Despite reductions in mean door-to-balloon times to < 90 minutes and routine use of a host of drug therapies, the 30-day mortality rate of patients > 65 years of age experiencing an acute myocardial infarction (AMI) is approximately 12%,1 and of all AMI patients, 20% to 30% develop heart failure (HF) within 1 year.2 It has been established, via a large meta-analysis, that infarct size directly correlates to both long-term mortality and HF hospitalization (HFH). In a multivariable model, a 5% absolute (not relative) increase in infarct size was associated with a relative (not absolute) 20% increase in the hazard of death or HFHs within 1 year.3 Thus, there is a strong clinical imperative to do more to reduce infarct size. Despite investigations of many therapies aimed at enhancing myocardial salvage and reducing infarct size, only one has achieved FDA approval as an adjunct to reperfusion therapy in ST-segment elevation myocardial infarction (STEMI): SuperSaturated Oxygen (SSO2) Therapy, developed, manufactured, and tested by ZOLL® TherOx®.

Reperfusion after restoration of epicardial coronary flow by percutaneous coronary intervention (PCI) is typically heterogeneous within the infarct zone, and significant areas of “low or no reflow” can be identified where perfusion is reduced.4 If the flow limitation is severe enough and long enough, it has the potential to ultimately extend the size of the infarction. Several factors may contribute to the “low or no reflow” phenomenon, including microvascular obstruction (MVO) due to debris released downstream during PCI and microvascular dysfunction caused by ischemia-induced endothelial edema (Figure 1A).

Figure 1. MVO post-PCI for STEMI. Endothelial swelling and neutrophils plugging blood flow (A). Dissolved oxygen in the microvasculature via SSO2 therapy reduces endothelial swelling and restores flow (B).

SSO2 THERAPY: CONCEPT AND PRECLINICAL RESULTS

SSO2 therapy was initially conceptualized and developed by Dr. J. Richard Spears, et al to address myocardial salvage in STEMI.5,6 He developed a catheter-based approach of increasing the partial pressure of oxygen of coronary blood to very high levels (760-1,000 mm Hg) with the intention of increasing oxygen delivery to endothelial cells and myocardial tissue via diffusion through plasma. The hypothesis was that improved oxygenation may both salvage myocardial cells on the verge of dying and reverse endothelial swelling to relieve MVO; the latter further enhancing oxygen delivery by improved microvascular blood flow (Figure 1B). Several preclinical studies confirmed these hypotheses, specifically showing that compared to reperfusion with normoxemic blood reperfusion SSO2 therapy was associated with reduced capillary endothelial swelling; improved regional myocardial blood flow measured with radioactive microspheres (0.92 vs 0.43 mL/g/min)5; smaller infarct size, expressed as percent area of necrosis divided by area at risk (< 20% vs 70%-80%)6; and significantly better recovery of left-ventricular (LV) ejection fraction (EF) by approximately 20% absolute.5,6 Taken all together, these preclinical data supported the hypothesis of MVO contributing importantly to infarct size and recovery of LV function in AMI and that SSO2 is a therapy that successfully addresses this mechanism, opening the door to clinical trials.

SSO2 THERAPY: CLINICAL RESULTS

Preclinical results were confirmed in a series of clinical studies in patients experiencing a STEMI, demonstrating that SSO2 therapy reduces infarct size. These included the Acute Myocardial Infarction with Hyperoxemia Therapy (AMIHOT) I and II studies, the Optimized SSO2 Pilot study, and the IntraCoronary Hyperoxemic supersaturated Oxygen Therapy (IC-HOT) study.

The AMIHOT I study was a randomized study that included patients with acute STEMI who had either an anterior or large inferior infarction.7 Two hundred sixty-nine patients enrolled from 23 sites in three countries were randomized, after PCI, to either 90 minutes of SSO2 therapy or normal autoreperfusion. Although infarct size did not differ between groups in the overall cohort, a patient subgroup with anterior infarcts who were treated with SSO2 within 6 hours of symptom onset showed a smaller infarct size (9% of the LV) than patients in the control group (23% of the LV; P = .04), better regional wall motion score (−0.75 vs −0.54; P = .03), and decreased area under the ST-segment deviation time curve over 3 hours.

AMIHOT II built on the findings of AMIHOT I and enrolled 301 patients with anterior STEMI treated with PCI within 6 hours of symptom onset and had thrombolysis in myocardial infarction grade 2 to 3 flow after the procedure.8 Eligible patients were randomized (approximately 3:1) to a 90-minute infusion of SSO2 into the infarct artery versus control normoxemic autoreperfusion. Median infarct size in the control group was 26.5% of the LV compared to 20% in the SSO2 treatment group (adjusted P = .03). Upon Bayesian pooling of data from AMIHOT I and II, as per the prospective analysis plan, adjusted infarct size from the control group was 25%, which compared to 18.5% in the SSO2 therapy groups (P = .02) for an absolute reduction in infarct size of 6.5%, with even greater reductions realized for patients treated in < 3 hours (Figure 2). SSO2 therapy was statistically noninferior to PCI alone for 30-day major adverse cardiac events, with observed rates of 5.4% (SSO2) and 3.8% (control). The posterior probability of noninferiority—within the prespecified 6% noninferiority margin—was 99.5%, achieving the study endpoint.

Figure 2. Infarct size reductions from the AMIHOT I and II trials.

After a small pilot study evaluating safety and feasibility of an optimized method of therapy (N = 20),9 the IC-HOT study was conducted (N = 100) in anterior STEMI patients who presented < 6 hours after symptom onset and with successful reperfusion with 60 minutes of SSO2 therapy.10 The net adverse event rate at 30 days was 7.1%, which was less than the expected 10.7% based on historical controls. Infarct size determined by cardiac MRI was 24.1% at 4 days and 19.4% at 30 days, which was similar to the approximately 20% average infarct size measured in the SSO2 treatment group of AMIHOT II at 14 days. Also importantly, end systolic volumes of the LV assessed by MRI decreased from day 4 to day 30 after treatment, signaling that SSO2 prevented the progressive LV remodeling typically seen in the month following a STEMI (−8.1% at 30 days)10 and confirming a prior substudy evaluating LV recovery from AMIHOT I (−11.0% at 30 days).11 Observed 30-day net adverse cardiac event rates were 7.1%, meeting the trial endpoint and falling below the established threshold of 10.7%, confirming safety.

Finally, in a propensity-matched study, 1-year outcomes from IC-HOT were compared to those of a control group from the INFUSE-AMI study.12 The rate of cardiovascular mortality (P = .04) and new-onset HF or HFH were significantly lower in patients treated with SSO2 than in the control group (P = .01).

SSO2 THERAPY CASE REPORT

By Prof. Dr. Andreas Schäfer, MD, PhD

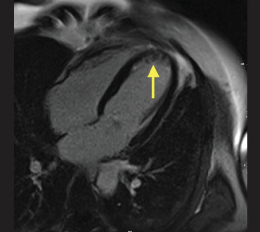
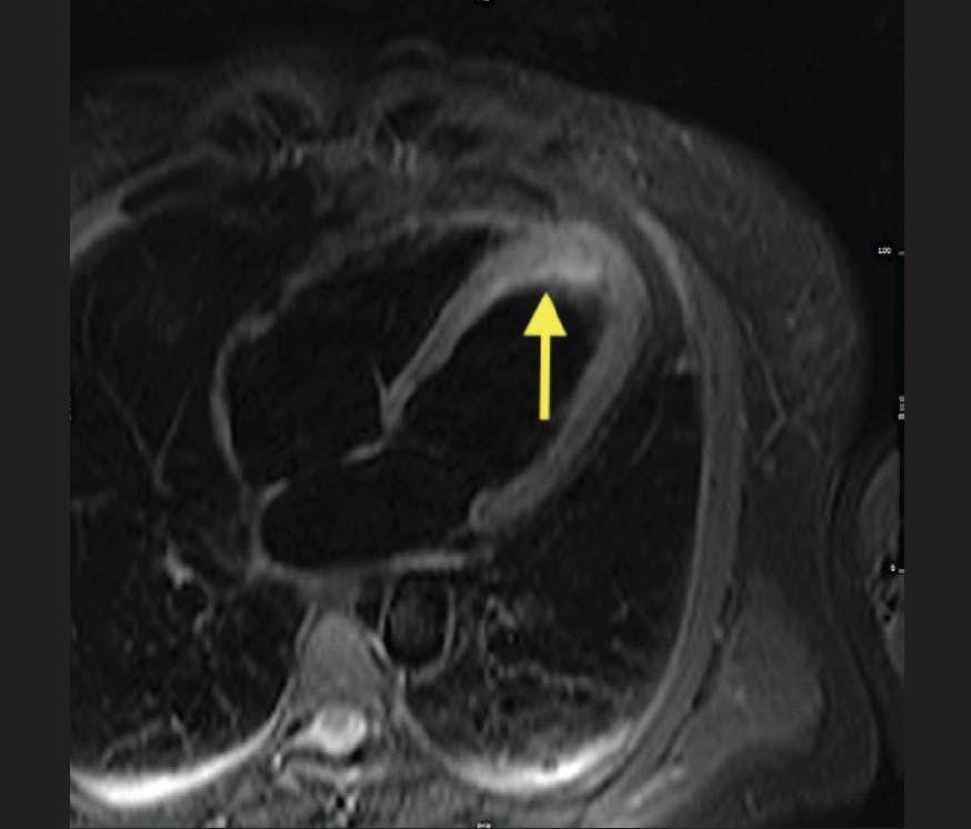
A woman in her mid 40s with no previous history of coronary artery disease, but low-density lipoprotein cholesterol (68 mg/dL) treated with atorvastatin and a 15 pack-year history of smoking, called the emergency medical team at 2:01 pm, 10 minutes after sudden onset of retrosternal chest pain radiating to the left arm. At 2:15 pm, a 12-lead electrocardiogram showed ST-segment elevations in anterior leads V2 to V5. Her blood pressure was 120/80 mm Hg and her heart rate was 95 beats per minute. The attending emergency physician in the ambulance administered 500 mg of acetylsalicylic acid, 5,000 IU of unfractionated heparin, and 10 mg of morphine via intravenous injection. The patient was handled according to the regional “STEMI Fast Track” and directly admitted to the cardiac catheterization laboratory at 2:55 pm. Focused transthoracic echocardiography revealed impaired LV function with anterior hypokinesia and an LVEF of 44%. The first angiogram, obtained at 3:05 pm, showed a proximally occluded left anterior descending artery that was successfully crossed with a guidewire at 3:28 pm (door-to-wire, 34 minutes) and three drug-eluting stents were implanted due to significant sequential coronary stenoses. SSO2 therapy was initiated by upgrading the femoral access to a 7-F sheath at 4:30 pm for withdrawal of arterial blood and positioning of a 5-F JL4 catheter within the ostium of the left main coronary artery for infusion of supersaturated blood. Intracoronary SSO2 therapy was applied for 60 minutes without incident. The patient was transferred to the chest-pain unit where a cardiac MRI performed on day 4 revealed that an extensive anteroapical region of the myocardium was at risk as indicated by edema (Figure 1). However, there was only a small region of nontransmural late gadolinium enhancement (Figure 2). The area at risk was calculated at 17 g (23.3% of the myocardium), with the final infarct size of 6.1 g (36% of the risk zone) resulting in a myocardial salvage index of 64%, with observation of 0% MVO. Based on a recent study by Park et al, we would have expected some MVO to be present in this case, and the salvage index in this case was higher than our expectations.13 The final LVEF was 60% by transthoracic echocardiography and 57% by MRI.

Figure 1. Area at risk as measured by MRI at day 4.

Figure 2. Small region of late gadolinium enhancement at day 4.

Prof. Dr. Andreas Schäfer, MD, PhD
Deputy Director, Cardiology
Hannover Medical School
Hannover, Germany
Disclosures: None.

Overall, the data from preclinical studies suggest that SSO2 therapy reduces infarct size by enhancing oxygen delivery to muscle and endothelial cells via red cell–free transmission through plasma and tissue, thus improving microvascular blood flow and reducing the consequences of MVO. Clinical data indicate that SSO2 therapy reduces infarct size, prevents LV remodeling, and may improve clinical outcomes after primary PCI in patients with anterior STEMI. Several of these key points are shown in clinical practice, as illustrated in the case report.

Study data indicate that SSO2 therapy reduces infarct size likely by reducing the “low or no reflow” phenomenon at the microvascular level. Clinical studies also show that SSO2 therapy, delivered by an intracoronary route immediately after successful PCI, reduces infarct size in patients presenting within 6 hours of the onset of severe, consistent chest pain with an anterior STEMI. It is well documented that infarct size is closely linked with the development of HF. Accordingly, SSO2 therapy has the potential to help reduce the tremendous societal and financial burdens attributable to the large and growing number of patients with HF.

1. Krumholz HM, Normad SLT, Wang Y. Twenty-year trends in outcomes for older adults with acute myocardial infarction in the United States. JAMA Netw Open. 2019;3: e191938. doi: 10.1001/jamanetworkopen.2019.1938

2. Jenca D, Melenovsky V, Stehlik J, et al. Heart failure after myocardial infarction: incidence and predictors. ESC Heart Fail. 2021;8:222-237. doi: 10.1002/ehf2.13144

3. Stone GW, Selker HP, Thiele H, et al. Relationship between infarct size and outcomes following primary PCI: patient-level analysis from 10 randomized trials. J Am Coll Cardiol. 2016;67:1674-1683. doi: 10.1016/j.jacc.2016.01.069

4. Kloner RA, Alker KJ. The effect of streptokinase on intramyocardial hemorrhage, infarct size, and the no-reflow phenomenon during coronary reperfusion. Circulation. 1984;70:513-521. doi: 10.1161/01.cir.70.3.513

5. Spears JR, Prcevski P, Xu R, et al. Aqueous oxygen attenuation of reperfusion microvascular ischemia in a canine model of myocardial infarction. ASAIO J. 2003;49:716-720. doi: 10.1097/01.mat.0000094665.72503.3c

6. Spears JR, Henney C, Prevski P, et al. Aqueous oxygen hyperbaric reperfusion in a porcine model of myocardial infarction. J Invasive Cardiol. 2002;14:160-166.

7. O’Neill WW, Martin JL, Dixon SR, et al. Acute myocardial infarction with hyperoxemic therapy (AMIHOT): a prospective, randomized trial of intracoronary hyperoxemic reperfusion after percutaneous coronary intervention. J Am Coll Cardiol. 2007;50;397-405.

8. Stone GW, Martin JL, de Boer MJ, et al. Effect of supersaturated oxygen delivery on infarct size after percutaneous coronary intervention in acute myocardial infarction. Circ Cardiovasc Interv. 2009;2:366-375. doi: 10.1161/CIRCINTERVENTIONS.108.840066

9. Hanson ID, David SW, Dixon SR, et al. “Optimized” delivery of intracoronary supersaturated oxygen in acute anterior myocardial infarction: a feasibility and safety study. Catheter Cardiovasc Interv. 2015;(86 suppl 1):S51-57. doi: 10.1002/ccd.25773

10. David SW, Khan ZA, Patel NC, et al. Evaluation of intracoronary hyperoxemic oxygen therapy in acute anterior myocardial infarction: the IC-HOT study. Catheter Cardiovasc Interv. 2019;93:882-890. doi: 10.1002/ccd.27905

11. Warda HM, Bax JJ, Bosch JG, et al. Effect of intracoronary aqueous oxygen on left ventricular remodeling after anterior wall ST-elevation acute myocardial infarction. Am J Cardiol. 2005;96: 22-24. doi: 10.1016/j.amjcard.2005.02.037

12. Chen S, David SW, Kahn ZA, et al. One-year outcomes of supersaturated oxygen therapy in acute anterior myocardial infarction: The IC-HOT study. Catheter Cardiovasc Interv. 2021;97:1120-1126. doi: 10.1002/ccd.29090

13. Park IH, Jang WJ, Cho HK, et al. Season and myocardial injury in patients with ST-segment elevation myocardial infarction: A cardiac magnetic resonance imaging study. PLoS One. 2019;14:e0211807. doi: 10.1371/journal.pone.0211807

Daniel Burkhoff, MD, PhD
Director of Heart Failure, Hemodynamics and MCS Research
Cardiovascular Research Foundation
New York, New York
Disclosures: Consultant to ZOLL TherOx.

Robert A. Kloner, MD, PhD
Chief Science Officer and Scientific Director of Cardiovascular Research
Huntington Medical Research Institute
Professor of Medicine (Clinical Scholar), Cardiovascular Division
Keck School of Medicine of University of Southern California
Pasadena, California
Disclosures: Consultant to ZOLL TherOx.