Coronary thrombus remains a barrier to procedural success during percutaneous coronary intervention (PCI). The presence of thrombus has been associated with poor outcomes, such as increased rates of major adverse cardiovascular events, including death, myocardial infarction (MI), and need for emergent coronary artery bypass grafting (CABG).1,2 A subgroup analysis from the TOTAL trial explored patients with high thrombus burden and found that this patient population was at high risk for adverse cardiovascular events, warranting the need for further innovation in the field of aspiration thrombectomy.3

In 2012, Penumbra revolutionized thrombus removal for acute ischemic stroke patients by designing highly trackable, atraumatic catheters with a mechanical power aspiration source designed to revascularize cerebrovascular occlusions. In 2015, that technology was adapted for peripheral arterial and venous thrombus occlusions with the introduction of the Indigo® System (Penumbra, Inc.). In 2018, Penumbra launched mechanical power aspiration for the coronaries with the development of CAT™ RX (Penumbra, Inc.). The system was designed to address the limitations of traditional treatment options for coronary thrombus removal.

As part of the Indigo Aspiration System, the Indigo CAT RX Aspiration Catheters and Indigo Separator™ 4 are indicated for the removal of fresh soft emboli and thrombi from vessels in the coronary and peripheral vasculature.

Since the introduction of mechanical power aspiration for coronary thrombus removal, multiple clinical scenarios have been found where this technology may be additionally beneficial.

A common occurrence in patients with thrombotic burden undergoing PCI is the development of slow flow or no reflow. It has been reported that up to 41% of PCI patients are impacted by these phenomena, and closer to 60% have been reported by cardiac magnetic resonance.4,5 Data indicate the presence of no reflow is associated with an increased risk of 5-year mortality and a threefold increase in mortality or heart failure–related hospitalizations for patients who develop microvascular obstruction.6,7

Aspiration of coronary thrombus may have a role in limiting the occurrence of no reflow and improving myocardial blush grades.4,8 Mechanical power aspiration with CAT RX can remove heavy thrombus burden prior to PCI and help prevent distal embolization.9 Anecdotally, removal of thrombus with CAT RX may prevent the no-reflow phenomenon. The system provides sustained aspiration power throughout the procedure.

One of the most common scenarios where no reflow can occur is during saphenous vein graft (SVG) intervention. SVGs have been associated with poor patency rates and have been shown to frequently degenerate. Studies have shown that 10% to 15% of SVGs occlude within the first 12 months, and approximately 50% fail within 10 years.10 Slow flow or no-reflow phenomenon can result from manipulation in these lesions during SVG PCI, and for that reason, a distal protection device is routinely utilized.11 Mechanical thrombectomy with CAT RX and Penumbra ENGINE can remove thrombus within SVGs prior to subsequent treatment to reduce the occurrence of downstream embolization and potentially minimize periprocedural MI.

An additional clinical scenario where this technology can be employed is in the setting of stent thrombosis. Although rare, stent thrombosis remains a significant challenge and can present as an acute MI.12 In this setting, mechanical thrombectomy with CAT RX provides a useful tool to address these thrombosed stents. CAT RX device has an atraumatic, low-profile design that allows it to be easily delivered through a recently placed stent while providing mechanical power aspiration to help remove the thrombus.

Below, we highlight a series of cases in various applications where mechanical thrombectomy with CAT RX was used successfully and achieved positive results.

–Darshan Doshi, MD


UTILIZATION OF MECHANICAL THROMBECTOMY IN AN UNSTENTABLE RIGHT CORONARY ARTERY

Darshan Doshi, MD
Associate Director, MGH Chronic Total Occlusion
Percutaneous Coronary Intervention Program
Massachusetts General Hospital
Boston, Massachusetts
Disclosures: Consultant to Penumbra.

Ken Rosenfield, MD
Section Head, Vascular Medicine and Intervention
Chairman, STEMI & Acute MI Quality Improvement Committee
Massachusetts General Hospital
Boston, Massachusetts
Disclosures: None.

PATIENT HISTORY

A man in his early 60s with a medical history significant for hypertension, hyperlipidemia, diabetes mellitus, and known coronary artery disease status, as well as a PCI to the left anterior descending artery in 2010, presented with intermittent chest pressure for the previous 24 hours. The patient was brought to the emergency department and given sublingual nitroglycerin, which improved his symptoms. His vitals and physical exam were unremarkable.

INTERVENTION

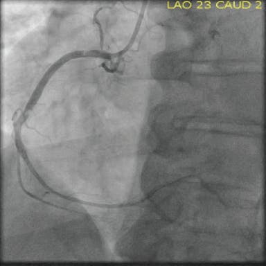
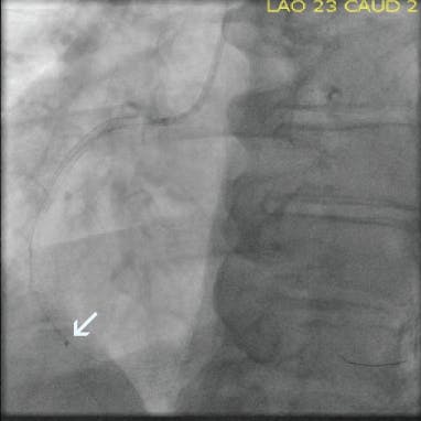
A 2-mm balloon was used to perform the Dotter technique to predilate the vessel (Figure 1). Heavy thrombus burden was visualized angiographically, and it was decided that mechanical thrombectomy with CAT RX would be introduced (Figure 2). After multiple passes of CAT RX with 30 seconds of aspiration each, there was improved flow through the vessel (Figure 3). Then, 4- X 38-mm and 4- X 32-mm drug-eluting stents (DESs) were placed distally and in the midbody, resulting in thrombolysis in myocardial infarction (TIMI) 3 flow (Figure 4).

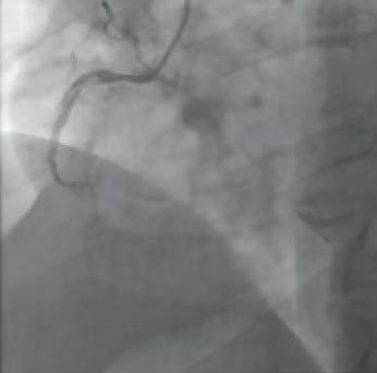
Figure 1. An angiogram shows an occluded right coronary artery (RCA).

Figure 2. Heavy thrombus burden was visualized angiographically after using the Dotter technique.

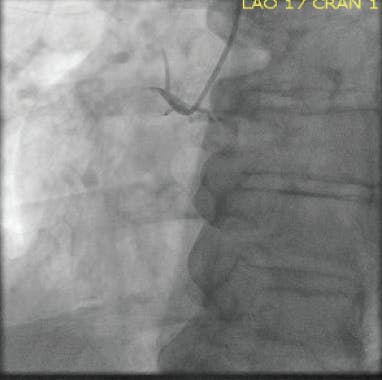
Figure 3. Improved flow through the vessel after using CAT RX.

Figure 4. TIMI 3 flow achieved.

Figure 5. Thrombus aspirated from CAT RX.

DISCUSSION

CAT RX has quickly become our device of choice for heavy thrombus burden in the coronaries. Thrombus management is pivotal to preventing adverse clinical outcomes during PCI, and in our practice we have found CAT RX effective at removing large thrombus burden. The atraumatic design of the catheter allows it to be very trackable and deliverable in the coronary vasculature, while the Penumbra ENGINE® helps maintain full, consistent vacuum for the duration of the procedure. In this particular case, CAT RX and Penumbra ENGINE were able to remove a significant amount of thrombus, restoring flow and allowing a stent to be placed in a vessel that appeared unstentable prior to mechanical thrombectomy.


MECHANICAL ASPIRATION THROMBECTOMY USING CAT RX FOR STENT THROMBOSIS PRESENTING WITH NON–ST-SEGMENT ELEVATION MYOCARDIAL INFARCTION

Anjan Gupta, MD, FACC, FSCAI
Cardiac Cath Lab Director
UH Portage Medical Center
Clinical Assistant Professor of Medicine
Case Western Reserve University
Cleveland, Ohio
Disclosures: Consultant to Penumbra.

PATIENT HISTORY

A 60-year-old man whose history included a PCI 10 years prior presented with complaints of intermittent chest pain, sweating, and nausea. An electrocardiogram showed nonspecific ST wave changes, and troponin increased to 45 ng/mL. The patient was started on a heparin drip, along with a loading dose of ticagrelor and aspirin, and brought to the catheterization lab.

INTERVENTION

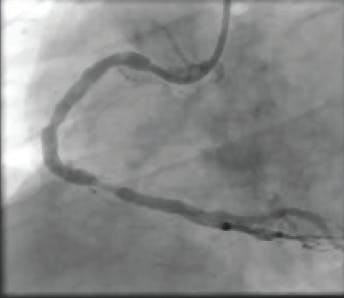
A radial approach was used for intervention. The diagnostic catheter revealed a totally occluded RCA with acute stent thrombosis and TIMI 0 flow (Figure 1). Using a whisper wire, the lesion was crossed. Two runs were then performed using CAT RX, which resulted in establishment of flow (Figure 2 and Figure 3). Subsequently, balloon dilatation was performed in the stent with a 2.5- X 20-mm compliant balloon; a 3.5- X 38-mm Resolute Onyx™ stent (Medtronic) was deployed in the mid-RCA distal to the original stent and was postdilated with a 4- X 15-mm noncompliant balloon. TIMI 3 flow was noted postprocedure, with grade 3 myocardial blush (Figure 4).

Figure 1. The occluded RCA with acute stent thrombosis.

Figure 2. Intraprocedural angiogram with CAT RX (white arrow).

Figure 3. Angiogram following aspiration with CAT RX.

Figure 4. Final angiogram with complete TIMI 3 flow after the use of CAT RX.

DISCUSSION

CAT RX has changed my approach to interventions in acute MI patients with high thrombus burden. It is my initial device of choice when the angiogram demonstrates extensive thrombus burden. In my practice, we have found that successful mechanical aspiration thrombectomy leads to less device use in acute coronary interventions and less adjunctive pharmacotherapy. Also, the removal of thrombus in the beginning of the intervention led to better definition of the underlying lesion, which resulted in the reduction of stents placed. In this case, I decided to use CAT RX due to the presence of extensive thrombus in the RCA. There was no distal embolization of the thrombus, and we were able to achieve excellent results. I believe that CAT RX is a very useful device for acute or subacute stent thrombosis with high thrombus burden to establish flow in the coronary artery and potentially help minimize distal embolization before definitive intervention.

Furthermore, University Hospitals Cleveland Medical Center shared a retrospective analysis of the safety and effectiveness of CAT RX at the American College of Cardiology (ACC) annual conference in 2021.13 In this data set, TIMI 3 flow immediately following CAT RX was seen in 89.7% of patients with no incidence of stroke. This data further corroborates the results of the data presented at ACC in 2019 (Figure 5).9,13 We concluded that CAT RX was successful in the complete evacuation of thrombus in a majority of cases and that the use of CAT RX was safe as evident by the zero-stroke rate even in a high-risk patient population.

Figure 5. Data presented at ACC 20199 and ACC 2021.13


CORONARY THROMBUS REMOVAL IN THE SETTING OF ACUTE CORONARY SYNDROME

Ehrin Armstrong, MD, MSc
Director, Adventist Heart and Vascular Institute
Adventist Health St. Helena Hospital
St. Helena, California
Disclosures: Consultant to Penumbra.

PATIENT HISTORY

A 62-year-old man with no medical history presented to the emergency department with acute onset chest pain. His initial electrocardiogram demonstrated acute myocardial infarction. Although initially stable, the patient had a ventricular fibrillation cardiac arrest on his way to the catheterization lab. Immediate defibrillation was performed. He regained a pulse, but his systolic pressure was 60 mm Hg on arrival to the catheterization lab.

INTERVENTION

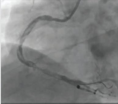
An Impella® device (Abiomed, Inc.) was placed emergently on arrival, and perfusion was restored. The initial angiogram showed an occlusion of the proximal left anterior descending (LAD) artery with an acute cutoff, consistent with thrombosis (Figure 1). The lesion was wired with a 0.014-inch balance middleweight wire (BMW; Abbott). CAT RX was used frontline, and flow was restored after two passes with 30 seconds of aspiration (Figure 2). The door-to-device time was 45 minutes. After mechanical thrombectomy, intravascular ultrasound was performed, revealing evidence of plaque rupture and minimal associated plaque burden. Primary stent implantation was therefore performed with a 3- X 28-mm DES, which was postdilated with a 3.25-mm noncompliant balloon to 18 atm. Final angiography revealed TIMI 3 flow with no evidence of distal embolization and restoration of myocardial blush (Figure 3). The Impella® device was removed at the end of the procedure. The patient experienced a full recovery and was discharged from the hospital after 3 days.

Figure 1. Initial angiogram showing occlusion of the proximal LAD.

Figure 2. Flow through LAD after mechanical thrombectomy with CAT RX.

Figure 3. Final angiogram showing TIMI 3 flow through the vessel.

DISCUSSION

In my practice, CAT RX has become a crucial tool for the management of acute coronary syndrome (ACS). Coronary thrombus remains a major barrier toward procedural success in the setting of PCI, which is why upfront mechanical thrombectomy has become part of my routine in these patients presenting with thrombus burden. In these cases, I have found that having the ability to remove the thrombus and identify the extent of the lesion allows for better sizing and placement of the stent. I have also been impressed by the lack of distal embolization and improved myocardial perfusion, as assessed by angiography. The continuous power aspiration provided by the Penumbra ENGINE combined with a catheter that can be easily delivered to distal vasculature makes this my go-to system for thrombus in the coronaries.


THROMBUS REMOVAL IN A LARGE CIRCUMFLEX ARTERY UTILIZING MECHANICAL POWER ASPIRATION

Jon George, MD, MBA
Interventional Cardiologist
Endovascular Medicine Specialist
Pennsylvania Hospital
University of Pennsylvania Health System
Philadelphia, Pennsylvania
Disclosures: Consultant to Penumbra.

PATIENT HISTORY

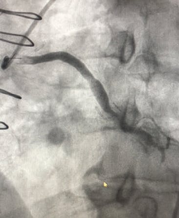
A 43-year-old man with no medical history presented to the emergency department in cardiogenic shock and was found to have an acute MI. Emergency coronary angiography demonstrated proximal thrombotic occlusion of a large circumflex artery (LCx) (Figure 1A).

Figure 1. Initial angiogram demonstrating proximal thrombotic occlusion of a large LCx (A). OCT confirmed the vessel was 5 mm in the proximal segment, with clarification of the plaque rupture location (B). Final angiogram showing TIMI 3 flow through the vessel (C).

INTERVENTION

The lesion was quickly crossed with a soft hydrophilic guidewire. Mechanical thrombectomy with CAT RX was used upfront to extract thrombus for better visualization, yielding TIMI 3 flow after two passes and externalization of thrombotic debris. Optical coherence tomography (OCT) confirmed the vessel was 5 mm in the proximal segment and clarified the location of plaque rupture (Figure 1B). Balloon angioplasty and stenting were then performed to optimize stent expansion and apposition (Figure 1C). The patient recovered immediately and did not require any hemodynamic support following revascularization.

DISCUSSION

In this particular case, there was potentially a high risk of distal embolization and no-reflow phenomenon due to the large thrombus burden that was observed in a 5-mm vessel. Mechanical thrombectomy and power aspiration with CAT RX successfully extracted the heavy thrombus burden prior to stenting (Figure 2), significantly minimizing the risk of distal embolization and no-reflow phenomenon. The ability to aspirate the thrombus efficiently, visualize the vessel, and optimize revascularization of the LCx played a vital role in the success of this case. Mechanical Thrombectomy with CAT RX is an essential component of my algorithm in patients with high thrombus burden, especially in large proximal vessels. Furthermore, powered aspiration thrombectomy with CAT RX provides sustained aspiration power throughout the duration of the run, facilitating thrombus removal.

Figure 2. Thrombus aspirated with CAT RX.


MECHANICAL THROMBECTOMY WITH THE INDIGO SYSTEM CAT RX FOR THROMBUS REMOVAL IN AN OCCLUDED SAPHENOUS VEIN GRAFT

Mahboob Alam, MD, MBBS, FACC, FSCAI
Associate Professor
Associate Director of Cardiovascular Fellowship
Baylor College of Medicine
Houston, Texas
Disclosures: None.

PATIENT HISTORY

A man in his 60s with a CABG 12 years earlier, presented with chest pain, elevated troponin, and ongoing unstable angina in the setting of ACS/non–ST-segment elevation myocardial infarction. The patient was admitted to an outside hospital from the emergency room and was transferred to our facility for further care.

INTERVENTION

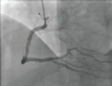
Angiography showed complete occlusion and heavy thrombus burden from the SVG to the diagonal branch (Figure 1). It was planned to intervene upon the lesion. The occlusion was determined to be acute based on a previous angiogram within the past month that showed a patent SVG to the diagonal branch. The lesion was wired using a 0.014-inch X 300-cm Sion® Blue wire (Asahi Intecc USA, Inc.) without any problems. Because the graft was totally occluded, it was decided not to advance a filter through the occlusion due to risk of distal embolization (Figure 2). Mechanical thrombectomy with CAT RX was used to aspirate the thrombus. After three runs of mechanical aspiration using a CAT RX and around 3 minutes of aspiration, TIMI 3 flow was restored (Figure 3). The patient was treated with heparin infusion overnight to reduce further thrombus burden and was brought back to the catheterization laboratory the next day for staged PCI with a DES (Figure 4).

Figure 1. Initial angiogram showing occlusion through the SVG.

Figure 2. Angiogram after wiring.

Figure 3. TIMI 3 flow through the SVG after using CAT RX.

Figure 4. Final angiogram after using CAT RX and staged PCI.

Figure 5. Thrombus aspirated with CAT RX.

DISCUSSION

SVGs have been known to have poor patency rates and frequently degenerate. In our practice, we have found that mechanical thrombectomy with CAT RX can be an effective option to address heavy thrombus burden in these occluded vein grafts. CAT RX is highly deliverable, even to distal thrombotic lesions, and we have experienced very positive results when utilizing aspiration thrombectomy with this device.

Recently, guidance from the Society for Cardiovascular Angiography & Interventions discusses the employment of CAT RX for large thrombus burden in SVGs. This guidance suggests that when an embolic protection device (EPD) is not available or cannot be used, aspiration has been described to prevent no reflow. If using an EPD and no reflow occurs, the EPD may be filled with embolized thrombotic materials. In these situations, it is important to perform aspiration thrombectomy of the graft prior to filter retrieval. Mechanical thrombectomy can be beneficial to address high thrombus burden in this application.14

In this particular case, heavy thrombus burden had occluded the graft, limiting flow to the patient’s diagonal branch. We chose CAT RX because of the continuous power aspiration provided by the system. Due to the large thrombus burden, we wanted to have the ability to aspirate as much thrombus as possible up front to help prevent distal embolization and potentially prevent burying significant thrombus beneath the stent. These efforts can help reduce the risk of delayed malapposition once thrombus resolves, distal embolization due to thrombus protrusion through the stent, and stent thrombosis if the residual thrombus propagates.

Disclaimer: The opinions and clinical experiences presented herein are for informational purposes only. The results may vary depending on a variety of patient-specific attributes.

1. Srikanth S, Ambrose JA. Pathophysiology of coronary thrombus formation and adverse consequences of thrombus during PCI. Curr Cardiol Rev. 2012;8:168-176. doi: 10.2174/157340312803217247

2. Vecchio S, Varani E, Chechi T, et al. Coronary thrombus in patients undergoing primary PCI for STEMI: prognostic significance and management. World J Cardiol. 2014;6:381-392. doi: 10.4330/wjc.v6.i6.381

3. Jolly SS, Cairns JA, Lavi S, et al. Thrombus aspiration in patients with high thrombus burden in the TOTAL trial. J Am Coll Cardiol. 2018;72:1589-1596. doi: 10.1016/j.jacc.2018.07.047

4. Yang L, Cong H, Lu Y, et al. Prediction of no-reflow phenomenon in patients treated with primary percutaneous coronary intervention for ST-segment elevation myocardial infarction. Medicine (Baltimore). 2020;99:e20152. doi: 10.1097/MD.0000000000020152

5. Montone RA, Crea F. Clinical implications and treatment of coronary microvascular obstruction in STEMI. Cardiac Interv Today. 2020;14:40-45.

6. Ndrepepa G, Tiroch K, Fusaro M, et al. 5-year prognostic value of no-reflow phenomenon after percutaneous coronary intervention in patients with acute myocardial infarction. J Am Coll Cardiol. 2010;55:2383-2389. doi: 10.1016/j.jacc.2009.12.054

7. de Waha S, Patel MR, Granger CB, et al. Relationship between microvascular obstruction and adverse events following primary percutaneous coronary intervention for ST-segment elevation myocardial infarction: an individual patient data pooled analysis from seven randomized trials. Eur Heart J. 2017;38:3502-3510. doi: 10.1093/eurheartj/ehx414

8. Svilaas T, Vlaar PJ, van der Horst IC, et al. Thrombus aspiration during primary percutaneous coronary intervention. N Engl J Med. 2008;358:557-567. doi: 10.1056/NEJMoa0706416

9. Mathews SJ, Brown C, Kolski B, et al. Initial experience with a mechanical aspiration catheter for thrombus removal during percutaneous intervention: a multicenter retrospective case series. Presented at: American College of Cardiology’s 68th annual scientific session; March 16-18, 2019; New Orleans, Louisiana.

10. Lee M, Kong J. Current state of the art in approaches to saphenous vein graft interventions. Interv Cardiol. 2017;12:85-91. doi: 10.15420/icr.2017:4:2

11. Neumann F-J, Sousa-Uva M, Ahlsson A, et al. 2018 ESC/EACTS guidelines on myocardial revascularization. Eur Heart J. 2019;40:87-165. doi: 10.1093/eurheartj/ehy394

12. Holmes DR, Kereiakes DJ, Garg S, et al. Stent thrombosis. J Am Coll Cardiol. 2010;56:1357-1365. doi: doi/10.1016/j.jacc.2010.07.016

13. Chami AT, Dong T, Tashtish N, et al. Routine use of aspiration thrombectomy device ”Penumbra” in myocardial infarction (ROPUST) study. Presented at: American College of Cardiology’s scientific session; May 15-17, 2021; presented virtually.

14. Society for Cardiovascular Angiography & Interventions. Paul TK, Truong HT, Latif F. Tips and tricks for saphenous vein graft intervention. Published October 21, 2020. Accessed April 28, 2021. www.scai.org/tips-and-tricks-saphenous-vein-graft-intervention