Aorto-ostial lesions are defined as being located 3 to 5 mm from the vessel origin, and ostial lesions pose several technical challenges related to achieving optimal stent placement and adequate stent expansion.1

TECHNICAL ASPECTS OF AORTO-OSTIAL STENTING: GUIDE ENGAGEMENT AND SUPPORT, GEOGRAPHIC MISS, AND EXCESSIVE AORTO-OSTIAL OVERHANG

Ostial catheter engagement can be challenging in aorto-ostial lesion treatment because of poor guide seating in severely narrowed lesions, catheter pressure dampening, and in some instances poor guide catheter support.1 Variations in coronary arterial anatomy, such as congenital anomalies, high anterior and shepherd crook right coronary artery (RCA) takeoffs, and posterior left main origins, can further complicate ostial engagement and percutaneous coronary intervention (PCI) execution.2 In addition, limitations of two-dimensional coronary angiography can make it difficult to precisely identify the RCA and left main origin, leading to (1) inadequate aorto-ostial lesion coverage and geographic miss (stent in too far), or (2) excessive amounts of stent hanging into the aorta, thereby complicating future coronary catheter engagement (stent out too much).1,3 Low-precision angiogram-guided stenting for coronary aorto-ostial disease leads to high rates of proximal stent misplacement.4 Stent mispositioning at the ostium is associated with significantly higher rates of restenosis and clinically driven target lesion revascularization compared to patients with accurate stent placement.4 Noninvasive coronary CTA (CCTA) scan studies similarly demonstrated high rates of geographic miss with angiogram-guided aorto-ostial stenting.5 By CCTA, the entire circumference of the proximal stent edge was located within the aorto-ostial segment in only 13% of cases, with geographic miss in the remainder.5

Multiple techniques for precise aorto-ostial stent placement have been described.1 These precision aorta-ostial stenting methods include, among others, live intravascular ultrasound (IVUS)–guided stent placement with IVUS parallel to the stent during positioning, fluoroscopic IVUS coregistration marking of the ostium for subsequent fluoroscopic placement, and a bumper wire in the aorta to prevent deep catheter engagement and help position the stent at the ostium.1,6 A dedicated Ostial FLASH balloon (The Ostial Corporation) is designed to optimize the implantation of aorto-ostial coronary stents by flaring the proximal stent struts against the aortic wall. Ostial FLASH negates the need for precise aorto-ostial positioning because the stent is purposefully placed with stents protruding into the aorta, after which the FLASH system is used to flare the stent to optimize ostial coverage and ensure easy future coronary guide access.5,7,8

CORONARY OSTIAL LESION CALCIFICATION, STENT EXPANSION, AND STENT RECOIL

Ostial lesions are frequently calcified and thus require higher utilization of plaque modification tools to ensure adequate stent expansion compared to nonostial lesions.9 When considering the morphology of ostial RCA lesions, a recent IVUS study demonstrated that 47.6% of ostial lesions contain calcific nodules and that nodular ostial calcium has significantly higher rates of target lesion failure (TLF) compared to nonnodular lesions (nodular lesions 21.6% TLF vs diffuse lesions 8.2% TLF; P = .04).10 A multivariable Cox proportional hazard model revealed that RCA calcific nodules were significantly associated with TLF (hazard ratio, 6.63; 95% CI, 1.28-34.3; P = .02).10 In addition to heavy calcification, the RCA ostium has anatomic features that predispose it to stent recoil and stent fracture. The RCA ostium contains large proximal and circumferential muscle bundles that arise independently of the elastin-muscle fibers of the aorta.11 These contracting muscle fibers reduce lesional compliance, repetitively stress the stent scaffold, and can cause stent recoil and/or stent fracture. In one IVUS series, 33% of RCA late luminal loss was due to chronic stent recoil.11 Based on the calcified, nodular, and elastic properties of dilation-resistant and recoil-prone ostial lesions, there is a mechanistic rationale for using high-radial-strength stents during aorto-ostial stenting.12 In addition, because of the high prevalence of ostial calcium, as outlined in the SCAI Expert Consensus on Management of Calcified Coronary Lesions Requiring Intervention, it is widely agreed that adequate vessel preparation and calcium modification can translate into better stent expansion and lower risk of dissections extending into the aorta for aorto-ostial lesions.13 The consensus document also outlines the suitability of cutting and scoring balloons, high-pressure balloons, intravascular lithotripsy, and rotational and orbital atherectomy for calcified plaque modification in aorto-ostial lesion treatment.

RISK OF AORTO-OSTIAL STENT FAILURE

Ostial stent failure occurs at higher rates compared to nonostial lesions, with reported restenosis rates ranging from 6% to 33% depending on the stent type and patient factors; this is primarily due to (1) the complex anatomy of the ostial region, making stent placement and expansion challenging, leading to higher risk of recoil and underexpansion; (2) high prevalence of circumferential and nodular calcium especially in the ostial RCA; and (3) stent scaffold failure and stent recoil.9,14,15 Target vessel revascularization (3.29% vs 1.90%; P = .03) and stent thrombosis (1.23% vs 0.42%, P = .01) are significantly higher among patients with RCA aorto-ostial lesions compared to patients with proximal RCA lesions.9 Because of the high rates of stent failure, adequate attention to geographic stent placement and appropriate calcified plaque modification are required to ensure ostial stent patency in this hard-to-treat coronary lesion subset.

INTRAVASCULAR IMAGING–GUIDED PCI TO IMPROVE AORTO-OSTIAL PCI OUTCOMES

In the past 5 years, a landslide of new randomized studies have clearly demonstrated the clinical benefit of IVUS and optical coherence tomography (OCT)–guided PCI.16 In addition to strong reductions in target lesion revascularization seen in the individual studies, a comprehensive meta-analysis of these studies showed dramatic reductions in the risk of TLF (relative risk [RR], 0.71; 95% CI, 0.63-0.80; P < .0001) and all-cause death (RR, 0.75; 95% CI, 0.60-0.93; P = .0091) with intravascular imaging–guided PCI versus angiogram-guided PCI.17 Notably, outcomes were similar for OCT and IVUS, thereby establishing a class effect of intravascular imaging.17 In light of the strong evidence supporting intravascular imaging–guided PCI, the updated European Society of Cardiology PCI guidelines endorse intravascular imaging to guide PCI of complex coronary artery lesions with a class 1A indication.18

Intravascular imaging–guided PCI influences case execution in a manner that leads to improved stent durability. With use of the now widely adopted systematic intravascular imaging–guided PCI algorithm MLD MAX (morphology, length, diameter, medial dissection, apposition, expansion), compared to angiogram-guided PCI, intravascular imaging–guided PCI better identifies calcium and normal stent landing zones, enables high-fidelity sizing of balloons and stents, and leads to larger stent sizing and large minimal stent area.19-21 Notably, clinical studies demonstrate that compared to angiography, intravascular imaging more often identifies calcium, which leads to more aggressive calcium-specific vessel preparation strategies aimed at improving stent expansion and stent patency.22 As noted previously, intravascular imaging can be utilized to improve precise stent placement during ostial stenting. In addition, during ostial stenting, intravascular imaging should be routinely utilized to appropriately identify calcium, define optimal stent diameter and landing zones, and ensure the stent is optimized by the end of the PCI procedure.18

CASE PRESENTATION: INTRAVASCULAR IMAGE–GUIDED PCI OF A CALCIFIED OSTIAL LESION

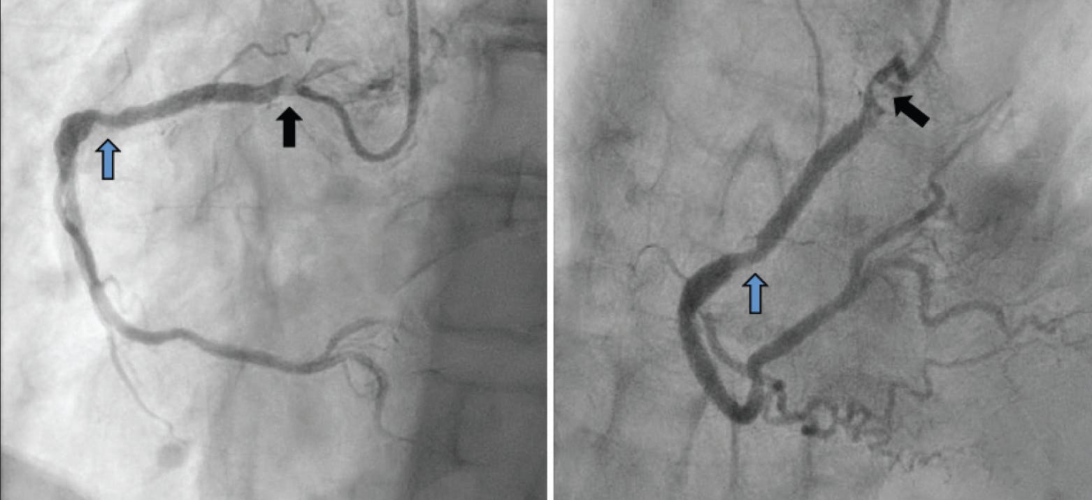
A woman in her early 80s, with a history of hypertension, hyperlipidemia, myocardial infarction, and RCA PCI 15 years earlier, presented to the emergency department with 24 hours of worsening dyspnea and 3 hours of acute-onset chest pain. The initial electrocardiogram showed sub-millimeter ST elevations in the inferior leads, and the initial high-sensitivity troponin was abnormal at 845 ng/L. The patient was referred for emergent coronary angiography and possible PCI. Diagnostic coronary angiography performed through right radial access demonstrated the presence of a culprit ostial RCA stenosis, which was severely calcified with reduced flow. The culprit ostial RCA stenosis was in a de novo, unstented segment of the artery. The nonostial proximal to mid-RCA stents also had substantial nonculprit in-stent restenosis (Figure 1). The left coronary system had no major obstructive disease. The clinical decision was to move forward with culprit ostial RCA PCI of the de novo unstented segment, with the additional plan to treat the mid-vessel in-stent restenosis.

Figure 1. Diagnostic angiography. Orthogonal angiogram views demonstrated the culprit ostial RCA stenosis, which was severely calcified with reduced flow. The culprit ostial RCA stenosis was in a de novo segment of the artery that had not been previously stented (black arrow). The proximal to mid-RCA stents also had substantial nonculprit in-stent restenosis (blue arrow).

We upsized to a 7-F right radial arterial angioplasty system to facilitate the anticipated need for plaque modification of the calcified culprit stenosis. Using a 7-F, AR2 guide with a 7-F Trapliner guide extender (Teleflex), we placed a workhorse wire in the distal RCA. To facilitate angioplasty equipment delivery and intravascular imaging, we predilated with a 3.5- X 15-mm noncompliant balloon that had a substantial unexpandable waist in the ostial calcified region at a pressure of 16 atmospheres (atm). Next, we performed OCT intravascular imaging to implement the MLD MAX PCI optimization protocol. Pre-PCI OCT demonstrated a morphology of severe fibrocalcific neoatherosclerosis in the old stents and large calcific nodules in the culprit de novo unstented segment of the proximal and ostial RCA (Figure 2). OCT imaging clearly demonstrated the need for calcific nodule plaque modification with the goal of achieving optimal extent expansion. The OCT also demonstrated substantial in-stent restenosis that would require treatment (not shown). The length of the lesion spanned from the aorto-ostial RCA origin distal to the prior RCA stents. The OCT-identified reference diameter was 3.5 mm in the mid-segment and 3.8 mm in the proximal artery.

Figure 2. OCT. After initial predilation, OCT intravascular imaging was performed to implement the MLD MAX PCI optimization protocol. Pre-PCI OCT demonstrated a morphology of severe fibrocalcific neoatherosclerosis in the old stents (not shown) and large calcific nodules in the culprit unstented segment of the proximal and ostial RCA (white arrow). OCT imaging clearly demonstrated the need for calcific nodule plaque modification with the goal of achieving optimal extent expansion.

To facilitate calcific nodule plaque modification and lesion compliance softening, we treated the ostial and proximal stenosis with a 3.5-mm Shockwave intravascular lithotripsy balloon (Shockwave Medical), focusing all 120 shockwave pulses in the 20-mm de novo calcified nodular segment of the culprit stenosis (Figure 3A). We chose intravascular lithotripsy for plaque modification because of its unique mechanism of action to fracture the deep basilar structure of calcific nodules to improve compliance and facilitate adequate stent expansion when treating nodular calcium.23,24 The intravascular lithotripsy balloon initially had a substantial waist; however, after the 120 pulses, the artery appeared to expand completely at 8 atm of pressure on the final Shockwave inflation. Next, we predilated the in-stent restenosis segment with a 3.5- X 15-mm noncompliant balloon that did not yield completely. Therefore, we took a 3.5- X 10-mm AngioSculpt scoring balloon (Philips), inflated it to 22 atm, and performed cine angiography in multiple views to ensure adequate lesion expansion.

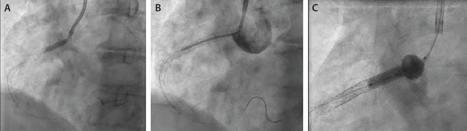
Figure 3. PCI execution with Shockwave pretreatment, aorto-ostial stenting, and Ostial FLASH stent flaring. To facilitate calcific nodule plaque modification and lesion compliance softening, we treated the ostial and proximal stenosis with a 3.5-mm Shockwave intravascular lithotripsy balloon focusing all 120 shockwave pulses in the 20-mm de novo calcified segment of the culprit stenosis (A). We placed a 3.5- X 32-mm Synergy Megatron high-radial-strength stent in the ostial and proximal vessel to treat the de novo segment that contained the large calcific nodule. In order to ensure adequate aorto-ostial lesion coverage, we purposefully placed the ostial Megatron stent into the aorta (B) with the plan to use an Ostial FLASH balloon to flare the stent to optimize aorto-ostial stent coverage and to ensure ease of arterial access in the event that future angiography and/or PCI were required. We inflated a 4-mm Ostial FLASH in the overhanging Megatron stent to flare the stent (C).

We similarly predilated the ostial and proximal RCA de novo culprit lesion with a high-pressure 3.5-mm AngioSculpt inflation at 22 atm, confirming complete expansion in orthogonal cine angiography views. We performed multiple orthogonal views of the balloon dilations to ensure that the eccentric calcified lesions expanded completely. After achieving adequate vessel preparation confirmed by 1:1-sized balloon expansion in multiple views, we moved forward to scaffold the artery with overlapping drug-eluting stents. We placed a 3.5- X 38-mm Xience drug-eluting stent (Abbott) in the mid-RCA and overlapped a 3.5- X 32-mm Synergy Megatron high-radial-strength stent (Boston Scientific Corporation) in the ostial and proximal vessel to treat the recoil-prone de novo segment that contained the large calcific nodule. To ensure adequate aorto-ostial lesion coverage, we purposefully placed the ostial Megatron stent into the aorta with the plan to use an Ostial FLASH balloon to flare the stent to optimize aorto-ostial stent coverage and to ensure ease of arterial access in the event that future angiography and/or PCI were required (Figure 3B). We inflated a 4-mm Ostial FLASH balloon in the overhanging Megatron stent to flare it and subsequently postdilated the distal stent with a 3.5-mm noncompliant balloon and postdilated the proximal and ostial stent with a 3.75-mm noncompliant balloon (Figure 3C).

In the final step of the procedure, we employed IVUS for the MLD MAX post-PCI stent optimization assessment because we specifically wanted to interrogate the aorto-ostial stent coverage after Ostial FLASH treatment. Our decision to use IVUS rather than OCT was based on anticipated difficulty in completely clearing the aorto-ostial region of blood to enable OCT aorto-ostial overhang assessment. MAX assessment of the post-PCI result confirmed an optimized stent placement with no medial dissections at the distal stent edge, excellent stent strut-to-wall apposition, and 84% stent expansion. IVUS of the aorto-ostial segment also confirmed optimal lesion coverage with Ostial FLASH–induced flaring of the purposefully overhung stent (Figure 4C). The procedural execution resulted in improvement in the patient’s chest pain, normalization of her electrocardiogram changes, and excellent angiographic and intravascular imaging confirming the result without any complications (Figure 4A and 4B). The patient was treated with standard protocol dual antiplatelet therapy and was discharged on hospital day 2.

Figure 4. Final angiography and IVUS. Final angiography images (A, B). We employed IVUS for the MLD MAX post-PCI stent optimization assessment to interrogate the aorto-ostial stent coverage after Ostial FLASH treatment. MAX assessment of the post-PCI result confirmed an optimized stent placement with no medial dissections at the distal stent edge, excellent stent strut-to-wall apposition, and 84% expansion. IVUS of the aorto-ostial segment also confirmed optimal lesion coverage with Ostial FLASH–induced flaring of the purposefully overhung stent (C). Notable on IVUS, there is a slight “D” shape to the stent in the area where the calcific nodule was previously present (C).

SUMMARY

Aorto-ostial lesions are frequently calcified, often with nodular calcification, pose several technical challenges related to achieving optimal stent placement and adequate stent expansion, and are prone to stent failure and adverse cardiovascular events. Intravascular imaging–guided PCI, as part of MLD MAX algorithmic PCI execution, can identify actionable calcium to enable appropriate choice of plaque modification strategies to ensure optimal stent expansion. Furthermore, innovative use of techniques and tools, such as IVUS-guided ostial stenting and/or Ostial FLASH flaring balloons can ensure lesion coverage and PCI optimization during the treatment of challenging ostial lesions to ensure better patient outcomes.

1. Jaffe R, Halon DA, Shiran A, Rubinshtein R. Percutaneous treatment of aorto-ostial coronary lesions: current challenges and future directions. Int J Cardiol. 2015;186:61-66. doi: 10.1016/j.ijcard.2015.03.161

2. Kastellanos S, Aznaouridis K, Vlachopoulos C, et al. Overview of coronary artery variants, aberrations and anomalies. World J Cardiol. 2018;10:127-140. doi: 10.4330/wjc.v10.i10.127

3. Damarkusuma A, Mota P, Patel B, Oommen M. Consequences and management of excessive ostial stent protrusion: a case report. Interv Cardiol. 2024;19:e04. doi: 10.15420/icr.2023.34

4. Dishmon DA, Elhaddi A, Packard K, et al. High incidence of inaccurate stent placement in the treatment of coronary aorto-ostial disease. J Invasive Cardiol. 2011;23:322-326.

5. Rubinshtein R, Ben-Dov N, Halon DA, et al. Geographic miss with aorto-ostial coronary stent implantation: insights from high-resolution coronary computed tomography angiography. EuroIntervention. 2015;11:301-307. doi: 10.4244/EIJV11I3A57

6. Reddy PKV, Daibes J, Skaf M, et al. The use of bumper wire technique and intravascular ultrasound for precise aorto-ostial stenting. Front Cardiovasc Med. 2022;9:929472. doi: 10.3389/fcvm.2022.929472

7. Nguyen-Trong PJ, Martinez Parachini JR, Resendes E, et al. Procedural outcomes with use of the flash ostial system in aorto-coronary ostial lesions. Catheter Cardiovasc Interv. 2016;88:1067-1074. doi: 10.1002/ccd.26613

8. Belardi JA, Albertal M. Aorto-ostial lesions: battling an old foe. Catheter Cardiovasc Interv. 2016;88:1075-1076. doi: 10.1002/ccd.26865

9. Levi Y, Kobo O, Halabi M, et al. Treatment of ostial right coronary artery narrowings: outcomes from the multicenter prospective e-ULTIMASTER registry. J Soc Cardiovasc Angiogr Interv. 2023;2:100604. doi: 10.1016/j. jscai.2023.100604

10. Yamamoto K, Sato T, Salem H, et al. Ostial right coronary artery lesion morphology and outcomes after treatment with drug-eluting stents. EuroIntervention. 2024;20:e207-e215. doi: 10.4244/EIJ-D-23-00406

11. Tsunoda T, Nakamura M, Wada M, et al. Chronic stent recoil plays an important role in restenosis of the right coronary ostium. Coron Artery Dis. 2004;15:39-44. doi: 10.1097/00019501-200402000-00006

12. Abdulrahman B, Mashayekhi K, Tajti P, et al. Clinical outcomes after additional Dynamic renal® stent implantation for stent recoil in ostial coronary lesions. J Clin Med. 2020;9. doi: 10.3390/jcm9123964

13. Riley RF, Patel MP, Abbott JD, et al. SCAI expert consensus statement on the management of calcified coronary lesions. J Soc Cardiovasc Angiogr Interv. 2024;3:101259. doi: 10.1016/j.jscai.2023.101259

14. Yamamoto K, Sato T, Salem H, et al. Mechanisms and treatment outcomes of ostial right coronary artery in-stent restenosis. EuroIntervention. 2023;19:e383-e393. doi: 10.4244/EIJ-D-23-00107

15. Espejo-Paeres C, Vedia O, Wang L, et al. Propensity-matched analysis of long-term clinical results after ostial circumflex revascularization. Heart. 2023;109:1302-1309. doi: 10.1136/heartjnl-2022-322204

16. Biccire FG, Gatto L, Prati F. Intracoronary imaging to guide percutaneous coronary intervention: from evidence to guidelines. Eur Heart J Suppl. 2024:26(suppl 1):i11-i14. doi: 10.1093/eurheartjsupp/suae004

17. Stone GW, Christiansen EH, Ali ZA, et al. Intravascular imaging-guided coronary drug-eluting stent implantation: an updated network meta-analysis. Lancet. 2024;403:824-837. doi: 10.1016/S0140-6736(23)02454-6

18. Vrints C, Andreotti F, Koskinas KC, et al. [2024 ESC Guidelines for the management of chronic coronary syndromes]. G Ital Cardiol (Rome). 2024;25:1e-132e. doi: 10.1714/4375.43725

19. Shlofmitz E, Croce K, Bezerra H, et al. The MLD MAX OCT algorithm: an imaging-based workflow for percutaneous coronary intervention. Catheter Cardiovasc Interv. 2022;100(suppl 1):S7-S13. doi: 10.1002/ccd.30395

20. Ali ZA, Landmesser U, Stone GW. Optical coherence tomography-guided versus angiography-guided PCI. Reply. N Engl J Med. 2024;390:186-187. doi: 10.1056/NEJMc2313256

21. Zhang YJ, Pang S, Chen XY, et al. Comparison of intravascular ultrasound guided versus angiography guided drug eluting stent implantation: a systematic review and meta-analysis. BMC Cardiovasc Disord. 2015;15:153. doi: 10.1186/s12872-015-0144-8

22. Bergmark B, Dallan LAP, Pereira GTR, et al. Decision-making during percutaneous coronary intervention guided by optical coherence tomography: insights from the LightLab initiative. Circ Cardiovasc Interv. 2022;15:872-881. doi: 10.1161/CIRCINTERVENTIONS.122.011851

23. Ali ZA, Kereiakes D, Hill J, et al. Safety and effectiveness of coronary intravascular lithotripsy for treatment of calcified nodules. JACC Cardiovasc Interv. 2023;16:1122-1124. doi: 10.1016/j.jcin.2023.02.015

24. Kereiakes DJ, Virmani R, Hokama JY, et al. Principles of intravascular lithotripsy for calcific plaque modification. JACC Cardiovasc Interv. 2021;14:1275-1292. doi: 10.1016/j.jcin.2021.03.036

Kevin J. Croce, MD, PhD
Complex Coronary Intervention/Chronic Total Occlusion Program
Cardiovascular Division
Brigham and Women’s Hospital Harvard Medical School
Boston, Massachusetts
kcroce@bwh.harvard.edu
Disclosures: Grant/research support from Abbott, Teleflex, Boston Scientific, Abiomed, Orbis Niche, Ostial, and Philips; consulting fees/honoraria from Abbott, Boston Scientific, Philips, Abiomed, Shockwave, and Teleflex; major stock/equity in Dyad Medical, SpectraWave, and Ostial Flash.


Dr. Croce is a paid consultant for Shockwave Medical.

The thoughts and views expressed are of their own opinions, and do not necessarily represent Shockwave Medical.

SPL – 75214 Rev. A

Shockwave C2 and Shockwave C2+ Safety Information

In the United States Rx only.

Indications for Use— The Shockwave Intravascular Lithotripsy (IVL) System with the Shockwave C2+ Coronary IVL Catheter is indicated for lithotripsy enabled, low-pressure balloon dilatation of severely calcified, stenotic de novo coronary arteries prior to stenting.

Contraindications— The Shockwave C2+ Coronary IVL System is contraindicated for the following: This device is not intended for stent delivery. This device is not intended for use in carotid or cerebrovascular arteries.

Warnings— Use the IVL Generator in accordance with recommended settings as stated in the Operator’s Manual. The risk of a dissection or perforation is increased in severely calcified lesions undergoing percutaneous treatment, including IVL. Appropriate provisional interventions should be readily available. Balloon loss of pressure was associated with a numerical increase in dissection which was not statistically significant and was not associated with MACE. Analysis indicates calcium length is a predictor of dissection and balloon loss of pressure. IVL generates mechanical pulses which may cause atrial or ventricular capture in bradycardic patients. In patients with implantable pacemakers and defibrillators, the asynchronous capture may interact with the sensing capabilities. Monitoring of the electrocardiographic rhythm and continuous arterial pressure during IVL treatment is required. In the event of clinically significant hemodynamic effects, temporarily cease delivery of IVL therapy.

Precautions— Only to be used by physicians trained in angiography and intravascular coronary procedures. Use only the recommended balloon inflation medium. Hydrophilic coating to be wet only with normal saline or water and care must be taken with sharp objects to avoid damage to the hydrophilic coating. Appropriate anticoagulant therapy should be administered by the physician. Precaution should be taken when treating patients with previous stenting within 5mm of target lesion.

Potential adverse effects consistent with standard based cardiac interventions include– Abrupt vessel closure - Allergic reaction to contrast medium, anticoagulant and/or antithrombotic therapy Aneurysm-Arrhythmia-Arteriovenous fistula-Bleeding complications-Cardiac tamponade or pericardial effusion Cardiopulmonary arrest-Cerebrovascular accident (CVA)- Coronary artery/vessel occlusion, perforation, rupture or dissection-Coronary artery spasm-Death-Emboli (air, tissue, thrombus or atherosclerotic emboli)-Emergency or nonemergency coronary artery bypass surgery-Emergency or nonemergency percutaneous coronary intervention-Entry site complications-Fracture of the guide wire or failure/malfunction of any component of the device that may or may not lead to device embolism, dissection, serious injury or surgical intervention Hematoma at the vascular access site(s)-HemorrhageHypertension/Hypotension-Infection/sepsis/fever-Myocardial Infarction-Myocardial Ischemia or unstable angina-Pain- Peripheral Ischemia-Pseudoaneurysm-Renal failure/insufficiency-Restenosis of the treated coronary artery leading to revascularization-Shock/pulmonary edema-Slow flow, no reflow, or abrupt closure of coronary artery-Stroke-Thrombus Vessel closure, abrupt-Vessel injury requiring surgical repair Vessel dissection, perforation, rupture, or spasm.

Risks identified as related to the device(s) and its use: Allergic/immunologic reaction to the catheter material(s) or coating-Device malfunction, failure, or balloon loss of pressure leading to device embolism, dissection, serious injury or surgical intervention-Atrial or ventricular extrasystole-Atrial or ventricular capture.

Prior to use, please reference the Instructions for Use for more information on indications, contraindications, warnings, precautions and adverse events. www.shockwavemedical.com/IFU

Please contact your local Shockwave representative for specific country availability.