Despite a growing interest in tricuspid valve (TV) disease, goal-directed medical therapy has not been well established for symptomatic patients. Importantly, left-sided structural disease management and fluid status optimization are essential before evaluation and consideration of TV intervention.1 In addition, treatment of pulmonary hypertension and management of atrial fibrillation are also considered part of optimal medical therapy (OMT). Each of these elements is likely to improve patient selection and outcomes after TV intervention. In addition to preoperative/preprocedure medical optimization, continued monitoring after TV intervention, including aggressive diuretic management, should be maintained to optimize longer-term results. In the absence of randomized data, promising results of transcatheter TV interventions have been reported in a propensity-matched comparison, showing higher event-free survival in selected patients when added along with OMT as compared to medical treatment alone.2

This article provides a brief update on the status and outcomes of surgical and transcatheter treatment options for TV disease. This is a rapidly evolving field, with frequent updates on new devices, experiences, and outcomes.

TRICUSPID SURGERY

For patients undergoing left-sided surgery, the 2020 American Heart Association/American College of Cardiology guidelines support performing TV repair in those with severe tricuspid regurgitation (TR) (class of recommendation [COR] 1) and with progressive TR and annular dilation or right heart failure symptoms (COR 2b).1 Later this year, results are expected from a Cardiothoracic Surgical Trials Network randomized clinical trial to investigate patients with progressive TR/annular dilation who are undergoing mitral valve surgery for primary mitral regurgitation (MR). Moreover, in patients with isolated secondary TR, tricuspid surgery is only recommended in symptomatic patients who respond poorly to OMT and are without pulmonary hypertension or left-sided disease (COR 2a). Surgery is also indicated with patients with primary TR with right heart failure (COR 2a). With limited indication for isolated TV surgery, patients with advanced right heart failure are often referred late in their disease.

Data from the Society of Thoracic Surgeons and national French registries have reported an isolated surgical TV mortality rate of 9% to 10%.3,4 Patients commonly fall into two categories: (1) younger patients with TV endocarditis secondary to intravenous drug use, and (2) older, frail patients with significant right ventricular dysfunction and concomitant TR. In a separate study of 238 isolated TV surgery patients with a median follow-up of 4.1 years, 24% died or required heart transplantation. Independent predictors of these poor outcomes included age (P = .001), hemoglobin level (P = .003), total bilirubin (P = .040), TR jet area (P = .005), and right atrial pressure (P = .022) were independent predictors.5

Individual centers have reported encouraging outcomes with a multidisciplinary approach. A recent experience of 95 isolated TV surgical patients (mean age, 56.9 ± 18 years; 22.1% in New York Heart Association [NYHA] class III/IV) reported 3.2% mortality at 30 days, with no mortality in the last 73 patients. An aggressive periprocedural plan was instituted, with preoperative admission, pulmonary artery catheter insertion when needed, and preoperative diuresis.6

Even in this select population that is significantly healthier than those seen in transcatheter tricuspid clinical trials, the need for TV replacement approached 30% due to extreme tethering of the leaflets that could not be corrected with downsize annuloplasty alone. In fact, much like annuloplasty alone is insufficient in functional MR,7 restrictive annuloplasty is often inadequate in patients with severe TR.8

It remains common for patients who undergo TV surgery to be referred late in their disease. In a nationwide study of over 1,500 TV surgery patients, > 40% were designated as “referred late” based on acute heart failure decompensation within 90 days prior to surgery, nonelective surgery status, or advanced liver disease. Patients referred late by these criteria were the strongest predictors of in-hospital mortality (odds ratio, 4.75; 95% CI, 2.74-8.25; P < .001).9

TRANSCATHETER TRICUSPID REPAIR

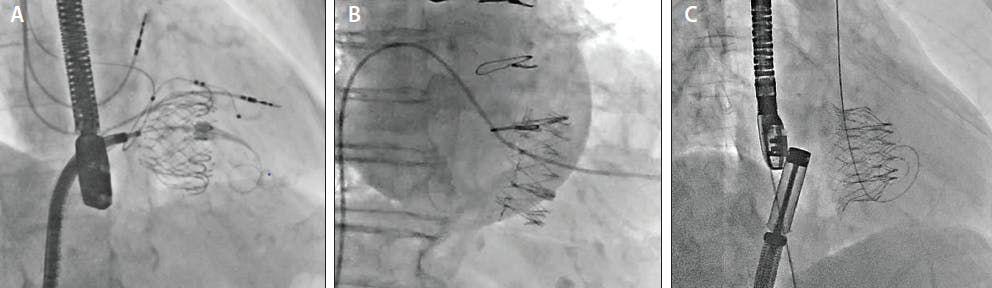
The surge of transcatheter tricuspid devices is a result of a growing awareness of the morbidity of TR and the less-than-ideal outcomes with surgical intervention. Moreover, the growing need to treat the aging patient population has led to technologic advancements in minimally invasive surgical and percutaneous approaches for tricuspid disease. Although few repair technologies are approved in Europe, the majority of devices are under investigation. All tricuspid devices discussed here are under investigation in the United States (Figure 1).

Figure 1. Tricuspid repair. Fluoroscopic image of three MitraClip devices on the TV (A). The Pascal device capturing the TV leaflets (B). Cardioband around the TV annulus (C). Delivery catheter and polymeric MIA anchors (D). Fluoroscopic image of Millipede annuloplasty devices on the mitral valve and TV (E). Figures 1A-C, and 1E reprinted from The Journal of Thoracic and Cardiovascular Surgery, 160/6, Marissa Donatelle, Gorav Ailawadi, Transcatheter tricuspid valve repair: bringing the forgotten valve into the spotlight, 1467-1473, Copyright (2020), with permission from Elsevier. Figure 1D reprinted with permission from Micro Interventional Devices, Inc.

Transcatheter Edge-to-Edge Repair

MitraClip and TriClip. The largest experience to date of transcatheter TV repair is with the MitraClip and TriClip system (Abbott). After many individual sites successfully performed the “off-label” procedure with the MitraClip device, Nickenig et al reported 6-month results from the TRILUMINATE single-arm trial encompassing 85 patients treated at 21 sites.10 The majority of patients (86%) had at least one grade reduction in TR at 30 days, with no conversions to surgery or embolization. There was no periprocedural mortality, and all-cause mortality at 6 months was 5%. The multicenter TRILUMINATE pivotal trial (NCT03227757) is underway, randomizing 700 patients at 66 sites to OMT versus OMT plus TriClip, which has a delivery system designed for the TV.11

Recently, Abbott has included their MitraClip G4 device in this trial, which allows independent grasping of leaflets and wider clip configuration. Recently, 2-year outcomes from TRILUMINATE were presented; the TriClip device was used at 21 sites in Europe and the United States and demonstrated sustained benefits from 30 days to 2 years. In 48 patients, 62% and 60% of patients had moderate/better TR at 30-day and 2-year follow-up, respectively. In addition, 85% and 81% of patients were NYHA class II or better at 30-day and 2-year follow-up. Patients had a 49% reduction in hospitalization but 19% mortality at 2 years.12

Pascal. The Pascal transcatheter edge-to-edge repair (TEER) device (Edwards Lifesciences) secures each leaflet independently with a spacer in the middle. In 2019, results were reported from 28 high-risk, compassionate-use patients who underwent transcatheter TV repair using the Pascal device. Procedural success was observed in 86%, with no intraprocedural complications. At 30-day follow-up, 88% of patients were NYHA class I or II, and 85% had a TR grade ≤ 2+.13 More recently, 30-day results from 34 patients in the prospective, single-arm CLASP TR early feasibility study (NCT03745313) demonstrated at least a one-grade improvement in TR in 85%, with 52% with moderate or less TR. Significant improvements in NYHA class (89% NYHA I/II), 6-minute walk test (6MWT) distance, and Kansas City Cardiomyopathy Questionnaire (KCCQ) scores were seen at follow-up.14 The randomized pivotal CLASP TR trial comparing OMT to Pascal plus OMT is currently underway.15

Annuloplasty Devices

In an effort to mimic surgical tricuspid annuloplasty, several devices have been developed to downsize the annulus and improve leaflet coaptation.

Cardioband. The transfemoral Cardioband direct annuloplasty device (Edwards Lifesciences) is most similar in concept to surgical tricuspid rings, with a C-shaped polyester sleeve anchored from the tricuspid annulus adjacent to the aortic valve to the septal annulus past the coronary sinus. Imaging of the annulus and its precise localization is challenging with this procedure, which also requires extensive preoperative planning with CT and transesophageal echocardiography and careful evaluation of the right coronary artery. When all anchors are in place, the device is gradually cinched in a stepwise fashion until optimal reduction in TR is achieved.16

The 30-day outcomes from the first 30 patients implanted with Cardioband in the United States early feasibility study demonstrated 85% improvement in TR by at least one grade, with 44% demonstrating moderate or less TR. The majority of patients had improvement in NYHA class (75% in NYHA I or II).17 Moreover, 2-year results from 30 patients in the prospective, single-arm, European TRI-REPAIR study demonstrated moderate or less TR in 72% and eight deaths. Symptomatic improvement was common, with 82% in NYHA I to II and similar improvements in functional assessments.18 Finally, 61 patients in the postmarket, European TriBAND study demonstrated at least one grade of TR reduction in 85% and improvements in NYHA and quality-of-life surveys similar to those seen in premarket trials.16

Minimally Invasive Annuloplasty (MIA) device. With the MIA device (Micro Interventional Devices, Inc.), transjugular tricuspid annuloplasty mimics the Kay procedure via partial annuloplasty using novel polymeric anchors. More than 30 patients in the STTAR study have been treated in Europe, and CE Mark documentation has been submitted. The 12-F MIA-T system recently received Breakthrough Device designation.19

Millipede Iris. The Millipede Iris implant (Boston Scientific Corporation) is a collapsible, nitinol, zigzag-shaped, semirigid circumferential annular ring with seven to nine screw anchors and collars. Iris is repositionable and adjustable to allow individual sizing. One unique feature is the intracardiac echosonography embedded in the delivery system, which aids in implantation and assessment of the coaptation zone. Rogers and colleagues documented acute procedural success in two patients who received the Millipede device in the mitral and tricuspid position.20 Of note, only seven of the nine anchors were implanted in the tricuspid position to avoid atrioventricular node injury.

TRANSCATHETER TRICUSPID REPLACEMENT

The debate between repair and replacement has evolved from surgical intervention to transcatheter intervention, and it will evolve further. The challenge of tricuspid repair technologies has remained our ability to image the leaflets (TEER devices) and the annulus (annuloplasty devices). Replacement technologies might be more forgiving to the limitations of tricuspid imaging. Several devices have had early, substantial success in carefully selected patients (Figure 2).

Figure 2. Tricuspid replacement devices. Fluoroscopic images of an Evoque valve (A), Gate system (B), and Intrepid TV (C). Figure 2B reprinted from JACC: Cardiovascular Interventions, 13/21, Rebecca T. Hahn, Susheel Kodali, Neil Fam, et al, Early multinational experience of transcatheter tricuspid valve replacement for treating severe tricuspid regurgitation, 2482-2493, Copyright (2020), with permission from Elsevier.

Evoque

The Evoque system (Edwards Lifesciences) is a bovine pericardial prosthesis on an inner nitinol frame with nine ventricular anchors on an outer frame that capture the tricuspid leaflets and anchor to the annulus. This percutaneous device is inserted through the femoral vein via a 28-F delivery system. The first reported human experience included 25 compassionate-use patients. All patients were deemed to be high surgical risk. Technical success was achieved in 92%, and no patients died or required surgery at 30 days. Notably, TR was nearly eliminated, with grade ≤ 2+ in 96%.21 The recently presented TRISCEND results confirmed the safety and efficacy profile of the Evoque valve in high-risk patients with symptomatic TR (46% severe, 29% massive, and 15% torrential). The study enrolled 56 high-risk patients (84% NYHA class III or IV). Follow-up at 30 days showed that 98% of patients had mild or none/trace TR, with significant improvements in NYHA class, 6MWT distance, and KCCQ score. At 30-day follow-up, one (1.9%) patient had died of a cardiovascular cause, and 22.6% had severe bleeding.22

The TRISCEND II pivotal trial (NCT04482062) has just started and will include 775 patients, with a randomized arm comparing Evoque and OMT versus OMT alone as well as a single-arm registry.23

Intrepid

The Intrepid bovine pericardial valve (Medtronic) is mounted on an inner frame with a separate outer frame used for seating. This device uses three rows of small tines and radial force to anchor to the tricuspid leaflets and annulus. After a small experience in compassionate-use cases, Medtronic received Breakthrough Device designation from the FDA for Intrepid.24 An early feasibility study is underway, but data have yet to be reported.

Gate

The Gate system (NaviGate Cardiac Structures Inc.) comprises a tissue valve mounted on a nitinol frame that can be delivered through the jugular vein or directly into the right atrium. A report of the first 30 symptomatic patients with severe TR who were treated with Gate demonstrated technical success in 87%, with two patients requiring conversion to open heart surgery and 76% of patients with mild or less TR. In-hospital mortality was 10%, and 62% were NYHA class I or II at intermediate follow-up.25

CONCLUSION

Until recently, awareness of TR has lagged behind other valve pathology, with the TV previously known as the “forgotten” valve. This is evidenced by the high surgical mortality commonly seen in patients who presented with advanced right-sided failure. With continued multidisciplinary focus and optimization, the imaging and procedural aspects of TV intervention, whether surgical or transcatheter, appear promising. Most exciting is the nearly quarterly evolution and experience of transcatheter tricuspid repair and replacement devices, both of which have demonstrated tremendous success for early generation devices. With this growing knowledge, it is evident that patients with significant TR need to be identified earlier and referred to a center with expertise in medical, surgical, and transcatheter approaches for treating the TV specifically, before the onset of torrential TR and severe right-sided heart failure symptoms.

1. Writing Committee Members; Otto CM, Nishimura RA, Bonow RO, et al. 2020 ACC/AHA guideline for the management of patients with valvular heart disease: a report of the American College of Cardiology/American Heart Association joint committee on clinical practice guidelines. J Am Coll Cardiol. 2021;77:450-500. doi: 10.1016/j.jacc.2020.11.035

2. Taramasso M, Benfari G, van der Bijl P, et al. Transcatheter versus medical treatment of patients with symptomatic severe tricuspid regurgitation. J Am Coll Cardiol. 2019;74:2998-3008. doi: 10.1016/j.jacc.2019.09.028

3. Zack CJ, Fender EA, Chandrashekar P, et al. National trends and outcomes in isolated tricuspid valve surgery. J Am Coll Cardiol. 2017;70:2953-2960. doi: 10.1016/j.jacc.2017.10.039

4. Dreyfus J, Flagiello M, Bazire B, et al. Isolated tricuspid valve surgery: impact of aetiology and clinical presentation on outcomes. Eur Heart J. 2020;41:4304-4317. Published correction appears in Eur Heart J. 2020;41:431804320. doi: 10.1093/eurheartj/ehaa643

5. Park SJ, Oh JK, Kim SO, et al. Determinants of clinical outcomes of surgery for isolated severe tricuspid regurgitation. Heart. 2021;107:403-410. Published correction appears in 2021;107:e4. doi: 10.1136/heartjnl-2020-317715

6. Hamandi M, Smith RL, Ryan WH, et al. Outcomes of isolated tricuspid valve surgery have improved in the modern era. Ann Thorac Surg. 2019;108:11-15. doi: 10.1016/j.athoracsur.2019.03.004

7. Goldstein D, Moskowitz AJ, Gelijns AC, et al; CTSN. Two-year outcomes of surgical treatment of severe ischemic mitral regurgitation. N Engl J Med. 2016;374:344-353. doi: 10.1056/NEJMoa1512913

8. McCarthy PM, Bhudia SK, Rajeswaran J, et al. Tricuspid valve repair: durability and risk factors for failure. J Thorac Cardiovasc Surg. 2004;127:674-685. doi: 10.1016/j.jtcvs.2003.11.019

9. Kawsara A, Alqahtani F, Nkomo VT, et al. Determinants of morbidity and mortality associated with isolated tricuspid valve surgery. J Am Heart Assoc. 2021;10:e018417. doi: 10.1161/JAHA.120.018417

10. Nickenig G, Weber M, Lurz P, et al. Transcatheter edge-to-edge repair for reduction of tricuspid regurgitation: 6-month outcomes of the TRILUMINATE single-arm study. Lancet. 2019;394:2002-2011. doi: 10.1016/S0140-6736(19)32600-5

11. TRILUMINATE study with Abbott transcatheter clip repair system in patients with moderate or greater TR (TRILUMINATE). Clinicaltrials.gov website. Accessed June 30, 2021. https://clinicaltrials.gov/ct2/show/NCT03227757

12. von Bardeleben R. Percutaneous E2E repair for TR: 2-year outcomes from the TRILUMINATE trial. Presented at: EuroPCR 2021; May 18-20, 2021; presented virtually.

13. Fam NP, Braun D, von Bardeleben RS, et al. Compassionate use of the PASCAL transcatheter valve repair system for severe tricuspid regurgitation: a multicenter, observational, first-in-human experience. JACC Cardiovasc Interv. 2019;12:2488-2495. doi: 10.1016/j.jcin.2019.09.046

14. Kodali S, Hahn RT, Eleid MF, et al; CLASP TR EFS Investigators. Feasibility study of the transcatheter valve repair system for severe tricuspid regurgitation. J Am Coll Cardiol. 2021;77:345-356. doi: 10.1016/j.jacc.2020.11.047

15. Edwards CLASP TR EFS (CLASP TR EFS). Clinicaltrials.gov website. Accessed June 30, 2021. https://clinicaltrials.gov/ct2/show/NCT03745313

16. Nickenig G, Friedrichs KP, Baldus S, et al. Thirty-day outcomes of the Cardioband tricuspid system for patients with symptomatic functional tricuspid regurgitation: the TriBAND study. EuroIntervention. Published May 18, 2021. doi: 10.4244/EIJ-D-21-00300

17. Davidson CJ, Lim DS, Smith RL, et al; Cardioband TR EFS Investigators. Early feasibility study of Cardioband tricuspid system for functional tricuspid regurgitation: 30-day outcomes. JACC Cardiovasc Interv. 2021;14:41-50. doi: 10.1016/j.jcin.2020.10.017

18. Nickenig G, Weber M, Schüler R, et al. Tricuspid valve repair with the Cardioband system: two-year outcomes of the multicentre, prospective TRI-REPAIR study. EuroIntervention. 2021;16:e1264-e1271. doi: 10.4244/EIJ-D-20-01107

19. The Bradford Era. FDA grants Micro Interventional Devices, Inc. Breakthrough Device designation for the MIA™-T percutaneous tricuspid annuloplasty system. Published May 27, 2021. Accessed June 30, 2021. https://www.bradfordera.com/news/state/fda-grants-micro-interventional-devices-inc-breakthrough-device-designation-for-the-mia--t-percutaneous/article_1ea01831-3c51-5634-b0b5-6b2033687852.html

20. Rogers JH, Boyd WD, Bolling SF. Tricuspid annuloplasty with the Millipede ring. Prog Cardiovasc Dis. 2019;62:486-487. doi: 10.1016/j.pcad.2019.11.008

21. Fam NP, von Bardeleben RS, Hensey M, et al. Transfemoral transcatheter tricuspid valve replacement with the EVOQUE system: a multicenter, observational, first-in-human experience. JACC Cardiovasc Interv. 2021;14:501-511. doi: 10.1016/j.jcin.2020.11.045

22. Susheel K. Transfemoral tricuspid valve replacement: TRISCEND study 30-day results. Presented at: EuroPCR 2021; May 18-20, 2021; presented virtually.

23. TRISCEND II Pivotal Trial. Clinicaltrials.gov website. Accessed June 30, 2021. https://clinicaltrials.gov/ct2/show/NCT04482062

24. Medtronic. Medtronic receives Breakthrough Device designation from FDA, begins early feasibility study for investigational Intrepid™ transcatheter valve system for the treatment of tricuspid valve regurgitation. Published September 9, 2020. Accessed June 30, 2021. https://newsroom.medtronic.com/news-releases/news-release-details/medtronic-receives-breakthrough-device-designation-fda-begins

25. Hahn RT, Kodali S, Fam N, et al. Early multinational experience of transcatheter tricuspid valve replacement for treating severe tricuspid regurgitation. JACC Cardiovasc Interv. 2020;13:2482-2493. doi: 10.1016/j.jcin.2020.07.008

Gorav Ailawadi, MD, MBA
Professor and Chair
Department of Cardiac Surgery
University of Michigan
Ann Arbor, Michigan
ailawadi@umich.edu
Disclosures: Consultant for Edwards, Abbott, Medtronic, Admedus, DiNova, Gore, and Atricure.

Charles Davidson, MD
Division of Cardiology
Department of Medicine
Northwestern University Feinberg School of Medicine
Chicago, Illinois
Disclosures: Receives research grant support from Edwards Lifesciences and Abbott Vascular; consultant for Edwards Lifesciences.

Maurizio Taramasso, MD, PhD
HerzZentrum Hirslanden
Zürich, Switzerland
Disclosures: Consultant for Abbott, Edwards Lifesciences, Boston Scientific Corporation, Shenqi Medical, Simulands, MTEx, Occlufit, CoreMedic, and 4tech; receives personal fees from Mitraltech.

Marta Sitges Carreño, MD, PhD
Director, Cardiovascular Institute
Hospital Clínic de Barcelona
Associate Professor
Universitat de Barcelona
Barcelona, Spain
Disclosures: Consultant to and speaker honoraria from Edwards Lifesciences, Abbott, and Medtronic.