Left atrial appendage occlusion (LAAO) is widely considered to be a nonpharmacologic strategy for reducing stroke risk, as well as an alternative to anticoagulation in patients with nonvalvular atrial fibrillation (AF) deemed unsuitable for long-term anticoagulation yet appropriate for short-term anticoagulation. European and American guidelines have both been updated and recommend considering LAAO in patients who have long-term contraindications to anticoagulation.1-4 In recent years, multiple new devices have been developed for endocardial LAAO, and in conjunction with those advancements, pre- and intraprocedural imaging have also evolved. This article highlights significant updates in imaging and device technology as they pertain to LAAO.

DATA REVIEW

The Watchman left atrial appendage closure (LAAC) device (Boston Scientific Corporation) is the most studied LAAC device, with > 6,000 patients and > 11,000 patient-years of follow-up.5-11 The Watchman device received FDA approval in 2015 after several studies demonstrated favorable results: an initial pilot study, two randomized clinical trials (PREVAIL and PROTECT AF), and two continued access registries (CAP and CAP2). PREVAIL and PROTECT AF were prospective, multicenter, open-label, randomized clinical trials in which patients were randomized 2:1 to either LAAC with Watchman or warfarin.8,9 The 5-year results from a patient-level meta-analysis of the PROTECT AF and PREVAIL trials showed that LAAC with the Watchman device provides comparable stroke risk reduction to warfarin, with a statistically significant decrease in disabling/fatal stroke. Moreover, with warfarin cessation enabled, the Watchman device demonstrated statistically superior reductions in major nonprocedure-related bleeding and mortality when compared with warfarin.12 After FDA approval, data have continued to be collected through additional clinical trials, registries, and commercial experience. These data remain consistent with the conclusions of PROTECT AF, PREVAIL, CAP, and CAP2—continuing to show high rates of procedural success (among both new and experienced operators), low rates of major procedural complications, and significant reductions in hemorrhagic and disabling/fatal stroke and major bleeding events.

With the favorable results of ASAP, a nonrandomized prospective registry that evaluated LAAC in 150 patients contraindicated to oral anticoagulation therapy, the Watchman indications for use outside of the United States were expanded to include patients who have contraindications to warfarin.13 EWOLUTION, a subsequent all-comers registry of 1,020 patients in Europe, Russia, and the Middle East, supported the notion that LAAC with the Watchman device is safe and effective.6 In a population in which approximately 73% of patients were contraindicated to oral anticoagulation, the relative risk reduction for both stroke and major bleeding with Watchman were consistent with previous studies and registries in which patients were indicated for oral anticoagulation. These results suggest that LAAC with the Watchman device may provide favorable results with a variety of different postimplantation medication regimens.

To evaluate this hypothesis and establish the safety and effectiveness of Watchman for patients not suitable for anticoagulation, the ASAP-TOO trial is currently enrolling. This prospective multicenter study will randomize up to 888 patients 2:1 to Watchman plus short-term dual antiplatelet therapy or control with single antiplatelet therapy or no therapy.14 If this study yields positive results, it has the potential to result in indication expansion and greatly increase the number of patients with nonvalvular AF who can benefit from the Watchman device. In addition to ASAP-TOO, other ongoing clinical studies such as PINNACLE FLX (NCT02702271) and OPTION will investigate a next-generation device and an expanded indication to include postablation patients.

Finally, the Amulet investigational device exemption (IDE) trial is a prospective, randomized, multinational trial designed to examine the safety and effectiveness of the Amplatzer Amulet LAAO device (Abbott Structural Heart) for stroke prevention compared to the Watchman device in patients with nonvalvular AF at high risk of stroke.15 The results from this trial are currently pending.

UPDATES IN PREPROCEDURAL IMAGING

Computed Tomography

For the most part, transesophageal echocardiography (TEE) has been considered the gold standard for preprocedural assessment of the LAA because it allows multiplanar assessment of the LAA for device sizing and feasibility, assessment of the interatrial septum to determine the feasibility of left atrial access, and detection of LAA thrombus. Despite those advantages, TEE largely restricts the interpreter to two-dimensional (2D) assessment of a complex three-dimensional (3D) anatomic structure with highly variable anatomy, and this presents obvious challenges.16-18 To overcome such challenges, CT has gained popularity in recent years as an alternative or adjunct to TEE.19-22 Using 3D volume-rendered cardiac CT, LAA morphology can be accurately identified and broadly classified into (1) windsock, (2) chicken wing, (3) cauliflower, or (4) cactus morphology.22,23 However, this classification is broadly considered an oversimplification given the complex and highly variable LAA morphology.24 Using CT, additional morphologic and spatial information can be obtained in cases of unusual variants of LAA morphology that may demand specific technical consideration for procedural execution. Three-dimensional CT multiplanar reconstruction can define the size and shape of the anatomic LAA orifice.18,22 Using a double-oblique en face view, the orifice dimensions and eccentricity can be assessed. Particularly in the setting of significant orifice eccentricity, using the mean orifice diameter as measured by CT has been suggested to provide benefit over planar maximal diameters.25-27 Furthermore, dual-enhanced cardiac CT can be utilized to noninvasively rule out LAA thrombus, with a reported sensitivity ranging from 89% to 96%, specificity ranging from 92% to 100%, and negative predictive value of 99%.28-31 Utilizing delayed imaging protocols, the diagnostic accuracy can be further improved; however, TEE may still be required for confirmation.31,32 Finally, it is well known that LAA dimensions change with volume status. Therefore, the ability to assess LAA dimensions using CT while the patient is in a euvolemic state is considered advantageous for accurate device sizing.33

Virtual Reality

Virtual reality (VR) refers to 3D, real-world simulation wherein the user can freely interact with objects much like they would with real physical objects. Although applications of VR in medicine were reported as early as 1994,34 VR has only recently begun to find mainstream utility in medicine due to advancements in digital light projection, organic light-emitting diodes, brighter display technology, eye- and hand-tracking sensors, and high-performance computing capabilities.

Figure 1. True 3D VR visualization of the LAA morphology and its spatial relationships (A, B). An apparently large LAA with inadequate thickness to accommodate a current-generation Watchman LAAC device (C). Measurements of the LAA anatomic ostium and length of the appendage (D) and the Watchman device in anatomy simulation.

The EchoPixel True 3D system (EchoPixel, Inc.) is one of the first VR systems to gain FDA approval and utilizes integration with a DICOM workstation to import CT data for VR visualization. Utilizing polarized glasses, the user interacts with a VR data set using a stylus. Due to the complex and variable anatomy of the LAA, this technology appears to be particularly suited for LAAO procedural planning. With the stylus, the user can experience natural interaction with the VR data set, thereby understanding the morphology and spatial relationships of the LAA (Figure 1A). Unusual and aberrant anatomic variations can be intuitively analyzed, such as the example in Figure 1B of an LAA with adequate depth but razor-thin thickness that would clearly preclude accommodation of a current-generation Watchman LAAC device. The user can then mark the left circumflex artery and the tip of the limbus of the pulmonary vein ridge and identify the plane of the anatomic LAA ostium, which is generally represented by a line connecting the left circumflex artery with a point 1 to 2 cm below the pulmonary vein ridge.18 Endoluminal visualization enables differentiation between the echocardiographic and anatomic LAA ostia, which is important from an implant perspective. The maximal length of the LAA can be assessed by measuring the distance from the anatomic ostial plane to the furthermost point within the LAA in the form of a straight line. These measurements allow the user to select an appropriate device size and type, and even perform a “device-in-anatomy” simulation (Figure 1C and 1D). Initial experience highlighting the use of VR with EchoPixel for LAAO preprocedural planning was presented by at the Fascinating Lectures session at the 2018 Transcatheter Cardiovascular Therapeutics conference.35

UPDATES IN INTRAPROCEDURAL IMAGING

Intracardiac Echocardiography

Additional concerns regarding the intraprocedural guidance of LAAO by TEE are the required endotracheal intubation for airway protection and frequently used general anesthesia. To obviate such resource-heavy adjuncts, investigators have studied the use of intracardiac echocardiography (ICE) to guide LAAO. The primary benefit of ICE guidance is procedural efficiency.

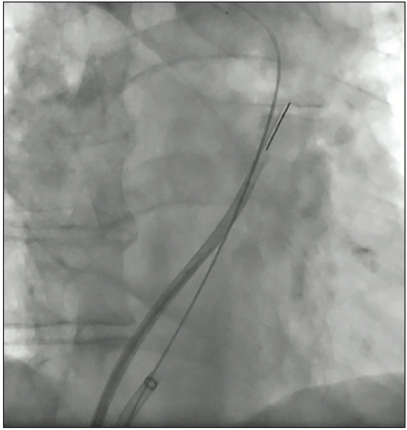
Figure 2. Once TSP and dilation of the septum have been performed, the delivery sheath is pulled back into the right atrium leaving a wire in the left upper pulmonary vein. The ICE probe is then advanced across the TSP, which is followed by readvancement of the delivery sheath.

Figure 3. ICE probe manipulated in the left atrium to obtain views similar to those obtained using TEE.

A number of investigators have highlighted the utility of ICE for LAAO, with reported high efficacy and safety rates of 96.7% to 100%.36-39 Imaging can be accomplished from the right atrium, but only single-plane views can be achieved. Imaging can also be accomplished from the pulmonary artery, but with the same limitation of a single-plane view as well as the concern about manipulating the ICE probe through the right heart. Therefore, some investigators have proceeded to perform imaging from the left atrium, which can be accomplished via a single transseptal puncture (TSP) for both ICE and LAAO delivery systems (Figure 2). Once in the left atrium, the ICE probe can be manipulated to a series of positions (midleft atrium, anterior across the mitral valve, left upper pulmonary vein) to achieve views similar to that achieved by TEE multiplanes (Figure 3).

One of the concerns with such manipulations of the ICE probe in the left atrium is the risk of inadvertent injury, particularly in the thin-walled left upper pulmonary vein. Hence, a more recent advance is the utilization of 3D ICE, which obtains not only 3D reconstructed imaging (Figure 4 and Figure 5) but also, importantly, has the ability to do multiplanar reconstruction. All of these views by the 3D ICE probe can be achieved from a midleft atrial position, therefore obviating the need for aggressive probe manipulations in the left atrium and left pulmonary veins. A potential downside of the ICE probes remains their costs and impact on reimbursement.

Figure 4. Multiplanar reformatting can be used to align the LAA. Panel A shows a 45° view of the LAA and panel B corresponds to a 135° orthogonal view.

Figure 5. By rotating the green plane 45° counterclockwise, we obtain the 0° and 90° views (A, B).

Echocardiographic-Fluoroscopic Fusion Imaging

Due to the complex 3D nature of the LAA, the implanter is essentially required to perform real-time 3D mental integration of fluoroscopic and echocardiographic data while incorporating tactile feedback to successfully execute LAAO. This has led to the development and use of echocardiographic-fluoroscopic fusion imaging technology.40 The EchoNavigator platform (Philips) allows real-time TEE-fluoroscopic coregistration, thereby empowering the interventionalist to execute precise catheter and device manipulations while visualizing cardiac soft tissue anatomy—identifying important landmarks (depicted by fiducial markers) and assessing color flow Doppler information. Using fusion imaging, the target TSP location can be tagged by placing a fiducial marker, which allows the interventionalist to precisely perform the puncture and access the left atrium (Figure 6). Fiducial markers can also be placed at the ostia of the LAA and left superior pulmonary vein. The selected TSP location, when coupled with an appropriately shaped Watchman guiding catheter, allows successful cannulation of the LAA. With the guiding catheter in the left atrium, real-time 2D echocardiographic superimposition over fluoroscopy allows the interventionalist to visualize the normally invisible cardiac soft tissue structures, enabling precise hand-eye coordination and engagement of the LAA. Coregistration also permits advancement of a pigtail catheter into the appropriate lobe of the LAA to the desired depth, which in turn allows advancement of the guiding catheter over the pigtail catheter into the LAA (Figure 7). These steps are crucial when deploying the appropriately sized device at a depth that ensures stable anchoring and a complete seal. Additional technologies such as CT-fluoroscopic fusion are also being actively developed and investigated.

Figure 6. A fiducial marker (“Marker 1”) is placed over an appropriate location on x-plane transesophageal images (A), and the same translates to a corresponding location on anteroposterior fluoroscopic imaging (B) to guide TSP.

Figure 7. Real-time 2D echocardiogram (A) overlaid on fluoroscopic anteroposterior imaging (B) allows engagement of the LAA using the Watchman guiding catheter.

REVIEW OF CURRENT DEVICES

The following section reviews a few of the numerous LAAO devices in development and research stages. Currently, Watchman is the only commercially available LAAO device in the United States.

Watchman

The Watchman device consists of a nitinol frame that conforms to the LAA anatomy and is stabilized via 10 active fixation anchors. The proximal face of the device is covered by a 160-µm membrane designed to prevent embolization. It is available in five sizes (21, 24, 27, 30, and 33 mm) and has an intra-LAA design that minimizes the potential for left atrial injury (Figure 8).

Figure 8. Design differences between the Watchman and Watchman FLX systems. Image provided courtesy of Boston Scientific. © 2019 Boston Scientific Corporation or its affiliates. All rights reserved.

Watchman FLX

The Watchman FLX LAAO system (Boston Scientific Corporation) reflects next-generation iterative design improvements to the commercially available Watchman device. The distal end of the device is closed and atraumatic with a radiopaque marker for visibility (Figure 8). The frame has an 18-strut architecture as opposed to 10-strut architecture. A reduced device length permits implantation in shallower LAAs. This system has two sets of “J” anchors, as opposed to the single set of “straight” anchors found in the current-generation Watchman device. These design changes allow the device to be successfully used in anatomies where the LAA depth is half the size of the device size/diameter. The proximal face of the device has a reduced, minimized area of exposed metal screw to encourage endothelization and minimize postimplant thrombus formation. It is expected to successfully enable LAAO in a wider range of ostia (15–32 mm in width) with five device sizes (20, 24, 27, 31, and 35 mm). It is designed for intra-LAA deployment, which prevents device contact with the left atrial wall, thus minimizing interference with the mitral valve and chance of erosion. Although it is commercially available in Europe, the Watchman FLX is not currently commercially available in the United States and is being studied in the PINNACLE FLX IDE trial.

Figure 9. The Amulet LAAO device with distal anchoring lobe (arrow) and proximal occlusion disc (asterisk).

Courtesy of Abbott Structural Heart.

Amulet

The Amulet LAAO device is a nitinol, single-body device with a distal anchoring lobe and a proximal occlusion disc (Figure 9). Because it is nitinol, the device takes on different shapes as it is gradually released from the delivery system, which allows for relatively shallow implantation. The Amulet ranges in size from 16 to 34 mm. Similar to other devices, it is delivered from a 12- to 14-F delivery sheath and released by alternatively unsheathing or pushing the device forward. The Amulet IDE trial is a recent randomized clinical trial. It has been successfully enrolled, and once the 18-month follow-up period is completed, data are expected.15 The Amulet device is not commercially available in the United States, but it is commercially available in Europe.

Wavecrest

The Wavecrest LAAO device (Biosense Webster, Inc.) consists of a polytetrafluoroethylene-covered nitinol frame with 20 anchors and is designed for relatively proximal deployment in the LAA. The device is delivered via a 15-F sheath and is available in three sizes (22, 27, and 32 mm). One unique design feature is the ability to perform distal contrast injection. The device has CE Mark approval, but it is not available for commercial use in the United States.

Figure 10. Architecture and deployment of the SeaLA LAAO device.

Courtesy of Hangzhou NuoMao Medical Technology Co., Ltd.

SeaLA

The SeaLA LAAO device (Hangzhou NuoMao Medical Technology Co., Ltd.) consists of a distal anchor disc, a proximal sealing disc, and a flex connection (Figure 10). The device is fully retrievable and repositionable, and the discs are made of braided nitinol mesh, allowing the device to adapt to variable LAA anatomies. The anchor disc has nine anchoring hooks on its outer surface and ranges in diameter from 16 to 36 mm. The sealing disc is composed of a “plate” and a “waist” that provide primary and secondary coverage of LAA orifices ranging from 21 to 41 mm. The two discs are deployed in sequence, delivered via a 9- to 12-F sheath. The first-in-human experience with this device was presented at Congenital and Structural Interventions–Frankfurt 2017.41 The SeaLA LAAO system is not yet available for commercial use.

CONCLUSION

LAAO is already widely accepted as a viable stroke risk reduction strategy in appropriate patients; however, increasing operator experience, rapid advancements in imaging technology, iterative design changes to current devices, and new device innovations are all poised to create a leapfrog effect in the field with the potential to benefit millions of patients.

Acknowledgments: The authors would like to thank Emma Weinberger (Boston Scientific Corporation) and Vico Wang (DiNova Medtech) for their assistance.

1. January CT, Wann LS, Calkins H, et al. 2019 AHA/ACC/HRS focused update of the 2014 AHA/ACC/HRS guideline for the management of patients with atrial fibrillation: a report of the American College of Cardiology/American Heart Association task force on clinical practice guidelines and the Heart Rhythm Society. J Am Coll Cardiol. 2019;74:104-132.

2. January CT, Wann LS, Calkins H, et al. 2019 AHA/ACC/HRS focused update of the 2014 AHA/ACC/HRS guideline for the management of patients with atrial fibrillation. Circulation. 2019;140:e125-e151.

3. January CT, Wann LS, Calkins H, et al. 2019 AHA/ACC/HRS focused update of the 2014 AHA/ACC/HRS guideline for the management of patients with atrial fibrillation: a report of the American College of Cardiology/American Heart Association task force on clinical practice guidelines and the Heart Rhythm Society [published online January 28, 2019]. Heart Rhythm.

4. Kirchhof P, Benussi S, Kotecha D, et al. 2016 ESC guidelines for the management of atrial fibrillation developed in collaboration with EACTS. Rev Esp Cardiol (Engl Ed). 2017;70:50.

5. Aonuma K, Yamasaki H, Nakamura M, et al. Percutaneous Watchman left atrial appendage closure for Japanese patients with nonvalvular atrial fibrillation at increased risk of thromboembolism - first results from the SALUTE trial. Circ J. 2018;82:2946-2953.

6. Boersma LV, Ince H, Kische S, et al. Evaluating real-world clinical outcomes in atrial fibrillation patients receiving the WATCHMAN left atrial appendage closure technology. Circ Arrhythm Electrophysiol. 2019;12:e006841.

7. Boersma LV, Schmidt B2, Betts TR, et al. EWOLUTION: Design of a registry to evaluate real-world clinical outcomes in patients with AF and high stroke risk-treated with the Watchman left atrial appendage closure technology. Catheter Cardiovasc Interv. 2016;88:460-465.

8. Holmes DR Jr, Kar S, Price MJ, et al. Prospective randomized evaluation of the Watchman left atrial appendage closure device in patients with atrial fibrillation versus long-term warfarin therapy: the PREVAIL trial. J Am Coll Cardiol. 2014;64:1-12.

9. Reddy VY, Holmes D, Doshi SK, et al. Safety of percutaneous left atrial appendage closure: results from the Watchman left atrial appendage system for embolic protection in patients with AF (PROTECT AF) clinical trial and the Continued Access registry. Circulation. 2011;123:417-424.

10. Reddy VY, Möbius-Winkler S, Miller MA, et al. Left atrial appendage closure with the Watchman device in patients with a contraindication for oral anticoagulation: the ASAP study (ASA Plavix feasibility study with Watchman left atrial appendage closure technology). J Am Coll Cardiol. 2013;61:2551-2556.

11. Reddy VY, Sievert H, Halperin J, et al. Percutaneous left atrial appendage closure vs warfarin for atrial fibrillation: a randomized clinical trial. JAMA. 2014;312:1988-1998.

12. Reddy VY, Doshi SK, Kar S, et al. 5-year outcomes after left atrial appendage closure: from the PREVAIL and PROTECT AF Trials. J Am Coll Cardiol. 2017;70:2964-2975.

13. Sharma D, Reddy VY, Sandri M, et al. Left atrial appendage closure in patients with contraindications to oral anticoagulation. J Am Coll Cardiol. 2016;67:2190-2192.

14. Holmes DR, Reddy VY, Buchbinder M, et al. The assessment of the Watchman device in patients unsuitable for oral anticoagulation (ASAP-TOO) trial. Am Heart J. 2017;189:68-74.

15. Lakkireddy D, Windecker S, Thaler D, et al. Rationale and design for Amplatzer Amulet left atrial appendage occluder IDE randomized controlled trial (Amulet IDE trial). Am Heart J. 2019;211:45-53.

16. Cabrera JA, Saremi F, Sanchez-Quintana D. Left atrial appendage: anatomy and imaging landmarks pertinent to percutaneous transcatheter occlusion. Heart. 2014;100:1636-1650.

17. Ho SY, Cabrera JA, Sanchez-Quintana D. Left atrial anatomy revisited. Circ Arrhythm Electrophysiol. 2012;5:220-228.

18. Veinot JP, Harrity PJ, Gentile F, et al. Anatomy of the normal left atrial appendage: a quantitative study of age-related changes in 500 autopsy hearts: implications for echocardiographic examination. Circulation. 1997;96:3112-3115.

19. Lindner S, Behnes M, Wenke A, et al. Relation of left atrial appendage closure devices to topographic neighboring structures using standardized imaging by cardiac computed tomography angiography. Clin Cardiol. 2019;42:264-269.

20. Saw J, Lopes JP, Reisman M, et al. Cardiac computed tomography angiography for left atrial appendage closure. Can J Cardiol. 2016;32:1033.e1-9.

21. van Rosendael PJ, Katsanos S, van den Brink OW, et al. Geometry of left atrial appendage assessed with multidetector-row computed tomography: implications for transcatheter closure devices. EuroIntervention. 2014;10:364-371.

22. Wang Y, Di Biase L, Horton RP, et al. Left atrial appendage studied by computed tomography to help planning for appendage closure device placement. J Cardiovasc Electrophysiol. 2010;21:973-982.

23. Korsholm K, Jensen JM, Nielsen-Kudsk JE. Cardiac computed tomography for left atrial appendage occlusion: acquisition, analysis, advantages, and limitations. Interv Cardiol Clin. 2018;7:229-242.

24. Medicine meets virtual reality. Health care in the information age. Proceedings of medicine meets virtual reality 4. San Diego, California, January 17-20, 1996. Stud Health Technol Inform. 1996;29:1-734.

25. Binder RK, Webb JG, Willson AB, et al. The impact of integration of a multidetector computed tomography annulus area sizing algorithm on outcomes of transcatheter aortic valve replacement: a prospective, multicenter, controlled trial. J Am Coll Cardiol. 2013;62:431-438.

26. Rajwani A, Nelson AJ, Shirazi MG, et al. CT sizing for left atrial appendage closure is associated with favourable outcomes for procedural safety. Eur Heart J Cardiovasc Imaging. 2017;18:1361-1368.

27. Wong DT, Bertaso AG, Liew GY, et al. Relationship of aortic annular eccentricity and paravalvular regurgitation post transcatheter aortic valve implantation with CoreValve. J Invasive Cardiol. 2013;25:190-195.

28. Hur J, Kim YJ, Lee HJ, et al. Dual-enhanced cardiac CT for detection of left atrial appendage thrombus in patients with stroke: a prospective comparison study with transesophageal echocardiography. Stroke. 2011;42:2471-2477.

29. Hur J, Pak HN, Kim YJ, et al. Dual-enhancement cardiac computed tomography for assessing left atrial thrombus and pulmonary veins before radiofrequency catheter ablation for atrial fibrillation. Am J Cardiol. 2013;112:238-244.

30. Romero J, Cao JJ, Garcia MJ, Taub CC. Cardiac imaging for assessment of left atrial appendage stasis and thrombosis. Nat Rev Cardiol. 2014;11:470-480.

31. Romero J, Husain SA, Kelesidis I, et al. Detection of left atrial appendage thrombus by cardiac computed tomography in patients with atrial fibrillation: a meta-analysis. Circ Cardiovasc Imaging. 2013;6:185-194.

32. Eng MH, Wang DD. Computed tomography for left atrial appendage occlusion case planning. Interv Cardiol Clin. 2018;7:367-378.

33. Spencer RJ, DeJong P, Fahmy P, et al. Changes in left atrial appendage dimensions following volume loading during percutaneous left atrial appendage closure. JACC Cardiovasc Interv. 2015;8:1935-1941.

34. Chinnock C. Virtual reality in surgery and medicine. Hosp Technol Ser. 1994;13:1-48.

35. Sanon S. Use of interactive virtual reality for structural heart pre-procedural planning. Presented at: Transcatheter Cardiovascular Therapeutics (TCT); September 23, 2018; San Diego, California.

36. Berti S, Paradossi U, Meucci F, et al. Periprocedural intracardiac echocardiography for left atrial appendage closure: a dual-center experience. JACC Cardiovasc Interv. 2014;7:1036-1044.

37. Masson JB, Kouz R, Riahi M, et al. Transcatheter left atrial appendage closure using intracardiac echocardiographic guidance from the left atrium. Can J Cardiol. 2015;31:1497.e7-e1497.e14.

38. Matsuo Y, Neuzil P, Petru J, et al. Left atrial appendage closure under intracardiac echocardiographic guidance: feasibility and comparison with transesophageal echocardiography. J Am Heart Assoc. 2016;5:e003695.

39. Mráz T, Neužil P, Mandysová E, et al. Role of echocardiography in percutaneous occlusion of the left atrial appendage. Echocardiography. 2007;24:401-404.

40. Thaden JJ, Sanon S, Geske JB, et al. Echocardiographic and fluoroscopic fusion imaging for procedural guidance: an overview and early clinical experience. J Am Soc Echocardiogr. 2016;29:503-512.

41. Sievert H. SeaLA: first-in-man results. Presented at: Presented at Congenital and Structural Interventions (CSI) Frankfurt (LAA Focus); November 17–18, 2017; Frankfurt, Germany.

Saurabh Sanon, MD
Tenet Health
Coral Gables, Florida
Department of Integrated Medical Science
Florida Atlantic University
Tenet Health
Boca Raton, Florida
saurabhsanon@gmail.com
Disclosures: Consultant to Edwards Lifesciences, Medtronic, Boston Scientific Corporation, Abbott Vascular, and Baylis Medical.

D. Scott Lim, MD
Department of Medicine
Division of Cardiovascular Medicine
University of Virginia
Charlottesville, Virginia
Disclosures: Reports research grants from Boston Scientific Corporation, Abbott Vascular, and Siemens.