Fortunately, over the last decade, coronary equipment and techniques for performing percutaneous coronary intervention (PCI) for chronic total occlusion (CTO) have significantly improved. The most common reason CTO PCI is performed is to improve quality of life or reduce symptoms (eg, angina and dyspnea). Attempt rates for CTO PCI remain low despite a prevalence (> 18%) in patients with coronary artery disease.1,2 The application of CTO PCI is in part limited by the technical abilities of the operator as well as increased complication rates relative to non-CTO PCI. Antegrade dissection reentry and retrograde techniques have allowed operators to increase their success rates.

A major reason for avoiding, not performing, or not referring patients for CTO PCI is because of concern for the associated procedural risks. A patient’s risk increases during CTO PCI, especially when the operator must use collaterals, such as epicardial collaterals, or if other options are either not present or have failed. Therefore, STAR (subintimal tracking and reentry) was brought back into the mainstream as a possible option to solve a CTO. STAR can increase procedural safety and improve CTO PCI success rates.

WHEN TO PERFORM STAR

STAR is a technique that is valuable to avoid high-end epicardial crossing, as a bail-out, or as an investment procedure. Outside of CTO PCI, STAR has been an invaluable technique to employ when an artery has been inadvertently dissected to successfully reenter into the distal true vessel. Alternatively, Stingray (Boston Scientific Corporation) or other antegrade dissection reentry techniques or devices could be used but may be challenging depending on the operator's comfort.

HOW TO PERFORM STAR

Traditionally, a higher-gram force wire, such as the Pilot 200 (Abbott) was used for STAR, and the mini-STAR technique used a lower-gram force wire such as the Fielder XT or Fielder FC (Asahi Intecc USA, Inc.) to minimize dissection. With the contemporary STAR technique, a low-gram force wire is used to allow for a smaller knuckle within the subintimal space and limit the extent of dissection. This is possible with newer-generation wires, such as Gladius Mongo (Asahi Intecc USA, Inc.) and Bandit (Teleflex).

The wire is shaped by advancing it through the wire introducer and slowly bending the tip of the wire around the tip of the introducer into an umbrella-, U-, or J-shaped bend (Video 1). The wire is then advanced into the backend of a microcatheter of choice to the CTO segment (where the microcatheter tip should already be located). When the wire comes out of the tip of the microcatheter, the goal is to have the wire immediately take on the previously shaped bend. It is then advanced through the subintimal space and will jump forward when it has reentered (see Case Example sidebar).

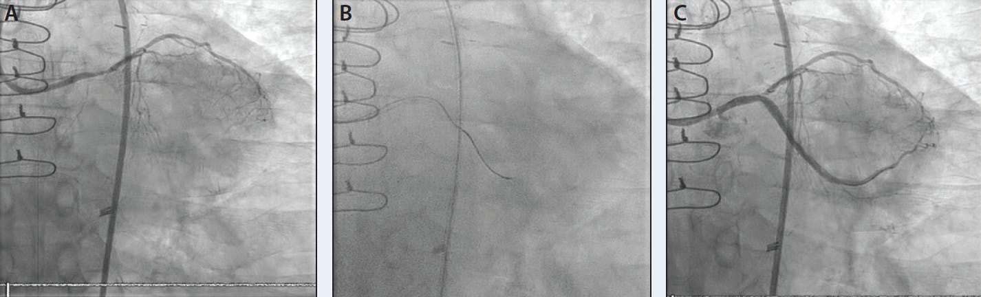
CASE EXAMPLE

A CTO of the circumflex into the obtuse marginal is seen in Panel A and Video 1. Panel B demonstrates the microcatheter that was successfully advanced within the proximal CTO space; the wire was exchanged out for a Gladius Mongo wire. This wire was previously shaped into an umbrella bend and advanced out of the microcatheter tip. The wire immediately took on the desired/premade bend shape once leaving the microcatheter, after which it was advanced and jumped forward to reenter into the distal vessel. Panel C demonstrates the result after balloon angioplasty with a 2.5-mm balloon.

ADVANCEMENTS OF STAR

With the early STAR technique, extensive subintimal dissection was seen frequently. This often led to side branch loss, decreased outflow, and poor long-term vessel patency; therefore, many operators were deterred from using this technique. However, with improving wire technology and the ability to use smaller, more controllable knuckles, STAR can actually assist in not only obtaining flow out of the major epicardial territory but can also be employed to rescue side branches and potentially improve outflow.

COMPLICATIONS OF STAR

As lower-gram tip wires in smaller knuckles are being used in contemporary STAR, there is a chance that the knuckle can be advanced out of the distal end of a small vessel resulting in a wire perforation. This is often not associated with any significant complications as long as the wire is not followed with any gear, such as the microcatheter. If the vessel is exited, the operator will often see the knuckle advance and suddenly the knuckle will release or open. Retrograde injection could be considered to verify that the wire is not in the desired location. Coronary perforation rates with the STAR techniques have been reported to be as high as 2% to 10% in some series, but perforations that resulted in clinical tamponade or required interventions such as a pericardiocentesis or placement of a covered stent were low. If needed, the use of intravenous protamine shows promise in the reduction of both cardiac tamponade and in-hospital mortality.3,4 When there is concern for a significant perforation, all coronary gear should be removed prior to the administration of protamine because of the increased risk of thrombus formation on equipment.3

DEFERRED STENTING AND STAR

Deferred stenting at 8 to 12 weeks after the index procedure has revolutionized the STAR technique. This theoretically allows healing of the tissue planes and has been shown to be associated with shorter dissection and stent lengths, increased vessel size, improved coronary flow, side branch patency, and clinical outcomes.5,6 The reocclusion rate after STAR is thought to be 20% to 40%.5,6 When reocclusion occurs, it does not appear to result in a major clinical event, such as an acute coronary syndrome.5-7 After reocclusion, the second attempt to recanalize the vessel is usually easier, with the general recommendation to initially use a spring coil workhorse wire to reduce the risk of disrupting or extending dissection planes, followed by a polymer-jacketed wire if required to access the distal vessel. Some patients, likely those with persistent vessel patency, have improvement or resolution of their angina, with the decision to proceed with deferred stenting based on achieving 88% CTO PCI success rates with long-term durability.6 The option, with resolution of symptoms, not to proceed with the staged procedure requires further study. To prevent reocclusion, it is recommended that patients are maintained on a dual antiplatelet therapy (DAPT) regimen until the staged procedure and for up to 12 months.8

The risk of restenosis and reocclusion has historically been higher with the STAR technique—likely for many reasons, including lack of imaging use, stenting at the index procedure, creation of extensive dissections, or having poor outflow. With modern wires and technique development, many of these concerns have been reduced if not eliminated. However, it is essential to use intravascular imaging to select appropriate stent sizes, landing zones, and achieve optimal results. If a vessel is small (< 2 mm) as determined by imaging, it may be advised to use balloon massage, cutting balloons, or drug-eluting balloons where available, as small stents also have an increased risk of restenosis and failure.

CONCLUSION

STAR is an effective technique that has reemerged in CTO PCI. Its current role is to facilitate safe revascularization when other approaches have failed—if there is poor visualization of the distal vessel, an absence of collaterals, or high-risk collaterals (ie, epicardial). It can be used as a bailout strategy or investment procedure. It can also be used in the acute setting if there is loss of the distal vessel during a routine PCI or ST-segment elevation myocardial infarction.

Secondary to advancements in wire technology, the technique has improved with minimizing dissection and improving outflow. Now with deferred stenting and the use of intervascular ultrasound, the long-term patency is increasing. However, more studies are needed to show the benefits of STAR. Currently, there are multiple institutions throughout the United States that have been enrolling and will continue to enroll into a STAR registry, which will allow a comparison of outcomes after using the STAR technique using contemporary lower-gram force wires, intravascular imaging, drug-eluting stents, and DAPT.

1. Fefer P, Knudtson ML, Cheema AN, et al. Current perspectives on coronary chronic total occlusions. J Am Coll Cardiol. 2012;59:991-997. doi: 10.1016/j.jacc.2011.12.007

2. Azzalini L, Marc Jolicoeur E, Pighi M, et al. Epidemiology, management strategies, and outcomes of patients with chronic total coronary occlusion. Am J Cardiol. 2016;118:1128-1135. doi: 10.1016/j.amjcard.2016.07.023

3. Kataruka A, Daniels D, Maynard C, et al. Protamine utilization and clinical outcomes for coronary artery perforation in chronic total occlusion procedures. J Am Coll Cardiol. 2020;75:1293. doi: 10.1016/S0735-1097

4. Michael TT, Papayannis AC, Banerjee S, Brilakis ES. Subintimal dissection/reentry strategies in coronary chronic total occlusion interventions. Circ Cardiovasc Interv. 2012;5:729-738. doi: 10.1161/CIRCINTERVENTIONS.112.969808

5. Visconti G, Focaccio A, Donahue M, Briguori C. Elective versus deferred stenting following subintimal recanalization of coronary chronic total occlusions. Catheter Cardiovasc Interv. 2015;85:382-390. doi: 10.1002/ccd.25509

6. Goleski PJ, Nakamura K, Liebeskind E, et al. Revascularization of coronary chronic total occlusions with subintimal tracking and reentry followed by deferred stenting: experience from a high-volume referral center. Catheter Cardiovasc Interv. 2019;93:191-198. doi: 10.1002/ccd.27783

7. Hirai T, Grantham JA, Sapontis J, et al. Impact of subintimal plaque modification procedures on health status after unsuccessful chronic total occlusion angioplasty. Catheter Cardiovasc Interv. 2018;91:1035-1042. doi: 10.1002/ccd.27380

8. Levine GN, Eric Bates CR, Bittl JA, et al. 2016 ACC/AHA guideline focused update on duration of dual antiplatelet therapy in patients with coronary artery disease: a report of the American College of Cardiology/American Heart Association Task Force on Clinical Practice Guidelines. J Am Coll Cardiol. 2016;68:1082-1115. doi: 10.1016/j.jacc.2016.03.51

Rhian E. Davies, DO, MS, FACC, FSCAI
Director of Complex Coronary
Interventional Cardiology
WellSpan Health
York, Pennsylvania
rdavies3@wellspan.org
Disclosures: Receives speaker honoraria from Abiomed, Asahi Intecc, Boston Scientific Corporation, Medtronic, Shockwave, and Teleflex; serves on advisory boards for Abiomed, Avinger, Boston Scientific Corporation, Medtronic, and Rampart.

Jeremy D. Rier, DO, FACC, FSCAI
Director, Structural Heart Program
Interventional Cardiology
WellSpan Health York Hospital
York, Pennsylvania
jrier@wellspan.org
Disclosures: Has received honorarium from Terumo Interventional Systems.