throughout the entire procedure.

Figure 1. Theoretical S-N Curve (stress amplitude—number of cycles to failure): clot ingestion illustration.

Recognizing the importance of PE access, Penumbra has developed the Select +™ and Element™ Vascular Access system. The Select + catheter is designed to aid the Flash system’s navigation through tortuous pulmonary anatomy, enhancing vessel selection and improving the system’s ability to access clot burden. Element is the first laser-cut hypotube sheath designed specifically for venous thromboembolism (VTE) procedures, providing enhanced trackability and stability and facilitating smooth device delivery during VTE interventions. This sheath features the novel HemoLock™ Valve system (Penumbra, Inc.), designed to ensure hemostasis and give physicians a heightened level of control through dual valve engineering.

The following cases illustrate the benefits of CAT RX for coronary aspiration and the application of CAVT in the treatment of PE.


ACUTE BILATERAL AND SADDLE PE THROMBECTOMY WITH LIGHTNING FLASH 2.0

Nikoloz Shekiladze, MD
Interventional Cardiology
Emory University School of Medicine
Atlanta, Georgia
Disclosures: None.

PATIENT PRESENTATION

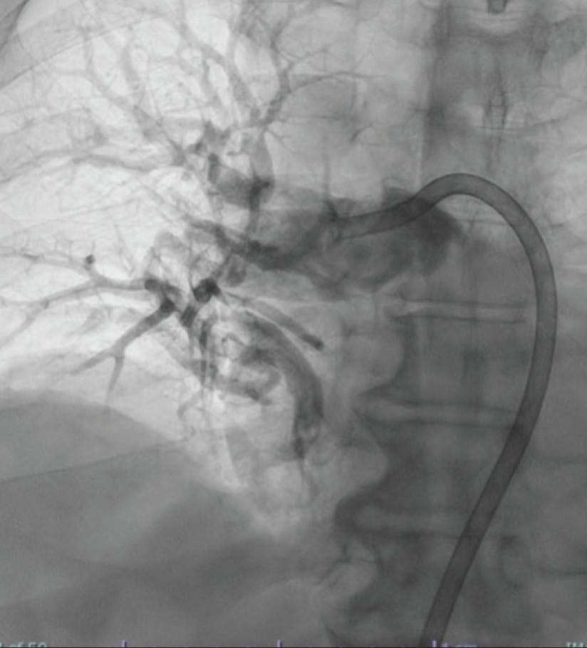
A woman in her early 70s with a medical history of hypertension, hyperlipidemia, peripheral artery disease, type 2 diabetes mellitus, and a recent diagnosis of stage IV pancreatic cancer presented to the emergency department with hour-long chest pain and dyspnea, as well as cramping in the right calf. She underwent the CT pulmonary embolism (PE) protocol, which showed significant clot burden with a saddle PE extending into the bilateral main pulmonary arteries (PAs) (Figure 1 and Figure 2). Her lactate level was 8.2 mmol/L. She was started on a heparin drip and had evidence of hypoxia that required 3 L of nasal cannula. Initial vitals recorded a blood pressure of 117/82 mm Hg, heart rate of 96 bpm, SpO2 of 87%, and respiratory rate of 31 breaths per minute. There was evidence of right heart strain with a right ventricular/left ventricular (RV/LV) ratio of 1.4 by CT, as well as a high PE Severity Index. Given the large clot burden, marginal hemodynamics, and hypoxia, we decided to move forward with CAVT with Lightning Flash 2.0.

Figure 1. Initial angiogram of the left lobe.

Figure 2. Initial angiogram of the right lobe.

INTERVENTION

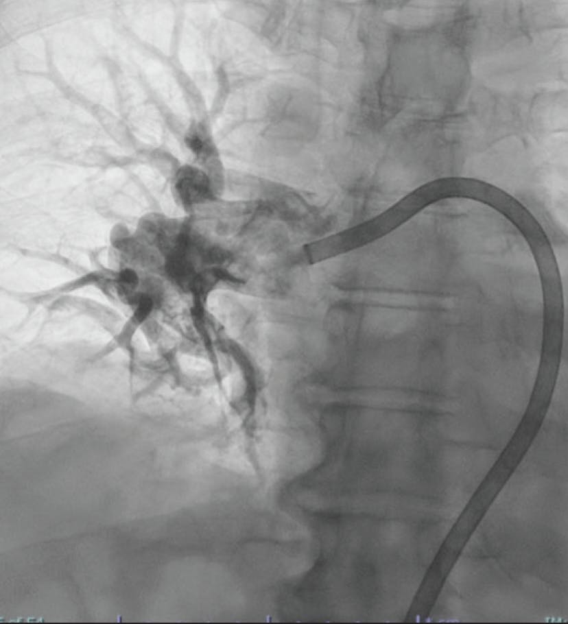
After achieving wire access, the Lightning Flash 2.0 was inserted. While in “Gallop Mode,” the saddle clot burden and subsequently the left and right main PAs were aspirated. Once the algorithm returned to “Sampling Mode,” aspiration was turned off and angiograms were obtained to assess the progress. After 5 minutes of aspiration, reperfusion of the main PAs and distal branches was achieved (Figure 3, Figure 4, and Figure 5), with improvement in the patient’s vital signs and no device-related complications.

Figure 3. Postthrombectomy angiogram of the left lobe.

Figure 4. Postthrombectomy angiogram of the right lobe.

Figure 5. Thrombus removed.

CONCLUSION

Lightning Flash 2.0 performed exceptionally and was the truly best option for this case due to its speed and safety in getting the patient off the table. CAVT offers the most advanced form of thrombectomy on the market and is our go-to treatment for intermediate- to high-risk PE.


RIGHT-SIDED PE MANAGEMENT WITH LIGHTNING FLASH 2.0 AND ELEMENT VASCULAR ACCESS SYSTEM

Raj Kakarla, MD
Interventional Radiology
Mercyhealth Hospital and Medical Center
Rockford, Illinois
Disclosures: Speaker/consultant for Penumbra; medical advisory board, Boston Scientific Corporation.

CASE PRESENTATION

A man in his mid 70s with history of prostate cancer, currently undergoing chemotherapy, presented with severe hypotension and mild hypoxia.

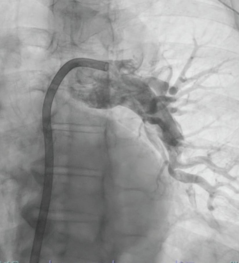
Figure 1. Angiogram depicting the Element sheath in the main PA.

Upon examination, the patient was diaphoretic and experiencing no chest pain. He had elevated troponins, as well as an elevated brain natriuretic peptide (BNP). The patient was contraindicated to thrombolytics due to a recent spinal surgery. CT revealed a massive saddle PE and RV/LV ratio of 2.7, indicating significant RV strain.

Figure 2. Angiogram depicting the Lightning Flash aspiration catheter through the Element sheath.

INTERVENTION

After gaining access in the right common femoral vein under ultrasound guidance, we selectively catheterized the PA over a 0.035-inch exchange guidewire and a 5-F pigtail catheter. We advanced into the distal, right, lower lobar PA, then exchanged the guidewire for a 1-cm, floppy-tip, 0.035-inch stiff Amplatz. Sheath exchange was performed for Penumbra’s 17-F Element sheath and dilator. Element features a HemoLock valve system, designed to ensure hemostasis, and a laser-cut hypotube design to help maintain stepwise support throughout the vasculature. Penumbra’s Lightning Flash 2.0 was inserted, and aspiration was performed in the right main, interlobar, and descending vessels, then into the upper lobar artery. The Element sheath allowed easy access to the left PA, where thrombectomy was performed in similar fashion. After 20 minutes of device time, clot was removed and reperfusion was achieved with an estimated blood loss of 150 mL.

Figure 3. Thrombus removed from the right PA.

CONCLUSION

Postprocedure, mean PA pressures decreased from 38 mm Hg to 21 mm Hg and oxygen saturation increased from 87% to 95%. The flexibility and torque-ability of the Lightning Flash 2.0 catheter paired with the foundational support of the Element sheath allowed for excellent angiographic and clinical success. Thanks to Penumbra’s VTE platform, complete with their Element sheath, we were well equipped to take on this case with confidence and perform it with ease.

Figure 4. Thrombus removed from the left PA.


Anjan Gupta, MD, FACC, FSCAI
Cardiac Cath Lab Director
UH Portage Medical Center
Clinical Assistant Professor of Medicine
Case Western Reserve University
Cleveland, Ohio
Disclosures: Consultant to Penumbra, Inc.

Rafey Feroze, MD
Interventional Cardiology Fellow
University Hospitals Cleveland
Case Western Reserve University
Cleveland, Ohio
Disclosures: None.

Recent findings presented at TCT 2024 validate the benefits of upfront mechanical thrombectomy using CAT RX* in patients with high thrombus burden undergoing percutaneous coronary intervention. In a retrospective comparative analysis of ST-segment elevation myocardial infarction* patients treated between 2019 and 2023 at University Hospitals–affiliated centers, those who received CAT RX before balloon angioplasty demonstrated significantly improved angiographic and procedural outcomes compared to patients who received balloon angioplasty prior to salvage thrombectomy.1

Patients treated with frontline CAT RX had superior myocardial perfusion, with higher final thrombolysis in myocardial infarction (TIMI) 3 flow (90.1% vs 32.1%; P < .005) and improved myocardial blush grade (grade 3) at the end of the procedure (84.9% vs 14.2%; P < .005). Additionally, upfront thrombectomy was associated with reduced reliance on glycoprotein IIb/IIIa, decreased radiation exposure, and shorter case times (Table 1).

These findings reinforce that thrombus removal prior to balloon angioplasty optimizes perfusion and potentially reduces procedural complexity. Notably, upfront thrombectomy with CAT RX was found to be safe, with no difference in major adverse cardiovascular events compared to salvage thrombectomy. These results are consistent with the CHEETAH study, further supporting frontline aspiration as a critical strategy to improve procedural and clinical outcomes in high-risk patients.

To illustrate this, we present two cases that highlight the impact of these strategies on case success.

*The safety and effectiveness of this device for use in the treatment of ST-elevation myocardial infarction (STEMI) has not been established. Complications from the use of this device in this manner could lead to death, permanent impairment, and/or the need for emergency medical intervention.

Procedural outcomes were decreased radiation exposure and shorter case times as described above.

1. Sattouf Z, Nasif D, Tashtish N, et al. Utilization of upfront mechanical thrombectomy is associated with better immediate outcomes in patients with ST elevation myocardial infarction. 2024;84(18 suppl):B399.


UPFRONT USE OF CAT RX IN ACUTE MI WITH LARGE THROMBUS BURDEN

By Anjan Gupta, MD, FACC, FSCAI, and Rafey Feroze, MD

CASE PRESENTATION

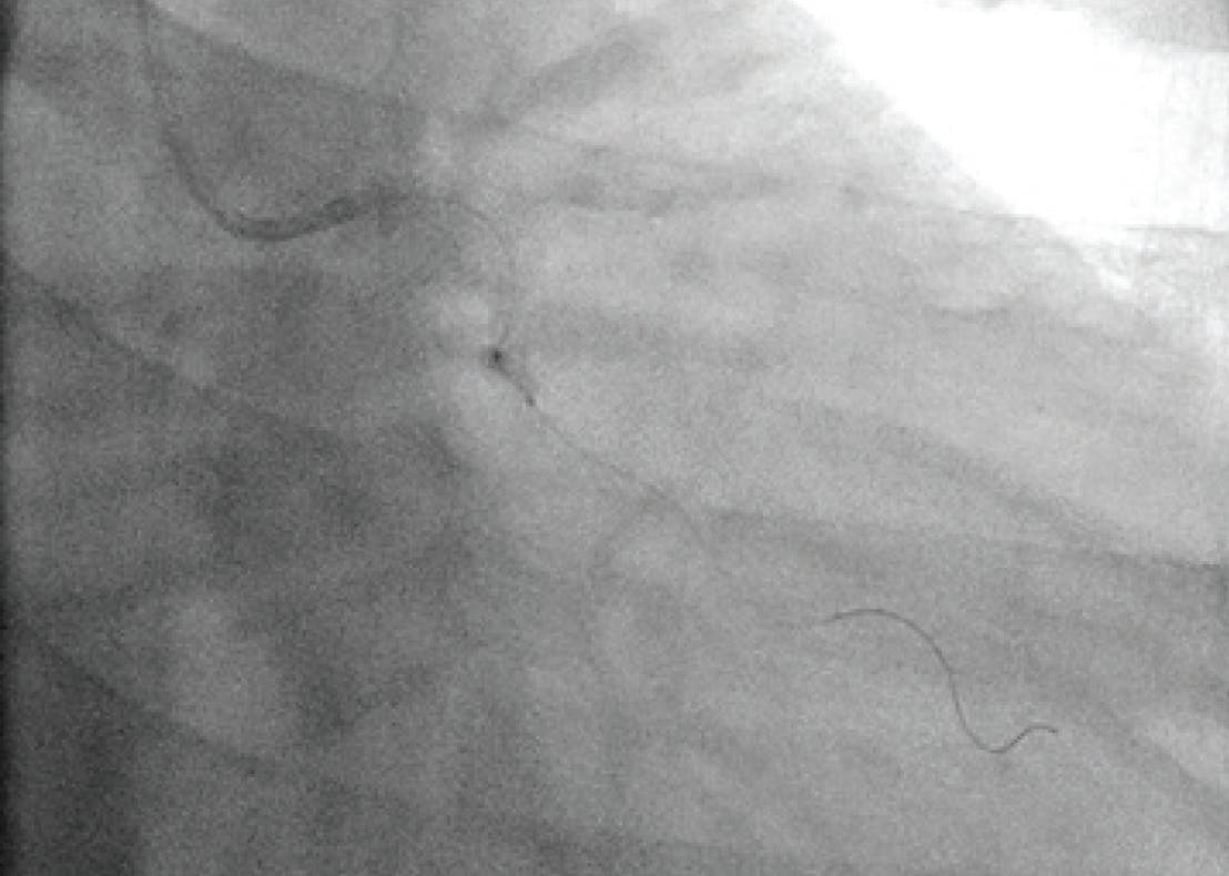
A man in his late 70s with hypertension, diabetes, and metabolic syndrome woke up from sleep with crushing substernal chest pain that was 9/10. He was emergently brought to the hospital and was found to have an anterior acute myocardial infarction (MI). Troponin was elevated. He was taken emergently to the cardiac catheterization lab.

INTERVENTION

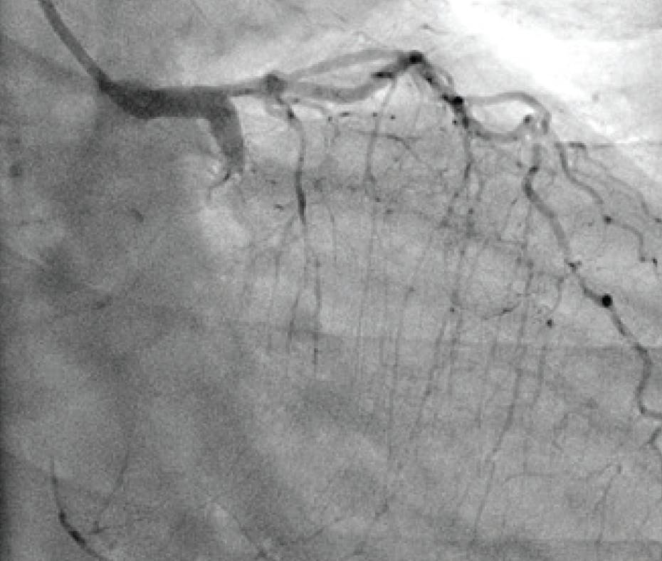
Right radial access was achieved, and the left main was engaged using an EBU 3.5 guide catheter. Initial angiograms showed 100% acute thrombotic occlusion of the mid left anterior descending (LAD) artery (Figure 1). Aspiration thrombectomy with CAT RX was performed up front due to significant clot burden (Figure 2). This was followed by angioplasty and stent deployment with a 3.0- X 38-mm Onyx Frontier drug-eluting stent (Medtronic) and concluded with postdilation using a 3.5-mm noncompliant balloon. Intravascular ultrasound demonstrated a well-apposed and expanded stent with no proximal or distal edge dissection. Final angiograms demonstrated TIMI 3 flow (Figure 3).

Figure 1. 100% LAD artery occlusion.

Figure 2. Aspiration with CAT RX before angioplasty/stenting.

Figure 3. Restoration of TIMI 3 flow.

DISCUSSION

CAT RX was our initial choice of device in this case due to the high thrombotic burden seen in this acute LAD stenosis; it allowed for clot debulking up front, decreasing the likelihood of distal embolization and the dreaded “no reflow” phenomenon. In our experience, we have found that successful aspiration thrombectomy allows for less device usage and need for rescue pharmacotherapy in thrombotic occlusions. After thrombectomy, angioplasty and stenting were performed in a usual fashion, leading to an optimal angiographic result.


ANGIOPLASTY AS UPFRONT APPROACH IN ACUTE MI WITH LARGE THROMBUS BURDEN

By Anjan Gupta, MD, FACC, FSCAI, and Rafey Feroze, MD

CASE PRESENTATION

A man in his mid 70s with a medical history of hypertension, diabetes mellitus, dyslipidemia, and chronic kidney disease presented with severe chest pain and was found to have an acute MI. He was taken emergently to the cardiac catheterization lab.

INTERVENTION

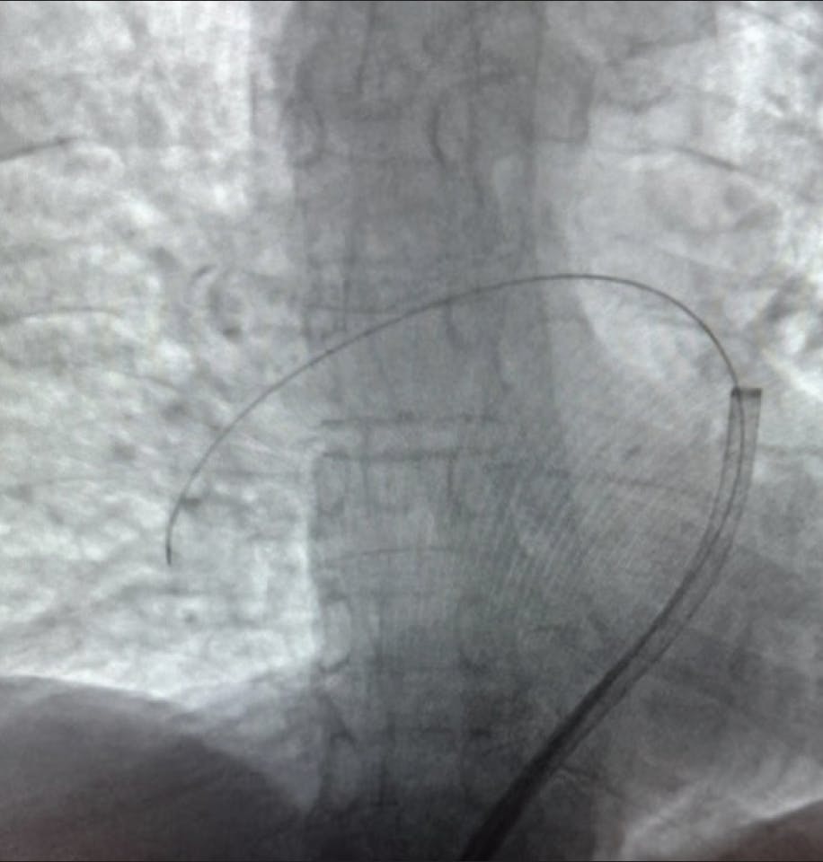
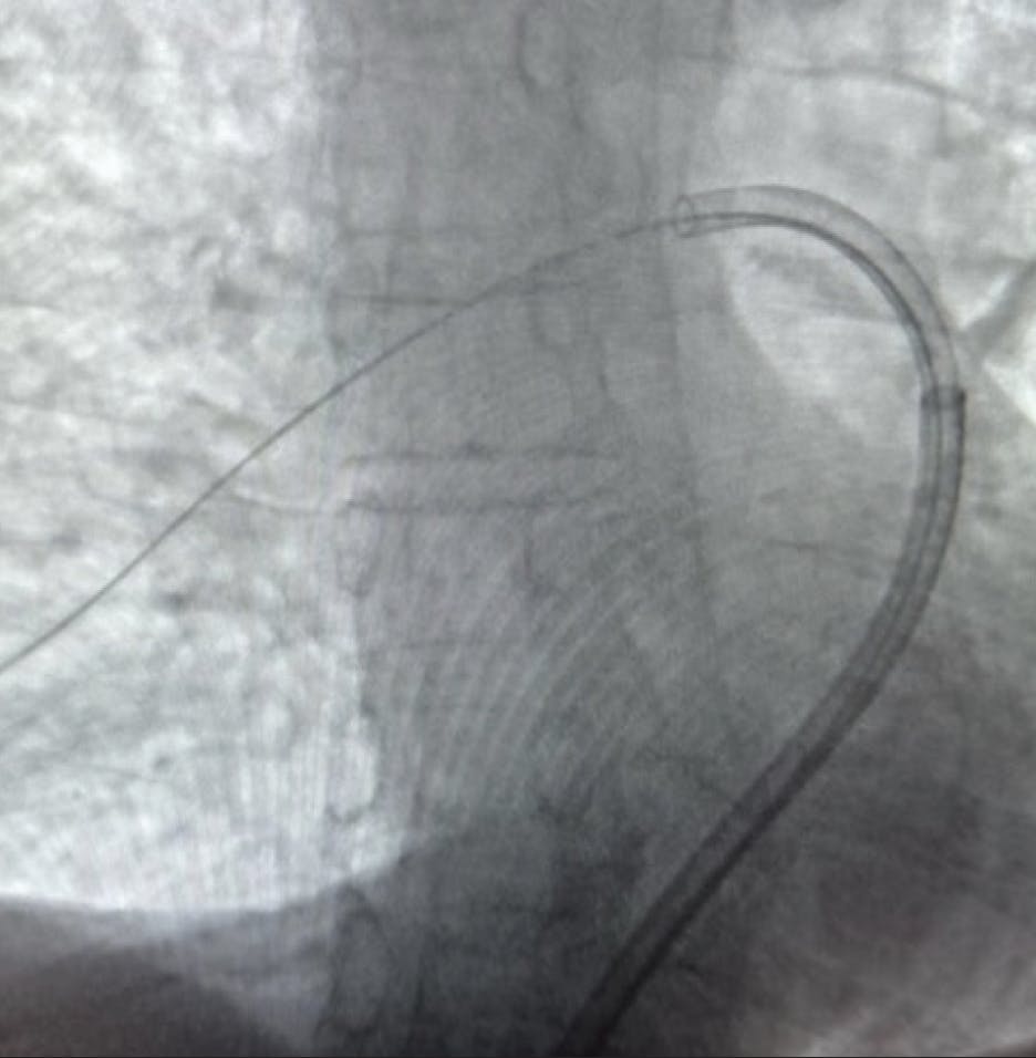
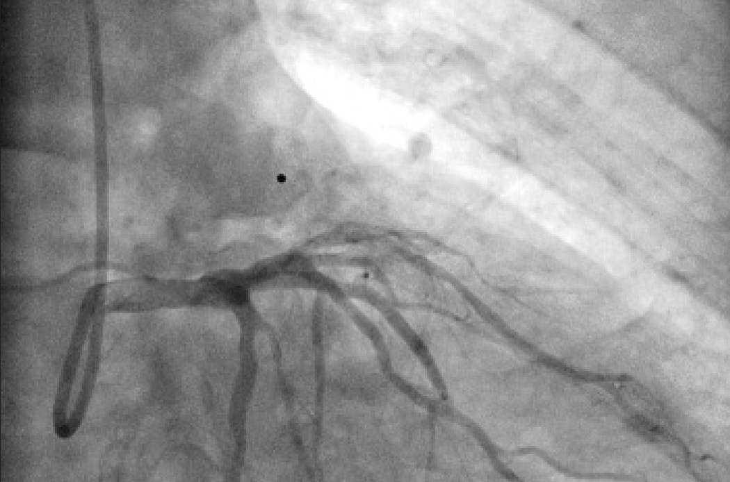
The right common femoral artery was cannulated, and angiography revealed a 100% occlusion of the proximal left circumflex (LCX) artery (Figure 1). The left main was engaged using a 6-F EBU 3.5 guide catheter, and a Runthrough wire (Terumo Interventional Systems) was placed in the LCX artery. A 2-mm semicompliant balloon was advanced and inflated at 12 atm, with the goal of restoring flow in the vessel (Figure 2). However, despite angioplasty, there was no improvement, and the vessel continued to have TIMI 0 flow (Figure 3).

Figure 1. 100% LCX artery occlusion.

Figure 2. Balloon angioplasty as initial device.

Figure 3. TIMI 0 flow after intervention.

The patient became increasingly hypotensive, requiring escalating doses of pressors and eventually mechanical support in the form of a percutaneous left ventricular assist device. During the procedure, the patient developed pulseless ventricular tachycardia requiring cardiopulmonary resuscitation and intubation, with eventual return to spontaneous circulation. He required a prolonged intensive care unit admission thereafter.

DISCUSSION

The choice of balloon angioplasty, as opposed to aspiration thrombectomy, did not provide adequate clot debulking to create a channel to restore flow in the LCX. In the presence of substantial thrombus burden, initial debulking of thrombus using an aspiration device such as the CAT RX can facilitate improved revascularization, whereas balloon angioplasty within clot may not displace clot enough restore flow. We believe a thrombectomy-based approach should be considered early in acute stenoses with significant thrombotic burden.

Disclaimer: The opinions and clinical experiences presented herein are for informational purposes only. The results may not be predictive of all patients. Individual results may vary depending on a variety of patient-specific attributes.

*The safety and effectiveness of this device for use in the treatment of ST-elevation myocardial infarction (STEMI) has not been established. Complications from the use of this device in this manner could lead to death, permanent impairment, and/or the need for emergency medical intervention.

†Graph represents CAVT technology applying modulated stress to thrombus which is designed to ingest thrombus efficiently. Graph depicts forces generally and does not reflect bench top testing or force ratios.