Pulmonary embolism (PE) is a common disease associated with significant morbidity and mortality.1 Despite the familiarity with this disease, the best treatment remains undefined.

WHY I DO IT

The debate over pharmacologic versus mechanical treatment of acute PE has recently heated up again with the advent of user-friendly mechanical and aspiration thrombectomy technologies. This is especially true for submassive PE, which is an area for potential growth both for understanding the pathophysiology of the disease process and management.

HOW I DO IT

Indigo Lightning Aspiration System

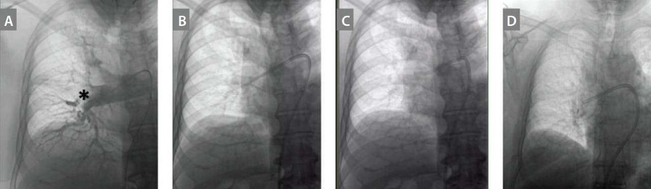
The Indigo Lightning aspiration system (Penumbra, Inc.) combines a sustained, continuous aspiration pump able to achieve near-pure vacuum (the Engine); a large bore, laser-cut flexible hypotube (the CAT12 catheter); and sensor-driven, intelligent aspiration flow regulation (Lightning). This aspiration system typically uses a ≥ 12-F common femoral vein (CFV) access. Access to the pulmonary artery (PA) can be achieved using a 7-F balloon-tipped catheter or a 6-F pigtail catheter. Pulmonary angiography is typically performed using the pigtail catheter to visualize the thrombus and the pulmonary vasculature (Figure 1A) either via the primary access or via a secondary venous access that would permit continuous hemodynamic monitoring. Initial ultrasound-guided access of the CFV is then obtained. A 0.035-inch, stiff, angled Glidewire or Glidewire Advantage (Terumo Interventional Systems) can be used to help direct the catheters to the main PA and distal segmental branches. Alternatively, a 0.035-inch Hi-Torque Supra Core guidewire (Abbott) can also be used to advance into the lobar branches.

Figure 1. The Penumbra Lightning Aspiration system for use in acute PE. Pulmonary angiography of the right main PA and associated lobar branches; the asterisk points out the thrombus (A). The Lightning 12 catheter over the Amplatz Super Stiff wire (B). The Lightning 12 catheter without the wire (C). The Lightning 12 catheter with the Separator that comes with the Lightning system (D).

Next, using either the pigtail catheter or a multipurpose catheter, a stiff wire such as a 0.035-inch, 1-cm-tip Amplatz Super Stiff short taper guidewire (Boston Scientific Corporation) is advanced through the catheter. The short sheath is then exchanged for a long sheath, which is placed into the main, right, or left PA. It is best to place the sheath above the pulmonary valve to avoid excess trauma with catheter exchanges, if performed. The preferred sheath is usually a 14- or 16-F X 65-cm Gore DrySeal Flex introducer sheath (Gore & Associates). Using a larger sheath allows for the Lightning 12 device to torque freely and prevents shearing of thrombus if using the XTRACT technique.2 The Lighting 12 catheter is then advanced over the wire to the desired location, and aspiration is performed using continuous aspiration (Figure 1B). The HTORQ curve, a feature of the Lightning 12 catheter, has both a primary and a secondary curve, maximizing sweep within large pulmonary vessels and facilitating, access to acutely angulated vessels (Figure 1B). It is possible to advance the catheter without a wire to maintain maximal contact with the clot and remove wall-adherent thrombus, but caution must be taken to avoid damage to the PAs (Figure 1C). Continuously torquing the catheter using the wings just after the rotating hemostatic valve (RHV) can help prevent the tip of the catheter from getting stuck on the vessel wall.

Blood is then aspirated into a disposable canister, where solid material is strained. The Lightning 12 system uses a proprietary, computer-aided, flow regulation to minimize blood loss and maximize suction when on occlusive thrombus. Auditory (clicks) and visual cues (green flashing lights) suggest open flow and will trigger the operator to turn off aspiration using the manual flow switch. After adjusting the catheter location, the absence of audible clicks and a solid green light that eventually turns orange after > 20 seconds of occlusion suggests appropriate positioning for effectively aspirating thrombus. Pulmonary angiography can be performed throughout the procedure with a secondary pigtail or direct injection through the Lightning 12 catheter, using 10 mL contrast chased with 10 mL saline.

If the thrombus burden is large and organized, it is advised to use the mechanical Separator 12 (SEP12; Penumbra, Inc.), which is a polymer-jacketed bead attached to a guidewire. This is introduced through the RHV and advanced approximately 1 to 2 cm in front of the Lightning 12 catheter with rapid agitation to break up leading thrombus into smaller particles that can be aspirated (Figure 1D). Care must be taken to not advance the SEP12 blindly into vessels to avoid perforation. When pulmonary arterial perfusion and hemodynamics improve, the system can be retrieved or advanced into the contralateral side by repeating the steps. Venous closure is typically accomplished via a “figure-of-eight” or “purse-string” suture.

FlowTriever System

The FlowTriever system (Inari Medical) is made up of interchangeable manual aspiration catheters that come in 16-, 20-, and 24-F sizes and optional self-expanding, nitinol mesh disks that are designed to disrupt clot prior to aspiration. The Triever20 (Inari Medical) is a curved catheter that can assist with aspiration of clot in challenging anatomy.

Access to the pulmonary vasculature is achieved via a pigtail catheter or a 7-F balloon-tipped catheter placed in the main PA. Then, a pulmonary angiogram is obtained to visualize the clot(s) and distal vasculature and to select a lobar branch into which a stiff wire can be placed (Figure 2A). A Hi-Torque Supra Core guidewire is placed through the pigtail catheter or balloon-tipped catheter, and the right PA is wired. Depending on where the thrombus is located, the guidewire is placed in either a posterior or anterior lobar branch. Then, a 125-cm multipurpose A (MPA) catheter is inserted over the Supra Core; using a 10-mL syringe, contrast is injected, making sure that the catheter is not in a very small branch that would be susceptible to traumatic injury (Figure 2B). Next, a 1-cm-tip, 260-cm-length Amplatz Super Stiff wire is delivered through the MPA catheter into the lobar branch.

Figure 2. The Inari FlowTriever system for use in acute PE. Pulmonary angiography of the right main PA and associated lobar branches (A). Piggyback system of a 125-cm, 5-F MPA catheter inside a 100-cm, 6-F JR4 guide catheter (B). The Triever24 over an Amplatz Super Stiff wire (C). The Triever24 switched to the left lung (D). The Triever20 Curve catheter inside a Triever24 (E).

When the 0.035-inch Amplatz Super Stiff guidewire is in place, the initial short sheath is replaced with a 24-F sheath. Inari’s own 24-F sheath, the Intri24 introducer sheath (Inari Medical), or the 24-F Gore DrySeal sheath can be used. The Triever24 aspiration catheter is then advanced into the left or right main PA, and aspiration is performed using the retraction aspirator device (Figure 2C). Using the FlowSaver device (Inari Medical), aspirated blood can be filtered to remove clot and then reinfused back to the patient via the access sheath to minimize blood loss. It incorporates a 40-µm filtration system to filter the aspirated blood, which is collected into a 60-mL collection syringe. The blood can then be injected back through the sheath. The equipment is removed when pulmonary angiography—which can be performed through the aspiration catheters—shows improvement in flow and there is improved hemodynamics.

If necessary, the nitinol mesh disks (in the first- and second-generation FlowTriever) can be advanced through the aspiration catheters to break up the clot prior to resuming aspiration. The aspiration catheter can then be withdrawn into the main PA, and an 0.035-inch Hi-Torque Supra Core guidewire can be advanced into the opposite PA and into a lobar branch. Using a multipurpose catheter, the wire can be exchanged for a 1-cm-tip Amplatz Super Stiff guidewire. The dilator of the aspiration catheter is then used to advance the catheter into position to proceed with aspiration (Figure 2D). If the wire is difficult to advance into the lobar branches due to lack of catheter support, the MPA catheter can be “piggybacked” through a 6-F Judkins Right 4 (JR4) guide catheter (Figure 2B). We have found that this catheter system helps provide enough support to advance the stiff wires distally. To increase drive support, another option is to include a long sheath such as a 6-F Pinnacle Destination sheath (Terumo Interventional Systems) with the piggyback system of JR4 and MPA catheters.

Changing the direction in which the aspiration catheter faces often helps improve the ability to suction clot from the vasculature. Biplane imaging can assist in determining the position of the catheter with regard to the thrombus location. If changing the location and direction of the catheter does not improve the success of aspiration, another catheter can be inserted through the 24-F system. The Triever20 curve is designed in such a way that it overcomes the phenomenon of rainbow effect on the left and has better torquibilty and negotiability for difficult anatomy. The Triever16, due to its smaller size, allows access to more distal clot on either side (Figure 2E). If the vessel size dictates the use of a smaller catheter, then the Triever16 aspiration catheter can also be delivered through the Triever24 catheter.

We use mattress sutures to close the access site or “preclose” with a Perclose closure device (Abbott), which is tied down at the end of the procedure. Inari Medical has its own closure device system for large-bore venous access, known as FlowStasis, which incorporates a suture that is secured by the FlowStasis device.

MATERIALS

Indigo Lightning Aspiration System

The Lightning aspiration system is available in multiple sizes, but the 12-F, 100-cm HTORQ catheter is used for most cases. The 115-cm Lightning 8 catheter can be telescoped through the 12-F catheter or used independently in the case of extreme tortuosity or when distal vessel access is desired.

Initial wire access can be achieved with a Hi-Torque Supra Core guidewire or Glidewire Advantage into the PAs and exchanged for a 1-cm-tip, 260-cm-length Amplatz Super Stiff wire for initial delivery of the large sheath. We typically use a 14- to 16-F X 65-cm Gore DrySeal Flex introducer sheath during the aspiration procedure. After the sheath is introduced, the Amplatz wire is usually no longer required, and segmental vessel selection can be done with the Supra Core, Glidewire Advantage, or the catheter and no wire.

FlowTriever System

Three sizes of Triever devices are currently available in the FlowTriever system: 16, 20, and 24 F. The Triever20 comes in a straight or curved shape, and Triever24 has an additional flexible tip. The Triever20 is long enough to be inserted through the Triever24 in the case of challenging anatomy. A dilator kit is also provided for challenging groin anatomy that requires serial dilation. The first-generation FlowTriever disks come in either small (6-10 mm), medium (11-14 mm), large (15-18 mm), or extra-large (19-25 mm) sizes. The new second-generation FlowTriever 2 is a single softer disk designed for vessels 6 to 16 mm in size. Inari provides a 24-F sheath with dilator; alternatively, the 24-F Gore DrySeal Flex introducer sheath can be used for Triever24 or a 22-F sheath for Triever20.

For Inari cases, we use Hi-Torque Supra Core to gain access to medium- or large-sized lobar branches off the right or left PA because the wire is stiff enough to allow delivery of catheters to the pulmonary vasculature without buckling them and has a soft tip to minimize trauma to the vessels. Depending on where the thrombus is located, we place the guidewire in either a posterior or anterior lobar branch. We use a 125-cm MPA catheter to exchange the Supra Core for a 1-cm-tip, 260-cm-length Amplatz Super Stiff wire. This wire is stiffer than the Supra Core and allows for the delivery of the larger 24-F aspiration catheter. When the anatomy is tortuous, we use a piggyback system for the catheters to be able to wire a distal lobar branch. We place a 5-F, 125-cm MPA or JR4 catheter inside a 6-F JR4 guide to increase the bulkiness of the catheter, allowing for better stability while maintaining a small profile for the tip of the catheter.

COMPLICATIONS

Both types of thrombectomy procedures are generally safe. However, some complications may occur. Hemodynamics must be monitored continuously as sudden elevation in pulmonary pressure during the procedure may signal traumatic injury to the vasculature. Hemoptysis and hemothorax may also develop. The patient should be placed with the affected lung down to compress it. Depending on symptom severity, the patient may need to be intubated and coagulation reversed. Both actions can precipitate hemodynamic instability in patients with PE and may require the use of support devices such as extracorporeal membrane oxygenation. When the patient is stable enough, embolization of the affected branch of the PA and other surgical therapeutic options, such as direct repair of the injured vessel or resection of the affected lung segment, should be considered. In patients with massive bleeding, an aggressive surgical approach is needed.

Other possible complications include cardiac tamponade from acute pericardial effusion, which may require placement of a drain and injury to the tricuspid valve from the large aspiration catheter. A postprocedure echocardiogram is important to rule out both complications, which may require urgent interventions. Lastly, access site bleeding and hematoma may occur.

In patients with severe pulmonary hypertension, caution should be exercised with all large-bore thrombectomy devices because stiff catheters in dilated right hearts may precipitate hemodynamic instability. Careful monitoring during the procedure should always be performed.

CONCLUSION

Percutaneous pulmonary thrombectomy presents an avenue into the care of patients who otherwise may have acute and long-term consequences of large clot burden in the pulmonary vascular bed. We described a way that we have found to be useful in achieving success for this procedure. However, the technique of pulmonary thrombectomy is still actively being perfected as more cases are performed.

1. Heit JA. The epidemiology of venous thromboembolism in the community: implications for prevention and management. J Thromb Thrombolysis. 2006;21:23-29. doi: 10.1007/s11239-006-5572-y

2. Saxon RR, Benenati JF, Teigen C, et al. Utility of a power aspiration–based extraction technique as an initial and secondary approach in the treatment of peripheral arterial thromboembolism: results of the multicenter PRISM trial. J Vasc and Interv Radiol. 2018;29:92-100. doi: 10.1016/j.jvir.2017.08.019

Arber Kodra, MD
Department of Cardiovascular and Thoracic Surgery
Lenox Hill Hospital
Northwell Health
New York, New York
Disclosures: None.

S. Jay Mathews, MD, MS
Bradenton Cardiology Center
Manatee Memorial Hospital
Bradenton, Florida
Disclosures: Consultant and speaker for Penumbra; consultant, speaker, and advisory board for Boston Scientific Corporation; advisory board for Innova Vascular and Akura Medical.

Asma Khaliq, MD
Department of Cardiology
Montefiore University Hospital
New York, New York
askhaliq@montefiore.org
Disclosures: None.