Advertisement
Advertisement
September/October 2019
Complex Aortic Transit During CTO PCI
Moderator: Sanjog Kalra, MD, MSc
Panelists: Sean Janzer, MD, FACC, FSCAI; Rajiv Tayal, MD, MPH, FSCAI; and Grace J. Wang, MD, FACS
CASE PRESENTATION
A 74-year-old man with low-threshold back and leg discomfort and a history of extensive coronary artery disease, hypertension, and peripheral artery disease presented to the hospital with recurrent episodes of chest pain and exertional shortness of breath. He underwent single-vessel coronary artery bypass grafting with a left internal mammary artery (LIMA) graft to the mid-left anterior descending (LAD) artery in 2003. During the current hospitalization, he underwent perfusion stress imaging, which revealed a left ventricular ejection fraction of 35% at rest and large reversible perfusion abnormalities in the inferior, lateral, inferolateral, and distal apical territories. Subsequent coronary angiography demonstrated a critical proximal right coronary artery (RCA) stenosis with a chronic total occlusion (CTO) of the left main coronary artery (LMCA) and supply to the entire left coronary territory via retrograde flow from the LIMA graft that was limited by a moderate lesion in the proximal LAD artery.
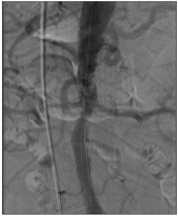
After an informed consent discussion with the patient, the decision was made to proceed with percutaneous revascularization of the RCA and LMCA lesions to achieve functional complete revascularization. Using a 6-F left radial approach, the RCA lesion was intervened on successfully with one drug-eluting stent deployed to the proximal vessel. Next, 7-F access was achieved in the right common femoral artery (CFA); however, difficulty was encountered with wire transit across the distal abdominal aorta. Aortoiliac angiography was performed, demonstrating severe stenosis at the level of the renal artery ostia (Figure 1). Carefully, a wire was manipulated across this lesion, and a long 7-F, 45-cm sheath was delivered.
The patient began to complain of his usual back and leg pain shortly after sheath delivery. Although angiography demonstrated no injury to the aorta or its branches from placement of the sheath, it did confirm near occlusion of the infrarenal aortic lumen by the sheath. After careful consideration, the procedure was continued with a 7-F extra backup 3.5 guiding catheter to intubate the left coronary ostium. Dual-injection angiography of the LMCA and LIMA grafts was performed to define the features of the LMCA CTO (Figure 2). A recanalization attempt was undertaken; however, shortly after delivery of a retrograde microcatheter into the proximal LAD artery via the LIMA graft, the patient became profoundly hypotensive with marked ST-segment depressions. Despite supportive measures, the procedure was terminated due to the patient’s hemodynamic instability (secondary to microcatheter obstruction across a proximal LAD artery lesion). A reattempt of percutaneous coronary intervention (PCI) to the LMCA occlusion was planned using hemodynamic support with an Impella CP device (Abiomed, Inc.).
In view of the dual-catheter approach required for recanalization of the LMCA CTO and the need for implantation of a 14-F Impella CP device, what is your access plan?
Dr. Wang: Given the access issues, I would advise that a vascular surgeon be involved with the planning of the case or given a heads-up. The stenosis in the aorta is very narrow; however, it could be gently serially dilated, beginning with a 3-mm balloon, before placing an 8-mm Atrium iCast stent (Getinge), which could be postdilated to a 10-mm stent, providing a channel for the 14-F Impella device. Bilateral radial or brachial access could be used for diagnostic and treatment purposes associated with the cardiac catheterization.
The case should be performed in a hybrid operating room, if possible, in the event of rupture or concern for rupture. The appropriate aortic stent grafts and renal stents should be prechosen to ensure that they are available in the event of unintended rupture.
Dr. Tayal: This is a great case that exemplifies a very complex clinical decision about how best to approach a vasculopathic patient presenting with advanced coronary and peripheral vascular disease. In this instance, the ischemic burden would likely suggest proceeding with complete percutaneous coronary revascularization followed by a staged endovascular intervention to the aorta. We have had great success using a percutaneous axillary approach in similar instances to allow for the large-bore access that is typically required for hemodynamic support devices, transcatheter valve therapies, or even complex endovascular peripheral interventions. We had a similar patient with Leriche syndrome in whom the infrarenal abdominal aorta was totally occluded, but we were still able to support the patient using an Impella CP device via the left axillary artery.
In this case, because the patient has a patent LIMA, I would image the right axillary artery either by CT or direct angiography and assess its adequacy in terms of size to accommodate the 14-F sheath needed for Impella support. We have performed a number of studies demonstrating that the average size of the axillary artery is 6 to 6.5 mm,1 and the incidence of obstructive disease is only 1% to 2% across the general population compared with 20% to 25% of patients with varying degrees of iliofemoral disease.1,2 Assuming the axillary artery looked good, I would recommend proceeding with coronary intervention by using the left radial artery to intubate the LIMA and the right radial artery to perform angiography and facilitate access and dry closure of the right axillary artery. I would then suggest placing an Impella CP device via the right axillary artery, followed by use of a single-access technique, which involves making a separate micropuncture stick on the hub of the Impella CP’s sheath. The sheath will be able to accommodate up to a 7-F Destination sheath (Terumo Interventional Systems) alongside the Impella catheter after it has been introduced into the ventricle, thereby allowing for hemodynamic support and 7-F guide catheter placement from a single arterial access point.
Dr. Janzer: This is what makes the case challenging. There are essentially five major choices: either bilateral CFA or axillary arteries or, finally, crossover from the inferior vena cava into the aorta. We will need a left upper extremity access to use the LIMA for mandatory retrograde CTO visualization and the expected requirement for retrograde wiring to control the distal LMCA CTO cap. In total, this would require three arterial accesses. For our team, using the CFA with two Perclose ProGlide devices (Abbott) is the most common approach used for the left ventricular support device. This is believed to be the simplest and possibly the safest technique. We reserve the axillary technique (either percutaneous or with a surgically placed graft) for patients who are determined to be poor candidates for CFA access due to severe peripheral artery disease. In our experience, severe CFA/iliac disease including calcified and tortuous anatomy is the typical reason to use the axillary approach. After a heart team discussion, including the cardiothoracic surgeon and vascular surgeon, we would have likely used the CFAs.
How would you manage the critical lesion in the distal abdominal aorta, across which a 7-F sheath is nearly occlusive?
Dr. Tayal: One could argue to either stage it until after coronary revascularization or treat it before the coronaries. My approach to the intervention would most likely be to obtain bilateral femoral access (in part to prevent distal atherosclerotic embolization), proceed with a small balloon inflation up front, and then consider using kissing lithotripsy balloon inflations followed by placing an endovascular stent graft. Again, depending on the patient’s clinical, hemodynamic, and symptomatic status, this may also be well tolerated prior to coronary revascularization and allow for the use of one or both femoral arteries for the procedure. However, I am typically reluctant to advance large-bore sheaths through “fresh” peripheral stents.
Dr. Janzer: Fortunately, we appear to have favorable timing (nonemergent) and adequate renal function to allow a CT scan to delineate aortic sizing and plaque morphology. I would plan to stent the distal aorta. However, I would do it after balloon angioplasty of the aorta to allow safe use of the large sheath required for Impella. This would eliminate the risk of stent embolization in the aorta. Although using a covered stent poses a real risk of compromising flow in the renal arteries, I believe the potential benefits of covered stents in this setting are significant, possibly including some protection against rupture and debris embolization.
From my perspective, there are several covered stent choices available for this patient. Of course, one option would be a sleeve of an abdominal aortic aneurysm endograft. This would require a similarly sized arterial sheath for placement but would present some challenges in balloon angioplasty that would not occur with a single balloon inflation with a balloon-expandable covered stent. Based on the caliber of the aorta, I believe we would have the option of using a balloon-expandable covered stent in this patient. The two covered stents that are available in our lab are the iCast and the Viabahn VBX (Gore & Associates) devices. The conformability and maintenance of stent length after deployment favor the Viabahn VBX as our preferred choice.
Dr. Wang: I would manage it as I previously mentioned. Early involvement of a vascular surgeon is essential because there is a potential to rupture the calcified lesion. Still, I believe serial gentle dilation followed by covered stent placement will allow for the Impella device to be placed transfemorally.
The bailout plan would be an endovascular stent graft and covered renal stents in the event of rupture after placement of the covered stent in the aorta. Conversion to open repair would only occur if there was frank extravasation and hemodynamic instability after endovascular stent grafting.
How would you manage aortic revascularization without encumbering the renal arteries?
Dr. Wang: Serial dilation and placement of an iCast stent would allow for precise placement of the stent, and the covered stent would protect against rupture. The stent would be placed inferior to the renal arteries.
If iCast placement obstructed the renal arteries, a cephalad approach from the arm would likely be more successful in rescuing the renal arteries. Marking the more caudad renal artery with a wire prior to iCast placement can ensure more accurate placement.
Dr. Janzer: I would plan to use the radial artery access, which is likely already accessed, to place a looped coronary workhorse wire in the most distal renal artery. This is often the left kidney. However, in this case, both renal arteries appear to be usable. Because of this patient’s minimal typical tortuosity of the distal aorta, both arteries could be utilized, and a covered stent could be placed nearly perfectly vertical in the aorta. The looped wire will reduce the risk of a renal hematoma with a wire. The wire will likely hug the renal artery caudally to clearly mark where the stent can be safely placed.
APPROACH of the moderator
A detailed informed consent discussion was held with the patient and a vascular surgeon, who shared input and assisted in planning the large device delivery across the abdominal aorta. A CT scan was obtained to confirm the aortic vasculature size, fully define the calcific stenosis below the renal arteries, and confirm the presence of an effective luminal aortic diameter < 6 mm. After consultation with our heart team, which included cardiothoracic and vascular surgeons, the decision was made to use left radial access and right common femoral access for this procedure. Preoperative right heart catheterization for hemodynamic assessment before the procedure was also performed.
We achieved 7-F access to the left radial artery and right CFA. A combination of a 7-F LIMA guiding catheter and a 6-F TrapLiner catheter (Teleflex) was used to intubate the LIMA graft from the left radial approach. From the right CFA, a Glidewire Advantage guidewire (Terumo Interventional Systems) was carefully manipulated across the aortic lesion, along which a 10- X 40-mm predilation balloon was advanced. This balloon was inflated at 4 atm for 30 seconds, successfully predilating the aortic lesion. Next, the guidewire was exchanged for a Supra Core wire (Abbott) through a diagnostic catheter, and the right common femoral arteriotomy was sequentially dilated to allow placement of the 14-F Impella CP sheath. Thereafter, the Impella CP catheter was deployed to the left ventricle, and the patient was placed on circulatory support. Next, using the Impella single-access technique (Figure 3A)—recently publicized across many educational forums—a separate micropuncture access was created in the hub of the Impella placement sheath, a 7-F Destination sheath was placed in the abdominal aorta, and a 7-F guide catheter was used to intubate the LMCA.
Figure 3. The Impella single-access technique (A). After placement of the 14-F Impella CP sheath, a micropuncture needle was used to puncture the hemostatic membrane near one of the four corners of its hub. The micropuncture sheath was then placed through the puncture point, through which a supportive wire was advanced into the aorta. The micropuncture sheath was then removed, and the puncture was sequentially dilated to allow placement of a 7-F Destination sheath. The final result of the CTO PCI of the LMCA (B).
Using a retrograde approach, the LMCA CTO was crossed using a hydrophilic wire. This was exchanged for an externalization wire, over which PCI from the LMCA into the LAD artery was performed. An excellent final result was achieved (Figure 3B), and the Impella catheter and 7-F Destination sheath were explanted. A supportive wire was left across the aortic lesion through the Impella sheath, along which a long 7-F sheath was reintroduced.
After PCI, the aortic lesion was definitively treated. From the radial approach, the LIMA guide was manipulated into the descending aorta and used to intubate the left renal artery. A balanced middle-weight wire was then advanced into the renal artery to mark it and provide an access rail in case of renal artery obstruction (Figure 4A). Next, from the femoral approach, peripheral intravascular ultrasound with angiographic coregistration was performed to define the precise proximal landing zone for an aortic stent. Finally, using the renal artery wire and angiographic coregistration images as markers, an 11-mm Viabahn VBX aortic stent was placed across the lesion (Figure 4B) and postdilated using a 12-mm balloon at low pressure to yield an excellent final result (Figure 4C).
Figure 4. Marking of renal arteries from the radial access with a workhorse wire and concurrent angiography from the femoral artery to illustrate aortic anatomy (A). Aortic stent deployment from the femoral approach with concomitant renal artery angiography from the radial approach, demonstrating renal artery patency after stent deployment (B). The final result in the infrarenal aorta (C).
After the procedure, hemostasis was achieved at both the radial and femoral access sites. The patient tolerated the procedure well, recovered uneventfully, and was discharged on postprocedure day 1. He remains asymptomatic at 6 months of follow-up.
1. Tayal R, Iftikhar H, LeSar B, et al. CT angiography analysis of axillary artery diameter versus common femoral artery diameter: implications for axillary approach for transcatheter aortic valve replacement in patients with hostile aortoiliac segment and advanced lung disease. Int J Vasc Med. 2016;3610705.
2. Arnett DM, Lee JC, Harms MA, et al. Caliber and fitness of the axillary artery as a conduit for large-bore cardiovascular procedures. Catheter Cardiovasc Interv. 2018;91:150-156.
Advertisement
Advertisement

