S. Jay Mathews, MD
Interventional Cardiologist & Endovascular Specialist
Bradenton Cardiology Center
Bradenton, Florida
sjaymathewsmd@gmail.com
Disclosures: Consultant to Penumbra, Inc.

Historically, there have been mixed results on the utility of manual aspiration before percutaneous coronary intervention (PCI). Prior aspiration trials, such as TASTE and TOTAL, have shown little to no benefit of manual aspiration when compared to traditional PCI, and the TOTAL trial also reported a small but statistically significant increase in the risk of stroke.1,2 These trials ultimately resulted in a change in guidelines to a class III indication, stating that routine coronary aspiration has no benefit.3 However, high thrombus burden has been associated with increased major adverse cardiovascular event (MACE) rates, stent thrombosis, and no reflow and remains a barrier to procedural success.4-6 In a subset analysis of patients with high thrombus burden in the TOTAL trial, investigators concluded that high thrombus burden is a risk factor for mortality and an independent predictor of stroke and that additional research and innovation are needed in this high-risk patient population.7

Continuous power aspiration with the Indigo® System CAT™ RX (Penumbra, Inc.) and Penumbra ENGINE™ is Penumbra’s latest innovation in coronary aspiration and is engineered for improved thrombus management for acute coronary syndrome (ACS) patients. As part of the Indigo Aspiration System, the Indigo™ CAT RX Aspiration Catheters and Indigo Separator™ 4 are indicated for the removal of fresh, soft emboli and thrombi from vessels in the coronary and peripheral vasculature. There has been a shift to frontline aspiration using this system to help remove thrombus burden while restoring flow, improving visualization of the underlying lesion and minimizing distal embolization.

Adapted from the neurovascular space, Penumbra introduced the Indigo System CAT RX in 2018. This device provides a highly deliverable, atraumatic design, large lumen catheter coupled with Penumbra ENGINE to deliver powerful thrombus removal. The Penumbra ENGINE aspiration source maintains continuous power aspiration for the duration of the procedure compared to manual syringe-based systems, which lose aspiration as fluid fills the syringe and have not shown benefit (Figure 1).2

Figure 1. The Penumbra ENGINE aspiration source maintains sustained power aspiration for the duration of the procedure compared to manual syringe-based systems, which lose aspiration as fluid fills the syringe.

In November 2021, at the Transcatheter Cardiovascular Therapeutics meeting, Penumbra announced the results of the CHEETAH study, a 400-patient, prospective study across 25 centers in the United States. CHEETAH evaluated the safety and performance of frontline utilization of continuous power aspiration with CAT RX in high thrombus burden patients (thrombus grade 4-5) prior to PCI. Ultimately, CAT RX successfully met the primary endpoint while demonstrating high rates of thrombus removal, flow restoration, and myocardial perfusion in conjunction with PCI in a high-risk patient population. There were no device-related serious adverse events, including stroke.8*

CHEETAH STANDARDIZED CROSSING PROTOCOL

CHEETAH investigators were guided to use the following technique: Once the guide catheter was engaged in the ostium, aspiration was turned on using the flow switch as CAT RX exited the distal tip of the guide into the vessel being treated. Continuous aspiration was left ON as the catheter slowly approached the lesion and dwelled on the thrombus for 20 to 30 seconds. The catheter was slowly withdrawn with aspiration ON until exiting the body. This technique helps minimize the distal embolization of thrombus and potential systemic embolization. After exiting the guide, the catheter was flushed and reintroduced for a second pass, if needed.

ENDPOINTS AND CHARACTERISTICS

The primary endpoint was a composite MACE of cardiovascular death, recurrent myocardial infarction (MI), cardiogenic shock, or new or worsening New York Heart Association class IV heart failure within 30 days.

Secondary safety endpoints included major bleeding and stroke at 30 days, as well as cardiovascular death, recurrent MI, cardiogenic shock, new or worsening class IV heart failure, stent thrombosis, and device-related serious adverse events (SAEs) at 180 days. The performance metrics were final thrombolysis in myocardial infarction (TIMI) thrombus grade, final TIMI flow grade, myocardial blush grade, and distal embolization rates.

Most (87.5%) patients presented with ST-segment elevation MI (STEMI), and 12.5% presented with non–ST-segment elevation MI. The breakdown of coronary lesion classification was as follows: 8.3% were type A, 33.6% were type B, and 58.1% were type C. The right coronary artery (RCA) and left anterior descending (LAD) artery were the most common vessels treated, as shown in Figure 2.8*

Figure 2. The RCA and LAD artery were the most common vessels treated.

PROCEDURAL DETAILS

Current guidelines recommend a door-to-device time of 90 minutes or less for patients presenting with STEMI.9 In CHEETAH, the median door-to-device time was 48 minutes. CAT RX has become an essential component of many operators’ primary algorithm because of its simple setup and ease of use.

In CHEETAH, the aspiration time with CAT RX was 69 seconds with one pass. CAT RX enhanced visualization and identified the underlying target lesion in 94.7% patients, and the estimated blood loss was negligible (19 mL).

RESULTS

The primary endpoint of composite MACE at 30 days was met (3.5%). The secondary safety endpoints are shown in Figure 3. There was no incidence of device-related SAEs, including stroke, as adjudicated by an independent medical reviewer.

Figure 3. The secondary safety endpoints of the CHEETAH study.

With regard to performance outcomes, final TIMI thrombus grade 0 was achieved in 99.5% of patients, and final TIMI grade 3 flow was achieved in 97.5% of patients, with 99.8% of patients achieving final myocardial blush grade 3 and a very low distal embolization rate of 0.75%. These results were all core lab adjudicated (Figure 4).*

Figure 4. Primary safety and performance outcomes of the CHEETAH Study.

DISCUSSION

During primary PCI, distal embolization has been reported in up to 15% of cases and has been associated with poor reperfusion, larger infarct size, and lower left ventricular ejection fraction. An unfavorable 5-year survival rate has been reported in patients who develop microvascular obstruction due to distal embolization.10,11

Studies have also shown the positive association between achieving high TIMI flow rates and myocardial perfusion normalization (myocardial blush grade 3) during PCI and improved long-term patient outcomes.12

The distal embolization rate seen in the CHEETAH study was 0.75%. The utilization of CAT RX as an upfront solution for high thrombus burden may limit the risk of distal embolization and improve perfusion to the distal microvasculature.

One of the main advantages of using this technology is the ability to quickly remove thrombus, identify the underlying lesion, and rapidly restore flow, allowing subsequent PCI, if needed.8 These results are encouraging because thrombus continues to be challenging to manage in multiple ACS scenarios. Continuous power aspiration with CAT RX is shown to be safe with high performance outcomes, providing a useful tool in practitioners’ PCI armamentarium.

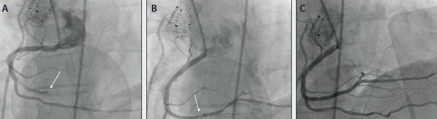
THROMBOTIC OCCLUSION IN DISTAL RCA

Figure 5. Coronary angiography demonstrated a thrombotic occlusion of the distal RCA (white arrow) (A). CAT RX was used frontline, and there was clear identification of the underlying lesion (B). Following balloon and stent, TIMI 3 flow was achieved through the RCA, with myocardial perfusion normalization (C).

Conclusion

In conclusion, CHEETAH demonstrates that frontline utilization of CAT RX during PCI in high thrombus burden patients is safe and can successfully remove thrombus, restore flow, minimize distal embolization, and improve myocardial perfusion. The results are promising and additional studies may be warranted to build clinical evidence for this important technology.

Below, we highlight a case in which continuous power aspiration with CAT RX was used successfully and achieved positive results.

*There were three (0.75%) incidences of nondevice-related strokes as adjudicated by an independent medical reviewer.

†Aspiration time, average number of passes, target lesion visualization, and blood loss as reported are medians.

1. Fröbert O, Lagerqvist B, Olivecrona GK, et al. Thrombus aspiration during ST-segment elevation myocardial infarction. N Engl J Med. 2013;369: 1587-1597. doi: 10.1056/nejmoa1308789

2. Jolly SS, Cairns JA, Yusuf S, et al. Randomized trial of primary PCI with or without routine manual thrombectomy. N Engl J Med. 2015;372:1389-1398. doi: 10.1056/nejmoa1415098

3. Levine GN, Bates ER, Blankenship JC, et al. 2015 ACC/AHA/SCAI focused update on primary percutaneous coronary intervention for patients with ST-elevation myocardial infarction: an update of the 2011 ACCF/AHA/SCAI guideline for percutaneous coronary intervention and the 2013 ACCF/AHA guideline for the management of ST-elevation myocardial infarction. Circulation. 2016;133:1135-1147. doi: 10.1161/cir.0000000000000336

4. Srikanth S, Ambrose JA. Pathophysiology of coronary thrombus formation and adverse consequences of thrombus during PCI. Curr Cardiol Rev. 2012;8:168-176. doi: 10.2174/157340312803217247

5. Vecchio S, Varani E, Chechi T, et al. Coronary thrombus in patients undergoing primary PCI for STEMI: prognostic significance and management. World J Cardiol. 2014;6:381-392. doi: 10.4330/wjc.v6.i6.381

6. Yang L, Cong H, Lu Y, et al. Prediction of no-reflow phenomenon in patients treated with primary percutaneous coronary intervention for ST-segment elevation myocardial infarction. Medicine (Baltimore). 2020;99:e20152. doi: 10.1097/MD.0000000000020152

7. Jolly SS, Cairns JA, Lavi S, et al. Thrombus aspiration in patients with high thrombus burden in the TOTAL trial. J Am Coll Cardiol. 2018;72:1589-1596. doi: 10.1016/j.jacc.2018.07.047

8. Mathews SJ. Multicenter study of continuous mechanical aspiration thrombectomy prior to PCI in patients with high thrombus burden. Presented at: TCT 2021; November 4-6, 2021; Orlando, Florida.

9. O’Gara PT, Kushner FG, Aschheim DD, et al. 2013 ACCF/AHA guideline for the management of ST-elevation myocardial infarction: executive summary: a report of the American College of Cardiology Foundation/American Heart Association task force on practice guidelines. Circulation. 2013;127: 529-555. doi: 10.1161/CIR.0b013e3182742c84

10. Henriques JPS, Zijlstra F, Ottervanger JP, et al. Incidence and clinical significance of distal embolization during primary angioplasty for acute myocardial infarction. Eur Heart J. 2002;23:1112-1117. doi: 10.1053/euhj.2001.3035

11. de Waha S, Patel MR, Granger CB, et al. Relationship between microvascular obstruction and adverse events following primary percutaneous coronary intervention for ST-segment elevation myocardial infarction: an individual patient data pooled analysis from seven randomized trials. Eur Heart J. 2017;38:3502-3510. doi: 10.1093/eurheartj/ehx414

12. Stone GW, Peterson MA, Lansky AJ, et al. Impact of normalized myocardial perfusion after successful angioplasty in acute myocardial infarction. JACC. 2002;39:591597. doi: 10.1016/s0735-1097(01)01779-x


Successful Mechanical Thrombectomy of an Acutely Thrombotic RCA

Hayder D. Hashim, MD
Section of Interventional Cardiology
MedStar Washington Hospital Center
Washington, DC
hayder.hashim@medstar.net
Disclosures: Consultant for Penumbra, Inc.

Giorgio A. Medranda, MD
Section of Interventional Cardiology
MedStar Washington Hospital Center
Washington, DC
Disclosures: None.

PATIENT HISTORY

A man in his mid 40s with an extensive history of tobacco use presented with 2 weeks of persistent exertional chest pain after a viral illness. Initially treated as an upper respiratory tract infection, his chest pain worsened, and he presented to the emergency department where he was found to have diffused ST-segment depression and an elevated troponin level of 9 ng/mL. Given the persistence of his symptoms, he was loaded with aspirin and heparin and transferred urgently for cardiac catheterization.

INTERVENTION

Upon arrival to the cardiac catheterization laboratory, transradial arterial access was obtained, and a 6-F Glidesheath Slender Sheath® (Terumo Interventional Systems) was introduced into the right radial artery. A 5-F Tiger catheter (Terumo Interventional Systems) was used to engage and image the left and right coronary arteries. Coronary angiography demonstrated nonobstructive coronary artery disease in the left coronary arteries with a 100% acute thrombotic occlusion at the mid segment of the RCA (Figure 1). At this point, intravenous cangrelor was initiated and the RCA was easily wired using a Runthrough NS Extra Floppy® wire (Terumo Interventional Systems). After predilating with a 2.0- X 10-mm semicompliant balloon, extensive thrombus was visualized on angiography with restoration of only TIMI 1 flow. At this point, given the presence of significant thrombus burden throughout the RCA and persistent chest pain, the decision was made to perform mechanical power aspiration using the Indigo System CAT RX. Two passes were made, aspirating a total of 40 mL of blood with extensive thrombus (Figure 2). There was a significant improvement in flow, distally limited by the presence of a small, persistent, distal RCA thrombus. Two drug-eluting stents (DESs; 3.5- X 38-mm) were placed followed by proximal postdilatation with a 4.0- X 15-mm noncompliant balloon. Final angiography and intravascular ultrasound demonstrated excellent stent expansion and apposition, resulting in restoration of TIMI 3 flow to the distal RCA. The patient remained hemodynamically stable with resolution of his chest pain. Radial arterial hemostasis was achieved using a TR Band® (Terumo Interventional Systems). The patient was discharged 2 days later.

Figure 1. Coronary angiography demonstrated a 100% complete thrombotic occlusion of the mid-RCA (white arrow) (A). Balloon angioplasty restored minimal flow to the vessel distally (B).

Figure 2. Two runs of the Indigo System CAT RX significantly improved flow distally (A). PCI was then performed using DESs (3.5 X 38 mm), resulting in an excellent final angiographic result with brisk flow to the distal RCA (B).

DISCUSSION

Although routine manual aspiration during ACS is not recommended, there is little doubt that in certain clinical scenarios, mechanical aspiration thrombectomy can play a critical role in reestablishing TIMI 3.1,2 Data support the safety and performance of the Indigo System CAT RX in thrombus removal during ACS, with zero incidence of device-related strokes reported.3,4 Our experience using the Indigo System CAT RX system in select ACS patients with thrombus has demonstrated a safe and reliable benefit in restoring flow to the distal bed. This has transformed our approach in these patients who previously were left with suboptimal results and frequently given glycoprotein IIb/IIIa inhibitors, resulting in an increased risk of bleeding.5 In the case presented, angiography demonstrated a significant thrombus burden that we believed would require the continuous power aspiration offered by the Indigo System CAT RX in order to help minimize the risk of embolization (both proximally and distally) and prime the vessel for optimized stenting, which we were able to achieve.

Disclaimer: The opinions and clinical experiences presented herein are for informational purposes only. The results may vary depending on a variety of patient specific attributes.

1. Levine GN, Bates ER, Blankenship JC, et al. 2015 ACC/AHA/SCAI focused update on primary percutaneous coronary intervention for patients with ST-elevation myocardial infarction: an update of the 2011 ACCF/AHA/SCAI guideline for percutaneous coronary intervention and the 2013 ACCF/AHA guideline for the management of ST-elevation myocardial infarction. J Am Coll Cardiol. 2016;67:1235-1250. doi: 10.1016/j.jacc.2015.10.005

2. Gilchrist IC Jr, Fordham MJ, Pyo R, et al. Mechanical aspiration thrombectomy using the penumbra CAT RX system for patients presenting with acute coronary syndrome. Cardiovasc Revasc Med. 2021. doi: 10.1016/j.carrev.2021.06.130

3. Jolly SS, Cairns JA, Yusuf S, et al. Randomized trial of primary PCI with or without routine manual thrombectomy. N Engl J Med. 2015;372:1389-1398. doi: 10.1056/nejmoa1415098

4. Chami AT, Dong T, Tashtish N, et al. Routine use of aspiration thrombectomy device ”Penumbra” in myocardial infarction (ROPUST) study. Presented at: American College of Cardiology’s scientific session; May 15-17, 2021; presented virtually.

5. Yerasi C, Case BC, Chezar-Azerrad C, et al. Cangrelor vs. glycoprotein IIb/IIIa inhibitors during percutaneous coronary intervention. Am Heart J. 2021;238:59-65. doi: 10.1016/j.ahj.2021.04.013