Intracoronary imaging, represented by intravascular ultrasound (IVUS) and optical coherence tomography (OCT), provides accurate and complementary information to the visual estimation of coronary angiography for planning and optimizing percutaneous coronary intervention (PCI). Recognition of the underlying target lesion components and characteristics that need special preparation, identification of adequate vascular references that ensure complete lesion coverage and offer safe landing zones for the edges of the stent that will be implanted, and accurate vessel sizing for optimal selection of balloons/stent diameters are key information provided by intravascular imaging in the preprocedural PCI planning. Postprocedural imaging allows for evaluation of the PCI results and identification of potentially harmful complications that need correction/optimization. A large body of evidence from observational studies, randomized controlled trials, and meta-analyses consistently supports better acute procedure and long-term benefits of intravascular image-guided PCI.1-7

Nonetheless, the adoption of intravascular imaging is limited in clinical practice.8 Standing out among the multiple reasons for such limited adoption are the learning curve for image interpretation, lack of clear guidelines on how to use intravascular imaging for optimal PCI guidance, and unclear guidelines on how to manage post-PCI findings. In this article, we provide a concise summary on how to use intravascular imaging for PCI guidance and optimization, discussing the practical differences between IVUS and OCT whenever applicable.

GENERAL CONSIDERATIONS ON PCI GUIDANCE

Historically, most of the IVUS literature has focused on poststent assessment describing what would be the criteria for an optimal PCI result. Little focus was dedicated on pre-PCI planning and guidance, which reflects the way intravascular imaging is currently being used—mostly, for assessment of procedural results after stenting.8 Although this approach offers the opportunity to optimize the procedure, the planning strategy is overlooked and restricted to the inherent limitations of angiography. It is our opinion that preprocedural imaging is as important as the postprocedure assessment, and its importance should not be underestimated.

In an all-comers series, we initially described the value of OCT on procedure planning. In this analysis, the original PCI strategy based on angiographic information alone was significantly changed in 81.8% of the cases after pre-PCI OCT information was gathered.9 The high impact of pre-PCI OCT was similarly reproduced in subsequent series.10,11

Originally described to overcome this misconception and offer a prescriptive algorithmic use of OCT, the mnemonic MLD MAX (morphology, length, diameter, medial dissection, apposition, and expansion) standardizes the use of intravascular imaging across the multiple phases of PCI.11 This approach can be applied to both OCT and IVUS. Throughout the next paragraphs, we will discuss the use of intravascular imaging for PCI guidance and optimization with emphasis on pre- and post-PCI assessments.

PREPROCEDURAL IMAGING

Plaque Morphology and Characteristics

Extensive calcification of the target lesion is an important determinant of stent underexpansion, which is a predictor of subacute and late adverse events. IVUS is sensitive in detecting calcium, but because ultrasound cannot penetrate calcium, quantifications derived from IVUS are limited to the circumferential distribution of calcium and its longitudinal length. Calcium depth is visually determined as superficial (close to the lumen) or deep (away from the lumen). Conversely, infrared light can penetrate calcium. Therefore, OCT allows more accurate quantifications of coronary calcification, such as circumferential distribution, longitudinal length, calcium thickness, calcium area, and distance from the lumen (Figure 1).

Figure 1. Quantification of coronary calcification. IVUS image of a circumferential and superficial calcification (A). An OCT image of a circumferential calcification (B). As infrared light travels through calcium, it is possible to quantify the calcium area, the calcification thickness (double arrowhead points to the thickest portion), and the distance from the lumen. Opposite to previous knowledge, this superficial and circumferential calcification, with a maximum thickness of 460 mm, can be easily fractured with noncompliant balloon inflation.

Achievement of calcium fracture is associated with greater stent expansion and larger luminal gain. Calcium with a wide circumferential arc and low thickness can be easily fractured by noncompliant balloon dilatation. Thresholds of 227° of calcium arc and 0.67 mm of calcium thickness predicted calcium fracture in a small study.12 A recently validated OCT-based calcium score assigns two points for maximum calcium angle > 180°, one point for maximum calcium thickness > 0.5 mm, and one point for longitudinal length > 5 mm. Significantly lower stent expansions were observed in cases where all factors were present (four points).13

Calcified nodules have unique morphology in which nodular calcification protrudes into the lumen. Although associated with plaque instability due to fibrous cap disruption with overlying thrombus, it can also challenge advancement and adequate expansion of coronary stents. Although the best modality for the preparation of protruding calcified nodules is uncertain, identifying areas of nodular calcification and confirming calcium fracture or modification before stent implantation is key for optimal stent expansion.

Identification of Landing Zones (Length)

Target vessel references intended for stent landing zones should be selected with the aim to achieve maximum stent expansion for the intended target vessel dimension in a safe manner and ensure complete lesion coverage. Ideally, the landing zones should be free of disease. Due to the diffuse nature of atherosclerosis, one should look for the most “normal-looking” regions (ie, less atherosclerotic disease) with the largest lumen areas in the segments distal and proximal to the target stenosis. Landing stent borders in a region with a plaque burden > 50% as determined by IVUS14 and in lipid-rich regions as determined by OCT15 have been associated with stent edge dissection, postprocedural myocardial infarction, and restenosis—and should be avoided. We previously identified the presence of thin-cap fibroatheroma and the arc of calcification at the intended landing zones as independent predictors for the occurrence of stent edge dissections.15 When those features are present, and better landing zones are not available, choice of stent diameter should be more conservative. Balloon postdilatation should be kept away from the stent edges, and care should be applied with high-pressure inflations close to stent edges.

The lumen profile display on the OCT software provides a planar lumenogram of the target vessel, incorporating multiplanar reconstruction of automated lumen segmentation. This tool enables easier identification of the target length.

Coregistration of intracoronary imaging and angiography is possible with both OCT and IVUS and increases precision in the location of the intended landing zones on the angiogram, minimizing the risk of geographic miss.16

Diameter

Appropriate reference vessel sizing is crucial for the selection of optimal stent and postdilation balloon diameter to maximize stent expansion and lumen gain. IVUS-guided stent and postdilatation balloon sizing have been based on the reference lumen areas or the external elastic lamina (EEL) diameter measured at the reference or lumen sites, rounded down by 0.25 to 0.5 mm.

Early OCT experience used reference lumen dimensions for stent sizing. This resulted in smaller devices and smaller post-PCI minimum stent area (MSA) as compared to stents sized by the reference EEL with IVUS.17,18 The ILUMIEN III and iSIGHT randomized trials demonstrated final MSA and stent expansion with an EEL-based stent sizing approach to be noninferior to those achieved under IVUS guidance.19,20 Figure 2 presents the several approaches proposed for stent and adjunctive balloon diameter selection.

Figure 2. Approaches for landing zone selection and stent sizing. Criteria for IVUS and OCT determinations of appropriate landing zones (A). Different approaches for vessel reference sizing by IVUS and OCT, from the least to the most “aggressive” (B). Criteria for stent sizing based on the previous reference sizing (C).

POSTPROCEDURAL IMAGING

Stent Edge Dissection

Large edge dissections by IVUS have been associated with early adverse events. In the ADAPT-DES study, oversizing of the stent borders to its respective reference, presence of great plaque burden at the stent edge, and amount of calcium or attenuated plaque were associated with edge dissections. When left untreated, dissections with a lumen area < 5 mm2, dissection length > 3 mm, and the radial extent of the dissection flap > 60° were associated with target lesion revascularization.21

In an OCT analysis of 395 stent edges, we identified edge dissections in 37.8% of treated lesions, of which > 50% extended deeply into the media/adventitia layer. Key independent predictors for edge dissections were presence of atherosclerotic plaque or thin-cap fibroatheroma at the vessel reference, minimum fibrous cap thickness in lipidic plaques, circumferential arc of calcified plaques, eccentricity of the stent border and reference lumen, and oversizing of the stent border to the vessel reference. Because there was not a prespecified management protocol, dissections were managed according to the operator’s discretion. Thus, the more severe dissections could have been treated, and a similar 1-year major adverse cardiac events (MACE) was found between patients with untreated edge dissections and those without dissections. Furthermore, among multiple analyzed morphometric parameters, none predicted adverse events.15 In the CLI-OPCI registry, a dissection flap opening > 200 mm at the distal but not at the proximal edge emerged as an independent predictor of MACE (hazard ratio, 2.5).22 Another report identified cavity depth at the distal edge, reference lumen area at the proximal edge, and overall dissection length as predictors of 1-year MACE.23

Stent Apposition

Stent malapposition (lack of stent-vessel wall contact) is commonly found acutely after PCI and is seen in approximately 15% of PCI as determined by IVUS.24 Due to its superior resolution and flushing of the vascular lumen during image acquisition, acute malapposition is more frequently identified by OCT in approximately 50% of cases.22 Although experimental evidence links large (> 300 mm) acute malapposition with delayed strut healing,25 there is no consistent evidence suggesting acute stent malapposition is associated with adverse events in the absence of concomitant stent underexpansion.

Despite the lack of robust evidence, the current Expert Consensus Document of the European Association of Percutaneous Cardiovascular Interventions recommends thresholds for corrective postdilation for acute malappositions with strut separation from the vessel wall > 0.4 mm and with longitudinal extension > 1 mm.26 Some specific situations might benefit from a more liberal approach such as bifurcation PCI, in which stent deformation can occur if wire recrossing and ballooning toward the side branch occurs behind the main vessel struts.27 The automated apposition map and three-dimensional (3D) representation of stent malapposition available on the OCT software is a useful tool for a quick and comprehensive evaluation of the axial and longitudinal extent of malappositions.

Stent Expansion

Stent underexpansion is the major predictor of stent failure. Stent expansion is calculated as the MSA either as a single measure (absolute expansion) or compared relative to the vascular reference (relative expansion).

IVUS studies have consistently shown that a final post-PCI MSA of approximately 5.5 mm2 best discriminates subsequent adverse events in non–left main lesions. More recent OCT data identified an MSA > 5.44 mm2 to predict post-PCI fractional flow reserve (FFR) > 0.90 and > 4.5 mm2 to predict MACE.22,28

Although absolute MSA is associated with improved long-term stent patency and lower risk of stent failure,29,30 this metric is limited in individual cases with varying reference vessel sizes. It does not apply for different expansions needed in tapered vessels nor does it capture multiple sites of underexpansion along the treated segment. As a result, the relative expansion normalizes the MSA to the reference vessel, aiming to provide a more realistic metric of how large the MSA is relative to that particular vessel. Nonetheless, the calculation of relative expansion varies considerably depending on the vessel reference selected for comparison. The vessel reference lumen area can be determined at the distal, proximal, or average of both references. Furthermore, the optimal cutoff of relative expansion has not been robustly determined. Targets for optimal stent expansion have considered MSA > 100% of the distal reference lumen area or > 80% or > 90% of the average reference lumen area. In an IVUS study on long lesions, the presence of an MSA greater than the distal reference lumen area (> 100%) was associated with a very low (1.5%) 1-year event rate.1 In the iSIGHT20 and OPINION18 trials, optimal stent expansions were defined as an MSA > 90% of the average reference lumen area in both the IVUS and OCT arms. In the ILUMIEN III19 trial, the stent was divided into two halves, and the MSA of each half was compared with its corresponding reference; an MSA ≥ 95% than the reference lumen area was considered optimal, and ≥ 90% was considered acceptable. Currently, the Expert Consensus Document of the European Association of Percutaneous Cardiovascular Interventions supports the use of both an absolute MSA (> 5.5 mm2 as determined by IVUS and > 4.5 mm2 as determined by OCT) and relative expansion (MSA/average reference lumen area > 80%) as criteria for optimum stent expansion.26

It is our opinion that each of the previously mentioned expansion criteria has inherent limitations. They can underestimate expansions in tapered vessels and do not reflect global stent expansions or capture multifocal regions of underexpansions. A recently proposed volumetric stent expansion creates an ideal lumen profile along the stented segment resultant from an adaptive reference profile computed using the natural vessel taper due to side branch ramifications, according to the Huo-Kassab model. A major side branch is defined as having a radius > 0.50 mm. Each frame along the stented segment is assigned a normalized expansion index, calculated as (actual in-stent lumen area/ideal lumen area) X 100. The minimum expansion index (MEI) is automatically identified at the site with the lowest expansion index. This model (incorporated in the OCT software as the “tapered mode”) showed a better correlation with post-PCI FFR than the conventional relative expansion. Multivariable analysis identified severe (≤ 73.3%) MEI as the only independent predictor of device-oriented composite endpoints, while absolute MSA and relative expansion were not. Future prospective studies are necessary to establish the prognostic role of MEI.31 Figure 3 presents the various ways of assessing stent expansion.

Figure 3. Assessment of stent expansion. A 2.75- X 48-mm stent was implanted in the proximal-to-mid left anterior descending artery (LAD; provisional strategy to the first diagonal branch). Postdilatation of the stent was performed with a 2.75- X 12-mm noncompliant balloon inflated at 28 atm. Proximal optimization was performed with a 3.5- X 8-mm noncompliant balloon inflated at 24 atm. Post-PCI angiogram recorded during OCT acquisition (A). Lumen profile and longitudinal views of the post-PCI OCT (B). Images “a” through “e” indicate OCT cross-sections of the sites indicated on the angiogram and longitudinal images. The MSA was 3.60 mm2 (cross-section c), which corresponded to 20.4% underexpansion compared to the distal reference lumen area (4.52 mm2; cross-section a). The novel volumetric expansion mode (C). The MSA is located in the distal stent segment (double yellow arrows). However, the MEI measured 68% in the stent segment proximal to the bifurcation (red arrows). Volumetric expansion is color-coded as white (MEI > 90%), yellow (MEI, 80%-90%), and red (MEI < 80%). Note the long segment of underexpansion in the proximal stent was far away from the MSA, in a region where the stent areas were much larger than the MSA and would not be captured by conventional ways of quantifying stent expansion. Optimization with 3- X 12-mm and 3.75- X 8-mm noncompliant balloons was performed in the distal and proximal stent segments, respectively. Significant improvement of the MSA (4.18 mm2) in the distal stent segment and resolution of the underexpansion in the proximal stent segment (MEI, 99%) (D). AS, area stenosis; DS, diameter stenosis; EXP, expansion; MLA, minmum lumen area.

INTRAVASCULAR IMAGING IN SPECIFIC SCENARIOS

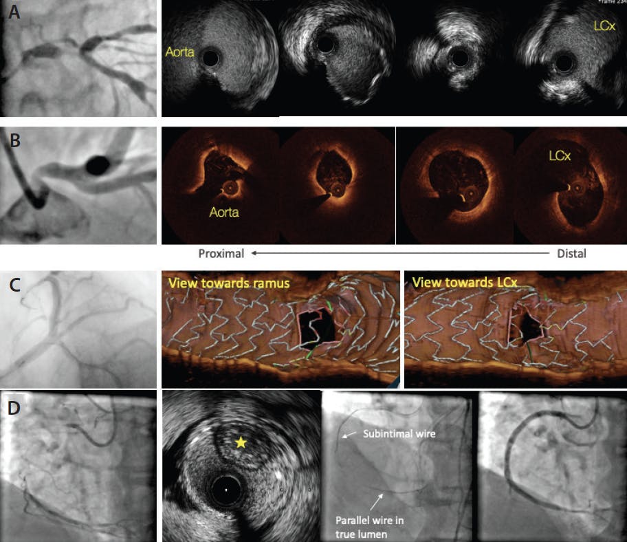
Due to the need for contrast injection for proper image acquisition, assessment of aortic-ostial lesions is more difficult with OCT, although it is possible in some cases. IVUS is more straightforward in this setting (Figure 4).

Characterization of bifurcation lesions is recommended with imaging pullbacks from both the main and side branches. OCT offers a 3D view of the coronary bifurcation aligned perpendicular to the side branch, making it possible to characterize the side branch ostium from the main branch pullback without the need for instrumentation of the side branch (Figure 4). While qualitative and visual inspection is available in the currently available software for clinical use, quantification of the side branch ostium has been made possible in research applications.32

Figure 4. Intravascular imaging in specific scenarios. IVUS evaluation of a left main coronary artery (LMCA) lesion pre-PCI (A). Note the visualization of the distal bifurcation and the LMCA ostium. OCT evaluation of an ambiguous ostial LMCA lesion (B). Note that despite the need for disengagement of the guiding catheter, adequate visualization of the entire LMCA length (including the ostium) was possible. Positioning of the guiding catheter close to the LMCA ostium in a coaxial manner is key. A 3D-OCT evaluation of an LMCA trifurcation after stenting the LMCA toward the LAD (provisional strategy to both the ramus and left circumflex [LCx]) (C). Note the single strut crossing over the ramus ostium while the LCx ostium is entirely positioned in an opening of the stent cell. Adequate flow areas are seen in both branches’ ostia. Dual injection showing a long right coronary artery CTO, approached with antegrade wire escalation (D). IVUS assessment demonstrated subintimal crossing of the first wire. Note the true lumen (yellow asterisk) compressed by the hematoma. Parallel wiring reached the distal true lumen, and the case was successfully concluded.

During chronic total occlusion (CTO) PCI, intravascular imaging can resolve proximal cap ambiguity, determine the course of the wire across different vascular compartments, confirm the wire is in the distal true lumen before stenting, and facilitate re-entry into the true lumen after subintimal wiring. This is preferably done with IVUS (Figure 4). OCT carries the potential risk of enlarging and extending dissections and subintimal hematomas during high-pressure contrast injection, and imaging may not be optimal if proper antegrade flow has not been restored. For PCI guidance after the CTO has been open and poststent evaluation, IVUS and OCT are equally useful.

IVUS is ideal for zero-contrast or ultra-low–contrast PCI in severe chronic kidney disease patients, although saline OCT acquisitions with angio-coregistration are possible in some cases.

CONCLUSION

A wealth of data supports the use of intravascular imaging to improve PCI results and clinical outcomes in all comers, with even more pronounced effects in high-risk patients and complex lesions. Consequently, intravascular imaging should be used in a much higher proportion of PCIs in clinical practice. Operators should adopt a systematic workflow for intravascular imaging use, be familiar with the inherent differences between IVUS and OCT, and choose the modality that one is more comfortable with.

1. Hong SJ, Kim BK, Shin DH, et al. Effect of intravascular ultrasound-guided vs angiography- guided everolimus-eluting stent implantation: the IVUS-XPL randomized clinical trial. JAMA. 2015;314:2155-2163. doi: 10.1001/jama.2015.15454

2. Zhang J, Gao X, Kan J, et al. Intravascular ultrasound versus angiography-guided drug-eluting stent implantation: the ULTIMATE Trial. J Am Coll Cardiol. 2018;72:3126-3137. doi: 10.1016/j.jacc.2018.09.013

3. Hong S-J, Zhang J-J, Mintz GS, et al. Improved 3-year cardiac survival after IVUS-guided long DES implantation: a patient-level analysis from 2 randomized trials. JACC Cardiovasc Interv. 2022;15:208-216. doi: 10.1016/j.jcin.2021.10.020

4. Elgendy IY, Mahmoud AN, Elgendy AY, Mintz GS. Intravascular ultrasound-guidance is associated with lower cardiovascular mortality and myocardial infarction for drug-eluting stent implantatio—insights from an updated meta-analysis of randomized trials. Circ J. 2019;83:1410-1413. doi: 10.1253/circj.CJ-19-0209

5. Jones DA, Rathod KS, Koganti S, et al. Angiography alone versus angiography plus optical coherence tomography to guide percutaneous coronary intervention: outcomes from the Pan-London PCI cohort. JACC Cardiovasc Interv. 2018;11:1313-1321. doi: 10.1016/j.jcin.2018.01.274

6. di Mario C, Koskinas KC, Räber L. Clinical benefit of IVUS guidance for coronary stenting: the ULTIMATE step toward definitive evidence? J Am Coll Cardiol. 2018;72:3138-3141. doi: 10.1016/j.jacc.2018.10.029

7. Buccheri S, Franchina G, Romano S, et al. Clinical outcomes following intravascular imaging-guided versus coronary angiography-guided percutaneous coronary intervention with stent implantation: a systematic review and Bayesian network meta-analysis of 31 studies and 17,882 patients. JACC Cardiovasc Interv. 2017;10:2488-2498. doi: 10.1016/j.jcin.2017.08.051

8. Koskinas KC, Nakamura M, Räber L, et al. Current use of intracoronary imaging in interventional practice—results of a European Association of Percutaneous Cardiovascular Interventions (EAPCI) and Japanese Association of Cardiovascular Interventions and Therapeutics (CVIT) clinical practice survey. EuroIntervention. 2018;14:e475-e484. doi: 10.4244/EIJY18M03_01

9. Stefano GT, Bezerra HG, Mehanna E, et al. Unrestricted utilization of frequency domain optical coherence tomography in coronary interventions. Int J Cardiovasc Imaging. 2013;29:741-752. doi: 10.1007/s10554-012-0135-0

10. Wijns W, Shite J, Jones MR, et al. Optical coherence tomography imaging during percutaneous coronary intervention impacts physician decision-making: ILUMIEN I study. Eur Heart J. 2015;36:3346-3355. doi: 10.1093/eurheartj/ehv367

11. Bezerra HG, Sheth T. Analysis of changes in decision-making process during OCT-guided PCI. Presented at PCR e-Course 2020; June 25, 2020.

12. Maejima N, Hibi K, Saka K, et al. Relationship between thickness of calcium on optical coherence tomography and crack formation after balloon dilatation in calcified plaque requiring rotational atherectomy. Circ J. 2016;80:1413-1419. doi: 10.1253/circj.CJ-15-1059

13. Fujino A, Mintz GS, Matsumura M, et al. A new optical coherence tomography-based calcium scoring system to predict stent underexpansion. EuroIntervention. 2018;13:e2182-e2189. doi: 10.4244/EIJ-D-17-00962

14. Choi SY, Maehara A, Cristea E, et al. Usefulness of minimum stent cross sectional area as a predictor of angiographic restenosis after primary percutaneous coronary intervention in acute myocardial infarction (from the HORIZONS-AMI Trial IVUS substudy). Am J Cardiol. 2012;109:455-460. doi: 10.1016/j.amjcard.2011.10.005

15. Chamié D, Bezerra HG, Attizzani GF, et al. Incidence, predictors, morphological characteristics, and clinical outcomes of stent edge dissections detected by optical coherence tomography. JACC Cardiovasc Interv. 2013;6:800-813. doi: 10.1016/j.jcin.2013.03.019

16. Leistner DM, Riedel M, Steinbeck L, et al. Real-time optical coherence tomography coregistration with angiography in percutaneous coronary intervention-impact on physician decision-making: the OPTICO-integration study. Catheter Cardiovasc Interv. 2018;92:30-37. doi: 10.1002/ccd.27313

17. Habara M, Nasu K, Terashima M, et al. Impact of frequency-domain optical coherence tomography guidance for optimal coronary stent implantation in comparison with intravascular ultrasound guidance. Circ Cardiovasc Interv. 2012;5:193-201. doi: 10.1161/CIRCINTERVENTIONS.111.965111

18. Kubo T, Shinke T, Okamura T, et al. Optical frequency domain imaging vs. intravascular ultrasound in percutaneous coronary intervention (OPINION trial): one-year angiographic and clinical results. Eur Heart J. 2017;38:3139-3147. doi: 10.1093/eurheartj/ehx351

19. Ali ZA, Maehara A, Généreux P, et al. Optical coherence tomography compared with intravascular ultrasound and with angiography to guide coronary stent implantation (ILUMIEN III: OPTIMIZE PCI): a randomised controlled trial. Lancet. 2016;388:2618-2628. doi: 10.1016/S0140-6736(16)31922-5

20. Chamié D, Costa JR, Damiani LP, et al. Optical coherence tomography versus intravascular ultrasound and angiography to guide percutaneous coronary interventions: the iSIGHT randomized trial. Circ Cardiovasc Interv. 2021;14:e009452. doi: 10.1161/CIRCINTERVENTIONS.120.009452

21. Kobayashi N, Mintz GS, Witzenbichler B, et al. Prevalence, features, and prognostic importance of edge dissection after drug-eluting stent implantation: an ADAPT-DES intravascular ultrasound substudy. Circ Cardiovasc Interv. 2016;9:e003553. doi: 10.1161/CIRCINTERVENTIONS.115.003553

22. Prati F, Romagnoli E, Burzotta F, et al. Clinical impact of OCT findings during PCI the CLI-OPCI II study. JACC Cardiovasc Imaging. 2015;8:1297-1305. doi: 10.1016/j.jcmg.2015.08.013

23. van Zandvoort LJC, Tomaniak M, Tovar Forero MN, et al. Predictors for clinical outcome of untreated stent edge dissections as detected by optical coherence tomography. Circ Cardiovasc Interv. 2020;13:e008685. doi: 10.1161/CIRCINTERVENTIONS.119.008685

24. Wang B, Mintz GS, Witzenbichler B, et al. Predictors and long-term clinical impact of acute stent malapposition: an assessment of dual antiplatelet therapy with drug-eluting stents (ADAPT-DES) Intravascular Ultrasound Substudy. J Am Heart Assoc. 2016;5. doi: 10.1161/JAHA.116.004438

25. Foin N, Gutiérrez-Chico JL, Nakatani S, et al. Incomplete stent apposition causes high shear flow disturbances and delay in neointimal coverage as a function of strut to wall detachment distance: implications for the management of incomplete stent apposition. Circ Cardiovasc Interv. 2014;7:180-189. doi: 10.1161/CIRCINTERVENTIONS.113.000931

26. Räber L, Mintz GS, Koskinas KC, et al. Clinical use of intracoronary imaging. Part 1: guidance and optimization of coronary interventions. An expert consensus document of the European Association of Percutaneous Cardiovascular Interventions. Eur Heart J. 2018;39:3281-3300. doi: 10.1093/eurheartj/ehy285

27. Zukowski C, Maia F, Oliveira M, et al. Suboptimal bifurcation stenting: a case when the check comes late. JACC Cardiovasc Interv. 2018;11:e37-e40. doi: 10.1016/j.jcin.2017.11.029

28. Meneveau N, Souteyrand G, Motreff P, et al. Optical coherence tomography to optimize results of percutaneous coronary intervention in patients with non-ST-elevation acute coronary syndrome. Results of the multicenter, randomized DOCTORS study (does optical coherence tomography optimize results of stenting). Circulation. 2016;134:906-917. doi: 10.1161/CIRCULATIONAHA.116.024393

29. Hong MK, Mintz GS, Lee CW, et al. Intravascular ultrasound predictors of angiographic restenosis after sirolimus-eluting stent implantation. Eur Heart J. 2006;27:1305-1310. doi: 10.1093/eurheartj/ehi882

30. Doi H, Maehara A, Mintz GS, et al. Impact of post-intervention minimal stent area on 9-month follow-up patency of paclitaxel-eluting stents. An integrated intravascular ultrasound analysis from the TAXUS IV, V, and VI and TAXUS ATLAS workhorse, long lesion, and direct stent trials. JACC Cardiovasc Interv. 2009;2:1269-1275. doi: 10.1016/j.jcin.2009.10.005

31. Nakamura D, Wijns W, Price MJ, et al. New volumetric analysis method for stent expansion and its correlation with final fractional flow reserve and clinical outcome: An ILUMIEN I Substudy. JACC Cardiovasc Interv. 2018;11:1467-1478. doi: 10.1016/j.jcin.2018.06.049

32. Karanasos A, Tu S, van Ditzhuijzen NS, et al. A novel method to assess coronary artery bifurcations by OCT: cut-plane analysis for side-branch ostial assessment from a main-vessel pullback. Eur Hear journal Cardiovasc Imaging. 2015;16:177-189. doi: 10.1093/ehjci/jeu176

Daniel Chamié, MD, PhD
Invasive Cardiology Department
Instituto Dante Pazzanese de Cardiologia
Sao Paulo, Brazil
daniel.chamie@gmail.com
Disclosures: None.

Hiram Bezerra, MD, PhD
Interventional Cardiology Center
Tampa General Hospital
USF Health Morsani College of Medicine
Tampa, Florida
Disclosures: None.