Advertisement
Advertisement
March/April 2021
TAVR for Bicuspid Aortic Stenosis: Where Are the Data and What’s Next?
Existing data on TAVR outcomes in bicuspid AS and procedural considerations to help refine patient selection and preprocedural planning.
Transcatheter aortic valve replacement (TAVR) has now become the treatment of choice for patients with aortic stenosis (AS) who are at increased surgical risk. As TAVR is increasingly utilized in patients with lower surgical risk, important questions remain regarding its safety and efficacy in patients with bicuspid aortic valves (BAVs). Clinical trials comparing TAVR and surgical aortic valve replacement (SAVR) for the treatment of severe AS have systematically excluded patients with bicuspid anatomy.1,2 Due to its association with asymmetric leaflet calcification and aortopathy resulting in dilatation of the ascending thoracic aorta, bicuspid AS poses particular challenges for TAVR, including higher rates of paravalvular leak, aortic injury, and requirement for a second valve. Furthermore, the younger age of these patients raises concerns about the long-term durability of transcatheter valve prostheses and the likely need for reintervention.
This article describes the anatomy, pathophysiology, and epidemiology of BAVs, summarizes the existing data on outcomes of TAVR in bicuspid AS, and discusses specific procedural considerations that may aid in refining patient selection and preprocedural planning.
PATHOPHYSIOLOGY AND EPIDEMIOLOGY OF BAVs
BAV is the most common congenital cardiac abnormality, affecting 1% to 2% of the general population,3 and it is likely more prevalent than previously appreciated, particularly in the elderly.4 A study of > 900 surgically excised specimens from patients undergoing isolated aortic valve replacement for stenosis showed that, even in patients aged 60 to 90 years, nearly half had an underlying unicuspid aortic valve or BAV.5 In a subset of patients with BAV, there is an association with cystic medial necrosis, loss of elastic fibers, and altered smooth muscle cell alignment in the aorta, resulting in aortic root dilation and increased risk of dissection.6
EXISTING DATA ON TAVR IN BICUSPID AS
Due to the exclusion of bicuspid AS patients from the pivotal trials comparing TAVR and SAVR, the majority of existing data on outcomes of TAVR in this population are from observational, registry-based studies. Analysis of nearly 550 propensity score–matched pairs of bicuspid and tricuspid AS patients with similar baseline characteristics in an international multicenter registry showed lower device success and more frequent conversion to surgery in bicuspid patients undergoing TAVR with older-generation devices. However, with the introduction of newer-generation devices, procedural results were comparable. Overall, there was no difference in all-cause mortality at 2 years between those with bicuspid as compared with tricuspid AS.7
An earlier analysis of data from the Society of Thoracic Surgeons/American College of Cardiology (STS/ACC) Transcatheter Valve Therapy (TVT) registry including > 170,000 procedures at nearly 600 sites from November 2011 through November 2018 sought to characterize procedural outcomes, valve performance, and in-hospital outcomes in patients with bicuspid and tricuspid AS. Over 5,400 (3.2%) TAVR procedures were performed in patients with BAV, over half of which utilized current-generation valve prostheses. With current-generation devices, device success was slightly lower in bicuspid anatomy but remained high at 96.3% versus 97.4% in tricuspid AS (P = .07), with a higher incidence of moderate to severe aortic insufficiency (2.0% vs 2.1%; P < .001). There was no difference in the 1-year hazard ratio (HR) of stroke, but the adjusted 1-year HR of mortality was lower in patients with BAV, likely reflecting their younger age and lower STS risk scores.8
A more recent comparison of patients from the STS/ACC TVT registry with bicuspid and tricuspid AS undergoing TAVR with the balloon-expandable Sapien 3 valve (Edwards Lifesciences) showed no difference in 30-day or 1-year mortality but an increased risk of stroke at 30 days in patients with BAV (2.5% vs 1.6%; HR, 1.57; 95% CI, 1.06-2.33). There was also greater risk of procedural complications necessitating open cardiac surgery in patients with BAV. Valve hemodynamics and rates of moderate or severe paravalvular regurgitation (PVR) at 30 days and 1 year were comparable between those with bicuspid and tricuspid AS.9 A similar analysis of more than 900 patients with bicuspid AS in the STS/ACC TVT registry who underwent TAVR with the self-expanding Evolut R and Evolut Pro valves (Medtronic) showed that they were younger, had fewer comorbidities, and lower STS risk scores than their counterparts with tricuspid AS. After propensity matching, rates of all-cause mortality at 30 days and 1 year were comparable between patients with bicuspid and tricuspid AS, and there was no difference in rates of PVR.10
The Evolut Low-Risk Randomized Trial included a prospective, single-arm substudy of low-risk patients with BAV. In this cohort of 150 patients, mean age was 70.3 years, mean STS score was 1.4, and the majority had Sievers type I morphology. Device success rate was 95.3%, and at 30 days, the incidence of all-cause mortality or disabling stroke was 1.3%, pacemaker implantation occurred in 15.1% of patients, and none had greater than mild PVR.11
Because surgery remains the standard of care for most patients with bicuspid AS, there have been efforts to compares outcomes of TAVR and SAVR in this patient population. An analysis of data from the National Inpatient Sample database, representing the largest inpatient database derived from billing data submitted by hospitals across the United States, found increasing use of TAVR to treat hospitalized patients with bicuspid AS, with 65 procedures performed in 2012 and 410 in 2016. Patients treated with TAVR rather than SAVR were more likely to be older, female, and had a higher burden of comorbidities such as chronic kidney disease, liver and lung disease, heart failure, and diabetes. There was no difference in in-hospital outcomes such as cardiogenic shock, acute kidney injury requiring hemodialysis, acute stroke, and mortality in patients with bicuspid AS undergoing TAVR as compared with SAVR. TAVR was associated with lower rates of postoperative bleeding, vascular complications, discharge to nursing facility, and shorter median length of hospital stay but higher rates of permanent pacemaker insertion. Comparison of all patients undergoing TAVR during an inpatient hospitalization showed no difference in in-hospital outcomes and mortality in those with bicuspid as compared to tricuspid AS.12
IMPLANTATION TECHNIQUES AND PROCEDURAL CONSIDERATIONS IN BICUSPID AS PATIENTS
Given the heterogeneous morphologic features of BAV, an important step toward improving patient selection and procedural planning is the development of a classification system that can predict outcomes with TAVR. Currently, BAV anatomy is frequently described using the Sievers and Schmidtke classification (Figure 1), based on surgical pathology specimens, which relies primarily on the number of raphe present and secondarily on the spatial position of fused raphe.13 However, because the native valve is not excised prior to TAVR, a more relevant classification system in the TAVR era will need to account for the way different BAV morphologies interact with the valve prosthesis. Recognition and characterization of BAV by echocardiography is more challenging in elderly patients due to the presence of severe, bulky calcification.14 Preprocedural analysis with multidetector CT (MDCT) is thus important for defining anatomy in older patients undergoing evaluation for TAVR, as well as those with suspected BAV on echocardiography.
Figure 1. Sievers and Schmidtke classification of bicuspid aortic valve morphologies. Type 0 is a bicuspid valve with no raphe. Type 1 is a bicuspid valve with 1 raphe, most frequently with fusion of the right (R) and left (L) coronary cusps. Type 2 is a bicuspid valve with 2 raphes that are fused. RCA, right coronary artery; LM, left main; N, noncoronary sinus. Modified from The Journal of Thoracic and Cardiovascular Surgery, Vol. 133/Issue 5, Sievers HH, Schmidtke C, A classification system for the bicuspid valve from 304 surgical specimens, Pages 1226-1233, 2007, with permission from Elsevier.
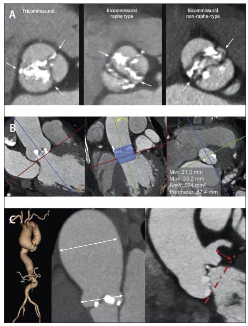
A newer classification based on MDCT imaging has been proposed: tricommissural, where one commissure is completely fused and calcified; bicommissural raphe type, where there is a fused raphe that does not extend the full length of the commissure; and bicommissural nonraphe type, where only two cusps and two commissures are present without any fused raphe (Figure 2A).15 Patients with bicommissural AS were found to have significantly larger intercommissural distances, sinotubular junctions, and ascending aorta dimensions than those with the other subtypes. There were no differences in periprocedural and 30-day outcomes between patients with different BAV morphologies.
Figure 2. Preprocedural planning with MDCT analysis in patients with bicuspid AS undergoing TAVR. Tricommissural type of BAV anatomy is defined by the presence of three commissures (arrows), one of them fused by calcification. Bicommissural raphe type is characterized by two commissures (arrows) and the presence of a raphe that affects the proximal or basal third of the sinus (asterisk). Bicommissural nonraphe type is defined by the presence of two cusps and two commissures (arrows) (A). In bicommissural nonraphe type, define the aortic annulus by orienting a plane crossing the hinge points of the cusps conventionally (left, red line) and a second orthogonal plane (middle, green line) parallel to the device landing zone (middle, shaded zone) (B). The dimensions of the aortic root and ascending aorta, as well as the heights of the coronary ostia relative to the annular plane should also be measured (C). Reprinted with permission from Bax JJ, Delgado V, Hahn RT, et al. Transcatheter aortic valve replacement: role of multimodality imaging in common and complex clinical scenarios. JACC Cardiovasc Imaging. 2020;13(1 pt 1):124-139. doi:10.1016/j.jcmg.2018.10.037
More recently, analysis of > 1,000 bicuspid AS patients with an average age of 74.7 years and STS score of 3.7% treated solely with contemporary devices (n = 730 Sapien S3, n = 188 Evolut R/Pro, n = 106 others including Lotus Edge [Boston Scientific Corporation]) demonstrated that outcomes of TAVR in bicuspid AS were associated with morphologic features such as extent and location of calcification. Calcified raphe and bulky leaflet calcification were present in 25% of patients and associated with higher risk of procedural complications such as aortic root injury, moderate to severe PVR, and short- as well as intermediate-term mortality.16 In contrast, the number of raphe and presence of aortopathy were not independently associated with mortality at 2 years.
Selection of the appropriate prosthesis size is important to reduce risk of PVR and annular rupture but can be particularly challenging in bicuspid anatomy when there are only two cusps present. An analysis of the BAVARD registry found that there was less oversizing but more frequent underexpansion in patients with BAV as compared to those with tricuspid AS undergoing TAVR with second-generation devices.17 There is debate over the optimal methodology of sizing in BAV patients, with most generally favoring standard annular-based sizing and others using supra-annular sizing at the level of the leaflets or commissures.18 Definition of the aortic annulus in cases of bicommissural nonraphe type should be performed by orienting a plane at the hinge points of the two cusps and intersecting it with a second orthogonal plane parallel to the device landing zone (Figure 2B).19 A recent pilot study used patient-specific computer simulation based on anatomic features extracted from preprocedural MDCT imaging to predict PVR and conduction disturbance with different prosthetic valve sizes and positions. In this small, single-center cohort, these computer simulations led to down-sizing of the valve prosthesis in half the cases, and none had significant PVR after TAVR.20
Another anatomic feature more common in patients with BAV than in their tricuspid counterparts is the presence of a horizontal aorta, defined as an acute angle < 30° between the plane perpendicular to the aortic annulus and the horizontal reference plane. This can complicate coaxial positioning of the valve prosthesis, particularly when using a self-expanding valve, resulting in greater likelihood of need for a second valve and postdilatation, as well as higher risk of device embolization.21
Because BAV is often associated with an aortopathy resulting in dilatation of the ascending aorta, whether or not the patient will require repair or replacement of the aortic root or ascending aorta must be considered when weighing treatment options. Current American Heart Association/ACC guidelines state that repair of the aortic root or replacement of the ascending aorta is reasonable when the aortic diameter is ≥ 5.0 cm in patients with BAV at low surgical risk.22 In addition, replacement of the ascending aorta when it reaches a diameter > 4.5 cm is reasonable in patients with BAV undergoing surgical valve replacement.23
CONCLUSION
As TAVR increasingly becomes the treatment of choice for patients with severe AS across the spectrum of surgical risk, there will be greater consideration of patients with BAV. The current data demonstrate that because bicuspid anatomy is less forgiving, outcomes of TAVR in this cohort are more susceptible to weaknesses in device design and implantation technique. There has been significant improvement in early and intermediate-term outcomes with newer-generation prostheses, with prospective and observational registry studies showing mostly comparable outcomes after TAVR in patients with bicuspid and tricuspid AS. However, there continues to be slightly lower device success and higher rates of significant PVR in patients with bicuspid anatomy. Because the FDA approval of TAVR for low-risk patients does not distinguish between bicuspid and tricuspid AS, it seems unlikely there will be a large-scale randomized controlled trial comparing TAVR with SAVR in patients with BAV. As many of these patients are younger with a lower risk profile, it rests on the shoulders of individual operators and the TAVR community at large to continue refining our understanding of the heterogeneity in this patient population and optimizing patient and prosthesis selection, and implant technique to obtain the best possible outcomes.
1. Mack MJ, Leon MB, Thourani VH, et al. Transcatheter aortic-valve replacement with a balloon-expandable valve in low-risk patients. N Engl J Med. 2019;380:1695-1705. doi:10.1056/NEJMoa1814052
2. Popma JJ, Deeb GM, Yakubov SJ, et al. Transcatheter aortic-valve replacement with a self-expanding valve in low-risk patients. N Engl J Med. 2019;380:1706-1715. doi:10.1056/NEJMoa1816885
3. Michelena HI, Della Corte A, Prakash SK, et al. Bicuspid aortic valve aortopathy in adults: incidence, etiology, and clinical significance. Int J Cardiol. 2015;201:400-4077. doi:10.1016/j.ijcard.2015.08.106
4. Roberts WC, Ko JM, Garner WL, et al. Valve structure and survival in octogenarians having aortic valve replacement for aortic stenosis (+/- aortic regurgitation) with versus without coronary artery bypass grafting at a single US medical center (1993 to 2005). Am J Cardiol. 2007;100:489-495. doi:10.1016/j.amjcard.2007.03.050
5. Roberts WC, Ko JM. Frequency by decades of unicuspid, bicuspid, and tricuspid aortic valves in adults having isolated aortic valve replacement for aortic stenosis, with or without associated aortic regurgitation. Circulation. 2005;111:920-925. doi:10.1161/01.CIR.0000155623.48408.C5
6. Lewin MB, Otto CM. The bicuspid aortic valve: adverse outcomes from infancy to old age. Circulation. 2005;111:832-834. doi:10.1161/01.CIR.0000157137.59691.0B
7. Yoon SH, Bleiziffer S, De Backer O, et al. Outcomes in transcatheter aortic valve replacement for bicuspid versus tricuspid aortic valve stenosis. J Am Coll Cardiol. 2017;69:2579-2589. doi:10.1016/j.jacc.2017.03.017
8. Halim SA, Edwards FH, Dai D, et al. Outcomes of transcatheter aortic valve replacement in patients with bicuspid aortic valve disease: a report from the Society of Thoracic Surgeons/American College of Cardiology Transcatheter Valve Therapy registry. Circulation. 2020;141:1071-1079. doi:10.1161/CIRCULATIONAHA.119.040333
9. Makkar RR, Yoon SH, Leon MB, et al. Association between transcatheter aortic valve replacement for bicuspid vs tricuspid aortic stenosis and mortality or stroke. JAMA. 2019;321:2193-2202. doi:10.1001/jama.2019.7108
10. Forrest JK, Kaple RK, Ramlawi B, et al. Transcatheter aortic valve replacement in bicuspid versus tricuspid aortic valves from the STS/ACC TVT registry. JACC Cardiovasc Interv. 2020;13:1749-1759. doi:10.1016/j.jcin.2020.03.022
11. Forrest JK, Ramlawi B, Deeb GM, et al. Transcatheter aortic valve replacement in low-risk patients with bicuspid aortic valve stenosis. JAMA Cardiol. 2021;6:50-57. doi:10.1001/jamacardio.2020.4738
12. Elbadawi A, Saad M, Elgendy IY, et al. Temporal trends and outcomes of transcatheter versus surgical aortic valve replacement for bicuspid aortic valve stenosis. JACC Cardiovasc Interv. 2019;12:1811-1822. doi:10.1016/j.jcin.2019.06.037
13. Sievers HH, Schmidtke C. A classification system for the bicuspid aortic valve from 304 surgical specimens. J Thorac Cardiovasc Surg. 2007;133:1226-1233. doi:10.1016/j.jtcvs.2007.01.039
14. Kim WK, Liebetrau C, Fischer-Rasokat U, et al. Challenges of recognizing bicuspid aortic valve in elderly patients undergoing TAVR. Int J Cardiovasc Imaging. 2020;36:251-256. doi:10.1007/s10554-019-01704-8
15. Jilaihawi H, Chen M, Webb J, et al. A bicuspid aortic valve imaging classification for the TAVR era. JACC Cardiovasc Imaging. 2016;9:1145-1158. doi:10.1016/j.jcmg.2015.12.022
16. Yoon SH, Kim WK, Dhoble A, et al. Bicuspid aortic valve morphology and outcomes after transcatheter aortic valve replacement. J Am Coll Cardiol. 2020;76:1018-1030. doi:10.1016/j.jacc.2020.07.005
17. Tchetche D, de Biase C, van Gils L, et al. Bicuspid aortic valve anatomy and relationship with devices: the BAVARD multicenter registry. Circ Cardiovasc Interv. 2019;12:e007107. doi:10.1161/CIRCINTERVENTIONS.118.007107
18. Kim WK, Renker M, Rolf A, et al. Annular versus supra-annular sizing for TAVI in bicuspid aortic valve stenosis. EuroIntervention. 2019;15:e231-e238. doi:10.4244/EIJ-D-19-00236
19. Bax JJ, Delgado V, Hahn RT, et al. Transcatheter aortic valve replacement: role of multimodality imaging in common and complex clinical scenarios. JACC Cardiovasc Imaging. 2020;13(1 pt 1):124-139. doi:10.1016/j.jcmg.2018.10.037
20. Dowling C, Firoozi S, Brecker SJ. First-in-human experience with patient-specific computer simulation of TAVR in bicuspid aortic valve morphology. JACC Cardiovasc Interv. 2020;13:184-192. doi:10.1016/j.jcin.2019.07.032
21. Kong WKF, Delgado V, Bax JJ. Bicuspid aortic valve: what to image in patients considered for transcatheter aortic valve replacement? Circ Cardiovasc Imaging. 2017;10:e005987. doi: 10.1161/CIRCIMAGING.117.005987
22. Otto CM, Nishimura RA, Bonow RO, et al. 2020 ACC/AHA guideline for the management of patients with valvular heart disease: a report of the American College of Cardiology/American Heart Association joint committee on clinical practice guidelines. Circulation. 2021;143:e72-e227. doi:10.1161/CIR.0000000000000923
23. Hiratzka LF, Creager MA, Isselbacher EM, et al. Surgery for aortic dilatation in patients with bicuspid aortic valves: a statement of clarification from the American College of Cardiology/American Heart Association task force on clinical practice guidelines. Circulation. 2016;133:680-686. doi:10.1161/CIR.0000000000000331
Advertisement
Advertisement