ENTERING THE PERIPHERAL SPACE

In 2014, Penumbra broke into the peripheral thrombectomy space with the release of the first Indigo System catheters, the 5-F CAT5 catheter and the 3-F CAT3 catheter (Penumbra, Inc.). These were quickly followed by the release of the 8-F CAT8 and 6-F CAT6 in 2015. These first-generation catheters were groundbreaking, as they offered continuous aspiration, differentiating them from manual syringe-based devices and lytic-based approaches. These catheters were the first step in the mechanical thrombectomy journey that Penumbra continues to this day.

COMPUTER-AIDED MECHANICAL THROMBECTOMY WITH LIGHTNING®

In 2020, Penumbra became the first company to offer computer-aided technology with Lightning® 12. Lightning 12’s clot detection capabilities are made possible by Penumbra’s patented clot detection algorithm, which enables the Lightning system to aspirate under nearly pure vacuum when the catheter is actively interacting with thrombus. Alternatively, when the catheter is in patent flow, the system flips into intermittent aspiration, helping to mitigate blood loss during the procedure.

The Lightning 12 and 7 catheters were completely redesigned from the previous generation. Composed of a stainless-steel, laser-cut hypotube, the Lightning 12 and 7 catheters offer 1:1 torqueability and an atraumatic design. The combination of improved catheter technology and the introduction of computer-aided clot detection set the first generation of Lightning apart from anything ever seen before in the mechanical thrombectomy space.

LIGHTNING FLASH™—FEEL THE POWER

Now in 2023, the next generation of Lightning is here. Lightning Flash™ (Penumbra, Inc.), launched in January 2023, is advancing the field of mechanical thrombectomy forward once again (Figure 1). Lightning Flash features dual clot detection algorithms, improving upon the singular algorithm featured in Lightning 12 and 7. One algorithm detects clot based on pressure differentiation, while the other algorithm detects the interaction of flow through the system. The communication between these two algorithms results in rapid recognition of whether the catheter is actively engaging clot or is in patent flow, which is designed to maximize case efficiency.

Figure 1. Lightning Flash.

The Lightning Flash catheter is 16-F sheath compatible. The catheter features MaxID technology, which allows for a large inner diameter comparable to large-bore catheters while still maintaining a lower profile. The Lightning Flash catheter was engineered to optimize its lower profile size to make it extremely trackable and atraumatic but also very powerful, giving the capability to navigate through tortuous anatomy and remove heavy thrombus burden. Despite the increase in size, the Lightning Flash catheter is two times softer than Lightning 12. This catheter is available in HTORQ and XTORQ tip shapes, designed for optimal engagement of wall-adherent thrombus regardless of the size of the vessel. Lightning Flash comes packaged with a 6-F Select Access Catheter. The Select Catheter is designed for excellent tracking and navigation, allowing for further deliverability and vessel selection.

Penumbra’s Lightning devices are the only computer-aided mechanical thrombectomy devices on the United States market. The combination of dual clot detection algorithms and MaxID technology enable Lightning Flash to be minimally invasive and maximally effective, thus resulting in the most powerful and advanced thrombectomy device for pulmonary embolism (PE) and venous thrombus. This allows for the potential to remove a higher volume of thrombus in less device time.


Lightning Flash: Powerful, Frontline PE Treatment

Patrick Muck, MD, RVT, FACS
Vascular Surgery, Good Samaritan Hospital
Program Director, Vascular Fellowship & Integrated Residency
Cincinnati, Ohio
Disclosures: Consultant for Penumbra, Inc.

PATIENT PRESENTATION

A female in her early 70s presented to the hospital with shortness of breath and chest pain. A CT scan exhibited large thrombus burden in the right main pulmonary artery (PA). Due to the patient’s symptoms, the decision was made to bring the patient to the hybrid operating room for intervention.

PROCEDURAL DETAILS

Access was gained in the right femoral vein, and a 16-F, 65-cm Gore DrySeal sheath (Gore & Associates) was introduced into the vasculature and placed in the right main PA. A Lightning Flash HTORQ was then advanced into the right main PA. To place Lightning Flash into the correct anatomy, the catheter was deftly tracked over a 6-F Select Catheter (Penumbra, Inc.) with a Berenstein tip shape and a 0.035-inch Amplatz guidewire (Boston Scientific Corporation).

With the catheter in place, aspiration was initiated. In 2.5 minutes of device time, the thrombus burden was extracted from the right main PA (Figure 1), and pulmonary angiography displayed considerable improvement from the beginning of the case (Figure 2). The patient felt immediate relief with improved vital signs on the table postprocedure and was discharged the following day.

Figure 1. Clot extracted from the PA.

Figure 2. Prethrombectomy angiogram (A). Postthrombectomy angiogram (B).

CONCLUSION

The Lightning Flash Thrombectomy System delivered accelerated, frontline therapy to a patient who required immediate intervention. The trackability of the Lightning Flash Catheter’s 16-F, stainless-steel, laser-cut hypotube enabled quick access through the heart and into the right main PA, followed by aspiration powerful enough to extract a high volume of thrombus in the same time, if not faster than placing a lytic catheter.


Lower Extremity and IVC Thrombectomy With Lightning

Noor Ahmad, MD
Interventional Radiology, Columbia University
Irving Medical Center
New York, New York
Disclosures: None.

PATIENT PRESENTATION

A male in his early 70s with a history of prostate cancer presented with bilateral lower extremity swelling. CT and ultrasound revealed the patient had extensive right lower extremity clot extending into the inferior vena cava (IVC). The patient had a previously placed IVC filter and had contraindications for tissue plasminogen activator (tPA). Due to the extensity of the clot, the filter in place, and high bleeding risk, Penumbra’s mechanical thrombectomy devices were selected for therapy.

PROCEDURAL DETAILS

Preprocedural venograms confirmed extensive thrombus in the right iliac vein and IVC with evidence of IVC filter–related thrombosis (Figure 1A). Access was gained in the right popliteal vein with an 11-F Pinnacle sheath (Terumo Interventional Systems). Initially, a Lightning 12 was pulled and advanced into the iliac system. After four passes, a significant amount of clot was extracted from the iliac system, and flow was restored (Figure 2A). Focus was then shifted to removing the residual thrombus located in the IVC. At this point, Lightning Flash was selected to treat the IVC. In only two passes, Lightning Flash was able to aspirate both the in-filter and IVC clot with only 50-mL blood loss (Figure 1B). The clot removed was clearly organized in nature, which made thrombectomy with Lightning Flash more impressive (Figure 2B).

Figure 1. Preprocedural venogram showing thrombus present in the IVC and IVC filter (A). Final venogram showing thrombus removal (B).

Figure 2. Clot extracted after four passes with the Lightning 12 (A). Organized clot extracted after two passes with the Lightning Flash (B).

CONCLUSION

Postprocedure, the patient noticed a clear difference in swelling and was able to ambulate, which he was not able to do previously given the degree of swelling. Both Lightning Flash and Lightning 12 had excellent results with reestablished flow within the iliac system and the IVC. Penumbra’s Lightning products are intentionally designed to maximize aspiration lumen with minimized outer lumen. In this case, both products were able to successfully remove a significant amount of clot, varying in morphology, with minimal blood loss in a multifaceted case.


Fast and Effective PE Treatment With Lightning Flash

Adel Barkat, MD
Vascular Surgery, Oklahoma Heart Institute
Tulsa, Oklahoma
Disclosures: None.

PATIENT PRESENTATION

A morbidly obese male in his early 40s presented with severe shortness of breath and right-sided chest pain for 48 hours. He was hypoxic and experiencing tachycardia upon arrival. The echocardiogram showed a severely enlarged right ventricle with reduced function, and upon further evaluation, a right ventricular/left ventricular (RV/LV) diameter ratio of 1.4 was determined. CT and angiography confirmed heavy thrombus burden in the right PA (Figure 1A).

Figure 1. Preprocedural angiogram showing heavy thrombus burden in the right PA (A). Final angiogram confirmed the clot was removed (B).

PROCEDURAL DETAILS

Access was achieved in the right femoral vein with a 16-F, 65-cm DrySeal sheath. Considering the heavy clot burden present in the PA, Lightning Flash was chosen frontline. Lightning Flash was introduced over a wire and tracked into the right PA. Despite the 4-F increase in size from the Lightning 12, Lightning Flash maintains exceptional maneuverability and navigated fluidly to the destination. The wire was then pulled, and aspiration was turned on. In only 2 minutes of aspiration time, a large amount of thrombus had been extracted from the body (Figure 2). This was further confirmed by the final angiogram (Figure 1B).

Figure 2. Thrombus extracted after 2 minutes of aspiration.

CONCLUSION

Twenty-four hours postprocedure, the patient’s RV/LV ratio as well as the right atrial pressures returned to normal. Lightning Flash displayed a drastic increase in aspiration power and large clot burden removal capabilities when compared to previous technology. The new dual clot detection algorithms also optimize the interaction between the catheter and clot, which allowed for dynamic aspiration. In this emergent case, Lightning Flash was a fast and effective treatment option for the patient.


Unique Venous Presentation With Heavy Thrombus Burden

Sam Tyagi, MD
Vascular Surgery, UK Gill Heart & Vascular Institute
Lexington, Kentucky
Disclosures: None.

PATIENT PRESENTATION

A male in his early 30s presented to the emergency department with extensive swelling in his right leg. A CT scan showed that he had caval atresia and that his collateral caval flow had been obstructed by thrombus extending from the right popliteal vein into his iliac vein (Figure 1A and 1B). With the size of this patient’s veins and amount of clot present, it was determined that the patient would greatly benefit from the use of a larger catheter that could effectively extract a high volume of thrombus. Holding patient safety as the number one priority, it was also decided to keep the access site as small as possible.

Figure 1. Venograms before (A, B) and after (C, D) use of Lightning Flash.

PROCEDURAL DETAILS

Access was gained in the popliteal and a 16-F, 33-cm DrySeal sheath was placed. With the sheath in place, Lightning Flash was pulled and advanced into the popliteal vein. Once confident the tip of the catheter was at the face of the clot, aspiration was turned on. The catheter was then advanced further into the iliac vein.

As soon as aspiration was activated, a large amount of thrombus was pulled through the tubing and into the cannister. During the entirety of the first pass, Lightning Flash’s clot detection system indicated that the catheter was actively engaging thrombus. On the final pass, the system indicated that the catheter was no longer interacting with clot. Promptly, final angiograms were taken and showed that all thrombus had been removed (Figure 1C and 1D).

CONCLUSION

Lightning Flash successfully restored flow for the patient, and in doing so, aspirated an extensive amount of thrombus (Figure 2). The clot extracted ranged from acute to organized in appearance. Although the Lightning Flash catheter is larger than Penumbra’s previous catheters, the access site needed remains smaller than other large-bore catheters on the market, thereby reducing potential safety concerns or access site complications. The improvement in clot detection from the previous Lightning technology was also impressive. The new dual clot detection algorithms enabled quicker and more accurate recognition of whether the catheter was actively engaging thrombus or in patent flow.

Figure 2. Clot extracted after use of the Lightning Flash.


Lightning Flash for the Removal of Occlusive Iliofemoral Thrombus

Nancy Clark, MD
Vascular Surgery, University of Louisville Health
Louisville, Kentucky
Disclosures: None.

PATIENT PRESENTATION

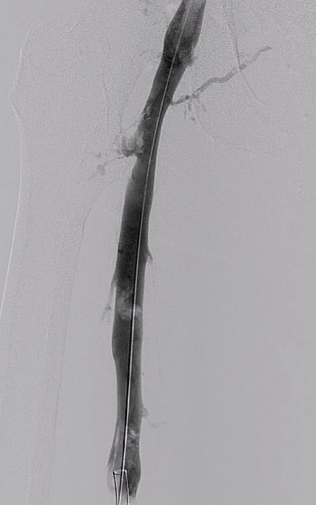
A male in his late 70s with a history of prostate cancer presented to the hospital with left lower extremity swelling. Ultrasound was utilized for initial evaluation, revealing occlusive thrombus extending from the popliteal vein up to the external iliac vein (Figure 1). Given the patient’s history of prostate cancer and the magnitude of thrombus present, therapy with the Lightning Flash mechanical thrombectomy system was chosen.

Figure 1. Preprocedural venogram.

PROCEDURAL DETAILS

The patient was placed on the table in the prone position. Access was then gained in the popliteal vein and a 16-F, 13-cm Flexor Check-Flo Introducer (Cook Medical) was placed. The Lightning Flash catheter was pulled and advanced through the sheath until the tip was at the face of the occlusion. Once at the face of the thrombus, the flow switch was flipped on to initiate aspiration power. On the first pass, macromovements were utilized to advance the tip of the catheter past the occlusive lesion. Ensuing this run, images were obtained. Venography confirmed that 60% of the clot burden was cleared from the initial pass. A few additional passes with the catheter were performed until complete thrombus resolution was achieved in the iliofemoral segment (Figure 2 and Figure 3), with a total aspiration time of 12 minutes.

Figure 2. Final venogram.

Figure 3. Clot extracted after use of the Lightning Flash.

CONCLUSION

Lightning Flash successfully reduced thrombus burden and did so in an efficient manner. This is especially noteworthy considering the occlusive state and the volume of thrombus present in this particular case. Additionally, the atraumatic design of the catheter and ease of use of the system resulted in a higher level of comfort for the patient.


Emergency PE Treatment With Lightning Flash

Varshana Gurusamy, MD
Interventional Radiology, Medical University of South Carolina
Charleston, South Carolina
Disclosures: None.

PATIENT PRESENTATION

A male in his mid-70s was referred to interventional radiology (IR) for thrombectomy from the endocrine surgery department. This referral was initiated immediately after an overnight CT scan revealed a bilateral PE. The patient presented to IR as hypotensive and tachycardic and was also on 15 L/min of supplemental oxygen.

PROCEDURAL DETAILS

After access was gained in the groin, pressures were taken in the main PA showing a preprocedural reading of 29/9 mm Hg (mean, 16 mm Hg). Lightning Flash was then introduced into the vasculature and navigated into the main PA. With the catheter at the face of thrombus, aspiration was initiated. The Lightning Flash catheter was then torqued to engage thrombus in both the right and left PA to remove the bilateral clot burden (Figure 1). Once the thrombus was sufficiently addressed, angiograms were obtained and pressures were taken for further confirmation (Figures 2A and 2B), showing great improvement at 21/4 mm Hg (mean, 10 mm Hg).

Figure 1. Clot burden removed.

Figure 2. Preprocedural angiogram of the main PA (A) and postthrombectomy angiogram of the right PA (B).

CONCLUSION

After the procedure, the patient was taken to the intensive care unit where his oxygen requirement immediately improved. By the next morning, the patient was taken off nasal cannula and stated that they had no difficulty breathing room air. The patient was discharged from the intensive care unit the following day. MUSC’s PERT (PE response team) was able to work as a cohesive unit to provide treatment for a patient with an emergent condition during an overnight shift. Lightning Flash allowed this team the ability to provide immediate treatment for rapid thrombus removal in a situation that demanded it.

Disclaimer: The opinions and clinical experiences presented herein are for informational purposes only. The results may not be predictive of all patients. Individual results may vary depending on a variety of patient-specific attributes.