Advertisement
Advertisement
September/October 2019
Massive Thromboembolism, PFO, and Acute Limb Ischemia
Moderator: Mohamad Alkhouli, MD
Panelists: Yashu Dhamija, MD; Abdul Moiz Hafiz, MD; Ankur Kalra, MD, FACP, FACC, FSCAI; and Anmar Kanaa'N, MD
CASE PRESENTATION
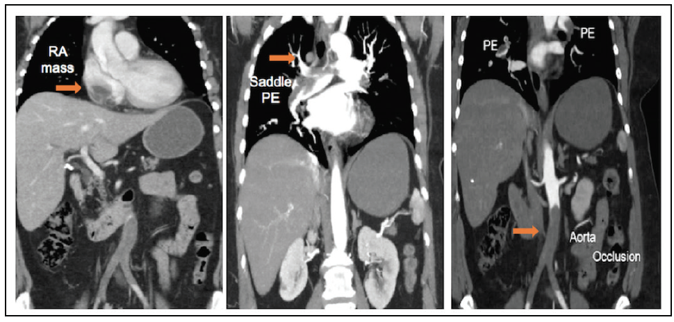
A 59-year-old woman presented with worsening dyspnea (1-week duration) and acute left lower extremity pain. Her medical history included diabetes mellitus, B-cell lymphoma (for which she was on current chemotherapy), and breast cancer (in remission after surgery and chest radiation). On presentation, the patient was tachypneic, mildly hypoxemic (oxygen saturation, 90% on 40% FiO2), and normotensive. Her left foot was cold, and the left femoral arterial pulse was absent. CT showed a saddle pulmonary embolism (PE), right atrial mass, and thrombotic occlusion of the distal aorta (Figure 1). She underwent emergent bilateral aortoiliac thrombectomy with a Fogarty catheter (Edwards Lifesciences), which resolved the leg ischemia. She was started on intravenous unfractionated heparin.
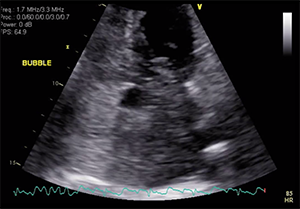
Transthoracic echocardiography (TTE) with bubble echocardiography revealed a large right-to-left shunt at rest, possibly via a patent foramen ovale (PFO). Transesophageal echocardiography (TEE) was deemed risky due to the patient’s borderline respiratory status and large PE. The results of brain CT were negative for stroke. Laboratory workup identified a new diagnosis of factor V Leiden deficiency. The patient’s primary oncologist predicted a high probability of curing her B-cell lymphoma with chemotherapy. The patient was considered very high risk for open embolectomy, right atrial clot removal, and PFO closure by a cardiothoracic surgeon; thus, the structural team was consulted for percutaneous closure of the PFO to prevent further paradoxical embolization.
Is the available information adequate to suggest paradoxical embolism?
Dr. Hafiz: Yes, I think it is. Factor V Leiden mutation predisposes the patient to deep vein thrombosis and PE. We are told that the patient has venous-side thrombi (right atrial thrombus plus saddle PE), and arterial thrombus is seen on CT in the distal aortic thrombus at bifurcation. It is classic interventional cardiology teaching that bifurcation thrombi might be thromboembolic, which is consistent with clinical practice observation, in my experience. The only connection here for simultaneous venous and arterial thrombosis is the large intracardiac shunt. Although unrelated simultaneous arterial and venous thrombi are theoretically possible, this is highly unlikely. Thus, the simpler explanation is the venous thrombus migrating to the aorta via the intracardiac shunt.
Drs. Dhamija, Kalra, Kanaa’N: The sequence of events in this patient highly suggests paradoxical embolism. Because the PE was likely the first thromboembolic event, it would lead to increased pulmonary artery pressure and, subsequently, right ventricular and right atrial pressures. This change in hemodynamics would facilitate paradoxical embolism. Given the diagnosis of factor V Leiden and ongoing malignancy, venous thromboembolism in the setting of a PFO remains the most likely diagnosis.
Does the defect type (PFO vs atrial septal defect [ASD]) make a difference in the decision for percutaneous closure?
Drs. Dhamija, Kalra, Kanaa’N: Definitely. Although PFO and ASD are abnormal tracts between the atria, a PFO results from a lack of fusion of the septum primum and secundum, and an ASD is due to an absence of a portion of the atrial septum. There are four subtypes of ASDs: ostium secundum, ostium primum, coronary sinus defects, and sinus venosus. Ostium secundum defects are the most common and most amenable to device closure. Indications for ASD closure are typically related to symptoms due to its hemodynamic effects and impact on the right ventricle. That being said, other indications include paradoxical embolism, platypnea-orthodeoxia syndrome, migraines, or pulmonary hypertension. If our patient had an ostium secundum ASD instead of a PFO, we would likely still pursue percutaneous closure given her paradoxical embolism.
Dr. Hafiz: Yes, it does. This should be clearly established in advance, if possible. Septum primum ASDs can be associated with other endocardial cushion defects, such as atrioventricular valve malformations/clefts, which are better repaired surgically. If an ASD is found, associated pulmonary venous return abnormalities may need to be evaluated, especially a sinus venous defect. When an ASD is suspected, it is vital to know whether sufficient margins (mm) are present. Not infrequently, use of a closure device may be deemed impossible just based on imaging. Finally, we should not forget that both PFOs and ASDs can coexist, which would have important implications for procedural planning.
What additional diagnostic testing would you pursue?
Drs. Dhamija, Kalra, Kanaa’N: In this patient with suspected PFO, there may be previous echocardiograms to compare with current imaging. It is important to remember that malignant lymphomas are common malignancies that metastasize to the heart. If there is remaining doubt whether this is a right atrial thrombus or a metastatic tumor, cardiac MRI can be of use. More specifically, an MRI perfusion study will show a lack of enhancement for a thrombus. It is highly unlikely that the right atrial mass here is a primary cardiac tumor. Concomitant arterial and venous emboli are quite rare and are typically seen in systemic conditions such as antiphospholipid syndrome. History regarding birthing and autoimmune conditions could lead one to pursue this condition.
Unfortunately, the inability to perform TEE in this patient is quite limiting. As we know, atrial septal aneurysms are commonly associated with PFO (> 50%) and can even contribute to atrial thrombus formation and right-to-left shunting by redirecting flow from the inferior vena cava to the PFO. Management of a concurrent atrial septal aneurysm, if present, would need to be addressed along with PFO closure.
That being said, retrospective, electrocardiographic-gated multidetector CT (MDCT) can be useful in this patient given her complex right atrial anatomy. It offers advantages of multiplanar and three-dimensional reconstructions that serve as an adjunct to TTE before device selection and PFO closure. However, because this patient has a saddle PE and there is a risk to using β-blockers for heart rate control, her heart rate may interfere with the ability to use MDCT.
Dr. Hafiz: Given that obtaining a TEE is prohibitive in this patient and a right atrial mass is present, it may be unsafe to suggest intracardiac echocardiography (ICE). Therefore, my next go-to imaging modality would be cardiac-gated CT with contrast. It is worth noting that the patient has undergone two CTs already, and her blood pressure is stable. If the patient is unstable and cardiac-gated CT/TEE/cardiac MRI cannot be performed due to tachypnea or tachycardia, then noninvasive imaging must be deferred until the patient is more stable—either after thrombolytics or endovascular interventions with Ekos (Boston Scientific Corporation), FlowTriever (Inari Medical), or AngioVac (AngioDynamics).
Finally, if the patient is approaching extremis, ICE might be the only option; although, if inserted when fresh right atrial thrombus is still present, I would be concerned about further embolism via the intracardiac shunt to the arterial circuit and contributing to the risk of stroke and peripheral embolism.
In my practice, radiologists perform these studies and I typically have a discussion with the cardiac radiologist up front about what we are looking for and if an alternative modality would be better. Specifically, I’m interested in defect size, location, associated defects, and if enough rims are present around the defect.
I would be curious about the presence of any other hypercoagulable states and perform a full laboratory panel review. We have also sought input from our hematology colleagues in such cases.
Would you proceed with PFO closure? If so, what imaging modality would you select (TEE vs ICE)?
Dr. Hafiz: I would recommend treating the thrombi followed by lifelong anticoagulation. I am hesitant to recommend an off-label percutaneous device-based PFO closure for this patient as it would not necessarily eliminate the need for systemic anticoagulation, plus it could possibly become a nidus for future thrombotic emboli based on our own anecdotal experience. I am curious to other panelists’ views and can envision a situation in which closure might be entertained with lifelong systemic anticoagulation if this turns out to be an ASD rather than a PFO without any other coexistent congenital defects.
Drs. Dhamija, Kalra, Kanaa’N: Because the patient is at high risk for intervention, the question is whether the PFO needs urgent or delayed closure. Again, although cardiac MRI can be used to distinguish anatomic differences between a thrombus or a tumor, it can also be used to quantify atrial shunting (however, a flow sequence must be communicated with radiology because the septum is thin and easily missed). Quantifications such as defect size, atrial septal length, and superior and inferior margins are needed to inform the likelihood of successful interventional device closure. However, there is literature describing the use of TTE to guide PFO closure.
If PFO closure is deemed to be urgently necessary, we would pursue ICE. As the moderator noted, the patient is high risk for TEE. ICE would instead require femoral venous access and allow avoidance of the aortoiliac embolus. There is also no need for anesthesia, but costs are higher with single-use catheters for ICE.
Much of our literature suggesting PFO closure in patients revolves around the risk of recurrence in cases of cryptogenic stroke. As such, more recent publications suggest that younger patients (< 60 years) may benefit the most from PFO closure.1 However, this patient does not have any signs or evidence of cerebrovascular stroke. Her acute limb-threatening ischemia due to a paradoxical embolic event would lead us to would proceed with PFO closure. Given the opinion of oncology that her lymphoma has a high likelihood of entering remission, she would have a long-term benefit from PFO closure.
If proceeding with PFO closure, what device would you select?
Drs. Dhamija, Kalra, Kanaa’N: In this case of a patient with thrombophilia and malignancy, we would elect to use a disc occluder device over an umbrella occluder device due to a lower frequency of thrombus formation on the device and lower rates of atrial fibrillation. The Amplatzer disc occluder device (Abbott) is the only option in the United States, and the Amplatzer PFO and Amplatzer septal occluder offer an advantage of sealing not only the PFO but also an atrial septal aneurysm if present, which is unknown in this patient. The Premere PFO closure device (Abbott) shows great promise in outcomes, but it is unavailable in the United States and does not address our concern of a possible coexisting atrial septal aneurysm.
Dr. Hafiz: If this truly is a PFO and the decision was made to close it, there are two devices approved for PFO closure in the United States. The use of either one would be off-label for this patient but can be considered depending on defect size. We have routinely used the Cardioform septal occluder device (Gore & Associates) and have found it to be very easy to deploy using TEE or ICE with Doppler depending on how complicated the septum or PFO tunnel is and how large the atria are. This particular device can be used for defects up to 17 mm (per the device instructions for use). Therefore, knowing the defect characteristics with additional imaging are essential before device implantation can be considered.
Would you perform mechanical thrombectomy of the PE or the right atrial clot? If so, what system would you select and at what timing? Would you consider closure of the PFO first to stabilize active embolization?
Dr. Hafiz: Based on the information we are given, the patient is unstable with tachypnea and borderline hypoxia. I am hesitant to recommend intracardiac shunt closure based on the need for lifelong anticoagulation. I can see a situation where a defect closure argument can be compelling to seal off the shunt and then go after the clots, but the very act of deploying a PFO/ASD closure device might itself cause, worsen, or contribute to further embolism. This is very hard to predict and would rest entirely on anatomic details of the situation.
The patient is normotensive albeit tachypneic with a PaO2 of 90% and FiO2 of 40%. I would strongly consider some catheter-based options for relieving this patient’s symptoms given the right atrial mass presumed to be an acute thrombus, a saddle embolus, and a recent paradoxical embolism. The feared complication would be a repeat embolism from the right atrial mass into either the pulmonary artery or the systemic arterial circuit. There are two problems to be addressed in this patient: PE and right atrial thrombus.
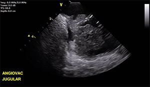
There are three catheter-based thrombus removal devices: the Ekos acoustic pulse thrombolysis system, FlowTriever thrombectomy system, and AngioVac. I have had good results with the Ekos acoustic pulse thrombolysis system for PE. A long infusion lysis catheter (≥ 18 cm) can be left in situ to elute tissue plasminogen activator all the way from the pulmonary artery across the right ventricular outflow tract and right atrium, although this might not be a very effective strategy for right atrial thrombus. The FlowTriever thrombectomy system is a relatively simple device indicated for mechanical pulmonary embolectomy. However, I am not sure how safe it would be to use in the right atrium, given that it is recommended to prevent the catheter end from touching the vessel wall and the right atrium is a very thin structure. The catheter is delivered over the wire but is not steerable. AngioVac is indicated for percutaneous right atrial thrombectomy. One possible approach would be to use the inflow circuit via the internal jugular approach, while the return circuit would be into the femoral vein. The device is also steerable.
In this patient, I would suggest treating the PE first with either a short protocol Ekos or attempt thrombectomy with the FlowTriever. Once the patient is stabilized by reducing the PE burden, right atrial thrombectomy can be performed with the AngioVac device. The compelling reasons for removal of the right atrial clot in this patient is a large paradoxical embolism to the distal aorta via the large intracardiac shunt, and unless this thrombus is removed, the risk for a repeat event still exists.
Drs. Dhamija, Kalra, Kanaa’N: We would elect to immediately use Ekos (catheter-directed thrombolytic therapy) for dissolution of the PE. AngioVac (a suction filtration device) could then be used for aspiration of the right atrial mass as a staged procedure after PFO closure.
Approach of the Moderator
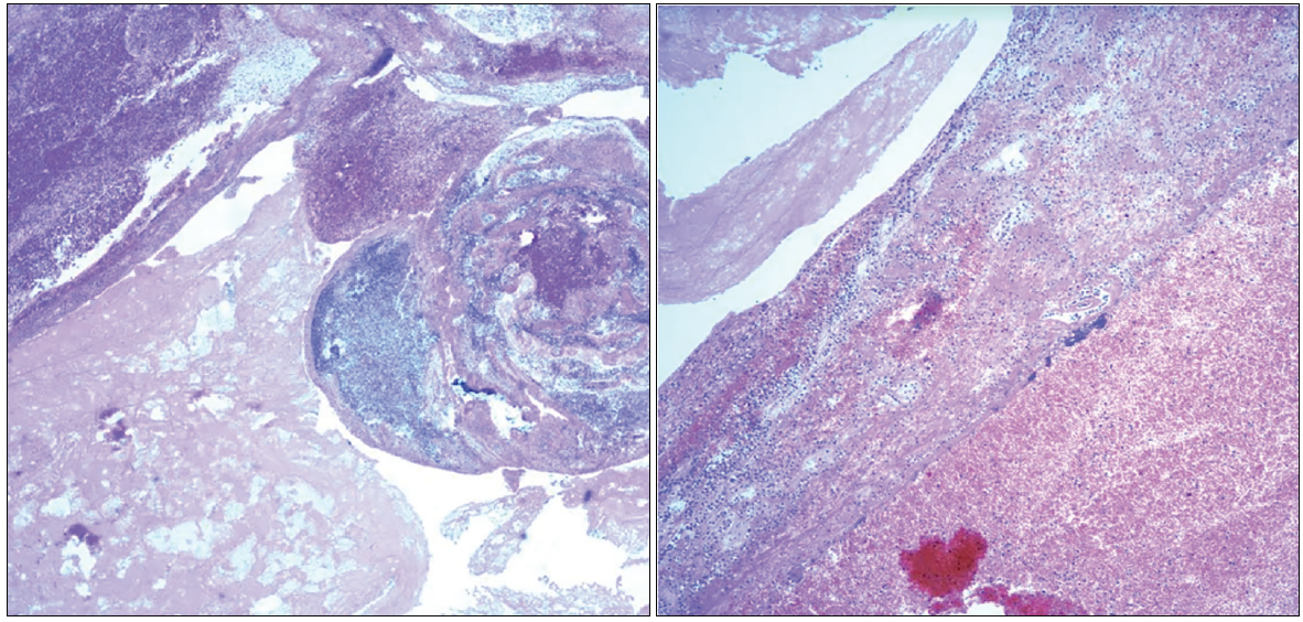
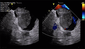
Given the active paradoxical embolization, the decision was made to perform PFO closure initially. This was successfully achieved with a 30-mm Cardioform device guided by intracardiac echocardiography without complications. The patient underwent a staged extraction of the right atrial mass with an AngioVac cannula 72 hours later. Pathologic examination of the extracted mass revealed predominantly thrombus without evidence of tumor (Figure 2). I agree with the panelists that a more aggressive approach to the PE could have been taken. However, concerns were raised about the use of tissue plasminogen activator (albeit locally) given the fresh femoral cutdown sites that were used to perform the aortoiliac thrombectomy.
The patient’s oxygen requirements improved quickly, and she was saturating 99% at rest and 94% while mobile on 2 L of oxygen. She was discharged home 5 days later on warfarin and was weaned completely off oxygen within 6 weeks. At 1.5 years of follow-up, she remained symptom free and had no recurrence of thromboembolic events.
1. Mir H, Siemieniuk RAC, Ge L, et al. Patent foramen ovale closure, antiplatelet therapy or anticoagulation in patients with patent foramen ovale and cryptogenic stroke: a systematic review and network meta-analysis incorporating complementary external evidence. BMJ Open. 2018;8:e023761.
Advertisement
Advertisement

