With the increasing awareness of the adverse impact of tricuspid regurgitation (TR) on outcomes, the need to understand the pathophysiology of this disease has grown.1-3 The main components of the tricuspid valve (TV) are the annulus, leaflets, chordae tendineae, and papillary muscles, and its normal function depends on the integrity and interplay of these components with the right atrium (RA), right ventricle (RV), and other surrounding structures. Understanding the anatomy and physiology of these components is important for the diagnosis and optimal planning of repair procedures. In this article, we focus on the normal anatomy and physiology of all components of the TV and the pathologic derangements associated with the most common types of TR. We show that functional TR is multifactorial, resulting from pulmonary hypertension, atrial fibrillation (AFib), and RV and RA remodeling.

NORMAL ANATOMY OF THE TV

The TV is the largest valve, with a normal orifice area ranging from 7 to 9 cm2. Because of its size, the mean transtricuspid diastolic gradient is low (< 2 mm Hg).4 The TV has four components: annulus (with the attached RA and RV), leaflets, papillary muscles (with the attached RV), and chordae tendineae.4,5 Each of these components and their relationship to each other plays an essential role in normal TV function.

TV Annulus

The normal tricuspid annulus has two segments, an arched segment relating to the free wall of the RA and RV and a straight segment related to the septal leaflet and the ventricular septum. It is nonplanar, lowest in the posteroseptal area, and most superior in the anteroseptal portion.6 Although the term annulus suggests a distinctive, fibrous structure, pathologic studies have shown that there is almost no fibrous tissue or collagen and that the annulus is composed mainly of the epicardium, endocardium, and adipose tissue in the atrioventricular (AV) groove.7 The annulus is dynamic and the annular area decreases by up to 30% during the cardiac cycle (largest at end systole and early diastole). It also changes significantly with loading conditions, even with the respiratory cycle.8 Important surrounding structures include the AV node and bundle of His, which cross 3 to 5 mm posterior to the anteroseptal commissure, and the right coronary artery that courses in the AV groove near the annulus, with gradual shortening of the distance toward the inferior segment down to < 3 mm.9 With secondary TR, either due to RA or RV adverse remodeling, the annulus, dilates toward the lateral and posterior free wall and becomes more spherical and planar (Figure 1).10 Dilation of the septal segment is limited because of its anatomic relation with the fibrous skeleton of the heart.11

Figure 1. The RV anatomy from the long axis view. The red arrows show the direction of dilation of atrial wall, annulus, and leaflets in the setting of idiopathic (atrial remodeling) secondary TR. The blue arrows show the direction of dilation of lateral and septal RV walls, papillary muscles, and leaflets in the setting of secondary TR related to pulmonary hypertension (RV remodeling). In numerous etiologies for secondary TR, these processes can be combined. LPA, left pulmonary artery; MPA, main pulmonary artery; RPA, right pulmonary artery.

TV Leaflets

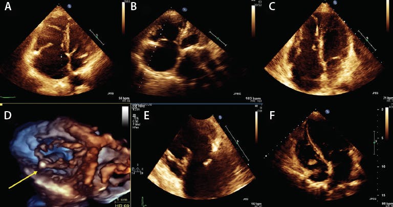
Usually, the TV has three leaflets: septal, anterior, and posterior.12 The anterior leaflet is the largest circumferentially and longest in the radial direction. The posterior leaflet may have multiple scallops and is the smallest circumferentially. In 10% of patients, it is not separated from the anterior leaflet. The septal leaflet is the shortest in the radial direction and the least mobile. A recent report has shown that in many cases, two, four, or even more leaflets may be present as anatomic variants in healthy patients.13 Important anatomic landmarks for the leaflets include the commissure between the septal and posterior leaflets that is usually located near the entrance of the coronary sinus and the commissure between the septal and anterior leaflets that is usually located near the noncoronary sinus of Valsalva.9 Coaptation of the tricuspid leaflets is usually slightly below or at the annular level, with a coaptation length ranging between 5 and 10 mm (Figure 1).9 This reserve allows for some dilation of the annulus to occur before significant TR ensues. In numerous primary causes of TR, either due to congenital or acquired disease processes, primary injury to the leaflets is the cause of TR (Figure 2).

Figure 2. Echo images of carcinoid with thickened septal and anterior leaflets (Carpentier type IIIa) (A); rheumatic TR with doming of septal and anterior leaflets (type IIIa) (B); Ebstein anomaly with apical displacement of septal leaflet (mixed mechanism) (C); pacemaker-induced TR with impinging of posterior leaflet (mixed mechanism) (D); flail TR (type II) (E); endocarditis with large mass on anterior leaflet (mixed mechanism) (F). Note that the mechansim of injury to the leaflets is different for each etiology.

Tricuspid Subvalvular Apparatus

The tricuspid subvalvular apparatus includes the papillary muscles and chordae tendineae.14 There are at least two separate papillary muscles (anterior and posterior). In approximately 80% of patients, there is a third septal papillary muscle. The largest tricuspid papillary muscle is the anterior muscle with chordae connected to the anterior and posterior leaflets. The moderator band extends from the base of the anterior papillary muscle to the right side of the ventricular septum. The posterior papillary muscle provides chordal support to the posterior and septal leaflets. If present, the septal papillary muscle provides chordal support to the anterior and septal leaflets. If it is absent, chordae to these leaflets may arise directly from the septum.9 Examples of primary injury to the subvalvular apparatus causing primary TR include torn chordae in flail TR, shortening of the entire subvalvular apparatus causing systolic and diastolic tethering of the leaflets in rheumatic TR, or elongation and thickening of chordae in TV prolapse (Figure 2). Because chordae tendineae are made of collagen, their length is fixed, thus, even a small shift of the septal or lateral RV segments may pull the supported tricuspid leaflets. This explains the systolic (but not diastolic) tethering of leaflets that occurs with dilation of the RV or displacement of the papillary muscles in numerous types of secondary TR (Figure 1 and Figure 3).

Figure 3. RA and RV remodeling and valvular determinants in patients with RV remodeling of pulmonary hypertension (upper panel, A), or atrial remodeling (lower panel, A). Note that with pulmonary hypertension, RV dilates mostly in the middle area, resulting in spherical appearance of the RV. The midventricular dilatation pulls the papillary muscles away from the valve, resulting in tethering. Pathologic specimen shows the marked RV hypertrophy and flattening of septum, resulting in midventricular dilatation (B). In patients with idiopathic TR, the RA dilates, resulting in enlargement of the basal RV and annular dilatation (C). In these patients, TR occurs because of loss of valvular coverage reserve, and RV assumes a conical appearance without notable valvular tethering. In this pathologic specimen, there is no RV hypertrophy or midventricular dilatation.

RA and RV

The RA is located posterior and superior to the RV and consists of a venous component, appendage, and main body. The superior vena cava (SVC) drains into the RA on its superior wall, and its orifice is localized in the venous component of the atrium.15 The mean diameter of the SVC orifice is approximately 20 mm. The orifice of the SVC is usually deprived of any anatomic obstacles15; hence, it is considered to be the preferred access for catheterization of the RA in most procedures. The orifice of the inferior vena cava is localized in the posteroinferior region of the venous part of the RA. It is larger, with a mean orifice diameter of approximately 24 mm.15

Any process that dilates the RA, including longstanding (persistent or chronic) AFib or RV failure, given the less-developed fibrous skeleton, may result in TV annular dilatation, loss of TV leaflet coaptation reserve, and secondary TR.16

The highly distensible pulmonary vessels allow the RV to eject the same stroke volume as the left ventricle (LV) while using only 20% of LV stroke work. Just like the LV, the RV is influenced by contractility, afterload, preload, and ventricular interdependence.17 With increasing RV afterload, typical sequential morphologic changes may be seen, including basal dilatation resulting in tricuspid annular dilation at first (in the presence of lower pulmonary artery pressure) and RV elongation combined with midventricular dilation later in the course of disease (in the setting of more elevated pulmonary pressure).18

TV PHYSIOLOGY

Normal TV Physiology

Recent reports have suggested that the TV is sensitive both to increase in volume load and afterload. With inspiration, breathing-induced changes in intrathoracic pressure increase RV end-diastolic and end-systolic volume by approximately 20 and 15 mL, respectively.19 A recent report has shown that these small changes in RV volume result in rapid remodeling of the RV, which becomes wider without elongation.8 These changes lead to the enlarged systolic annulus and decreased valve coverage of the annulus. Furthermore, RV enlargement and widening may displace RV walls and attached tricuspid papillary muscle centrifugally away from the TV, causing increased tethering that exacerbates leaflet noncoaptation even further. Another recent report has assessed the effect of RV afterload on TR. In serial echocardiograms, an increase in RV afterload was associated with TR progression due to RV enlargement, mainly at the midventricular level, and increased annular diameter. A decrease in RV afterload had the opposite effect on RV remodeling, TV morphology, and RV remodeling. These preload- and afterload-induced changes provide unique insights into the extreme plasticity of the right-side ventriculovalvular complex. Such plasticity may explain the load and afterload sensitivity of TR, which may rapidly and intermittently regress with medical treatment by diuretics or pulmonary vasodilators, respectively.20

Pathophysiology of TR

TR can be divided into primary and secondary causes (Table 1; Figure 2Figure 3, and Figure 4). Primary TR is rare and in recent prospective population studies occurs in < 10% of patients.21 Primary TR can be caused by congenital or acquired disease processes that affect the leaflets, chordal structures, or both (Table 1; Figure 2). Common causes for primary TR include rheumatic disease, endocarditis, carcinoid, radiation, drug-induced TR, flail leaflets, or congenital diseases (Figure 2).22 However, recent studies suggest the most common primary causes for TR are related to pacemaker or defibrillator leads.21 These leads can perforate or adhere to leaflets, entangle the chordal apparatus, or impinge leaflets.23 Recently, a three-dimensional echo study has shown that the prevalence of leads impinging on the leaflets in patients with TR (most commonly the posterior or septal) is close to 50%. Although primary TR is rare, it should be recognized and distinguished from secondary TR because it is crucial for patient selection for invasive procedures.24

Figure 4. The etiology of TR divided to primary (purple circles) and secondary (blue circles) causes. In the lower boxes, the major mechanism of TR is stressed. AICD, automated implantable cardioverter defibrillator; AR, aortic regurgitation; ARVD, arrhythmogenic right ventricular dysplasia; AS, aortic stenosis; COPD, chronic obstructive pulmonary disease; HFrEF, heart failure with reduced ejection fraction; HFpEF, heart failure with preserved ejection fraction; ILD, interstitial lung disease; L, left; MR, mitral regurgitation; MS, mitral stenosis; PHT, pulmonary hypertension; R, right; RV MI, right ventricle myocardial infarction; RVOTO, right ventricular outflow obstruction; TGA, L-transposition of the great arteries.

Secondary TR is much more common and can be categorized either by the etiology (disease process) or mechanism (morphologic abnormality of the tricuspid apparatus) (Table 1). Classification by etiology includes those related to RV dilatation or dysfunction (ie, ventricular functional TR) and those related to RA and TA dilatation and dysfunction (ie, atrial functional TR, also known as idiopathic or isolated functional TR).25 Etiologies associated with ventricular function TR include the following: left-side heart diseases (systolic, diastolic heart failure, aortic or mitral disease) usually associated with postcapillary pulmonary hypertension, TR due to precapillary pulmonary hypertension (chronic lung disease, pulmonary thromboembolism, primary pulmonary hypertension), TR due to primary RV dilation, and/or dysfunction (large left to right shunt, primary RV dysplasia, RV ischemia/infarction). Atrial functional TR is associated with long-standing AFib and/or heart failure with preserved ejection fraction and may be more common in females.18 The etiologies of primary and secondary TR are summarized in Table 1 and Figure 4.

The common TV morphologic abnormalities associated with secondary TR due to ventricular functional TR include (1) RV dilatation resulting in a more spherical ventricle, with or without dysfunction; (2) tethering of the tricuspid leaflets in the setting of papillary muscles displacement (Carpentier class IIIb); and (3) mild dilation of the TA, with or without RA dilatation. TV morphologic abnormalities associated with atrial functional TR include (1) severe dilatation and dysfunction of the RA and TA26; (2) minimal tethering of the tricuspid leaflets with otherwise normal leaflet motion (Carpentier class I); and (3) dilatation of the RV base with preservation of the conical RV shape (Figure 1 and Figure 3). Recent echocardiographic studies suggested that the prevalence of atrial functional TR with or without AFib is between 9% and 16%.21,27

However, as the disease progresses, morphologic characteristics of both ventricular and atrial functional disease may be seen resulting in a mixed presentation. For example, TR associated with left-sided heart disease results in elevated left atrial filling pressure, pulmonary venous hypertension, and postcapillary pulmonary arterial hypertension. This usually results in both dilation and lengthening of the RV and dilation of the RA/tricuspid annulus and a combination of tethering and annular dilatation, respectively. Primary RV dysfunction (ischemic or other cardiomyopathic processes) usually results in a combined mechanism including both RA and RV remodeling as well (Table 1; Figure 1 and Figure 4).11

Because the severity of TR fluctuates significantly with loading conditions, the morphology of the TV is crucial for assessing both the TR severity and outcomes with surgical or percutaneous repair. Specifically, annular diameter and tenting areas or volumes correlate with TR severity. Furthermore, increased tenting height, area, or volume are all associated with poorer results after surgical or percutaneous repair.28,29

SUMMARY

We have described the anatomy and physiology of the different parts of the TV apparatus, including the annulus, leaflets, chordae tendineae, and papillary muscles in normal subjects and with different types of TR. We showed that TR is affected by a complex dynamic change of the annulus, leaflets, chords, papillary muscles, and atrial and ventricular interaction. It is associated with a different mechanism depending on the type of TR. In patients with type I TR, it is linked mostly to conical deformation of the RV, RA dilatation, and extreme annular dilatation without tethering. In patients with type IIIb TR, the major contributors are spherical deformation of the RV, papillary displacement, and leaflet tethering. These new insights should lead to refined concepts for TR pathophysiology and repair techniques.

1. Topilsky Y, Nkomo VT, Vatury O, et al. Clinical outcome of isolated tricuspid regurgitation. JACC Cardiovasc Imaging. 2014;7:1185-1194. doi: 10.1016/j.jcmg.2014.07.018

2. Benfari G, Antoine C, Miller WL, et al. Excess mortality associated with functional tricuspid regurgitation complicating heart failure with reduced ejection fraction. Circulation. 2019;140:196-206. doi: 10.1161/CIRCULATIONAHA.118.038946

3. Nath J, Foster E, Heidenreich PA. Impact of tricuspid regurgitation on long-term survival. J Am Coll Cardiol. 2004;43:405-409. doi: 10.1016/j.jacc.2003.09.036

4. Hahn RT. State-of-the-art review of echocardiographic imaging in the evaluation and treatment of functional tricuspid regurgitation. Circ Cardiovasc Imaging. 2016;9:e005332. doi: 10.1161/CIRCIMAGING.116.005332

5. Taramasso M, Pozzoli A, Basso C, et al. Compare and contrast tricuspid and mitral valve anatomy: interventional perspectives for transcatheter tricuspid valve therapies. EuroIntervention. 2018;13:1889-1898. doi: 10.4244/EIJ-D-17-00704

6. Fawzy H, Fukamachi K, Mazer CD et al. Complete mapping of the tricuspid valve apparatus using three-dimensional sonomicrometry. J Thorac Cardiovasc Surg. 2011;141:1037-1043. doi: 10.1016/j.jtcvs.2010.05.039

7. Messer S, Moseley E, Marinescu M, et al. Histologic analysis of the right atrioventricular junction in the adult human heart. J Heart Valve Dis. 2012;21:368-373.

8. Topilsky Y, Tribouilloy C, Michelena HI, et al. Pathophysiology of tricuspid regurgitation: quantitative Doppler echocardiographic assessment of respiratory dependence. Circulation. 2010;122:1505-1513. doi: 10.1161/CIRCULATIONAHA.110.941310

9. Dahou A, Levin D, Reisman M, Hahn RT. Anatomy and physiology of the tricuspid valve. JACC Cardiovasc Imaging. 2019;12:458-468. doi: 10.1016/j.jcmg.2018.07.032

10. Mahmood F, Kim H, Chaudary B, et al. Tricuspid annular geometry: a three-dimensional transesophageal echocardiographic study. J Cardiothorac Vasc Anesth. 2013;27:639-646. doi: 10.1053/j.jvca.2012.12.014

11. Rodes-Cabau J, Hahn RT, Latib A, et al. Transcatheter therapies for treating tricuspid regurgitation. J Am Coll Cardiol. 2016;67:1829-1845. doi: 10.1016/j.jacc.2016.01.063

12. Martinez RM, O’Leary PW, Anderson RH. Anatomy and echocardiography of the normal and abnormal tricuspid valve. Cardiol Young. 2006;16(suppl 3):4-11. doi: 10.1017/s1047951106000709

13. Hahn RT, Weckbach LT, Noack T, et al. Proposal for a standard echocardiographic tricuspid valve nomenclature. JACC Cardiovasc Imaging. Published online March 10, 2021. doi: 10.1016/j.jcmg.2021.01.012

14. Tretter JT, Sarwark AE, Anderson RH, Spicer DE. Assessment of the anatomical variation to be found in the normal tricuspid valve. Clin Anat. 2016;29:399-407. doi: 10.1002/ca.22591

15. Kucybala I, Ciuk K, Klimek-Piotrowska W. Clinical anatomy of human heart atria and interatrial septum - anatomical basis for interventional cardiologists and electrocardiologists. Part 1: right atrium and interatrial septum. Kardiol Pol. 2018;76:499-509. doi: 10.5603/KP.a2017.0248

16. Najib MQ, Vinales KL, Vittala SS, et al. Predictors for the development of severe tricuspid regurgitation with anatomically normal valve in patients with atrial fibrillation. Echocardiography. 2012;29:140-146. doi: 10.1111/j.1540-8175.2011.01565.x

17. Haddad F, Hunt SA, Rosenthal DN, Murphy DJ. Right ventricular function in cardiovascular disease, part I: Anatomy, physiology, aging, and functional assessment of the right ventricle. Circulation. 2008;117:1436-1448. doi: 10.1161/CIRCULATIONAHA.107.653576

18. Topilsky Y, Khanna A, Le Tourneau T, et al. Clinical context and mechanism of functional tricuspid regurgitation in patients with and without pulmonary hypertension. Circ Cardiovasc Imaging. 2012;5:314-323. doi: 10.1161/CIRCIMAGING.111.967919

19. Claessen G, Claus P, Delcroix M, et al. Interaction between respiration and right versus left ventricular volumes at rest and during exercise: a real-time cardiac magnetic resonance study. Am J Physiol Heart Circ Physiol. 2014;306:H816-H824. doi: 10.1152/ajpheart.00752.2013

20. Medvedofsky D, Aronson D, Gomberg-Maitland M, et al. Tricuspid regurgitation progression and regression in pulmonary arterial hypertension: implications for right ventricular and tricuspid valve apparatus geometry and patients outcome. Eur Heart J Cardiovasc Imaging. 2017;18:86-94. doi: 10.1093/ehjci/jew010

21. Vieitez JM, Monteagudo JM, Mahia P, et al. New insights of tricuspid regurgitation: a large-scale prospective cohort study. Eur Heart J Cardiovasc Imaging. 2021;22:196-202. doi: 10.1093/ehjci/jeaa205

22. Topilsky Y. Tricuspid valve regurgitation: epidemiology and pathophysiology. Minerva Cardioangiol. 2018;66:673-679.

23. Al-Bawardy R, Krishnaswamy A, Bhargava M et al. Tricuspid regurgitation in patients with pacemakers and implantable cardiac defibrillators: a comprehensive review. Clin Cardiol 2013;36:249-54. doi: 10.23736/S0026-4725.18.04670-4

24. Mediratta A, Addetia K, Yamat M et al. 3D echocardiographic location of implantable device leads and mechanism of associated tricuspid regurgitation. JACC Cardiovasc Imaging. 2014;7:337-347. doi: 10.1016/j.jcmg.2013.11.007

25. Muraru D, Guta AC, Ochoa-Jimenez RC, et al. Functional regurgitation of atrioventricular valves and atrial fibrillation: an elusive pathophysiological link deserving further attention. J Am Soc Echocardiogr. 2020;33:42-53. doi: 10.1016/j.echo.2019.08.016

26. Girard SE, Nishimura RA, Warnes CA, et al. Idiopathic annular dilation: a rare cause of isolated severe tricuspid regurgitation. J Heart Valve Dis. 2000;9:283-287.

27. Utsunomiya H, Itabashi Y, Mihara H, et al. Functional tricuspid regurgitation caused by chronic atrial fibrillation: a real-time 3-dimensional transesophageal echocardiography study. Circ Cardiovasc Imaging. 2017;10:e004897. doi: 10.1161/CIRCIMAGING.116.004897

28. Fukuda S, Song JM, Gillinov AM, et al. Tricuspid valve tethering predicts residual tricuspid regurgitation after tricuspid annuloplasty. Circulation. 2005;111:975-979. doi: 10.1161/01.CIR.0000156449.49998.51

29. Mehr M, Taramasso M, Besler C, et al. 1-year outcomes after edge-to-edge valve repair for symptomatic tricuspid regurgitation: results from the TriValve registry. JACC Cardiovasc Interv. 2019;12:1451-1461. doi: 10.1016/j.jcin.2019.04.019

Yan Topilsky, MD
Division of Cardiology
Tel Aviv Medical Center
Affiliated with the Sackler Faculty of Medicine
Tel Aviv University
Tel Aviv, Israel
topilskyyan@gmail.com
Disclosures: Receives speaker fees from Abbott and Edwards Lifesciences; consulting contracts with CardioValve and Mitralix.

Rebecca T. Hahn, MD, FACC
Columbia University Medical Center
NewYork-Presbyterian Hospital
New York, New York
rth2@columbia.edu
Disclosures: Receives speaker fees from Abbott, Edwards Lifesciences, and Philips; has institutional consulting contracts with Abbott, Boston Scientific, Edwards Lifesciences, and Gore & Associates; Chief Scientific Officer for the Echocardiography Core Laboratory at the Cardiovascular Research Foundation.