Advertisement
Advertisement
September/October 2019
Severe Symptomatic Functional TR After Previous Left-Sided Valve Replacement
Moderator: Edwin C. Ho, MD, FRCPC
Panelists: Neil P. Fam, MD, MSc, FRCPC; Rebecca T. Hahn, MD, FACC, FESC; and Maurizio Taramasso, MD, PhD
CASE PRESENTATION
An 81-year-old man with known severe tricuspid regurgitation (TR) who had progressive dyspnea over the last 2 years was now New York Heart Association (NYHA) class III, with reduced efficacy of diuretics in the previous 6 months. His dyspnea was accompanied by significant exertional fatigue and persistent peripheral edema. There was no known liver disease, and there have been no hospitalizations for heart failure.
His cardiac history was remarkable for two previous cardiac surgeries, including a mechanical aortic and mechanical mitral valve replacement 27 years ago and a repeat mechanical aortic valve replacement with aortic root enlargement 22 years ago. He also had permanent atrial fibrillation and severe biatrial enlargement.
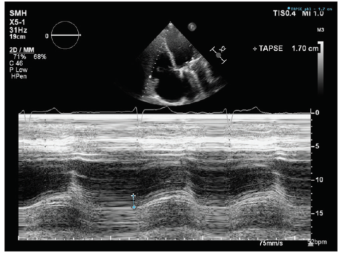
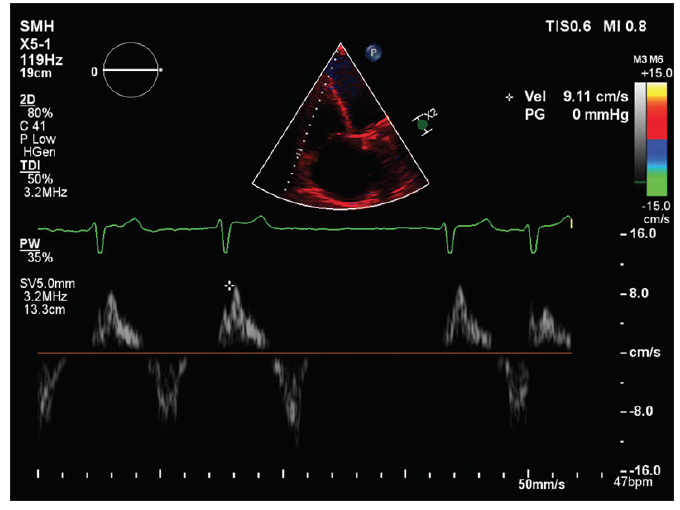
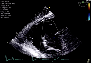
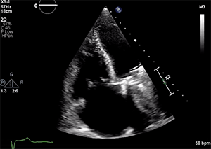
The patient’s left ventricular (LV) systolic function was mildly reduced (LV ejection fraction, 40%–45%), and he had a dilated right ventricle with mild systolic dysfunction based on standard normal ranges (Figure 1 and Figure 2). His right ventricular (RV) systolic pressure was estimated to be 56 mm Hg, as assessed by echocardiography. The results of right heart catheterization showed a pulmonary capillary wedge pressure of 19 mm Hg (V wave to 28 mm Hg), pulmonary artery pressure of 50/14 mm Hg (mean, 29 mm Hg), RV pressure of 50/14 mm Hg, and right atrial pressure of 15 mm Hg (V wave to 20 mm Hg).
Additional medical history included resected colon cancer that was in remission, as well as cataracts. His current medical therapy included furosemide (40 mg twice daily), eplerenone (50 mg daily), atenolol (25 mg daily), digoxin (0.125 mg daily), and warfarin.
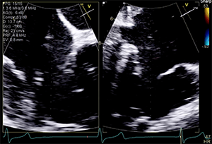
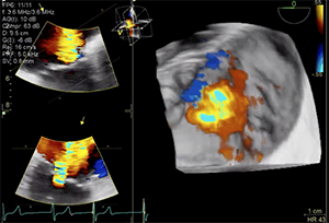
Transthoracic and transesophageal echocardiography (TEE) confirmed severe functional TR due to annular dilation associated with RV and right atrial enlargement. Mild leaflet tethering, predominantly septal, was also appreciated. The coaptation gap was < 10 mm and the jet origin was predominantly central with extension toward the anteroseptal commissure. Image quality in both transesophageal midesophageal and transgastric windows were good (Videos 1–5).
What clinical criteria do you use in evaluating patients with severe TR to indicate whether they may be a candidate for valve intervention?
Dr. Taramasso: Both clinical and anatomic criteria should be considered. In this case, the patient has severe symptomatic TR despite medical therapy, and he is at high surgical risk. Therefore, in my opinion, he would benefit from an intervention. The next step would be to assess the anatomy to determine which approaches are technically feasible and have the highest chances of success.
Dr. Fam: The patient should be symptomatic (NYHA class II–IV) despite guideline-directed medical therapy, ideally including loop diuretics and aldosterone antagonists, with adequate treatment of any other coexisiting cardiac conditions (eg, coronary artery disease, atrial fibrillation, other valve disease). Also, the patient should not have end-stage right heart failure with severe RV dysfunction, cardiac cirrhosis, or be on dialysis.
Dr. Hahn: All patients should be evaluated for comorbidities that could explain the symptoms and may also drive outcomes, adequacy of medical therapy (although these are limited for TR), and valve and ventricular morphology, which may make them candidates for surgical or transcatheter devices.
In this patient’s case, the high left atrial pressure with a V wave suggests there may be prosthetic mitral valve dysfunction. A 27-year-old mechanical valve may have structural or nonstructural deterioration (paravalvular regurgitation or pannus) contributing to the documented pulmonary hypertension. Both the previous left heart surgery and pulmonary hypertension not only impact surgical risk but also long-term natural history outcomes. Such patients are thus likely candidates for transcatheter interventions.
Surprisingly, there are no class I drugs for TR. Diuretics are class IIa and medical therapies to reduce elevated pulmonary artery pressures and/or pulmonary vascular resistance are class IIb. The reduced efficacy of diuretics is a classic sign of severe TR because a reduction in renal perfusion results from a low pulse pressure. When patients stop responding to diuretics, they typically need a tricuspid valve intervention.
Secondary TR (STR) can be categorized by either the etiology of underlying disease or by the morphologic abnormality of the tricuspid apparatus; some morphologies are clearly associated with specific underlying diseases. If classified by underlying disease, STR can be divided into the following four types: (1) STR because of the left-sided heart disease (valve disease or LV dysfunction), (2) STR due to any cause of pulmonary arterial hypertension (chronic lung disease, pulmonary thromboembolism, left-to-right shunt disease, or Doppler-estimated systolic pulmonary artery pressure of > 50 mm Hg without an identifiable clinical cause), (3) STR from any cause of RV dysfunction (myocardial disease or RV ischemia/infarction), and (4) STR with no detectable cause of TR (idiopathic STR). Studies have shown that the poorest outcomes are associated with patients with previous left-sided valve disease, LV dysfunction, and pulmonary hypertension. These are the typical patients presenting for transcatheter therapies.
If an intervention is indicated, what factors do you use to decide on an open surgical versus a transcatheter approach?
Dr. Fam: If the patient has multivalve disease, especially of primary etiology (eg, degenerative mitral regurgitation plus TR), I would favor surgery in younger patients, assuming the risk is not prohibitive. For isolated TR, given the high risk associated with surgery, I would favor a transcatheter approach in most cases, except in special circumstances such as Ebstein anomaly, rheumatic disease, or certain types of lead-induced TR.
Dr. Hahn: Isolated open surgical repair is associated with an in-hospital mortality rate of 8% to 9%, which in some studies is driven by comorbidities such as renal dysfunction, liver failure, low albumin level, and anemia, as well as previous left heart surgery. Thus, patients presenting with these comorbidities are at very high surgical risk and likely should be considered for transcatheter options.
Dr. Taramasso: Isolated tricuspid surgery in the context of a patient who has undergone a previous surgery is a high-risk procedure per se. Several factors have to be considered, including age, overall condition of the patient, copathologies, LV and RV function, and pulmonary pressure. Considering the age, previous cardiac operation, severity of the pulmonary hypertension, and depressed LV function in this specific case, I would definitely consider a transcatheter approach as the first option.
If transcatheter intervention is chosen, what anatomic criteria do you use to select a specific device or device category?
Dr. Hahn: The main morphologic abnormalities associated with STR include (1) tethering or tenting of the tricuspid leaflets due to papillary muscle displacement in the setting of RV or LV remodeling, and (2) pure dilatation of the annulus and/or right atrium. Tethering of the leaflets is associated with pulmonary hypertension, primary RV dilatation and dysfunction, and left-sided heart disease. Isolated annular dilatation with less prominent tethering occurs with atrial fibrillation and heart failure with preserved ejection fraction.
Various surgical techniques and transcatheter devices have been designed to treat annular dilatation (ie, surgical repair, transcatheter devices such as Cardioband [Edwards Lifesciences], TriCinch coil system [4Tech Cardio Ltd.], Trialign [Edwards Lifesciences, formerly Mitralign, Inc.]), leaflet malcoaptation (eg, surgical leaflet augmentation, transcatheter edge-to-edge repair, edge-to-leaflet repair or spacer devices), or both (ie, orthotopic and heterotopic valve replacements).
Patients with annular dilatation as the primary morphologic abnormality would be ideal candidates for annular repair. Patients with marked leaflet tethering would likely have recurrent TR after annular repair, and thus a leaflet device may be more appropriate. Alternatively, patients with very severe leaflet tethering may require orthotopic valve replacement (surgical or transcatheter), which typically eliminates all regurgitation and increases RV afterload. Therefore, candidates for this therapy should have no more than moderate RV dysfunction.
Dr. Taramasso: TEE and CT scanning play an important role in selecting the approach. There are no defined criteria to select the best device. If the main mechanism is an annular dilatation, an annuloplasty device could be the most appropriate approach, considering that annuloplasty does not preclude any further intervention. If there is excessive leaflet tethering, a leaflet device, coaptation device, or even a replacement device could work better. Operator and institutional experience also play a determinant role.
Dr. Fam: It largely depends on the tricuspid anatomy and stage of the disease. For annular dilatation without significant leaflet tethering, it makes sense to consider annuloplasty devices such as Cardioband or Iris (Boston Scientific Corporation). For mild-to-moderate tethering with coaptation depth < 1 cm and coaptation gap < 1 cm, leaflet-based repair with devices such as MitraClip (Abbott) or Pascal (Edwards Lifesciences) are usually chosen. For advanced tethering and coaptation gaps > 1 cm, transcatheter tricuspid replacement can be considered. In the future, combinations of annuloplasty and leaflet repair may also be an option.
How does the presence of an intracardiac device lead, such as a pacemaker or implantable cardioverter-defibrillator lead, affect your decision-making for transcatheter intervention?
Dr. Fam: Although the presence of a lead is not a contraindication to intervention, the mechanism of TR must be completely understood before intervening. Lead-associated TR may be successfully treated by leaflet-based repair, as long as the lead is not the primary cause of TR. In cases in which the lead is adherent to the leaflets or subvalvular apparatus with associated TR, lead extraction may be considered, followed by transcatheter repair. Alternatively, transcatheter replacement can be performed, leaving the lead in place.
Dr. Taramasso: It depends on the mechanism. If a pacemaker lead is impinging on one of the leaflets, relocation of the lead or transcatheter replacement could be required. If there is no interaction with the valves, a pacemaker lead does not preclude the implantation of most devices.
Dr. Hahn: There are two approaches to patients with severe TR and pacemakers. First, an imaging evaluation should be performed to determine if the lead is impinging on the valve or subvalvular apparatus. If it is, then one should consider removal of the pacemaker. This may improve TR in approximately 50% of cases. If the lead is not the cause of the TR, then numerous devices could be placed, including edge-to-edge devices and orthotopic valves.
What additional imaging or other investigations would you request next for the patient in this case?
Dr. Taramasso: I would order a CT scan.
Dr. Hahn: TEE should be performed first to determine the function of the aortic and mitral valve replacement, as well as TR severity and tricuspid valve morphology. CT scans are rarely indicated if an edge-to-edge device is being considered.
Dr. Fam: A comprehensive TEE assessment is mandatory prior to most tricuspid interventions. Coronary angiography should be performed in addition to right heart catheterization. Increasingly, cardiac CT is also used for procedural planning, particularly for annuloplasty and replacement devices.
What do you think is the best way to evaluate RV systolic function in patients with severe symptomatic TR? How does this information inform your decision-making with respect to intervention?
Dr. Hahn: Multiple modalities can be used to assess RV size and function (CT, cardiovascular magnetic resonance, echocardiography), with recent studies suggesting that RV strain (either by echocardiography or cardiovascular magnetic resonance) can possibly predict outcomes. In truth, we don’t know the best way to assess RV plasticity and its ability to recover. Evaluation of RV–pulmonary artery coupling may also play a role. On echocardiography, tricuspid annular plane systolic excursion, fractional area change, and tissue Doppler S´ are the easiest to measure; however, free wall strain (or global longitudinal strain including the septum) may be superior to these methods.
Dr. Fam: This is best done by a multimodality approach. Cardiac magnetic resonance is the gold standard and provides accurate measures of RV ejection fraction, but it is not always readily available. Echocardiography is the mainstay, with indices such as dP/dt and RV strain emerging as important measures of RV function. Right heart catheterization provides complementary hemodynamic data and pulmonary vascular resistance. Patients with severe RV dysfunction and/or increased pulmonary vascular resistance may not benefit from intervention, particularly tricuspid replacement, where the risk of afterload mismatch and worsening RV failure may be significant.
Dr. Taramasso: TEE with assessment of RV strain is probably the most reliable way, with MRI used in selected cases. However, the visual impression from the TEE images still plays an important role, especially when the numbers indicate an apparently normal RV function. In the presence of RV dysfunction, any intervention may be futile or even dangerous due to the acute postprocedural risk of afterload mismatch. Severe RV dysfunction normally represents a contraindication to intervention.
Assuming your further investigations indicate that the patient is an appropriate candidate, what device would you ideally use to treat this patient? If that was not available, what would be your second choice?
Dr. Taramasso: The quality of TEE is really high, and the short axis of the tricuspid valve shows an anteroseptal location of the jet with an acceptable coaptation gap, which is ideal anatomy for edge-to-edge repair. Both MitraClip and Pascal have independent grasping that could be helpful to catch the septal leaflet, which is tethered. Because the annulus is dilated, annuloplasty could be also a good choice.
Dr. Fam: I would use Pascal or MitraClip XTR (Abbott) to treat this patient, given the mild tethering and small coaptation gap.
Dr. Hahn: The current images suggest a relatively small coaptation gap, although the severity of TR is likely “massive.” In the setting of normal RV function, a number of devices could be used, including an annular device (Cardioband) or leaflet device (TriClip [Abbott] or Pascal). These patients could also be treated with an orthotopic replacement device, but less is known about these devices.
Are there any specific challenges regarding intervention that you would anticipate in this particular case?
Dr. Taramasso: No.
Dr. Hahn: The imaging for all transcatheter devices drives procedural success and these case images are very good. However, once the delivery catheters enter the right atrium, acoustic shadowing (the severity of which cannot be easily determined preprocedurally) is often present, and interventional imaging specialists must be flexible in their imaging protocol and be able to quickly adjust to imaging challenges.
Dr. Fam: Given the presence of both mechanical mitral and aortic valve replacements, shadowing of the tricuspid valve might be an issue during the procedure, which might make TEE visualization of leaflet grasping challenging. This usually can be overcome by experienced echocardiographers with adjunctive use of TTE and intracardiac echocardiography as needed.
APPROACH OF THE MODERATOR
This case was carefully reviewed by a multidisciplinary heart team, and transcatheter tricuspid valve repair was recommended to manage the patient’s symptoms. Similar to Dr. Hahn’s response, we were also concerned about significant prosthetic mitral dysfunction, but imaging evaluation revealed normal leaflet appearance and motion with transvalvular gradients within normal limits and only trace paravalvular regurgitation in addition to the expected intravalvular washing jets. The prosthetic aortic valve was also functioning normally.
An edge-to-edge device was selected due to the acceptable coaptation gap and expected good-quality procedural imaging for guidance. A single Pascal device was deployed between the anterior and septal leaflets to successfully repair this patient’s tricuspid valve. Postprocedure TR was mild to moderate, from a baseline of severe (or likely “massive” if using an expanded grading scheme). Independent leaflet grasping was utilized due to the mild relative tethering of the septal leaflet, which allowed optimization of leaflet insertion to ensure maximal effect and stability of the single device. There were no procedure-related complications.
At 1-month follow-up, there was a sustained reduction in TR, and the patient reported an improvement in dyspnea and fatigue. His 6-minute walk test distance increased by 50 meters. There was also an improvement in his edema, with associated weight reduction while remaining on stable medical therapy.
Advertisement
Advertisement

