Absolute guidewire control and position are critical with the ever-changing complexity of chronic total occlusion (CTO) percutaneous coronary intervention (PCI). Multiple techniques and devices have been introduced that have dramatically improved the success of CTO intervention.1,2 Despite this, the basics of good wire control and tip positioning remain critical in the efficiency and success of the intervention.

This article describes a patient presenting with subacute myocardial infarction who was found at catheterization to have a subacute circumflex lesion along with a CTO of the dominant right coronary artery (RCA). Placement of multiple wires and manipulation of several wires were required to successfully correct the lesions. This was accomplished with the aid of the Speed-Torque® (Vascugenix) (Figure 1), a novel torque device with a locking toggle mechanism that allows for true single-hand repositioning on the wire and continuous wire security to maintain constant and exact wire tip position during wire manipulation. Improved efficiency with improved torque device control and repositioning has the potential for improved CTO success, a shorter procedure time, and reduced radiation exposure.3

Figure 1. The Speed-Torque® device from Vascugenix.

CASE PRESENTATION

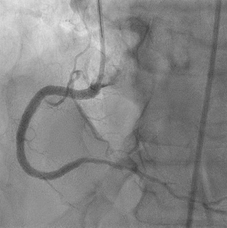
A man in his late 50s with a medical history of hypertension and type 2 diabetes was transferred from an outside facility with a non–ST-segment elevation myocardial infarction. His initial troponin I was 4.067 ng/mL with a peak of 15.783 ng/mL. The initial electrocardiogram demonstrated normal sinus rhythm with symmetric inferolateral T wave inversion. He reported intermittent chest pain for 2 weeks prior to arrival, with severe chest pain the day of presentation to the outside facility. Diagnostic cardiac catheterization revealed a subacute occlusion of the proximal circumflex and a proximal CTO of the dominant RCA with a collateral network primarily via the patent left anterior descending (LAD) artery system (Figure 2). The left ventricular ejection fraction was globally mildly depressed at 40% with inferobasal hypokinesis. The echocardiogram confirmed an ejection fraction of 40% and no significant valvular dysfunction. Consideration was given to surgical versus percutaneous options, and given the patient’s persistent unstable ischemic symptoms, a percutaneous option was pursued.

Figure 2. LAD with a collateral network to the RCA system.

PROCEDURAL OVERVIEW

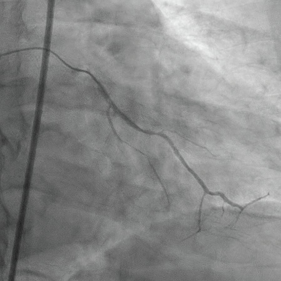
An XB 3.5 guide catheter was utilized to access the left coronary system, and the circumflex lesion was crossed with a Hi-Torque Pilot 50 guidewire (Abbott) utilizing back support with a Corsair microcatheter (Asahi Intecc USA, Inc.), and distal intraluminal position was confirmed with contrast injection thru the Corsair microcatheter (Figure 3). The occlusion of the circumflex was crossed and the distal wire was positioned in the obtuse marginal (OM) branch with utilization of the Speed-Torque®, a novel torque device. Angioplasty of the OM1 was completed with a 2.0- X 20-mm balloon, and a 2.5- X 32-mm Synergy stent (Boston Scientific Corporation) was subsequently placed. A Runthrough wire (Terumo Interventional Systems) was introduced to the circumflex continuation at a 60° angulation with the assistance of the Speed-Torque® device. A 3.5- X 24-mm Synergy stent was then placed at the circumflex with overlap to the OM1 stent, postdilation was completed with a 4.0-mm noncompliant balloon, and intravascular ultrasound (IVUS) confirmed good stent-to-wall apposition (Figure 4).

Figure 3. Distal OM angiography confirming the intraluminal position.

Figure 4. Completed circumflex and OM intervention.

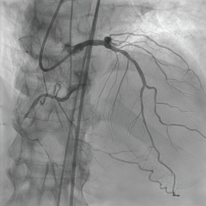
Next, a SION Black wire (Asahi Intecc USA, Inc.) was utilized to access the posterior descending artery (PDA) via the LAD to RCA collateral network despite significant tortuosity, with good 1:1 torque with the Speed-Torque® novel torque device. A JR guidewire was utilized to access the RCA for antegrade access. The PDA retrograde wire placement (Figure 5) allowed for target positioning of an antegrade Hi-Torque Pilot 200 wire from the proximal RCA to cross the lesion and position it in the PDA to complete the intervention. The antegrade access was gained to the PDA with the back support of a Corsair microcatheter and good 1:1 torque with the Speed-Torque® device. Balloon angioplasty was completed to the RCA with a 2.0-mm balloon. IVUS images were obtained for vessel detail and stent sizing. Successful stent placement was completed to the RCA with three overlapping Synergy stents measuring 3.5 X 48 mm, 4.0 X 32 mm, and 5.0 X 8 mm from distal to proximal (Figure 6). The patient continued antiplatelet therapy with prasugrel 10 mg once daily along with acetylsalicylic acid 81 mg once daily and guideline-directed medical therapy, including b blockade, angiotensin receptor blocker, and statin therapy. The patient was discharged to home on day 1 after multivessel intervention without complications and asymptomatic.

Figure 5. Antegrade and retrograde RCA wire positioning.

Figure 6. Angiography of the completed RCA intervention.

DISCUSSION

This case demonstrates that accurate guidewire position is essential to enable an excellent outcome with interventions for subacute and chronic coronary occlusions. Multiple techniques have been proposed to help facilitate wiring of complex coronary anatomy.4 We propose that improved technology of antiquated torque devices can have a significant impact on the success of PCI. Maintaining a very precise position of the wire at the cap of a CTO can help facilitate lesion crossing. The ability to reposition the Speed-Torque® device on the guidewire while maintaining absolute wire securement decreases the chance of losing small or large amounts of wire position that may have taken several minutes to gain. Having the ability to maintain vision on the fluoroscopic field of view while repositioning the Speed-Torque® device can significantly decrease the chance of inadvertent wire loss either proximally out of the vessel or distally that could lead to perforation or dissection. The literature demonstrates incidence of guidewire fracture with excessive rotation, entry, and withdrawal.5 Improved torque device technology as demonstrated in this case with the Speed-Torque® can reduce the incidence of wire slip and the subsequent need for repositioning. In addition, this single-hand device has the potential to improve efficiency of each case, potentially leading to less radiation exposure for all involved. For these reasons, we believe the Speed-Torque® novel torque device significantly improved the outcome of this case.

CONCLUSION

The Speed-Torque® device improved the efficiency and accuracy of wire placement and contributed significantly to the success in this case involving both subacute occlusions and CTOs.

1. Li Li, Liu J, Jin Q, Chen S. Case report of a novel maneuver to facilitate wire access to the side branch in bifurcation intervention-balloon block and support technique. Medicine (Baltimore). 2018;97:e9673. doi: 10.1097/MD.0000000000009673

2. Lozano I, Rondan J, Vegas JM, et al. Access to side branches with a sharply angulated origin: usefulness of a specific wire for chronic occlusions. REC Interv Cardiol. 2019;1:21-25. https://doi.org/10.24875/RECICE.M19000006

3. Chon MK, Chun KJ, Lee DS, et al. Radiation reduction during percutaneous coronary intervention: a new protocol with a low frame rate and selective fluoroscopic image storage. Medicine (Baltimore). 2017;96:e7517. doi: 10.1097/MD.0000000000007517

4. Stys A, Oleszak F, Gedela M, et al. How to wire a complex coronary trifurcation: a novel guidewire contrast surfing technique. Cath Lab Digest. Published April 2018. https://www.hmpgloballearningnetwork.com/site/cathlab/article/how-wire-complex-coronary-trifurcation-novel-guidewire-contrast-surfing-technique

5. Wang X, Ye J, Gao, JQ, Liu ZJ. A case report of fractured guidewire removal by rotational atherectomy. J Cardiothorac Surg. 2021;16:342. doi: 10.1186/s13019-021-01724-3

Dwight Chrisman, MD, FACC
Arkansas Cardiology
Baptist Health Heart Institute
Little Rock, Arkansas
Disclosures: Co-founder of Vascugenix.

Ernesto Ruiz-Rodriguez, MD, FACC
Arkansas Cardiology
Baptist Health Heart Institute
Little Rock, Arkansas
Disclosures: None.