The pathophysiology of pulmonary embolism (PE) was first described by Rudolph Virchow in the mid 19th century.1,2 Mechanistically, PE is any event that obstructs flow into the distal pulmonary arterial circulation and impedes oxygenation of blood, and the most common cause remains venous thromboembolic disease.3 Based on the amount of thrombus and the acuity of the embolism, the hemodynamic consequences are variable; in turn, this determines the severity of the clinical presentation.

DIAGNOSIS AND CLASSIFICATION OF PE

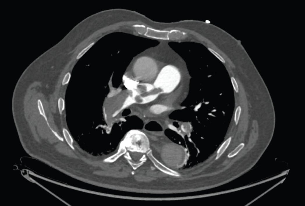
The most common presenting features of PE include dyspnea and pleuritic chest pain, while less common symptoms include cough, hemoptysis, dizziness, and syncope.3 Initial evaluation generally includes an assessment of hemodynamic status and oxygenation. The electrocardiogram usually demonstrates sinus tachycardia, although arrhythmias and patterns of right ventricular (RV) strain may be present. Laboratory testing usually demonstrates an elevated D-dimer; biomarkers, including troponin levels and B-type natriuretic peptide (BNP), may or may not be elevated depending on the degree of RV strain, and lactic acid levels may further indicate the extent of end-organ ischemia. When the diagnosis is equivocal, an echocardiogram may be performed. The distinct echocardiographic pattern, with akinesia of the RV free wall and sparing of the RV apex, was first described by McConnell et al.4 When the clinical suspicion is high, CTA of the pulmonary arteries (PAs) is considered gold standard for confirming or ruling out the diagnosis of PE but also defining the extent and distribution of thrombus within the pulmonary arterial tree (Figure 1).3

Figure 1. Large saddle PE with extensive involvement of the right interlobar PA. Left PA not pictured in this axial slice.

Depending on the risk stratification algorithm, anywhere from 40% to 70% of patients may be classified as having low-risk minor PE.5,6 In this cohort, clot burden is modest and there is minimal (if any) RV dysfunction or dilation on imaging. Biomarkers are usually negative. Most of these patients remain stable clinically and are considered low risk for significant morbidity and mortality within the first 30 days.6 The Hestia criteria may be used to determine which patients are suitable for outpatient management versus inpatient admission.7 Anticoagulation remains the treatment of choice for low-risk minor PE; low-molecular-weight heparin is preferred over unfractionated heparin, although rivaroxaban or apixaban may be initiated as monotherapy without heparin pretreatment.3,8,9 Some instances of incidental PE findings on a CTA may not require any anticoagulation if the amount of thrombus is small and within lobar or sublobar branches, particularly with no active deep vein thrombosis.

On the opposite end of the spectrum are patients presenting with severe hemodynamic compromise that may range from hypotension to full cardiovascular collapse and arrest. These patients are classified as having massive PE and comprise approximately 4% to 5% of all PE patients.10,11 This group requires urgent or emergent therapy beyond anticoagulation. Some are treated with intravenous thrombolytics in the emergency department or intensive care unit (ICU) setting. If the patient is not a candidate for thrombolytics, emergent thrombectomy (endovascular or surgical) remains an option based on the clinical status and local expertise. In patients with respiratory or full cardiovascular arrest, venovenous or venoarterial extracorporeal mechanical oxygenation may be considered for hemodynamic support and may be the best option for resuscitation if clinically available at the institution.

The remaining 25% to 50% of patients are classified as submassive PE. This highly heterogeneous group of patients includes roughly several hundred thousand patients every year in the United States.12 The management of these patients is further determined by risk stratification into intermediate-low or intermediate-high–risk categories. There remains a debate as to how aggressive therapy should be and what factors would determine escalation beyond anticoagulation. The remainder of this article will focus mostly on this narrow but heterogeneous group of patients, as well as the current research landscape for percutaneous therapy of PE.

SUBMASSIVE PE: LOW TO HIGH RISK

The RV bears the burden of acute PE—a sudden rise in resistance to blood flow, even in the setting of normal PA compliance, can lead to acute and rapid deterioration of RV systolic function.13 This in turn can lead to varying degrees of RV dilatation, elevation of biomarkers (BNP, troponin), hemodynamic perturbation, and end-organ ischemia with elevation of lactic acid. Based on these factors, the submassive PE cohort is further subdivided into intermediate-high or intermediate-low risk.3

The decision for advanced therapies in these patients is based mostly on clinical criteria at presentation and serial evaluations within the first 24 hours of presentation. Although the PE Severity Index (PESI) and simplified PESI (sPESI) can provide an objective estimate of the patient’s mortality and risk of complications,14 the clinical assessment by the physician should not be underestimated. Today, the PE response team (PERT) evaluation is common in most higher-level hospital systems, and determination of further management is then conducted by an established algorithm agreed upon by individual PERTs.15,16 Often, there exists still a great degree of variability not only between institutions but within the PERT attending staff regarding more invasive or advanced therapies for PE.

In general, the patient’s oxygen saturation at rest and with activity, nasal supplementary oxygen requirements, degree of tachycardia, and blood pressure should be closely monitored once admitted in the acute care setting (usually in ICU or step-down level of care) and will dictate the need for advanced therapies. It is well established that mortality in non–low-risk PE patients is higher by up to four- to eightfold, particularly in patients with very large thrombus burden or saddle PE by CTA.6 Early advanced therapies are currently being evaluated in this cohort to assess their impact on morbidity and mortality, which are discussed herein.

It is important to recognize that patients initially classified as “submassive” or “intermediate risk” may subsequently decompensate within the acute care setting. Hypotension, both acute and insidious, should be treated with vasopressors and inotropes, and systemic thrombolytics should not be withheld in the absence of a true contraindication if urgent or emergent thrombectomy is unavailable. Details regarding the use and justification of systemic thrombolytic therapy are outside the scope of this review.

PERCUTANEOUS/ENDOVASCULAR OPTIONS FOR PE

Thrombectomy

Disruption or extraction of clot during the acute presentation of a PE using various devices has been attempted for several decades with limited success and mostly anecdotal reports.17-19 In the last decade, a concerted effort has been made to establish dedicated devices for clot extraction to improve the outcomes of patients with submassive PE. By 2015, two dedicated devices became available: the FlowTriever system (Inari Medical) and Indigo aspiration system (Penumbra, Inc.).

FlowTriever system.  The initial concept for the mechanism of clot extraction with the FlowTriever system (Figure 2) was a 20-F delivery sheath/catheter through which a second device with variably sized nitinol discs was conceived to engage and trap the thrombus in the main PAs. The trapped thrombus could then be retrieved using syringe-based aspiration and extraction of the inner catheter with the discs. In general and in our experience, this device provides significant aspiration force to remove central large thrombus immediately within the PAs. In the FLARE study (Table 1), 106 intermediate-risk patients underwent thrombectomy using the first-generation FlowTriever system, with significant reduction in RV/left ventricular (LV) ratio at 48 hours. Access site complications, bleeding, and injury related to the device were all infrequent.20

Figure 2. The FlowTriever system.
Courtesy of Inari Medical.

The current iteration of the device has switched to mostly abandoning the discs as a method of trapping the thrombus, and instead, the 24-F large-bore catheter (now up to 24 F) serves as a large hose with an improved syringe-based aspiration system that allows clearance of central thrombus. This often leads to rapid unloading of the RV with demonstrable improvement in PA pressures and hemodynamics. An important modification was the introduction of a syringe-based blood filtering system, which allows for replacement of filtered, aspirated blood through the venous sheath to minimize blood loss. The larger prospective Flash registry with 800 patients was published recently. This study evaluated the performance and safety of the Inari 24-F Flowtriever in a self-reported, nonadjudicated group of patients with submassive intermediate- and high-risk PE (NCT03761173). The full United States cohort of 800 patients has been published and demonstrated the safety and efficacy of the FlowTriever system.21,22 Although we are encouraged by these results, the enrollment of nonconsecutive patients, potential for operator bias, and possible enrollment of low-risk patients—as reflected in the low mortality rate in FLASH compared to all-comer PE populations within Medicare or PERT databases23—compels a sense of cautious optimism.

The FLAME trial was presented at the American College of Cardiology meeting in New Orleans in March 2023. Silver et al published a meta-analysis24 that informed us of the performance goal metrics for very-high–risk PE patients. In-hospital mortality was estimated at 28.3% with an overall 30-day mortality of 30.2%. Complications related to the assigned therapy included major bleeding of 13.8% and intracranial hemorrhage of 3.6%. The FLAME trial was then conducted at 11 sites that enrolled patients with PE accompanied by hypotension or a significant drop in baseline BP by 40 mm Hg or need for vasopressor support. Clinical treatment of these patients was left up to the clinician taking care of these patients. The trial was stopped after 50 patients had been enrolled in the FlowTriever arm as the prespecified performance goal had been achieved. The results were then compared to a context arm of 61 patients treated with any form of thrombolytics or anticoagulation alone. As compared to the context arm, the in-hospital mortality was substantially lower in the primary thrombectomy arm (29.5% vs 1.9%), and major bleeding was much higher in the context arm as compared to the thrombectomy arm (24.6% vs 11.3%). Although this provides early insight into the management of very sick patients with thrombectomy, with immediate improved outcomes, the results are limited by nonuniform trial design, exposing the results to tremendous selection and ascertainment bias.

Indigo aspiration system.  The Indigo aspiration system was introduced almost simultaneously as the FlowTriever, initially as a means for mechanical aspiration of clot from peripheral arteries and veins and later adopted for the treatment of PE. The initial 8-F CAT8 Indigo device was evaluated in the EXTRACT-PE trial (Table 1), which studied 119 patients with submassive PE who underwent mechanical thrombectomy. There was significant reduction in RV/LV ratio at 48 hours and complications were infrequent.25 In contrast to the FlowTriever, the intention of this catheter was to mostly remove lobar thrombus in hopes of re-establishing distal perfusion and thus improving oxygenation and hemodynamics (Figure 3).26

Figure 3. Selective angiogram of the right PA demonstrated a large PE (A). Selective angiogram postthrombectomy demonstrating significant thrombus resolution (B).

The CAT8 was soon followed by the 12-F Indigo Lightning system, a larger, double-curved, soft-tip catheter to allow aspiration of larger thrombus both within the lobar branches as well as central PAs. The Lightning system includes an intelligent aspiration algorithm that switches on and off while in free flow of blood to minimize blood loss and improve aspiration efficiency. The Lightning 12 system is currently being studied in STRIKE-PE (NCT04798261), which will evaluate both intermediate- and long-term outcomes in patients undergoing thrombectomy with Lightning 12. Interim analysis has demonstrated a low rate of complications, improvements in RV/LV ratio, and significant improvements in quality-of-life questionnaire scores, Borg Perceived Exertion Scale, and 6-minute walk test at 90-day follow-up.27 All events will be adjudicated by an independent physician-led clinical events classification committee, and this study will also feature a subanalysis of the CT and echocardiographic findings in acute PE and postthrombectomy, in hopes of developing imaging metrics that can be used to predict outcomes in these patients.

The latest variation and modification of this aspiration system is the introduction of a 16-F Lightning Flash system (Figure 4) that now allows rapid aspiration of more central thrombus in addition to the thrombus in proximal lobar branches. This catheter has somewhat less maneuverability within the lobar branches due to its larger size and slightly stiffer distal tip profile but does feature a more sophisticated computer-aided aspiration algorithm. It remains to be seen if this larger-bore system will lend additional benefit from an efficacy perspective. In our early experience with this device, the enhanced aspiration algorithm together with the larger catheter does produce a stronger, more concerted aspiration force. In our experience, this in turn has shortened procedure times, reducing the total aspiration time to < 60 seconds for each lung, which may help mitigate blood loss related to the procedure. As operators gain experience using the new Lightning Flash system, it is expected to replace the 12-F Lightning system within the STRIKE-PE trial. An additional trial, STORM-PE (NCT05684796) will be the first randomized trial to compare mechanical thrombectomy to anticoagulation alone in hopes of demonstrating whether patients derive long-term benefit from early thrombectomy; this is expected to be completed in 2026.

Figure 4. The 16-F Lightning Flash system.
Courtesy of Penumbra, Inc.

Additional considerations.  Regardless of device, as catheter size increases from small to large, the aspiration strategy shifts from addressing individual sublobar and lobar branches to aspirating more prominent central thrombus. In our experience, this can improve procedural efficiency as fewer catheter passes are necessary. The obvious downside of increasing catheter size is increased procedural risks, including access site complications, arrhythmias related to catheter movement through the RV outflow tract, and distal PA injury.26 Although the published data discussed thus far suggest a good safety profile for thrombectomy devices, the available data are prone to selection bias and often include nonconsecutive patients, and complications may be underreported. Thus, the true consequences of an invasive strategy remain unclear.

Importantly, there has been an increased predilection towards mechanical thrombectomy in patients with PE who undergo a procedure. In the last 5 years, while the total number of PE cases and PE-related procedures (Figure 5, red line) has remained relatively constant, there has been a significant rise in the number (Figure 5, pink line) and proportion of mechanical thrombectomy procedures.28

Figure 5. Total number of PE-related procedures and mechanical thrombectomy procedures from 2017 to 2021 based on Medicare diagnosis-related group codes from CMS. Of note, data from 2021 were incomplete at the time of this authorship.

Catheter-Directed Thrombolytics

Thrombolytics may be delivered directly to the PAs via plain multiport distal delivery catheters or ultrasound-assisted catheters (Ekos, Boston Scientific Corporation). To date, there have been very little data comparing these strategies. The SUNSET sPE trial showed equal clot reduction with both strategies, but no outcome data are available.29

Most of the data available for catheter-directed thrombolysis (CDT) are related to Ekos. In the SEATTLE II study, tissue plasminogen activator at a dose of 1 mg per hour was infused into each lung for 12 hours via the Ekos catheter.30 This was subsequently evaluated in OPTALYSE PE, a randomized, dose-ranging trial. All dosing strategies, including lower-dose and shorter-duration infusions led to near-equal improvements in RV/LV ratio at 48 hours.31 With CDT, there remains an approximate 10% risk of minor and major bleeding; however, compared with systemic thrombolysis, there is a substantially lower risk of intracranial hemorrhage.30 Beyond the risks of bleeding, additional disadvantages of CDT compared to thrombectomy include the need for ICU monitoring during the infusion and slower rate of symptom resolution. Additionally, the overall length of stay appears unaltered compared to anticoagulation alone.32

Several trials are currently underway to evaluate CDT. HI-PEITHO (NCT04790370) aims to randomize patients to anticoagulation with or without Ekos and is expected to be completed in 2025. This trial is enrolling a higher-risk population, and its primary endpoint measures NEWS (National Early Warning Score) at 48 hours, in addition to long-term outcomes.33 The PEERLESS study (NCT05111613) is a randomized trial that has enrolled approximately 150 patients thus far to any commercially available CDT system versus thrombectomy using the FlowTriever system. This is expected to be completed in 2024 and will provide much-needed data on the optimal approach to submassive PE management. PE-TRACT (NCT05591118) is a National Institutes of Health–approved study currently awaiting the start of enrollment that will randomize patients to any means of catheter-based therapy (CDT or mechanical thrombectomy) at the discretion of the operator or anticoagulation therapy alone.

FINAL CONSIDERATIONS

Regardless of whether there is residual thrombus proximally, even small improvements in proximal flow can lead to improved distal perfusion, improved V/Q mismatch, and decompression of the RV. For this reason, percutaneous interventions for PE—with small-bore aspiration catheters, large-caliber aspiration catheters, or CDT—all result in improved RV/LV ratios at 48-hour follow-up despite a significant variation in the residual clot burden in the central vessels. Although anticoagulation remains the sole treatment modality for over 90% of patients, additional studies are needed to determine whether this is truly the optimal treatment strategy, particularly in intermediate- and high-risk cohorts.

1. Virchow R. Die Cellularpathologic in Ihrer Begrudung auf Physiologische und Pathologische Gewebelehre. Berlin: A. Hirschwald, 1858.

2. Dalen JE. Pulmonary embolism: what have we learned since Virchow? Natural history, pathophysiology, and diagnosis. Chest. 2002;122:1440-1456. doi: 10.1378/chest.122.4.1440

3. Konstantinides SV, Meyer G, Becattini C, et al. 2019 ESC guidelines for the diagnosis and management of acute pulmonary embolism developed in collaboration with the European Respiratory Society (ERS). Eur Heart J. 2020;41:543-603. doi: 10.1093/eurheartj/ehz405

4. McConnell MV, Solomon SD, Rayan ME, et al. Regional right ventricular dysfunction detected by echocardiography in acute pulmonary embolism. Am J Cardiol. 1996;78:469-473. doi: 10.1016/s0002-9149(96)00339-6

5. Elias A, Mallett S, Daoud-Elias M, et al. Prognostic models in acute pulmonary embolism: a systematic review and meta-analysis. BMJ Open. 2016;6:e010324. doi: 10.1136/bmjopen-2015-010324

6. Jara-Palomares L, Alfonso M, Maestre A, et al. Comparison of seven prognostic tools to identify low-risk pulmonary embolism in patients aged <50 years. Sci Rep. 2019;9:20064. doi: 10.1038/s41598-019-55213-8

7. Zondag W, Mos ICM, Creemers-Schild D, et al. Outpatient treatment in patients with acute pulmonary embolism: the Hestia Study. J Thromb Haemost. 2011;9:1500-1507. doi: 10.1111/j.1538-7836.2011.04388.x

8. EINSTEIN Investigators; Bauersachs R, Berkowitz SD, et al. Oral rivaroxaban for symptomatic venous thromboembolism. N Engl J Med. 2010;363:2499-2510. doi: 10.1056/NEJMoa1007903

9. Agnelli G, Buller HR, Cohen A, et al. Oral apixaban for the treatment of acute venous thromboembolism. N Engl J Med. 2013;369:799-808. doi: 10.1056/NEJMoa1302507

10. Quezada CA, Bikdeli B, Barrios D, et al. Meta-analysis of prevalence and short-term prognosis of hemodynamically unstable patients with symptomatic acute pulmonary embolism. Am J Cardiol. 2019;123:684-689. doi: 10.1016/j.amjcard.2018.11.009

11. Zhai Z, Wang D, Lei J, et al. Trends in risk stratification, in-hospital management and mortality of patients with acute pulmonary embolism: an analysis from the China pUlmonary thromboembolism REgistry Study (CURES). Eur Respir J. 2021;58:2002963. doi: 10.1183/13993003.02963-2020

12. Centers for Disease Control and Prevention (CDC). Data and statistics on venous thromboembolism. Accessed April 17, 2023. https://www.cdc.gov/ncbddd/dvt/data.html

13. Wood KE. Major pulmonary embolism: review of a pathophysiologic approach to the golden hour of hemodynamically significant pulmonary embolism. Chest. 2002;121:877-905. doi: 10.1378/chest.121.3.877

14. Jiménez D, Aujesky D, Moores L, et al. Simplification of the pulmonary embolism severity index for prognostication in patients with acute symptomatic pulmonary embolism. Arch Intern Med. 2010;170:1383-1389. doi: 10.1001/archinternmed.2010.199

15. Kabrhel C, Rosovsky R, Channick R, et al. A multidisciplinary pulmonary embolism response team: initial 30-month experience with a novel approach to delivery of care to patients with submassive and massive pulmonary embolism. Chest. 2016;150:384-393. doi: 10.1016/j.chest.2016.03.011

16. Schultz J, Giordano N, Zheng H, et al. EXPRESS: a multidisciplinary pulmonary embolism response team (PERT)–experience from a national multicenter consortium. Pulm Circ. 2019;9(3):2045894018824563. doi: 10.1177/2045894018824563

17. Koning R, Cribier A, Gerber L, et al. A new treatment for severe pulmonary embolism: percutaneous rheolytic thrombectomy. Circulation. 1997;96:2498-2500. doi: 10.1161/01.cir.96.8.2498

18. Uflacker R, Strange C, Vujic I. Massive pulmonary embolism: preliminary results of treatment with the Amplatz thrombectomy device. J Vasc Interv Radiol. 1996;7:519-528. doi: 10.1016/s1051-0443(96)70793-5

19. Greenfield LJ, Proctor MC, Williams DM, Wakefield TW. Long-term experience with transvenous catheter pulmonary embolectomy. J Vasc Surg. 1993;18:450-457.

20. Tu T, Toma C, Tapson VF, et al. A prospective, single-arm, multicenter trial of catheter-directed mechanical thrombectomy for intermediate-risk acute pulmonary embolism: the FLARE study. JACC Cardiovasc Interv. 2019;12:859-869. doi: 10.1016/j.jcin.2018.12.022

21. Toma C, Bunte MC, Cho KH, et al. Percutaneous mechanical thrombectomy in a real-world pulmonary embolism population: Interim results of the FLASH registry. Catheter Cardiovasc Interv. 2022;99:1345-1355. doi: 10.1002/ccd.30091

22. Toma C, Jaber WA, Weinberg MD, et al. Acute outcomes for the full US cohort of the FLASH mechanical thrombectomy registry in pulmonary embolism. EuroIntervention. 2023;18:1201-1212.

23. Bikdeli B, Wang Y, Jiménez D, et al. Pulmonary embolism hospitalization, readmission, and mortality rates in US older adults, 1999-2015. JAMA. 2019;322:574-576. doi: 10.1001/jama.2019.8594

24. Silver MJ, Giri J, Duffy A, et al. Incidence of mortality and complications in high-risk pulmonary embolism: a systematic review and meta-analysis. J Soc Cardiovasc Angio Interv. 2023;2. doi: 10.1016/j.jscai.2022.100548

25. Sista AK, Horowitz JM, Tapson VF, et al. Indigo aspiration system for treatment of pulmonary embolism: results of the EXTRACT-PE trial. JACC Cardiovasc Interv. 2021;14:319-329. doi: 10.1016/j.jcin.2020.09.053

26. Leong DW, Ayadi B, Dexter DJ, et al. Continuous mechanical aspiration thrombectomy performs equally well in main versus branch pulmonary emboli: a subgroup analysis of the EXTRACT-PE trial. Catheter Cardiovasc Interv. Published online December 16, 2022. doi: 10.1002/ccd.30524

27. Weinberg, I. Periprocedural and patient-reported quality of life outcomes after computer-aided mechanical aspiration thrombectomy for the treatment of acute pulmonary embolism: interim analysis of the STRIKE-PE study. Presented at: Vascular InterVentional Advances; November 1, 2022; Las Vegas, Nevada.

28. Heikali D, Dohad S. Recent trend towards increased mechanical thrombectomy in the treatment of acute pulmonary embolism. Presented at: the National PERT Consortium 8th annual Pulmonary Embolism Symposium; September 29, 2022; Tampa, Florida.

29. Avgerinos ED, Jaber W, Lacomis J, et al. Randomized trial comparing standard versus ultrasound-assisted thrombolysis for submassive pulmonary embolism: the SUNSET sPE trial. JACC Cardiovasc Interv. 2021;14:1364-1373. doi: 10.1016/j.jcin.2021.04.049

30. Piazza G, Hohlfelder B, Jaff MR, et al. A prospective, single-arm, multicenter trial of ultrasound-facilitated, catheter-directed, low-dose fibrinolysis for acute massive and submassive pulmonary embolism: the SEATTLE II study. JACC Cardiovasc Interv. 2015;8:1382-1392. doi: 10.1016/j.jcin.2015.04.020

31. Tapson VF, Sterling K, Jones N, et al. A randomized trial of the optimum duration of acoustic pulse thrombolysis procedure in acute intermediate-risk pulmonary embolism: the OPTALYSE PE trial. JACC Cardiovasc Interv. 2018;11:1401-1410. doi: 10.1016/j.jcin.2018.04.008

32. Harvey JJ, Huang S, Uberoi R. Catheter-directed therapies for the treatment of high risk (massive) and intermediate risk (submassive) acute pulmonary embolism. Cochrane Database Syst Rev. 2022;8:CD013083. doi: 10.1002/14651858.CD013083.pub2

33. Klok FA, Piazza G, Sharp ASP, et al. Ultrasound-facilitated, catheter-directed thrombolysis vs anticoagulation alone for acute intermediate-high-risk pulmonary embolism: rationale and design of the HI-PEITHO study. Am Heart J. 2022;251:43-53. doi: 10.1016/j.ahj.2022.05.011

Daniel Heikali, MD
Smidt Heart Institute
Cedars-Sinai Medical Center
Los Angeles, California
Disclosures: None.

Suhail Dohad, MD
Smidt Heart Institute
Cedars-Sinai Medical Center
Los Angeles, California
suhail.dohad@cshs.org
Disclosures: Receives grant/research support from Abbott, Abiomed, Boston Scientific Corporation, Penumbra, Inc.; consulting fees/honoraria from Abbott, Abiomed, Boston Scientific Corporation, Penumbra, Inc.