Penumbra is dedicated to advancing the treatment of Pulmonary Embolism (PE) and High Thrombus Burden (HTB) in Acute Coronary Syndrome (ACS). In 2024, Penumbra introduced two innovative devices in Europe: Lightning Flash 2.0™ and CAT RX™, designed to address these critical conditions with cutting-edge technology.

Lightning Flash 2.0 is the latest computer-assisted vacuum thrombectomy (CAVT™) system for PE and venous thrombus removal. Its dual clot detection algorithms are designed to enhance both usability and efficiency, enabling rapid identification of clot engagement or patent vessel, which is designed to maximize case efficiency. Once clot is detected, Flash Mode (also known as Gallop Mode) is activated, which is designed for expedited thrombus removal. The catheter’s MaxID technology is engineered to offer high-performance trackability in an atraumatic design even in complex, tortuous anatomies. The combination of dual clot detection algorithms and MaxID technology enables Lightning Flash to be minimally invasive yet maximally effective, offering a streamlined solution for PE treatment designed for SPEED, SAFETY, and SIMPLICITY.

CAT RX is engineered with design elements drawn from both neurovascular and peripheral platforms, offering an innovative solution for managing high thrombus burden in the coronary arteries. Integrated with a powerful vacuum source for continuous aspiration, along with a large-lumen, atraumatic and a highly deliverable catheter, CAT RX is indicated for the removal of fresh, soft emboli and thrombi from both coronary and peripheral vessels.

Penumbra is also advancing clinical research with several promising trials:

  • STRIKE-PE Study: This prospective, multicenter trial evaluates Penumbra’s technology in intermediate- and high-risk PE patients, targeting 1,500 participants. Early results with Lightning Flash show a median thrombectomy time of just 23 minutes, a 27.8% reduction in right ventricular/left ventricular (RV/LV) ratio, and a 1.2% composite major adverse event (MAE) rate. No major bleeding requiring transfusion was reported.1
  • STORM-PE Trial: A groundbreaking multicenter, randomized controlled trial launched in collaboration with The PERT Consortium™, which compares anticoagulation alone versus anticoagulation plus mechanical aspiration with CAVT for acute intermediate-high–risk PE. Key endpoints include changes in the RV/LV ratio at 48 hours, MAE rates within 7 days, functional outcomes, and 90-day quality-of-life assessments.
  • CHEETAH Study: This multicenter study enrolled 400 patients and demonstrated the safety and efficacy of the Indigo System CAT RX as a frontline strategy for managing thrombus before percutaneous coronary intervention (PCI) in ACS. The study achieved 99.5% final thrombolysis in myocardial infarction (TIMI) thrombus grade 0 and a low major adverse cardiovascular event rate of 3.6% at 30 days. No evidence of device-related serious adverse events, including stroke, were reported. Furthermore, 0.75% distal embolization and 99.8% myocardial blush grade 3 were achieved.2

The launch of Lightning Flash 2.0 and CAT RX represents a new era in the treatment of PE and HTB in ACS, with the potential to offer powerful tools to optimize patient outcomes and advance the field of cardiovascular intervention.

1. Qanadli SD. Periprocedural outcomes of pulmonary embolism patients treated with computer assisted vacuum thrombectomy: interim analysis of the STRIKE-PE study. Presented at: CIRSE (Cardiovascular and Interventional Radiological Society of Europe) 2024; September 14-18, 2024; Lisbon, Portugal.

2. Mathews SJ, Parikh SA, Wu W, et al. Sustained mechanical aspiration thrombectomy for high thrombus burden coronary vessel occlusion: the multicenter CHEETAH study. Circ Cardiovasc Interv. 2023;16:e012433. doi: 10.1161/CIRCINTERVENTIONS.122.012433


CASE 1: INTERMEDIATE-HIGH–RISK PE

Aleksander Araszkiewicz, MD, PhD
Interventional Cardiology Department
Poznan University of Medical Sciences
Poznan, Poland

PATIENT PRESENTATION

A man in his late 60s, with history of chronic coronary syndrome, arterial hypertension, hypercholesterolaemia, type II diabetes, and chronic kidney disease, presented with progressive dyspnea and chest pain over the previous 3 days. Upon arrival, he exhibited tachycardia at 122 bpm and hypoxia, with a respiratory rate of 34 rpm, necessitating 6 L/min of supplemental oxygen via nasal cannula to maintain an oxygen saturation (SaO2) of 95%. He was normotensive (138/74 mm Hg), but had elevated troponin I as well as NT-proBNP levels and elevated lactate (2.7 mmol/L). CT pulmonary angiography revealed saddle thrombus with central bilateral clots in the both proximal pulmonary arteries (PAs) and severe RV strain with an RV/LV ratio of 1.8 (Figure 1). The diagnosis of intermediate-high–risk PE was established, and initial low-molecular wedge heparin treatment was started. Due to lack of efficacy of anticoagulative therapy and given the persistent RV failure and high proximal clot burden, the local PE Response Team qualified the patient for catheter-directed aspiration thrombectomy with the Lightning Flash 2.0 system.

Figure 1. CT pulmonary angiograms showing RV dilatation (A) and saddle PE (B).

INTERVENTION

Under ultrasound guidance, the right femoral vein was accessed and a 5-F pigtail catheter was inserted to the PA trunk and pulmonary angiograms of the right and left PAs were obtained (Figure 2). Subsequently, a 16-F, 115-cm Lightning Flash 2.0 HTORQ™ catheter was inserted into the right PA. The system was navigated using a 6-F Select™ access catheter with a Bernstein tip design and a 0.035-inch floppy-tip Amplatz guidewire (Boston Scientific Corporation) (Figure 3). Aspiration began with the catheter positioned at the edge of the proximal thrombus. The Lightning Flash aspiration catheter was then rotated to capture thrombi in both the right and left PAs along with their lobar branches, effectively clearing clots from both sides. The procedure was uncomplicated and resulted in substantial bilateral clot removal (Figure 4). It also led to reduction in mean pulmonary pressure from 33 to 16 mm Hg, and an improvement in cardiac index from a baseline 1.8 to 2.1 L/min/m². Device insertion to removal was as short as 8 minutes. The periprocedural blood loss was 350 mL without significant hemoglobin concentration drop.

Figure 2. Pretreatment pulmonary angiography of the right (A) and left (B) PA.

Figure 3. Navigation in the right PA (A) and Flash catheter in the left PA (B).

Figure 4. Clot removed.

Immediately after the procedure, the patient felt immediate relief with improved vital signs and normalization of RV function, confirmed by the imaging and laboratory tests.

DISCUSSION

Lightning Flash 2.0 allowed for rapid and precise detection and removal of large obstructive clots with controlled blood loss. Due to its innovative 16-F catheter design, good deliverability and flexibility, and optimized computer-controlled aspiration, Lightning Flash 2.0 is an effective and safe tool in the treatment of patients with intermediate-high–risk PE.


CASE 2: HIGH-RISK PE

Benjamin Clayton, MD
Interventional Cardiology Department
Royal Devon and Exeter University Hospital
Exeter, United Kingdom

PATIENT PRESENTATION

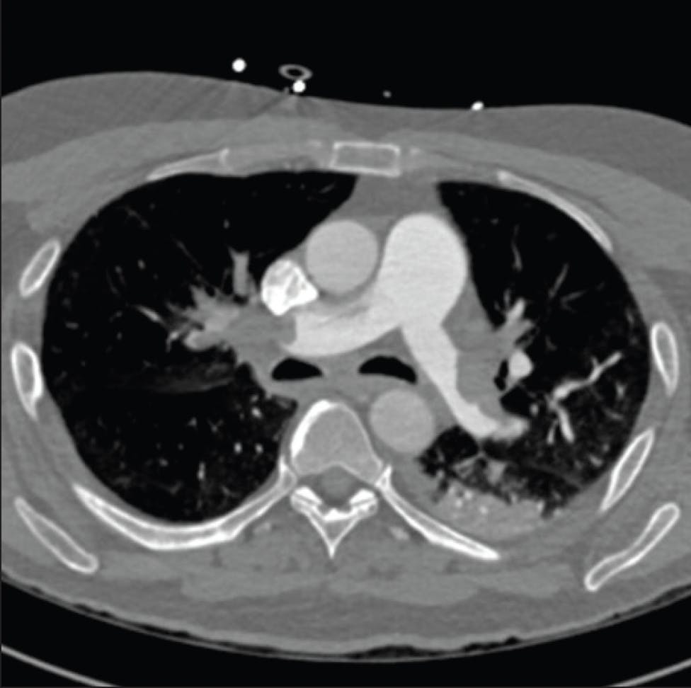
A man in his mid-60sf with no medical history presented to the emergency department with respiratory distress after 2 days of worsening dyspnea. He was hypoxic despite high flow oxygen and increasingly agitated before suffering a cardiac arrest with pulseless electrical activity throughout. The presumptive diagnosis was massive PE, and he was thrombolysed with alteplase. Return of spontaneous circulation was achieved after five rounds of CPR, with a further two brief arrests before sustained circulation facilitated with an adrenaline (epinephrine) infusion. He remained mechanically ventilated. CT pulmonary angiography demonstrated extensive bilateral PA thrombus (Figure 1), with marked RV dilatation (Figure 2), septal flattening, and contrast reflux into the hepatic veins.

Figure 1. CT pulmonary angiogram demonstrating bilateral pulmonary emboli, with left-sided pulmonary infarct.

Figure 2. Cardiac view from the CT pulmonary angiogram, illustrating gross RV dilatation, with septal shift and LV compression.

The patient was transferred to the intensive care unit. A Swan-Ganz catheter demonstrated persistent pulmonary hypertension (70/30 mm Hg). Despite the addition of milrinone and noradrenaline (norepinephrine) he remained hemodynamically unstable, with systolic systemic blood pressure repeatedly measured at < 80 mm Hg and a persistent sinus tachycardia of 150 to 160 bpm, even 12 hours after thrombolysis. Multidisciplinary discussions with the intensivist, noninterventional and interventional cardiologists, and the patient’s family led to a decision to undertake percutaneous thrombectomy (Figure 3).

Figure 3. Selective right pulmonary angiogram prethrombectomy. Proximal thrombus is evident.

INTERVENTION

Thrombectomy was performed via right femoral venous access with a 16-F Lightning Flash aspiration catheter. Copious thrombus was retrieved (Figure 4). There was a good, intraprocedural, clinical response with a decrease in heart rate of 25 to 30 bpm, and a reduction in PA pressure to 45/20 mm Hg, as measured with a Swan-Ganz catheter. Preoperative pO2 was 9.1 kPa and postoperative was 15.9 kPa with the same inspiratory oxygen fraction (maintained for pulmonary vasodilatation) and ventilator settings.

Figure 4. Selective right pulmonary angiogram postthrombectomy with improved distal perfusion and blush.

The patient had a rocky postprocedural course, with multiorgan hypoxic injury consistent with postcardiac arrest syndrome,1 although he did not require additional organ support. Serial echocardiography demonstrated gradual RV recovery and at 4 weeks the RV size was normal with only mildly reduced function. Anticardiolipin antibodies were positive and he was switched to warfarin pending further investigation. He was transferred to a specialist rehabilitation hospital and made excellent progress, returning home with full neurologic function.

DISCUSSION

There is currently no evidence base from which to consider percutaneous treatment of high-risk PE. However, evidence for the current gold standard—systemic thrombolysis—is limited.2-5 Numerous studies, with catheter-based interventions and alternative pharmacologic regimens, are ongoing and a bespoke, patient-tailored approach may well be achievable.6 From this experience, the Lightning Flash system appears to have utility for rapid reversal of hemodynamic decline in high-risk patients who fail to respond to thrombolysis.

1. Neumar RW, Nolan JP, Adrie C, et al. Post-cardiac arrest syndrome: epidemiology, pathophysiology, treatment, and prognostication. A consensus statement from the International Liaison Committee on Resuscitation (American Heart Association, Australian and New Zealand Council on Resuscitation, European Resuscitation Council, Heart and Stroke Foundation of Canada, InterAmerican Heart Foundation, Resuscitation Council of Asia, and the Resuscitation Council of Southern Africa); the American Heart Association Emergency Cardiovascular Care Committee; the Council on Cardiovascular Surgery and Anesthesia; the Council on Cardiopulmonary, Perioperative, and Critical Care; the Council on Clinical Cardiology; and the Stroke Council. Circulation. 2008;118:2452-2483. doi: 10.1161/CIRCULATIONAHA.108.190652

2. Jerjes-Sanchez C, Ramirez-Rivera A, de Lourdes Garcia M, et al. Streptokinase and heparin versus heparin alone in massive pulmonary embolism: a randomized controlled trial. J Thromb Thrombolysis. 1995;2:227-229. doi: 10.1007/BF01062714

3. Wan S, Quinlan DJ, Agneilli G, Eikelboom JW. Thrombolysis compared with heparin for the initial treatment of pulmonary embolism: a meta-analysis of the randomized controlled trials. Circulation. 2004;110:744-749. doi: 10.1161/01.CIR.0000137826.09715.9C

4. Chatterjee S, Chakraborty A, Weinberg I, et al. Thrombolysis for pulmonary embolism and risk of all-cause mortality, major bleeding, and intracranial haemorrhage: a meta-analysis. JAMA. 2014; 311:2414-2421. doi: 10.1001/jama.2014.5990

5. Stein PD, Matta F, Hughes PG, Hughes MJ. Nineteen-year trends in mortality of patients hospitalized in the United States with high-risk pulmonary embolism. Am J Med. 2021;134:1260-1264. doi: 10.1016/j.amjmed.2021.01.026

6. Carroll BJ, Larnard EA, Pinto DS, et al. Percutaneous management of high-risk pulmonary embolism. Circ Cardiovasc Interv. 2023;16:e012166. doi: 10.1161/CIRCINTERVENTIONS.122.012166


CASE 3: High thrombus burden IN ACUTE MI

Valeria Gritti, MD
Cardiology Department
Policlinico San Matteo
Pavia, Italy

PATIENT PRESENTATION

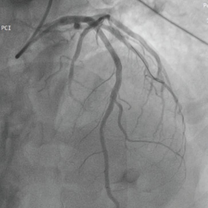
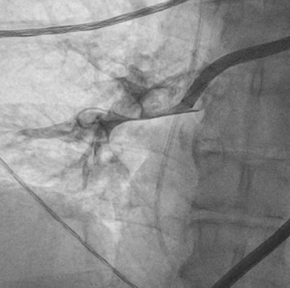
A man in his late 50s with no cardiac history and who was a former smoker presented to our department for acute chest pain, with symptom onset 2 hours prior. The pain was typical and an electrocardiogram showed an anterior ST-segment elevation myocardial infarction (STEMI), so he was immediately taken to the cath lab. A coronary angiogram showed complete left anteriror descendant (LAD) coronary occlusion in the medial part (Figure 1) with TIMI flow 0. After coronary wiring and a soft predilation, we appreciated a great thrombotic burden occupying almost one-third of the vessel (Figure 2).

Figure 1. Angiographic view (caudal 35°) showing complete LAD occlusion in the medial part.

Figure 2. Angiographic view (cranial 40°) showing incomplete flow restoration with high thrombus burden in the LAD after wiring passage and soft predilation.

TREATMENT OPTIONS AND COURSE OF TREATMENT

Due to the high thrombus burden, it was determined that balloon angioplasty or direct stenting could lead to distal thrombus migration. This could result in slow flow/no-reflow phenomenon with hemodynamic repercussions due to the vessel-wide myocardial perfusion territory. Performing manual thrombus aspiration with this large thrombus formation could potentially have been ineffective and time consuming, and time is muscle in myocardial infarction. As we know from the European Society of Cardiology 2023 guidelines on management of acute coronary syndrome,1 routine thrombus aspiration is not recommended, but in cases of large residual thrombus burden after opening the vessel with a guidewire or a balloon, thrombus aspiration may be considered. The class of indication is driven mainly by the risk of stroke observed in manual aspiration trials.2,3 We decided to try to remove the thrombus with the Penumbra Indigo System CAT-RX, due to its encouraging data on safety and efficacy and low risk of ischemic stroke.4,5

INTERVENTION

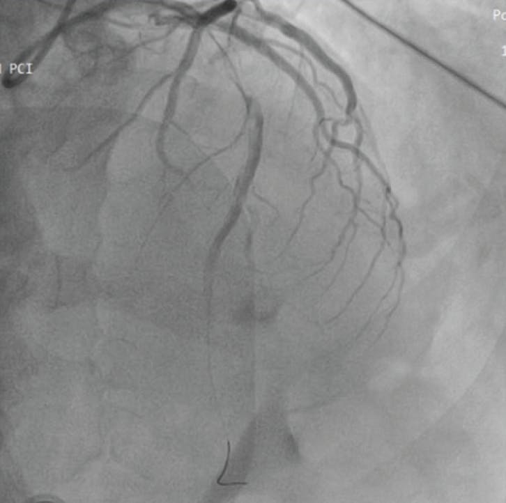
Three CAT RX passes were performed from proximal to distal, with aspiration continuously on as the catheter was advanced in a slow, controlled manner. Angiography after CAT RX showed an optimal thrombus resolution and lesion visualization. A stent was then placed, resulting in final TIMI III flow with preservation of all side branches (Figure 3). At the end of the procedure, we retrieved a massive 3.5-cm-long thrombus from the Penumbra canister (Figure 4).

Figure 3. Angiographic view (cranial 40°) showing final TIMI III flow after CAT-RX and stenting in the LAD.

Figure 4. Reconstruction of the thrombus formation collected in CAT-RX basket.

The patient had a decent recovery, a 7-day hospital stay, and a left ventricle ejection fraction (LVEF) of 45%, with akinesia of the medial and distal anterior wall at discharge. At 3-month follow-up, the patient was in a stable clinical condition.

DISCUSSION

The use of the Penumbra device was key for the successful treatment of this anterior STEMI. Due to its aspiration capabilities, we were able to better restore coronary flow in a short time. The final angiographic result was perfect and even if we achieved only 45% of LVEF after the procedure, the patient was stable at 3-month follow up. Suboptimal LVEF after anterior STEMI is related to different procedural and clinical factors that are still under investigation even after several years of primary PCI experience.

1. Byrne RA, Rossello X, Coughlan JJ, et al. 2023 ESC guidelines for the management of acute coronary syndromes. Eur Heart J. 2023;44:3720-3826. doi: 10.1093/eurheartj/ehad191

2. Jolly SS, James S, Džavík V, et al. Thrombus aspiration in ST-segment-elevation myocardial infarction: an individual patient meta-analysis: thrombectomy trialists collaboration. Circulation. 2017;135:143-152. doi: 10.1161/CIRCULATIONAHA.116.025371

3. Jolly SS, Cairns JA, Lavi S, et al. Thrombus aspiration in patients with high thrombus burden in the TOTAL trial. J Am Coll Cardiol. 2018;72:1589-1596. doi: 10.1016/j.jacc.2018.07.047

4. Mathews SJ, Parikh SA, Wu W, et al. Sustained mechanical aspiration thrombectomy for high thrombus burden coronary vessel occlusion: the multicenter CHEETAH study. Circ Cardiovasc Interv. 2023;16:e012433. doi: 10.1161/CIRCINTERVENTIONS.122.012433

5. Gilchrist Jr IC, Fordham MJ, Pyo R, et al. Mechanical aspiration thrombectomy using the penumbra CAT RX system for patients presenting with acute coronary syndrome. Cardiovasc Revasc Med. 2022;40S:316-321. doi: 10.1016/j.carrev.2021.06.130

Prof. Araszkiewicz and Dr. Gritti were compensated in association with this article.

Disclaimer: The opinions and clinical experiences presented herein are for informational purposes only. The results may not be predictive of all patients. Individual results may vary depending on a variety of patient-specific attributes.