Flash 2.0: Next-Generation Software for the Treatment of PE

A. Jody Mintz, DO, FACC, FSCAI, RPVI
Interventional Cardiology
Columbia University Medical Center
New York, New York
Disclosures: Consultant to Penumbra, Inc.

In recent years, the landscape for pulmonary embolism (PE) treatment has evolved dramatically. As the industry continues to refine catheter technology through smaller-profile catheters, maximizing aspiration capabilities, and prioritizing ease of use, we’re also seeing an emphasis on real-world evidence to support the short- and long-term effects of thrombectomy.

This April, Penumbra launched Lightning Flash® 2.0, their newest computer assisted vacuum thrombectomy (CAVT) technology designed for the treatment of PE and venous thrombus removal. Compared to its predecessor, this next-generation software is designed to improve the system’s usability and efficiency for pulmonary interventions.

Lightning Flash 2.0 has an optimized valve cadence, designed for efficient clot removal with the new Gallop Mode. Additionally, the system now has streamlined audiovisual cues with two aspiration modes to simplify the procedure. Lightning Flash 2.0 is also designed to have elevated accuracy in detection of thrombus versus patent flow, mitigating potential for blood loss. This device maintains an optimal 16-F catheter profile that is tailored to navigate through delicate pulmonary anatomy efficiently. The 2.0 software upgrade comes only 1 year after the release of the initial Lightning Flash device.

Penumbra currently has two trials being conducted on the treatment of PE—STRIKE-PE and STORM-PE. STRIKE-PE will be focusing on the use of Penumbra's technology for intermediate- and high-risk PE patients. The recent data presentation for STRIKE-PE by Dr. John Moriarty at SIR showed promising results with Lightning Flash’s original algorithm; a low major adverse event rate of 2.4% and a short device time of 24.5 minutes. This instills confidence that the Lightning Flash 2.0 upgrades will further streamline procedures while prioritizing safety and efficacy.1

1. Moriarty J. Initial perioperative experience using the newest generation of computer assisted vacuum thrombectomy (CAVT) for the treatment of pulmonary embolism: a subgroup analysis of the STRIKE-PE study. Presented at SIR 2024; March 23, 28, 2024; Salt Lake City, Utah.


Intermediate-Risk PE in a Posttransplanted Lung

CASE PRESENTATION

A man in his early 50s with a history of interstitial lung disease and single left lung transplantation was admitted with sudden-onset shortness of breath and acute decompensated respiratory failure requiring high-flow oxygenation. CT of the pulmonary arteries (PAs) suggested large thrombotic burden and near-occlusive thrombus in the transplanted lung. Given the tenuous clinical presentation and concern over transplant infarction due to the single blood supply, advanced therapies for management of his PE were offered.

PROCEDURAL OVERVIEW

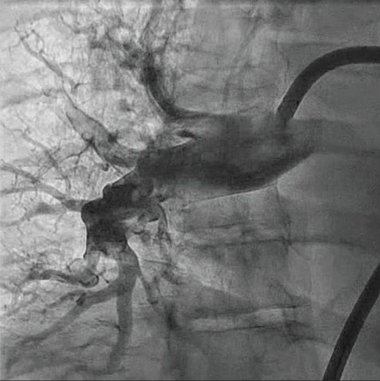
The patient was placed supine on the angiographic table with bilateral groins prepped and draped in sterile fashion. Access was obtained in the right common femoral vein utilizing real-time ultrasound and fluoroscopic guidance with a micropuncture kit with subsequent placement of a 7-F sheath. Over an Amplatz Super Stiff 0.035-inch guidewire (Boston Scientific Corporation), the venotomy was dilated and a 16-F Gore DrySeal sheath (Gore & Associates) was inserted. A 7-F balloon-tipped PA catheter was advanced under fluoroscopic guidance into the right atrium, right ventricle (RV), and left PA, at which time pressures were obtained and cardiac output/index was calculated. Pulmonary angiography of the left PA was performed under digital subtraction angiography, demonstrating large central thrombus occluding the left upper lobe and near occlusive in the left lower lobe.

The Amplatz Super Stiff 0.035-inch wire was advanced through the PA catheter into the left lower lobe. The PA catheter was removed and exchanged for the Lightning Flash 2.0 aspiration catheter with HTORQ tip shape. The wire was removed, and two separate aspirations were performed in the left PA.

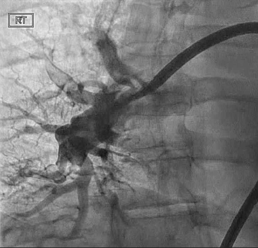
Postprocedure angiography demonstrated resolution of thrombus within the left upper and left lower lobes. The estimated blood loss was minimal at 70 mL. Hemostasis achieved with a purse string suture secured with a three-way stopcock. The access-to-closure procedural time was 31 minutes with a total thrombectomy suction time of 1 minute. The patient was transitioned from high-flow nasal cannula on the procedural table and weaned to room air over the next 2 days. He was discharged from the hospital on postoperative day 3 on appropriate oral anticoagulation.

Figure 1. Preprocedural angiogram of the left PA.

Figure 2. Postprocedural angiogram of the left PA.

Figure 3. Clot removed.

CONCLUSION

I use the Lightning Flash aspiration system for safe, effective, and rapid thrombus extraction in patients requiring advanced therapies for VTE events due to its mid-range profile and ease of trackability through tortuous pulmonary vasculature. Lightning Flash 2.0, the newest addition to CAVT, has an updated algorithm that allows for improved audible feedback and lower blood loss without sacrificing aspiration capability.


PE Management and the Associated Effects on the Heart

Sameh Sayfo, MD, MBA, FACC, FSCAI
Interventional Cardiology
Baylor Scott & White, The Heart Hospital Plano
Plano, Texas
Disclosures: Consultant to Penumbra, Inc., Inari Medical, and Boston Scientific Corporation.

The treatment of PE is a large focus in your practice. Why do you feel this is an essential development for the field?

The prevalence of PE cannot be overstated, as it affects hundreds of thousands of people each year. Clinical data suggest that patients who present with an acute PE have a mortality rate of 11.4% at 2 weeks and 17.4% at 3 months after presentation.1 Prior to recent technological innovation, the therapies available to address the needs of patients with PE were insufficient, namely anticoagulation therapy alone.

With the tools and technology now available to address PE, the ability to effectively treat and impact patient outcomes has grown exponentially. With the frequent occurrence of PE and expanding treatment capabilities, it is important that the field continues to grow to sufficiently address this disease state.

PEs are thrombus in the lungs. That being said, what is the effect of a PE on a patient’s heart?

Most PEs originate from lower extremity deep vein thrombosis (DVT). The thrombus usually travels from the leg through the heart and ends up in the PA tree, it acutely occludes that PA resulting in a disruption of the flow of the blood in the PAs. This causes an immediate and acute strain on the right side of the heart. This is called RV strain, which can result in RV ischemia, RV inflammation, reduced left ventricular (LV) filling, and, in some instances, RV pressure overload and failure leading to cardiogenic shock.

If nothing is done to correct this abnormality in RV function, patients can begin a downward spiral that may lead into the consequence of systemic shock. Penumbra’s Lightning Flash 2.0 device allows for the capability to quickly address the thrombus burden responsible for causing this right heart strain, potentially preventing the patient from continuing the downward spiral toward cardiogenic shock.

Which clinical endpoints are you looking to achieve from a thrombectomy procedure?

It is always a positive indication when there is an observed reduction in RV/LV ratio from the preprocedural baseline measurement (normal value < 0.9), which signals that the RV has been relieved to some degree. Other important endpoints include an increase in oxygen saturation levels, decrease in oxygen demand, and reductions in heart rate and PA pressure, in addition to an increase in PA tree blush degree postthrombectomy. There is the potential that the current wave of ongoing PE treatment studies will further reveal the significance of each of these endpoints and thus assert what postprocedural indicators most strongly correspond to successful short- and long-term outcomes for the patient.

1. BÄ•lohlávek J, Dytrych V, Linhart A. Pulmonary embolism, part I: Epidemiology, risk factors and risk stratification, pathophysiology, clinical presentation, diagnosis and nonthrombotic pulmonary embolism. Exp Clin Cardiol. 2013;18:129-138.


Acute PE With Hemodynamic Collapse; Successful Treatment With Lightning Flash 2.0

CASE PRESENTATION

The patient was a man in his early 70s with a history of previous DVT/PE, one in 2005 and one in 2016. He presented with acute shortness of breath and chest pain. In the emergency department, his heart rate was 140 bpm, blood pressure was 110/74 mm Hg, and oxygen saturation was 92% on 4 L via nasal cannula. CTA confirmed bilateral occlusive PE, and venous ultrasound showed lower left extremity venous thrombus.

The patient was started on heparin and the PE response team (PERT) was consulted. Upon encountering the patient, the team noted that the patient was using his secondary respiratory muscles, and an immediate echocardiogram was obtained, which revealed an RV/LV ratio of 1.48. Two hours later, the PERT received a call from emergency department that the patient’s heart rate was still in the 140s, but the patient required a bilevel positive airway pressure machine to keep the oxygen saturation above 90%.

Figure 1. Pre- (A) and postprocedural (B,C) angiograms of the right PA.

Figure 2. Pre- (A) and postprocedural (B) angiograms of the left PA.

Figure 3. Clot removed.

PROCEDURAL OVERVIEW

The patient was taken emergently to the cath lab, and thrombectomy was performed utilizing Lightning Flash 2.0. Within 5 minutes of device time, his initial mean PA pressure was 37 mm Hg and improved to 27 mm Hg postthrombectomy, a 27% reduction of his mean PA pressure. Estimated blood loss was insignificant. The patient left the cath lab on room air with a heart rate in the low 100s. The patient was continued on heparin overnight and discharged home the day after on oral anticoagulation.

Echocardiography before discharge showed an RV/LV ratio improvement down to 1.0. A repeat echocardiogram was conducted at follow-up visits in clinic at 2 weeks and 3 months and both showed normalization of RV/LV ratio.


Bilateral PE Thrombectomy With Lightning Flash 2.0

George Chrysant, MD
Interventional Cardiology
INTEGRIS Heart Health
Oklahoma City, Oklahoma
Disclosures: Consultant to Abbott Vascular, Boston Scientific, Medtronic, Penumbra, Philips, and Shockwave.

CASE PRESENTATION

The patient was a woman in her early 60s with a history of prior PE and DVT. She was 6 days postoperative from small bowel resection surgery. Her initial health measurements showed a blood pressure of 90/60 mm Hg, heart rate of 128 bpm, and oxygen saturation of 80% on 50 L of oxygen with a high-flow nasal cannula. The patient also had an elevated troponin level of 0.459 ng/mL, and imaging confirmed a bilateral PE. Due to the severity of the patient’s symptoms, she was placed on extracorporeal membrane oxygenation (ECMO) to help offload her heart.

Figure 1. Preprocedural angiogram of the right PA with ECMO.

Figure 2. Preprocedural angiogram of the left PA.

Figure 3. Postthrombectomy angiogram of the right PA.

Figure 4. Final angiogram of the right PA.

Figure 5. Final angiogram of the left PA.

PROCEDURAL OVERVIEW

Based on our evaluation, the decision was made to pursue thrombectomy using the Lightning Flash 2.0 device. The initial mean PA pressure of 47 mm Hg improved to 22 mm Hg postthrombectomy, a more than 50% drop. Vast improvement was seen on echocardiography 48 hours postprocedure. ECMO decannulation occurred 3 days postprocedure, and the patient was discharged from the hospital after 6 days.


Safety and Efficacy of CAT™ RX Device in ST-Elevation Myocardial Infarction*

Anjan Gupta, MD
Interventional Cardiology
University Hospitals
Cleveland, Ohio
Disclosures: Consultant to Penumbra, Inc.

Thrombus in the coronaries continues to be a barrier to procedural success and is associated with increased risk. Having tools available to limit distal embolization and no reflow while safely and efficiently restoring flow is essential. The Indigo System CAT RX (Penumbra, Inc.) offers continuous mechanical power aspiration with a catheter designed to navigate tortuous anatomy, while the Penumbra ENGINE® maintains continuous suction throughout the duration of the procedure. At the University Hospitals in Cleveland, we retrospectively evaluated the safety and efficacy of CAT RX compared with standard-of-care percutaneous coronary intervention (PCI) in patients with ST-segment elevation myocardial infarction (STEMI). These data were presented at Cardiovascular Research Technologies (CRT) in March 2024.

METHODS

Patients presenting with STEMI from 2019 and 2023 and treated with PCI were retrospectively enrolled at University Hospitals–affiliated centers. The primary outcome was 90-day mortality and incidence of stroke posttreatment. We performed chi-square and t-test analysis for the categorical and continuous variables, respectively. Use of CAT RX was at the sole discretion of the operator as was use of adjunctive therapy such as glycoprotein IIb/IIIa receptor antagonists.

There were 1,378 patients in the non–CAT RX group compared to 302 patients in the CAT RX group. It is important to note that there was a higher percentage of patients presenting with TIMI (thrombolysis in myocardial infarction) grade 0 flow and cardiogenic shock in the CAT RX group compared to the non–CAT RX group, inferring that the CAT RX group was a sicker patient population.

RESULTS

When looking at the primary outcome, there was no statistically significant difference in the rate of 90-day death or incidence of stroke posttreatment in the non–CAT RX versus CAT RX arm despite the CAT RX group having a sicker patient population. The incidence of death at 90 days was 6.4% versus 7.9%, respectively.

We also ran a subgroup analysis of high-risk patients identified as those who presented in cardiogenic shock and received eptifibatide. Within this high-risk subgroup, there was no significant difference in mortality or stroke; however, on follow-up, the heart failure trend was promising, with 46% of patients in the CAT RX group experiencing heart failure compared to 71% in the non–CAT RX group. We also noticed less use of balloons and shorter length of stents in the CAT RX group compared to the non–CAT RX group.

CONCLUSION

Based on the above results, we concluded that CAT RX is safe in high-risk patients with MI and large thrombus burden. The use of primary mechanical thrombectomy in high-risk patients with large thrombus burden may lead to less heart failure on follow-up by improving myocardial preservation, and frontline utilization of mechanical thrombectomy with CAT RX may lead to less stent and balloon utilization in high-thrombus-burden patients.1

*Disclaimer: The safety and effectiveness of this device for use in the treatment of ST-Elevation Myocardial Infarction (STEMI) has not been established. Complications from the use of this device in this manner could lead to death, permanent impairment, and/or the need for emergency medical intervention.

The opinions and clinical experiences presented herein are for informational purposes only. The results may not be predictive of all patients. Individual results may vary depending on a variety of patient-specific attributes.

1. Sattouf Z. Safety and efficacy of coronary Penumbra device in ST-elevation myocardial infarction. Presented at: CRT 2024; March 9-12, 2024; Washington, DC.