Advertisement
Advertisement
September/October 2019
Percutaneous Treatment of Left Ventricular Free Wall Perforation and Severe Mitral Insufficiency
Moderator: Wojciech Wojakowski, MD, PhD
Panelists: Anita W. Asgar, MD, MSc, FACC; Haim Danenberg, MD; Thomas Modine, MD, PhD, MBA; and Pavel Overtchouk, MD
CASE PRESENTATION
A 53-year-old man with a history of coronary artery bypass grafting (CABG) in 2008 (two arterial grafts: left internal mammary artery–to–intermediate artery–to–obtuse marginal artery and right internal mammary artery–to–left anterior descending artery) was urgently admitted due to non–ST-segment elevation myocardial infarction (MI) with worsening heart failure, as well as chest pain that started 2 to 3 weeks earlier. On transthoracic echocardiography at admission, we found a left ventricular (LV) aneurysm of the inferior wall with a severely reduced LV ejection fraction (LVEF) of 25%, interventricular septal dyskinesia, and a perforated basal segment of the inferior wall associated with a pericardial hematoma of approximately 400 mL. The patient also had severe mitral regurgitation (MR). Coronary angiography revealed a distal right coronary artery occlusion and patent arterial grafts.
The patient’s heart failure was progressively worsening with recurrent pulmonary edema and hypoperfusion. An intra-aortic balloon pump (IABP) and inotropes were only partially effective, and the heart team deemed the patient to be at a very high surgical risk.
Would you accept this patient for urgent LV rupture repair and mitral valve repair or replacement?
Dr. Asgar: This is a young patient with previous CABG to the left coronary artery, presenting with a late-presentation MI and subsequent mechanical complication of free wall rupture, as well as severe functional MR and LV dysfunction. The heart team needs to first evaluate the surgical and transcatheter options. The patient is high risk given his presentation, patent bilateral mammary grafts, and severe LV dysfunction. In such a case, it is important to have a clear conversation with the patient regarding his risks and available options. If both the heart team and the patient are in agreement, I think it would be reasonable to proceed with transcatheter occlusion of the free wall rupture, followed by consideration of transcatheter mitral valve leaflet repair.
Drs. Overtchouk and Modine: This is an exceptionally severe situation of a patient presenting with two mechanical complications of a subacute inferior MI. Both complications are surgical indications that are treatable with LV rupture patch repair and mitral valve repair or replacement. Furthermore, no percutaneous intervention has been validated in this situation. Of course, surgery would be very high risk in the acute setting. Given the lack of hemodynamic stabilization under inotropes and IABP (INTERMACS level 1), this patient could be a suitable candidate for extracorporeal life support. After stabilization, a heart transplant or surgery of the LV free wall rupture and mitral valve with lower surgical risk should be discussed.
Dr. Danenberg: The patient appears to be in critical condition. The mortality associated with LV perforation is extremely high, and thus it needs to be promptly repaired. The risks for mortality and prolonged and complex recovery associated with surgical closure of the perforation and mitral valve repair/replacement are extremely high. I would recommend a staged procedure: first treating the perforation and later repairing the mitral insufficiency. Therapy of the myocardial perforation and pseudoaneurysm can be performed in a minimally invasive surgical manner without the use of cardiopulmonary bypass. Yet, based on meticulous imaging and sizing, I would aim to perform this stage percutaneously. The second stage should be performed percutaneously or not at all.
Which device would you use for a transcatheter approach?
Dr. Danenberg: I would use the Amplatzer ventricular septal defect (VSD) occluder (Abbott) for stage one and the MitraClip (Abbott) or Pascal (Edwards Lifesciences) mitral valve repair systems for stage two. The main question for percutaneous repair of myocardial rupture is which access to use: a vascular approach, in which I would use the left or right axillary based on diameter, or a transapical approach, which provides simpler navigation but a high complication rate. The decision should be made after echocardiography and CT analysis.
Drs. Overtchouk and Modine: If the heart team decides on percutaneous closure of the LV free wall rupture, a VSD closure device could be an option. If available, contrast CT could provide valuable data for device sizing and compatibility evaluation. The Amplatzer vascular plug (Abbott) reportedly has been used in traumatic right ventricular free wall rupture.
As for the MR, we must first understand its mechanism. Possible mechanisms are diverse and include primary regurgitation by papillary muscle rupture or secondary to restriction. The MitraClip device is widely available in tertiary centers, and it can be discussed as an emergency treatment for primary and secondary regurgitation if the patient’s anatomy is compatible with the device. But again, no percutaneous device has been proven to provide any benefit in the acute setting of MI with mechanical complications.
Dr. Asgar: My device of choice for transcatheter occlusion of the free wall rupture would be either an Amplatzer muscular VSD occluder or a post-MI VSD occluder depending on the results of transesophageal echocardiography or CT.
Would you perform a staged or single procedure?
Dr. Danenberg: The risk in a single procedure is higher than the risk associated with staged procedures. The emergency procedure is the repair of the ruptured myocardium. Therefore, that needs to be first. Mitral repair can be performed in an elective manner once myocardial repair is achieved and valid.
Dr. Asgar: My preference would be to perform the free wall rupture occlusion first because this is the immediate threat to survival, and then I would stabilize the patient. Because full anticoagulation is required for leaflet repair, I would wait a few days, if possible, before performing the MitraClip procedure. In the event of continued patient instability, this could be performed sooner as required.
Drs. Overtchouk and Modine: In the emergency setting of “crash-and-burn” cardiogenic shock, the priority should be restoration of hemodynamic stability. If mechanical support is not possible and intervention is the only option, then correction of the MR should be performed first with the aim of improving cardiac output. The contained LV free wall rupture could arguably be managed medically until stabilization is achieved. A staged surgical intervention of LV repair could then be performed using a hybrid approach. Alternatively, if surgery is estimated at excessive risk after stabilization, percutaneous intervention could be discussed, weighing the risks of such an intervention as opposed to medical management. Indeed, the previously performed pericardiotomy at the time of CABG could be responsible for the formation of pericardial symphysis preventing pericardial tamponade. At that point, the heart team should consider heart transplant.
APPROACH OF THE MODERATOR
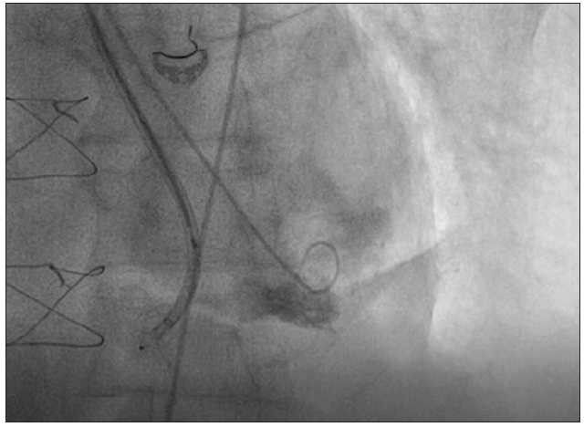
We performed transcatheter closure of the LV pseudoaneurysm with a 16-mm Amplatzer VSD occluder and transcatheter mitral valve repair with a MitraClip (Figure 1). The choice of this particular device and size were based on the CTA sizing. We inserted the deflectable 8.5-F Agilis sheath (Abbott) through the left brachial artery into the left ventricle (the length of the Agilis was too short for the femoral approach in this patient). We then inserted the 5-F pigtail catheter into the Agilis. The sheath was deflected to navigate toward the defect in left anterior oblique cranial projection. After we confirmed the tip of the pigtail was in the pseudoaneurysm, we proceeded with the closure. The deflectable sheath greatly improved the navigation. Because the severe mitral insufficiency persisted, we decided to perform the MitraClip procedure as a second stage. The procedure successfully reduced the regurgitation from severe to mild (Figure 2).
The patient was weaned from inotropes and IABP on postoperative day 2 and could ambulate on day 3. He was discharged to the cardiac rehabilitation unit on day 7 for 3 weeks. Most recently, at 1-year follow-up, the patient was New York Heart Association class II, with a 30% to 35% LVEF and mild MR. Placement of an implantable cardioverter defibrillator was considered, but the patient ultimately declined.
Acknowledgment: The moderator would like to thank the team involved in the presented patient’s care: Grzegorz Smolka, MD; Tomasz Roleder, MD; Zbigniew Gasior, MD; Ewa Kucewicz-Czech, MD; Tomasz Darocha, MD; and Maciej Haberka, MD.
Advertisement
Advertisement

