Recently, ZOLL® TherOx® hosted a competitive event encouraging fellows to submit on-label cases of SuperSaturated Oxygen (SSO2) therapy (ZOLL) for evaluation and review by judges William O’Neill, MD; Nadia Sutton, MD; Daniel Burkhoff, MD; Sandeep Nathan, MD; and Babar Basir, DO. A total of six cases were submitted with two winners selected by the judges on the criteria of case interest and uniqueness, completeness of submission, illustration of therapy benefit, and excellence in overall presentation quality. The two winners selected were Zaid Al-Jebaje, MD, of Henry Ford Hospital and Charishma Nallapati, MD, of Beaumont Hospital. This article discusses their presented cases.

SSO2 Therapy (Figure 1) is a one-time, 60-minute therapy delivering high levels of dissolved oxygen directly to the left anterior descending (LAD) artery immediately after percutaneous coronary intervention (PCI) for anterior ST-segment elevation myocardial infarction (STEMI) and has been shown to reduce infarct size by 26% in clinical studies.1 Infarct size is directly correlated with all-cause mortality and heart failure hospitalization within 1 year.2

Figure 1. SSO2 therapy delivered via catheter into the LAD post-PCI.

1. Stone GW, Martin JL, de Boer MJ, et al. Effect of supersaturated oxygen delivery on infarct size after percutaneous coronary intervention in acute myocardial infarction. Circ Cardiovasc Interv. 2009;2:366-375. doi: 10.1161/CIRCINTERVENTIONS.108.840066

2. Stone GW, Selker HP, Thiele H, et al. Relationship between infarct size and outcomes following primary PCI: patient-level analysis from 10 randomized trials. J Am Coll Cardiol. 2016;67:1674-1683. doi: 10.1016/j.jacc.2016.01.069


First Clinical Report of Echo Left Ventricular Function During Intracoronary SSO2 Infusion After Anterior STEMI Stenting

Charishma Nallapati, MD
Beaumont Hospital
Dearborn, Michigan
Disclosures: None.

Amer N. Kadri, MD
Beaumont Hospital
Dearborn, Michigan
Disclosures: None.

James Richard Spears, MD
Beaumont Hospital
Dearborn, Michigan
Disclosures: None.

PATIENT PRESENTATION

A man in his mid 40s presented to the emergency department (ED) with a chief complaint of severe substernal chest pain with associated nausea and vomiting that began 3 hours prior. On arrival at the ED, the patient’s blood pressure was 138/91 mm Hg, his heart rate was 70 bpm, and his respiratory rate was 18 to 20 breaths/min with oxygen saturation > 95% on room air. A physical examination showed a regular heart rate and rhythm with no murmur, rubs, or gallops. The baseline troponin was 0.10 ng/mL. The electrocardiogram (ECG) showed prominent anteroseptal/lateral ST-segment elevations with reciprocal inferior changes. A bedside transthoracic echocardiogram (TTE) showed a left ventricular ejection fraction (LVEF) of 30% to 35%. He was given a 324-mg oral tablet of aspirin, a 180-mg oral tablet of ticagrelor, and placed on intravenous (IV) nitroglycerin and IV heparin prior to transfer to the cardiac catheterization lab. The patient’s history included prior diagnoses of hypertension and hyperlipidemia.

Baseline coronary angiography revealed a 100% stenosis of the proximal LAD with thrombolysis in myocardial infarction (TIMI) grade 0 flow, a 90% stenosis of the mid LAD with TIMI grade 2 flow (seen after PCI proximal LAD), and an 80% stenosis of the mid left circumflex artery with TIMI grade 3 flow. The dominant right coronary artery was free of significant stenosis.

PROCEDURE

Via right femoral artery access, the patient underwent successful balloon angioplasty/stenting of the proximal LAD occlusion. “Kissing” balloon inflations at the junction of the mid LAD stenosis and origin of a large diagonal branch were then performed followed by stenting of the mid LAD alone. After successful revascularization achieving TIMI grade 3 flow, a left ventriculogram was obtained and showed an LVEF of approximately 30%. Intracoronary SSO2 therapy, initiated within 30 minutes after PCI, was given for 60 minutes.

Video 1. LV gram.

Video 2. TTE video performed 30 minutes into SSO2 infusion.

RESULTS

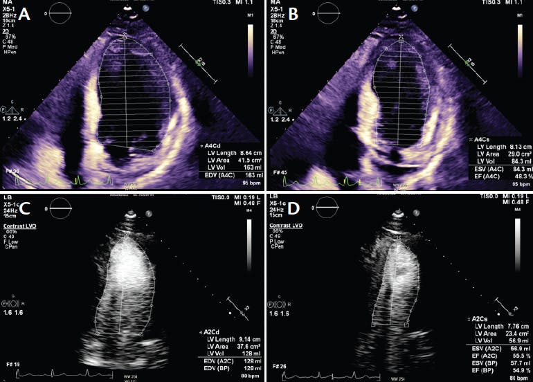
At approximately 30 minutes into the SSO2 infusion, TTE was performed with Definity contrast (Lantheus) by an expert cardiac sonographer (Videos 1-4). A remarkable improvement in global and regional systolic left ventricular (LV) function (compared to the pre–left-heart catheterization TTE and post-PCI LV image) was noted, with an LVEF of 45% and only mild to moderate apical hypokinesis. Repeat TTE at day 1 was similar but with a slightly lower LVEF (40%), despite the > 50-ng/mL troponin. Stenting of the left circumflex stenosis was successful on day 2. The patient was discharged on day 4 without complication and near normalization of the 12-lead ECG. Follow-up TTE at 1 month (Figure 1) showed an LVEF of 40% and at 2.5 months a further improvement in LVEF to approximately 50% to 55%.

Video 3. TTE video performed 21 hours after SSO2 infusion.

Video 4. TTE video performed 21 hours after SSO2 infusion.

Figure 1. TTE performed at 1 month (A, B) and 2.5 months after SSO2 therapy (C, D).

DISCUSSION

The magnitude of recovery of LV function between 2 days and 3 months in all anterior SSO2 patients treated at our institution (n > 24), including this patient, has been robust, with at least a 20% absolute increase in LVEF. Remarkably, in this case, we observed a dramatic acute improvement of LV function (as demonstrated by improved contractility) during SSO2 therapy, suggesting an immediate reversal of obstructive microcirculatory responses associated with reperfusion microvascular ischemia. Not only did our patient have a rapid improvement in LVEF during SSO2 therapy, echocardiography showed LV function normalized by 2.5 months after the procedure.

CONCLUSION

The remarkably rapid LV improvement noted by TTE contrast at 30 minutes of SSO2 infusion suggests the following: (1) SSO2 therapy should be considered a hemodynamically important interventional adjunct in STEMI patients; (2) physiologic mechanisms for acute edema removal, as demonstrated by hyperbaric oxygen therapy studies,1,2 are relevant for SSO2, with improved LV contractility further reducing edema and improving red cell flow through injured capillaries; and (3) the acute SSO2 contrast TTE results likely predict long-term LV recovery.

1. Spears JR. Reperfusion microvascular ischemia after prolonged coronary occlusion: implications and treatment with local supersaturated oxygen delivery. Hypoxia (Auckl). 2019;7:65-79. doi: 10.2147/HP.S217955

2. Huang LH, Lavine KJ, Randolph GJ. Cardiac lymphatic vessels, transport, and healing of the infarcted heart. JACC Basic Transl Sci. 2017;2:477-483. doi: 10.1016/j.jacbts.2017.02.005


SSO2 Therapy Use Immediately After PCI

Zaid Al-Jebaje, MD
Interventional Cardiology Fellow
Division of Cardiology
Henry Ford Health System
Detroit, Michigan
Disclosures: None.

Babar Basir, DO
Division of Cardiology
Henry Ford Health System
Detroit, Michigan
Disclosures: Consultant for and receives research grants from Abbott Vascular, Abiomed, Boston Scientific, Cardiovascular Systems, Inc., Chiesi, Saranas, and ZOLL.

Khaldoon Alaswad, MD, FACC, FSCAI
Division of Cardiology
Henry Ford Health System
Detroit, Michigan
Disclosures: Consultant and speaker for Boston Scientific, Teleflex, Cardiovascular Systems, Inc., and LivaNova; receives support from Boston Scientific; receives grants from Abiomed and Boston Scientific.

PATIENT PRESENTATION

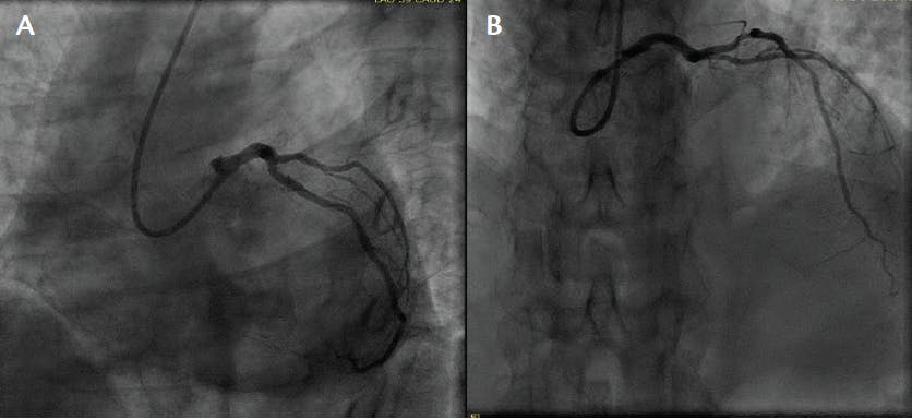
A man in his late 40s with a history of daily cigarette smoking presented to the ED with retrosternal chest pain. ECG was performed and showed evolving anterior ST-segment changes and high-sensitivity troponin at 1300 ng/L, and a bedside echocardiogram showed an LVEF of 30% with anteroseptal wall motion abnormalities. A coronary angiogram showed a 100% proximal LAD occlusion (Figure 1) and primary PCI with a 40- X 28-mm drug-eluting stent achieving good angiographic results (Figure 2). SSO2 protocol was implemented immediately after PCI.

Figure 1. LAO caudal (A) and RAO (B) cranial views before PCI.

Figure 2. LAO cranial (A) and RAO (B) cranial views after PCI.

RESULTS

The patient was transferred to the cardiac care unit and a follow-up echocardiogram showed an improved LVEF of 40%. Given his low blood pressure, he was started on low doses of guideline-directed medical therapy. The patient has demonstrated 1 year of follow-up in stable cardiac condition with preserved LV function.

DISCUSSION

Intracoronary SSO2 therapy was studied in the AMIHOT II1 and IC-HOT2 trials and showed improved outcomes in patients with anterior STEMI, evidenced by reduced infarct size (AMIHOT II) and favorable net adverse clinical events (IC-HOT), especially if administered within 6 hours of symptom onset. The 1-year follow-up of the IC-HOT trial showed lower rates of mortality, new-onset heart failure, and heart failure hospitalizations compared to a propensity-matched control group.3

CONCLUSION

Our case supports the currently available evidence of using SSO2 therapy after PCI in anterior STEMI to reduce infarct size and improve patient outcomes. SSO2 may prevent progressive LV adverse remodeling following anterior myocardial infarction and facilitate ventricular function improvement. This is especially important in cases of low blood pressure where optimization of goal-directed medical therapy can be challenging.

For more information on SSO2 therapy, please visit https://info.zoll.com/therox.

1. Stone GW, Martin JL, de Boer MJ, et al. Effect of supersaturated oxygen delivery on infarct size after percutaneous coronary intervention in acute myocardial infarction. Circ Cardiovasc Interv. 2009;2:366-375. doi: 10.1161/CIRCINTERVENTIONS.108.840066

2. David SW, Khan ZA, Patel NC, et al. Evaluation of intracoronary hyperoxemic oxygen therapy in acute anterior myocardial infarction: The IC-HOT study. Catheter Cardiovasc Interv. 2019;93:882-890. doi: 10.1002/ccd.27905

3. Chen S, David SW, Khan ZA, et al. One-year outcomes of supersaturated oxygen therapy in acute anterior myocardial infarction: the IC-HOT study. Catheter Cardiovasc Interv. 2021;97:1120-1126. doi: 10.1002/ccd.29090