Continuous Power Aspiration with the Indigo System CAT RX (Penumbra, Inc.) recently received CE Mark clearance and became available in Europe, continuing to gain in popularity as a solution for the management of thrombus in the coronary arteries. Adapted from the neurovascular space, this system couples a vacuum pump, which enables continuous and powerful aspiration, with a highly deliverable, atraumatic, large-lumen catheter. As part of the Indigo Aspiration System, the Indigo CAT RX Aspiration Catheters and Indigo Separator 4 are indicated for the removal of fresh, soft emboli and thrombi from the vessels in the coronary and peripheral vasculature.

Promising results have been shown in the CHEETAH study, a prospective and multicenter study that enrolled 400 patients in 25 hospitals across the United States.1 Indigo System CAT RX was used as a frontline strategy to manage thrombus prior to primary percutaneous coronary intervention (PCI) in acute coronary syndrome (ACS) with thrombolysis in myocardial infarction (TIMI) thrombus grade > 3. This study met the primary safety endpoint, with a major adverse cardiovascular event (MACE) rate of 3.6% at 30 days. No evidence of device-related serious adverse events, including stroke, was shown and final TIMI thrombus grade 0 was achieved in 99.5% of patients. Among the most important findings, the rate of distal embolization was only 0.75%, and the myocardial blush grade 3 was reached in 99.8% of the patients (Figure 1).

Figure 1. Safety and performance of CAT RX in the CHEETAH study.

These preliminary results clearly show the safety and efficacy of the Indigo System CAT RX, which may be beneficial in the management of ACS patients characterized by high thrombus burden, potentially leading to better patient outcomes.

1. Mathews SJ, Parikh SA, Wu W, et al. Sustained mechanical aspiration thrombectomy for high thrombus burden coronary vessel occlusion: the multicenter CHEETAH study. Circ Cardiovasc Interv. 2023;16:e012433. doi: 10.1161/CIRCINTERVENTIONS.122.012433


Prof. Irene Marthe Lang, MD
Internal Medicine II, Cardiology
AKH-Vienna
Medical University of Vienna
Vienna, Austria
irene.lang@meduniwien.ac.at

What are some of the challenges and risks associated with large thrombus burden during PCI?

Large coronary thrombus tends to cause distal embolization and microvascular obstruction, which manifests as no reflow.1 No reflow is associated with larger infarct size and worse outcomes, such as increased risk of mortality, heart failure, and decreased left ventricular (LV) function.2 The main challenge is to preserve microvascular function in cases of vessel occlusion with large thrombus burden, which has been showed to depend on several different biological factors.3

What are the current treatment options for large thrombus burden in the coronaries?

The management of patient with high thrombus burden is something that cannot be underestimated. Current options include manual aspiration, ballooning, and stenting. There has been also evidence of the role of specific drugs in the management of these patients. For example, intracoronary adenosine has been beneficial.4

Manual aspiration catheters utilize a small 30-mL syringe that loses aspiration once fluid enters the system; this may lead to systemic embolism5 and increased risk of stroke.6 Also, using a balloon alone to break up the clot before placing a stent may cause the migration of clot into the distal vessels and block the microcirculation, causing no flow.1

Nevertheless, lack of visualization of the target lesion when the thrombus is not completely removed may increase the chances of incorrect stent sizing. Undersized or underexpanded stents often lead to stent thrombosis or long-term target vessel failure.1

Past coronary aspiration trials have shown mixed results on the safety and effectiveness of manual aspiration. What’s your opinion on the current evidence on manual aspiration?

Large, dedicated trials (eg, TASTE, TOTAL) have shown little to no benefit of thrombus aspiration. Based on predominantly negative study evidence, routine thrombus aspiration during primary PCI is not recommended by guidelines, and this is related to a lack of effectiveness at the price of potential harm.7 I agree that routine aspiration in ST-segment elevation myocardial infarction (STEMI) cannot be advised; however, in the presence of large thrombus burden, aspiration is a very helpful method in experienced hands.8 With this in mind, in my daily practice, I use thrombus aspiration in the right patient setting, despite past coronary aspiration trial results.

What do we understand about no reflow, and what are some of the potential consequences?

No reflow signifies cessation of normal coronary flow because of microvascular obstruction. It is defined as a condition of coronary flow impairment without angiographic evidence of epicardial coronary obstruction that describes stagnant antegrade flow with distal cessation of contrast opacification upon contrast injection. Histologic studies have shown that procoagulant tissue factor and nucleotides from dying cells constitute the vascular obstructive material. Inflammation and vascular leak lead to an increase in tissue damage and worse outcomes.9

What are some implications for patients when they experience distal embolization or no reflow?

The implications of distal embolization are reduced ST-segment resolution, increased infarct size, and potentially, patient demise. Coronary no reflow is a powerful independent predictor of death or MI, even after multivariable analysis.10

Do you see a benefit in the use of CAT RX in helping to limit no reflow?

I see a benefit for very large thrombus. It could help in the reduction of thrombus, making it easier to balloon and stent, while limiting the risk of distal embolization.1 As a believer in thrombus aspiration in STEMI, I expect that, if a trial were done to compare significant thrombus load after wire passage with versus without CAT RX treatment, myocardial injury would be larger without its use.

1. Vecchio S, Varani E, Chechi T, et al. Coronary thrombus in patients undergoing primary PCI for STEMI: prognostic significance and management. World J Cardiol. 2014;6:381-392. doi: 10.4330/wjc.v6.i6.3812

2. Rezkalla SH, Shereif RV, Hanna J, Kloner RA. Management of no-reflow phenomenon in the catheterization laboratory. JACC Cardiovasc Interv. 2017;10:215-223. doi: 10.1016/j.jcin.2016.11.059

3. Bonderman D, Teml A, Jakowitsch J, et al. Coronary no-reflow is caused by shedding of active tissue factor from dissected atherosclerotic plaque. Blood. 2002;99:2794-2800. doi: 10.1182/blood.v99.8.2794

4. Su Q, Nyi TS, Li L, et al. Adenosine and verapamil for no-reflow during primary percutaneous coronary intervention in people with acute myocardial infarction. Cochrane Database Syst Rev. 2015;2015:CD009503. doi: 10.1002/14651858.CD009503.pub3.

5. Lin MS, Wu LS, Cheng NJ, et al. Thrombus aspiration complicated by systemic embolization in patients with acute myocardial infarction. Circ J. 2009;73:1356-1358. doi: 10.1253/circj.cj-08-0569

6. Jolly SS, Carines JA, Yusuf S, et al. Randomized trial of primary PCI with or without routine manual thrombectomy. N Engl J Med. 2015;372:1389-1398. doi: 10.1056/NEJMoa14150987

7. Pruthi S, Bangalore S. The state of coronary thrombus aspiration. J Am Heart Assoc. 2022;11:e026849. doi: 10.1161/JAHA.122.026849

8. Jolly SS, Cairns JA, Lavi S, et al. Thrombus aspiration in patients with high thrombus burden in the TOTAL trial. J Am Coll Cardiol. 2018; 72:1589-1596. doi: 10.1016/j.jacc.2018.07.047

9. Kloner RA, Ganote CE, Jennings RB. The “no-reflow” phenomenon after temporary coronary occlusion in the dog. J Clin Invest. 1974;54:1496-1508. doi: 10.1172/JCI107898

10. Resnic FS, Wainstein M, Lee MKY, et al. No-reflow is an independent predictor of death and myocardial infarction after percutaneous coronary intervention. Am Heart J. 2003;145:42-46. doi: 10.1067/mhj.2003.36


THROMBUS REMOVAL IN ANEURYSMATIC RCA

Stefano Galli, MD
Interventional Cardiology
Department
Centro Cardiologico Monzino
Milan, Italy
stefano.galli@ccfm.it

CASE PRESENTATION

A man in his late 60s with known dyslipidemia, a history of coronary artery disease treated with implantation of multiple stents, and mitral insufficiency treated with two MitraClip devices (Abbott) presented with persisting chest pain that started a few days before presentation. He arrived at the emergency department where he was found to have an acute MI, atrial fibrillation, and a severe LV dysfunction with an ejection fraction of 35%. Clopidogrel 600 mg was administered, and the patient was sent directly to the cath lab.

INTERVENTION

A 6-F Glidesheath Slender sheath (Terumo Interventional Systems) was placed in the radial artery, and a 5-F Tiger catheter (Terumo Interventional Systems) was used to engage the left coronary artery and right coronary artery (RCA). From coronary angiography, the proximal to mid left anterior descending artery (LAD) was shown to be patent, with diffused mild in-stent restenosis involving the first diagonal branch. The circumflex artery had an abnormal origin from the right sinus of Valsalva and was found to be healthy.

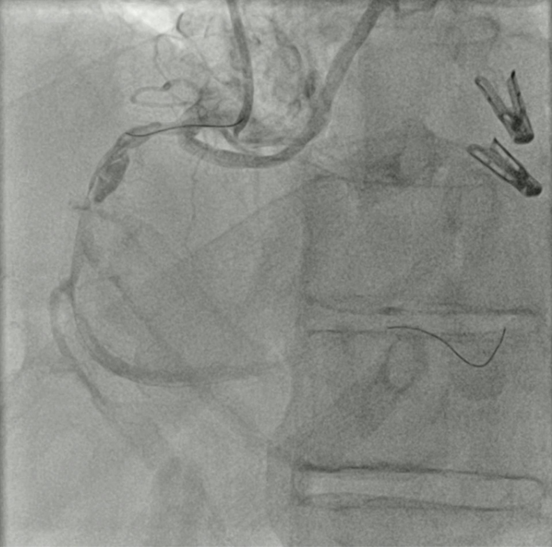
In the dominant RCA, a proximal aneurysm was present, associated with an ulcerated plaque and a severe stenosis in the distal part of the aneurysm. The aneurysmatic RCA was also characterized by a grade 4 thrombus (Figure 1).

Figure 1. Preprocedural angiogram of the left PA.

COURSE OF TREATMENT

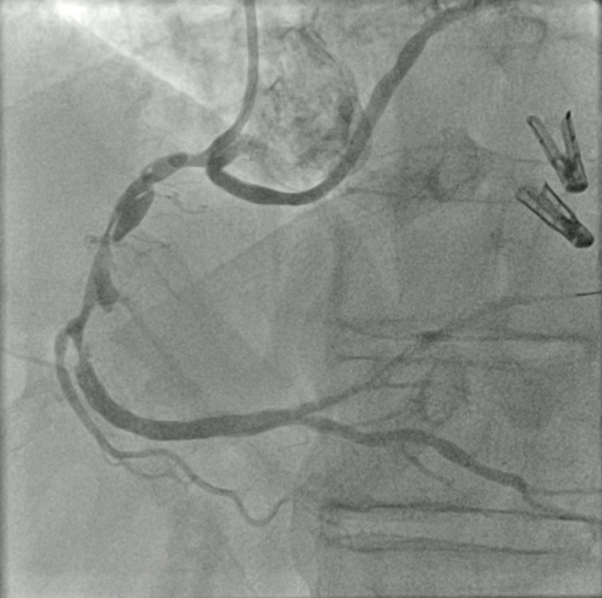
A 6-F guiding catheter (Adroit, Cordis) was positioned in the RCA over a 0.014-inch guidewire (Sion Black, Asahi Intecc Medical). After a gentle predilatation with a 2- X 15-mm balloon (Ryurei, Terumo Interventional Systems), thrombus aspiration with the CAT RX System was performed, and after two passes, the thrombus in the RCA was dramatically reduced and angiography showed a TIMI grade 3 flow (Figure 2). Optical coherence tomography (OCT) was performed to better visualize the aneurysm, the stenosis, and the amount of thrombus after the run with CAT RX. OCT confirmed reduction of the floating thrombus (Figure 3), and it was possible to appreciate red and organized thrombus in the canister filter at the end of the procedure.

Figure 2. Angiogram after aspiration.

Figure 3. OCT after aspiration.

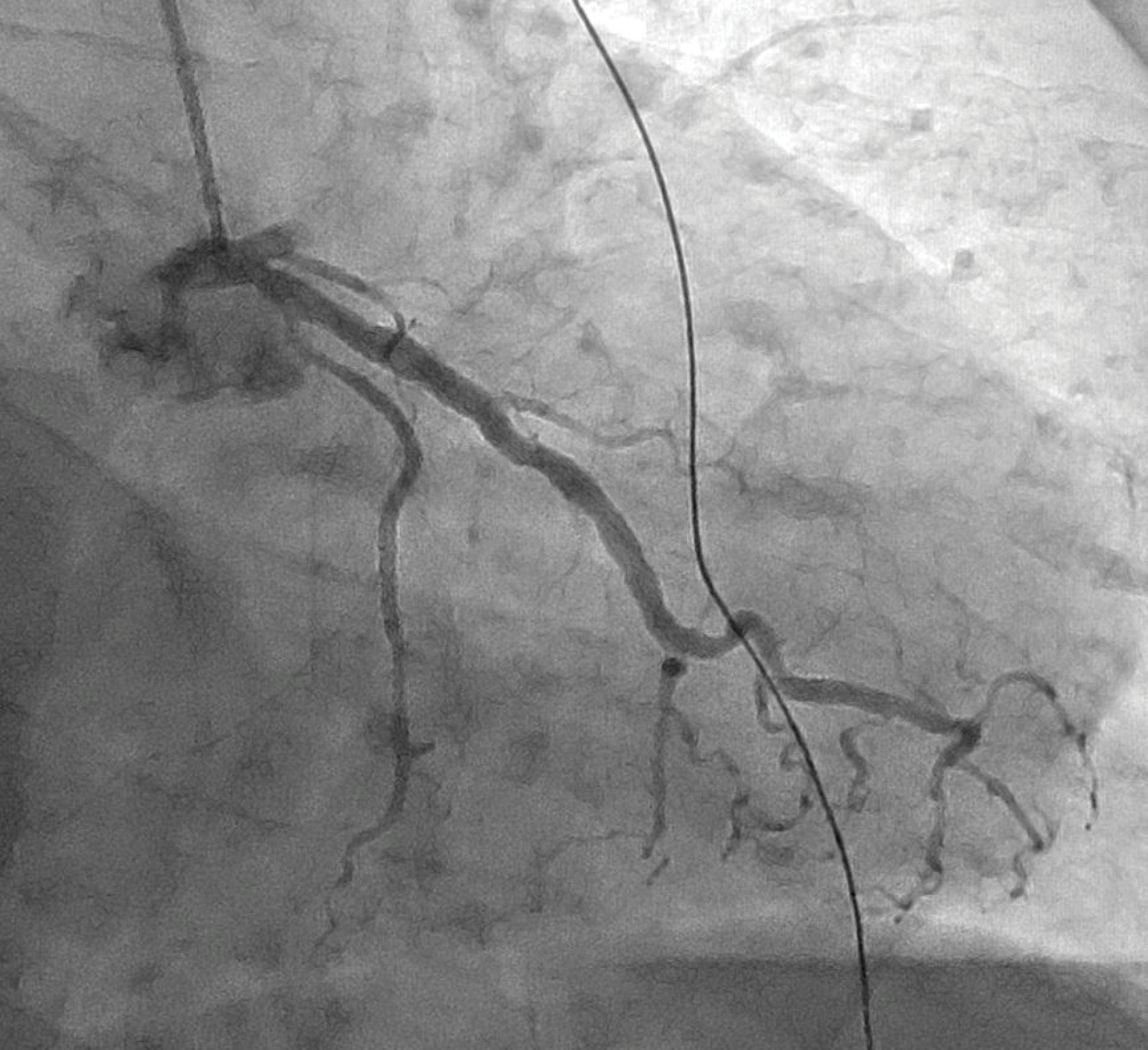
After thrombus aspiration, two drug-eluting stents (DESs) (5- X 28-mm Synergy Megatron and 4- X 28-mm; both Boston Scientific Corporation) were implanted and successfully postdilated with noncompliant balloons (4.5- X 15-mm Raiden3 [Cordis] and 3- X 30-mm NC Trek [Abbott]). The angiographic result after implantation and postdilatation of the DES was acceptable (Figure 4), but it was decided to perform an additional OCT run, which showed a good apposition of the implanted stents and a negligible amount of thrombus still present (Figure 5).

The patient’s symptoms promptly resolved after the procedure, and he remained stable during his hospitalization. The patient was then discharged after 4 days without any symptoms.

Figure 4. Final angiogram.

Figure 5. Final OCT.

DISCUSSION

The presence of high thrombus burden in a STEMI patient is a severe condition that can lead to suboptimal procedural and clinical results.1,2 In the most recent guidelines, it is reported, “Routine thrombus aspiration is not recommended, but in cases of large residual thrombus burden after opening the vessel with a guidewire or a balloon, thrombus aspiration may be considered.”3 Based on our experience, thrombus removal strategies play a fundamental role in selected clinical cases such as the one presented, and the Indigo CAT RX with Penumbra ENGINE™ has a huge potential to fill our clinical needs. Data from the CHEETAH study have shown the safety and efficacy of this system and confirmed its potential.4 From our early experience with the system, the continuous power aspiration and the neuroderived catheter design really make a difference with respect to the older-generation thrombus aspiration devices. These features make a difference in the high-thrombus-burden population not at risk of device-induced stroke, helping reduce distal embolization and improving patient outcomes.

1. Eui I, Kim BK, Ko, YG, et al. Incidences, predictors, and clinical outcomes of acute and late stent malapposition detected by optical coherence tomography after drug-eluting stent implantation. Circ Cardiovasc Interv. 2014;7:88-96. doi: 10.1161/CIRCINTERVENTIONS.113.000797

2. Niccoli G, Burzotta F, Galiuto L, Crea F. Myocardial no-reflow in humans. J Am Coll Cardiol. 2009;54:281-292. doi: 10.1016/j.jacc.2009.03.054

3. Byrne RA, Rossello X, Coughlan JJ, et al. 2023 ESC guidelines for the management of acute coronary syndromes. Eur Heart J. 2023;44:3720-3826. doi: 10.1093/eurheartj/ehad191

4. Mathews SJ, Parikh SA, Wu W, et al. Sustained mechanical aspiration thrombectomy for high thrombus burden coronary vessel occlusion: the multicenter CHEETAH study. Circ Cardiovasc Interv. 2023;16:e012433. doi: 10.1161/CIRCINTERVENTIONS.122.012433


SUSTAINED MECHANICAL ASPIRATION THROMBECTOMY FOR LARGE THROMBUS BURDEN MANAGEMENT DURING PRIMARY PCI

Juan F. Iglesias, MD, FESC, FACC
Department of Cardiology
Geneva University Hospitals
Geneva, Switzerland

Yazan Musayeb, MD
Department of Cardiology
Geneva University Hospitals
Geneva, Switzerland

The management of intracoronary thrombus during primary PCI in patients with STEMI remains a challenge and represents an unmet clinical need. Despite its sound rationale to prevent distal thrombus embolization, reduce microvascular obstruction, and improve myocardial reperfusion, the routine use of conventional manual thrombus aspiration devices during primary PCI was not shown to improve clinical outcomes in patients with STEMI and is currently not recommended.1,2

Large thrombus burden is a strong independent predictor of distal thrombus embolization and no-reflow phenomenon3 and has been associated with a nearly twofold increased risk of cardiovascular death after primary PCI.4 Patients with large thrombus burden have therefore long been thought to benefit most from manual thrombus aspiration. A recent meta-analysis found a 20% reduction in cardiovascular death among STEMI patients with large thrombus burden treated with manual thrombus aspiration compared with conventional primary PCI alone, at the cost of an approximatively 50% increased risk of acute cerebrovascular events resulting from systemic thrombus embolization.1 These findings highlight the need for novel iterations in thrombus management technologies dedicated for coronary use to further improve clinical outcomes in this high-risk patient subgroup.

PATIENT PRESENTATION

A male in his mid-60s, an ex-smoker and with type 2 diabetes mellitus, presented to the emergency department with a 2-hour history of de novo typical chest pain at rest. The 12-lead electrocardiogram showed an anterior STEMI. The patient was transferred to the catheterization laboratory for primary PCI after receiving intravenous loading doses of aspirin (250 mg) and unfractionated heparin (5,000 IU). The coronary angiogram demonstrated an acute thrombotic occlusion of the proximal LAD with high thrombus burden (TIMI thrombus grade 5) (Figure 1).

Figure 1. Coronary angiogram showing an acute thrombotic occlusion of the proximal LAD with a high thrombus burden.

COURSE OF TREATMENT

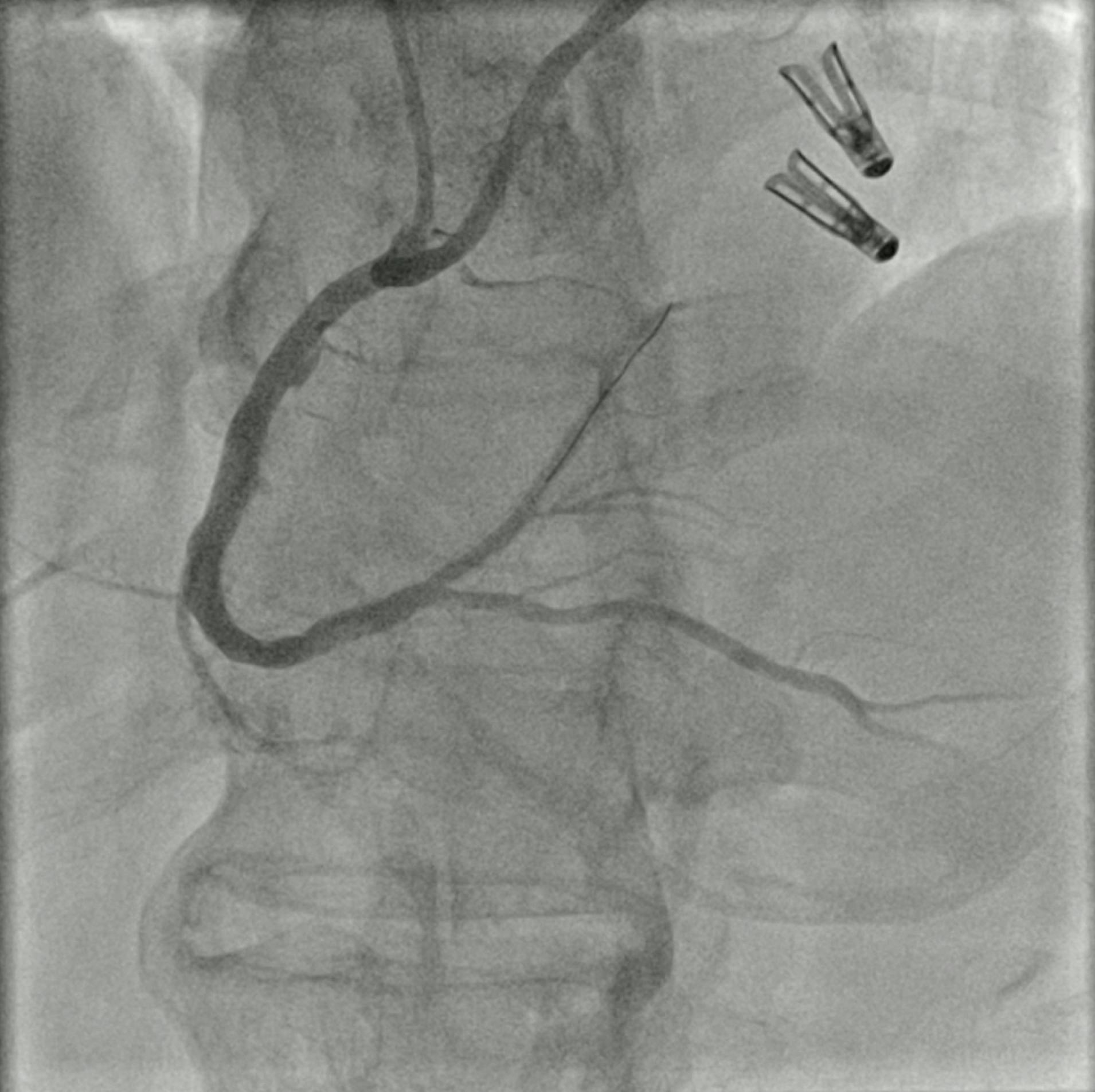
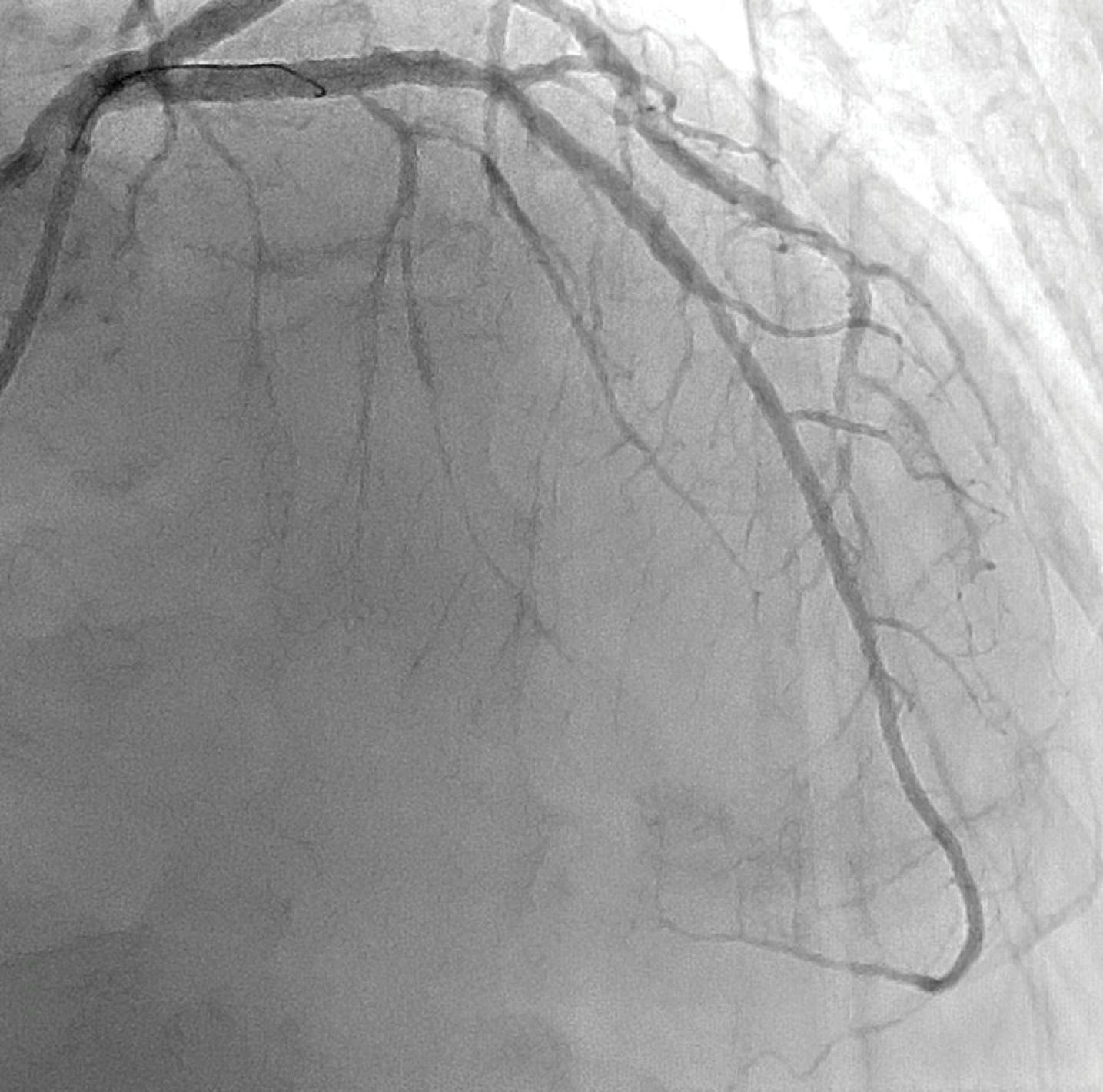
After administration of a loading dose of ticagrelor (180 mg), the occlusion site was successfully crossed with a workhorse guidewire. Sustained mechanical thrombectomy was performed using the Indigo CAT RX aspiration system (Figure 2). The main advantages of this innovative technology in the life-threatening setting of STEMI are the simplicity of setup and ease of use, which allows rapid removal of thrombus and identification of the underlying culprit lesion, thereby facilitating PCI and restoring the epicardial anterograde flow with minimal blood loss. In addition, the 5.3-F Indigo CAT RX catheter is a 6-F–compatible device that navigates easily through tortuous anatomies and allows easy access to distal coronary vessels. After one pass, the intracoronary thrombus was successfully removed (Figure 3) uncovering an underlying significant proximal and mid LAD stenosis (Figure 4). The lesion was subsequently predilated using noncompliant and cutting balloons, followed by a hybrid PCI approach using a newer-generation drug-eluting stent in the proximal LAD and a sirolimus-coated balloon in the mid-LAD.

Figure 2. Coronary angiogram showing the advancement of the Indigo CAT RX aspiration catheter in the proximal LAD.

Figure 3. Coronary angiogram after sustained mechanical thrombectomy with the Indigo CAT RX aspiration system (one pass) uncovering an underlying significant proximal and mid LAD stenosis.

Figure 4. Coronary angiogram after PCI to proximal and mid LAD showing a good final angiographic result with normal epicardial and microvascular coronary flow and no evidence of distal embolization.

RESULTS

The final coronary angiogram showed an excellent final angiographic result with TIMI 3 antegrade flow, myocardial blush grade 3, and no evidence of distal embolization (Figure 5). The echocardiogram showed mildly impaired LV systolic function (ejection fraction, 45%) with anterior septal and apical hypokinesia. The hospital stay was uneventful, and the patient was discharged home at day 5.

Figure 5. Image showing the intracoronary thrombus removed after sustained aspiration with the Indigo CAT RX catheter.

DISCUSSION

Mechanical thrombectomy using continuous power aspiration with the Indigo CAT RX system has recently emerged as a novel strategy to overcome current limitations of conventional manual thrombus aspiration for large thrombus burden management during primary PCI in STEMI patients. In the CHEETAH multicenter study, which enrolled 400 patients with ACS and large thrombus burden, the Indigo CAT RX aspiration system achieved high rates of epicardial and myocardial reperfusion, with TIMI thrombus grade 0, TIMI flow 3, and myocardial blush grade 3 achieved in 99.5%, 97.5%, and 99.8% of patients, respectively.5 Importantly, no device-related serious adverse events were reported and stroke rates within 30 days were low (0.8%), confirming the safety of the device. The Indigo CAT RX continuous aspiration system represents a potential game-changing technology for the management of large thrombus burden during primary PCI among patients with STEMI.

1. Jolly SS, James S, Džavík V, et al. Thrombus aspiration in ST-segment-elevation myocardial infarction: an individual patient meta-analysis: Thrombectomy Trialists Collaboration. Circulation. 2017;135:143-152. doi: 10.1161/CIRCULATIONAHA.116.025371

2. Byrne RA, Rossello X, Coughlan JJ, et al. 2023 ESC guidelines for the management of acute coronary syndromes. Eur Heart J. 2023;44:3720-3826. doi: 10.1093/eurheartj/ehad191

3. Schram HCF, Hemradj VV, Hermanides RS, et al. Coronary artery ectasia, an independent predictor of no-reflow after primary PCI for ST-elevation myocardial infarction. Int J Cardiol. 2018;265:12-17. doi: 10.1016/j.ijcard.2018.04.120

4. Jolly SS, Cairns JA, Lavi S, et al. Thrombus aspiration in patients with high thrombus burden in the TOTAL trial. J Am Coll Cardiol. 2018;72:1589-1596. doi: 10.1016/j.jacc.2018.07.047

5. Mathews SJ, Parikh SA, Wu W, et al. Sustained mechanical aspiration thrombectomy for high thrombus burden coronary vessel occlusion: the multicenter CHEETAH study. Circ Cardiovasc Interv. 2023;16:e012433. doi: 10.1161/CIRCINTERVENTIONS.122.012433


Prof. Lang, Dr. Galli, and Prof. Iglesias were compensated in association with this article.

Disclaimer: The opinions and clinical experiences presented herein are for informational purposes only. The results may not be predictive of all patients. Individual results may vary depending on a variety of patient-specific attributes.