Darshan Doshi, MD, MS
Interventional Cardiologist
Director of Complex Coronary Artery Disease
Division of Cardiology
Massachusetts General Hospital
Boston, Massachusetts

Anjan Gupta, MD, FACC, FSCAI
Cardiac Cath Lab Director
UH Portage Medical Center
Clinical Assistant Professor of Medicine
Case Western Reserve University
Cleveland, Ohio

What are some of the challenges and risks associated with large thrombus burden during percutaneous coronary intervention (PCI)?

Dr. Gupta: Thrombus has always been an Achilles’ heel for interventional cardiologists. It is difficult to manage and continues to be a barrier to procedural success during PCI. Large thrombus burden may increase the likelihood of PCI-related major adverse cardiovascular events (MACE) rates, stent thrombosis, and no-reflow.

Traditionally, operators used a balloon to break up the clot before placing a stent. The risk of doing this, especially in large thrombus burden, is that the clot may shower into the distal vessels and block the microcirculation, causing no flow or slow flow.1 Even if you can open the major epicardial artery, when the microvasculature is affected, it impacts the heart muscle, resulting in long-term consequences such as decreased left ventricular (LV) function and heart failure.2

When deploying a stent in thrombus, you increase the chances of incorrectly sizing or expanding the stent because of lack of visualization of the target lesion. Undersized or underexpanded stents often lead to stent thrombosis or long-term target vessel failure. These often require repeat intervention for patients.3

What are the current treatment options for large thrombus burden in the coronaries?

Dr. Gupta: The options that we have available for large thrombus burden have evolved over the last several years. When I started my practice in 2001, AngioJet (Boston Scientific Corporation) was the only mechanical thrombectomy device available; however, there were studies done that showed safety concerns around routine use of the device.4

Then came manual aspiration catheters. These catheters utilize a small 30-mL syringe that loses aspiration once fluid enters the system, making it difficult to fully remove the thrombus. Large trials were performed utilizing these catheters, but they did not show significant improvement compared to traditional PCI.5 The TOTAL trial saw a slight increase in the risk of stroke in the manual aspiration arm of the trial, which was likely due to the diminished aspiration power offered by the system.6 As a result, we saw a decline in the use of manual aspiration catheters and the guidelines were updated to a class III indication, noting that routine aspiration thrombectomy is not recommended.7 However, after looking at the high thrombus burden subgroup of patients, the authors of the TOTAL trial did recommend the need for further data and improved technology.

In 2018, Penumbra introduced the Indigo® System CAT™ RX (Penumbra, Inc.), which I believe is the most effective tool we currently have for coronary thrombus. CAT RX utilizes the Penumbra ENGINE™, which offers continuous suction, along with a catheter designed for trackability with a slightly larger lumen. These factors improve the ability to remove thrombus while limiting the risk of distal embolization. There are still instances where a larger catheter could be beneficial, but of all the devices that we have right now, CAT RX is the most promising.

What is the no-reflow phenomenon, and what are some of the potential consequences?

Dr. Doshi: As Dr. Gupta alluded to, no-reflow is the inadequate perfusion to the distal microvasculature despite opening the occlusion in the primary vessel. No-reflow is caused by microvascular obstruction and patients who develop no-reflow tend to have poor clinical outcomes with increased risk of mortality, heart failure, and decreased LV function.2

Approximately 90% of myocardial blood flow is supplied by the microcirculation of the heart, so it is important that we do everything we can do to ensure adequate perfusion to the distal vessels at the end of the procedure.8

Have you seen CAT RX help limit no-reflow in your practice?

Dr. Gupta: Absolutely. CAT RX is the first device I pull when a patient presents with large thrombus burden. CAT RX significantly helps in the reduction of thrombus, making it easier to balloon and stent, while limiting the risk of distal embolization.9 In the majority of cases where we use CAT RX frontline, we see high rates of myocardial blush grade (MBG) 3 with thrombolysis in myocardial infarction (TIMI) 3 flow throughout the vessel.

Dr. Doshi: I completely agree—I think the best way to treat no-reflow is to prevent no-reflow. To that end, CAT RX is my go-to device to help prevent no-reflow. Before I started using CAT RX, distal embolization and no-reflow were big concerns, particularly in patients who presented with high thrombus burden. Since introducing CAT RX to my practice, I have seen fewer instances of no-reflow.

What are some implications for the patient and hospital when a patient experiences distal embolization or no-reflow?

Dr. Gupta: Studies have shown that distal embolization is associated with higher mortality rate, longer length of stay, added complications, and increased risk of heart failure. This is associated with higher cost burden for the hospital. Not only are repeat admissions and longer-length stays costly, but readmission following a heart attack also affects the hospital from a quality metrics standpoint.

As for the patient, recovering from a heart attack is already difficult, but to then be readmitted repeatedly is not ideal. There are also life-threatening complications associated with no-reflow. Avoiding distal embolization and no-reflow are critical from both a cost perspective and quality-of-life perspective.

Dr. Doshi: In addition to poor clinical outcomes, we also need to take into consideration the additional cost of dealing with adverse sequelae of no-reflow on a hospital system. Some patients may develop cardiogenic shock and will require mechanical circulatory support to temporize them, such as with an Impella (Abiomed, Inc) or balloon pump. Management of these patients also typically requires pharmacologic therapies and, in some cases, patients may even require an additional intensive care unit stay. These costs add up. Having a device, such as CAT RX, that can potentially limit no-reflow in high thrombus burden situations could be beneficial for both hospitals and patients.

Past coronary aspiration trials have shown mixed results on the safety and effectiveness of manual aspiration. Have there been any new data that suggest mechanical thrombectomy with CAT RX could be beneficial?

Dr. Doshi: The CHEETAH* study, which was led by Dr. Jay Mathews, was a 400-patient, prospective, multicenter study evaluating frontline utilization of CAT RX* in high thrombus burden acute coronary syndrome (ACS). The results of this study were very promising with low MACE rates, no device-related serious adverse events including stroke, as well as very high final TIMI 3 flow (Figure 1 and Figure 2). There was an extremely low distal embolization rate of < 1%, and nearly all patients experienced myocardial perfusion normalization and the end of the procedure.9 CHEETAH demonstrated that CAT RX is safe with high technical success in a high-risk ACS population.

Figure 1. Secondary safety outcomes of the CHEETAH* study.

Figure 2. Primary safety and performance outcomes of the CHEETAH study.

Multiple other studies have shown that achieving high MBG 3 during PCI has been associated with improved outcomes in acute MI.10 Although the CHEETAH study did not specifically look at long-term outcomes, the rate of myocardial perfusion normalization—with 99.8% of patients achieving final MBG 3—is very promising.

The CHEETAH data, along with the two other data sets that have been published over the last 2 years, are encouraging and support the safety and utility of CAT RX in high thrombus burden ACS patients.

Dr. Gupta, your institution shared their single-center experience utilizing CAT RX in an article published in Journal of Interventional Cardiology. Could you tell us a little bit more about your findings?

Dr. Gupta: We retrospectively looked at all our acute MI patients who received mechanical thrombectomy with CAT RX over the course of 3 years. Overall, the outcomes of the study were positive. Of the 123 patients in whom CAT RX was used, 90% of patients achieved TIMI 3 flow with no incidence of stroke (Figure 3). The patients who did not achieve TIMI 3 flow were predominantly patients in whom the operator used balloon angioplasty before using CAT RX.11 When a balloon is expanded in thrombus, there is an increased risk that the clot will break off and occlude the distal microvasculature. Although in some cases CAT RX can help clear the distal emboli, the initial occlusion of the microvessels makes it more difficult to achieve TIMI 3 flow with adequate perfusion to the microvasculature. For this reason, we believe that CAT RX should be used frontline in patients with high thrombus burden to limit the risk of distal embolization and no-reflow.

Figure 3. Key results from the ROPUST study.

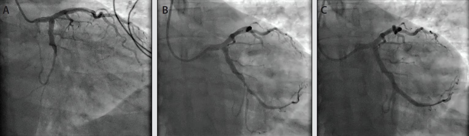
Figure 4 and Figure 5 showcase two cases from our experience that demonstrate the benefit of frontline utilization of CAT RX. In the first case (Figure 4), balloon angioplasty was used prior to CAT RX. Distal embolization caused by the initial balloon inflation potentially limited the ability to achieve TIMI 3 flow. In the second case (Figure 5), CAT RX was used frontline. After one pass of CAT RX there was clear visualization of the underlying lesion, a stent was placed, and TIMI 3 flow was achieved with myocardial perfusion normalization.

Figure 4. A male patient in his mid 50s presenting with acute thrombotic occlusion of the right coronary artery (A). Initial balloon inflation with 2- X 15-mm balloon (B). Final result showing distal embolization caused by initial balloon angioplasty, potentially limiting the ability to achieve TIMI 3 flow (C).

Figure 5. A male patient in his early 40s presenting with occlusion of the left circumflex artery (A). Postprocedure image after one run of CAT RX (B). Final result with TIMI 3 flow and myocardial perfusion normalization (C).

How can this technology be implemented today?

Dr. Doshi: Older trials utilizing manual aspiration catheters showed no difference when compared to traditional PCI, and the TOTAL trial even demonstrated an increased signal for stroke; however, these trials failed to identify thrombus burden prior to randomization. The data for CAT RX are promising and demonstrate the value of continuous aspiration in a select patient population. With data on over 600 patients, the device has been shown to be safe and effective with the potential to limit the risk of distal embolization and allow for adequate perfusion to the distal microvasculature of the heart.

Thrombus continues to be a challenge for operators but devices like CAT RX have the potential to limit some of the challenges, while potentially helping in case cost reduction and improving procedural success.

*Precaution: The safety and effectiveness of this device for use in the treatment of ST-Elevation Myocardial infarction (STEMI) has not been established. Complications from the use of this device in this manner could lead to death, permanent impairment, and/or the need for emergency medical intervention.

Disclosures

Dr. Doshi: Consultant to Penumbra, Inc.

Dr. Gupta: Consultant to Penumbra, Inc. and was compensated in association with this article.

1. Vecchio S, Varani E, Chechi T, et al. Coronary thrombus in patients undergoing primary PCI for STEMI: prognostic significance and management. World J Cardiol. 2014;6:381-392. doi: 10.4330/wjc.v6.i6.381

2. Rezkalla SH, Shereif RV, Hanna J, Kloner RA. Management of no-reflow phenomenon in the catheterization laboratory. JACC Cardiovasc Interv. 2017;10:215-223. doi: 10.1016/j.jcin.2016.11.059

3. Vecchio S, Varani E, Chechi T, et al. Coronary thrombus in patients undergoing primary PCI for STEMI: prognostic significance and management. World J Cardiol. 2014;6:381-392. doi: 10.4330/wjc.v6.i6.381.

4. Ali A, Cox D, Dib N, et al. Rheolytic thrombectomy with percutaneous coronary intervention for infarct size reduction in acute myocardial infarction: 30-day results from a multicenter randomized study. J Am Coll Cardiol. 2006;48:244-252. doi: 10.1016/j.jacc.2006.03.044

5. Frobert O, Lagerqvist B, Olivecrona G, et al. Thrombus aspiration during ST-segment elevation myocardial infarction. N Engl J Med. 2013;369:1587-1597. doi: 10.1056/NEJMoa1308789

6. Jolly SS, Cairns JA, Yusuf S, et al. Randomized trial of primary PCI with or without routine manual thrombectomy. N Engl J Med. 2015;372:1389-1398. doi: 10.1056/NEJMoa1415098

7. O’Gara PT, Kushner FG, Ascheim DD, et al. 2013 ACCF/AHA guideline for the management of st-elevation myocardial infarction: a report of the American College of Cardiology Foundation/American Heart Association task force on practice guidelines. Circulation. 2013;61:e78-e140. doi: 10.1016/j. jacc.2012.11.019

8. Vink CEM, van de Hoef TP, Gotte MJW, et al. Reduced microvascular blood volume as a driver of coronary microvascular disease in patients with non-obstructive coronary artery disease: rationale and design of the MICORDIS study. Front Cardiovasc Med. 2021;8:730810. doi: 10.3389/fcvm.2021.730810

9. Mathews SJ, Parikh SA, Wu W, et al. Sustained mechanical aspiration thrombectomy for high thrombus burden coronary vessel occlusion: the multicenter CHEETAH study. Circ Cardiovasc Interv. 2023;16:e012433. doi: 10.1161/CIRCINTERVENTIONS.122.012433

10. Rehman A, Malik J, Javed N, et al. Myocardial blush grade: a determinant of left ventricular ejection fraction and adverse outcomes in STEMI. Scott Med J. 2021;66:34-39. doi: 10.1177/0036933020941260

11. Tashtish N, Chami T, Dong T, et al. Routine use of the “Penumbra” thrombectomy device in myocardial infarction: a real-world experience–ROPUST study. J Interv Cardiol. 2022;2022:5692964. doi: 10.1155/2022/5692964


The Evolution of PE Therapy

Demonstrating the use of the Lightning Flash with a case example.

With Lazaro Diaz, MD

Lazaro Diaz, MD
Interventional Cardiology
Advent Health
Wesley Chapel, Florida

In 2019, Penumbra received an FDA indication for the treatment of pulmonary embolism (PE) as a result of the findings of the EXTRACT-PE trial. The trial demonstrated the effectiveness and safety profile of the Indigo System, as highlighted by a 27.3% reduction in right ventricular/left ventricular ratio and major adverse event rate < 2%.1

In January 2023, Lightning Flash (Penumbra, Inc.; Figure 1) was released, a system designed to improve efficiency in removing thrombus in the pulmonary arteries (PAs). Lightning Flash features an advancement in computer-aided aspiration technology with dual clot detection algorithms in a 16-F profile. The dual algorithms are designed for quicker and more accurate clot detection. This leap in clot detection technology leads to the potential for increased efficiency and exponentially faster case times.

Figure 1. Lightning Flash: The most powerful and advanced thrombectomy system for PE and venous thrombus.

PE CASE EXPERIENCE WITH LIGHTNING FLASH

PATIENT PRESENTATION

The patient presented with a mean PA pressure of 43 mm Hg indicating pulmonary hypertension. Angiography of the PAs revealed bilateral embolic masses. At this point, Lightning Flash was chosen for intervention.

INTERVENTION

A 16-F, 33-cm Gore DrySeal sheath (Gore & Associates) was advanced into the vasculature and placed in the inferior vena cava. The Lightning Flash catheter was then tracked into the right PA until proximal to the initial embolic segment. Aspiration was initiated, and the catheter was advanced into the clot burden. Clot detection mode immediately activated, indicated by the system’s flashing yellow LED light. The thrombus was ingested in a single pass that took under 1 minute. After reaching a satisfactory result in the right PA, focus was shifted to the left PA. The Penumbra 6-F Select™ Catheter was advanced over a 0.035-inch guidewire to track the Lightning Flash catheter easily to the left PA. The same procedural aspiration steps were repeated, and a large amount of thrombus was removed and observed in the Penumbra ENGINE canister (Figure 1).

Figure 1. Thrombus removed from the PA.

RESULT

Angiography showed exceptional improvement from the initial images taken prior to intervention (Figure 2 and Figure 3). The patient’s mean PA pressure dropped by 23% on the table. It is also notable that the final result was accomplished in only 15 minutes of device time with 250 mL of blood loss, exemplifying the efficiency of the Lightning Flash thrombectomy system.

Figure 2. Pre- and postthrombectomy angiogram of the left PA.

Figure 3. Pre- and postthrombectomy angiogram of the right PA.

Disclosures

Dr. Diaz: None.

Disclaimer: The opinions and clinical experiences presented herein are for informational purposes only. The results may not be predictive of all patients. Individual results may vary depending on a variety of patient-specific attributes.

1. Sista AK, Horowitz JM, Tapson VF, et al. Indigo aspiration system for treatment of pulmonary embolism: results of the EXTRACT-PE trial. JACC Cardiovasc Interv. 2021;14:319-329. doi: 10.1016/j.jcin.2020.09.053