Both the prevalence and complexity of coronary artery disease (CAD) are on the rise in the United States.1 Although the terms “complex percutaneous coronary intervention (PCI)” and/or “CHIP” (complex, high-risk, and indicated PCI) remain somewhat ambiguous, various definitions exist, including anatomic/physiologic criteria (SYNTAX, SYNTAX II). There are also designations for these terms that include procedures with elevated periprocedural mortality risk compared to “routine PCI,” such as left main PCI (1%), chronic total occlusion (CTO) PCI (0.9%), lesions with significant calcification that require atherectomy (2.3%), device-assisted PCI (7.6%), PCI in patients turned down for coronary artery bypass grafting surgery (7.0%), and PCI in patients aged ≥ 80 years (3.2%).2-8 Regardless of how it is defined, interventional cardiologists are being increasingly asked to perform complex PCI in contemporary catheterization laboratories, and this is reflected in the direct relationship between CAD complexity and appropriateness for revascularization in societal guidelines and appropriate use criteria for PCI.9,10 This has led to a resurgence in novel techniques, devices, and data in order to meet this need.

Although the ability of PCI to treat anatomically complex CAD within high-risk patient subsets has significantly improved over the past 2 decades, coronary artery calcification represents a major challenge associated with adverse outcomes during and after PCI.11,12 Treatment with PCI in this patient group remains difficult due to a number of anatomic and technical factors, including reduced vessel compliance prohibiting stent delivery and reduced ability of implanted stents to expand and appose as required, both potentially culminating in a nidus for stent failure through either restenosis or stent thrombosis.13 Despite the use of high-pressure noncompliant (NC) balloons, cutting/scoring balloons, and atherectomy technologies to modify calcium, PCI of heavily calcified lesions is associated with an increased risk for early complications (dissection, perforation, and myocardial infarction) and/or late adverse events (restenosis, stent fracture, thrombosis, and repeat revascularization).14-17

Ensuring High Standards in Calcium Modification in Complex PCI While Prioritizing Radiation Safety

In response to the unmet need for safe, reliable calcium modification for PCI, intravascular lithotripsy (IVL) has emerged as a novel therapy for the treatment of vascular calcification. IVL is based on the strategy of using acoustic pressure waves to treat renal calculi, with specific modifications in delivery to address vascular calcium. These adaptations include incorporating lithotripsy emitters on the shaft of a balloon angioplasty catheter that deliver localized, pulsatile, acoustic pressure waves circumferentially to modify vascular calcium.18 The safety and effectiveness of IVL have been reported across multiple clinical studies involving severely calcified CAD, particularly when compared to historical rates of adverse events with other types of calcium modification.19,20

In addition to increased patient-level safety issues during complex PCI, there is also increased risk to the catheterization lab team during these procedures due to increased procedural times and radiation exposure, necessitating prolonged use of wearable lead aprons. Scatter radiation exposure for cath lab personnel has been associated with a threefold increase in the incidence of various cancers and a sixfold increase in the incidence of cataracts.21-24 These risks have become increasingly apparent despite the use of standard radiation shielding in the room. With the increasing complexity of catheter-based interventions and subsequent cumulated radiation exposure over an entire career, the importance of radiation safety for health care workers has become paramount.

In addition to table- and ceiling-mounted lead shields, wearable apron shields are commonly utilized as radiation barriers in the cath lab and can remove between 80% and 97% of the incident radiation, depending on the “lead equivalency” of the shield.25 However, aprons do not cover the head, neck, arms, lateral breast, or lower legs, leaving these areas exposed to substantial scatter radiation. In addition to their imperfect radiation protection, they also result in significant orthopedic injuries with longitudinal use, with over half of interventional cardiologists reporting at least one major orthopedic injury during their career.26

EggNest Complete Radiation Protection System

The EggNest Complete Radiation Protection System (Egg Medical) is a novel radiation protection system that consists of a carbon fiber–based platform that is mounted onto the x-ray table (Figure 1). Flexible shielding (0.5-mm lead equivalence) below the table is affixed to the platform such that there is a radiation shield around the sides and head of the table that moves with the C-arm gantry. In addition, flip shields (0.5-mm lead equivalence) around the table can be rotated upwards after the patient is moved to the x-ray table to provide shielding around the patient that does not interfere with procedural performance. A ceiling- or boom-mounted clear acrylic shield (the Complete Shield) with 1-mm lead-equivalent shielding is placed over the patient, such that a cutout with a radiation-shielding fringe is placed against the patient and extends across the arm. The right arm is held in a cradle with additional radiation shielding.

Figure 1. EggNest Complete Radiation Protection System.
(Courtesy of Egg Medical)

A recent study showed that, compared to standard shielding, the EggNest Complete system significantly reduced radiation levels at all positions around the x-ray table. At the operator and assistant positions, EggNest Complete provided 98% reduction in scatter radiation dose.27 Additionally, when compared to another novel radiation protection system, Rampart (Rampart IC), the EggNest Complete system provided additional significant protection for the head of the bed and the nurse positions, illustrating how the EggNest Complete system provided substantial reduction in scatter radiation exposure to all staff member positions in the room without increasing their risk for orthopedic injury.28

This article describes use of both IVL and the EggNest system in a complex PCI case.

CASE STUDY

Case Presentation

A man in his early 70s was referred by his primary cardiologist for a second opinion regarding management of his complex CAD. He had a past medical history significant for dyslipidemia, hypertension, insulin-dependent diabetes, end-stage renal disease with prior hemodialysis (failed arteriovenous fistulas in both arms), now on peritoneal dialysis, and recently diagnosed CAD. He reported roughly 10 months of progressive dyspnea on exertion after a bout of community-acquired pneumonia. He was being considered for renal transplant, so he was sent to a local cardiologist.

An echocardiogram was obtained, showing a left ventricular ejection fraction of 50% with mild hypokinesis of the inferior walls. Given his ongoing symptoms, a nuclear stress test was performed, which showed an intermediate-risk area of inducible ischemia throughout the inferior distribution. He tried multiple antianginal medications for several months but still had lifestyle-limiting dyspnea and was sent for coronary angiography, which showed no significant left CAD along with a CTO of the dominant right coronary artery (RCA) and filling of the RCA via left-to-right collaterals.

After discussion with the patient, a decision was made to attempt CTO PCI of the RCA at that institution, which was ultimately not successful. He was then referred for consideration of repeat RCA CTO PCI.

After another discussion about the pros and cons of CTO PCI, given the patient’s ongoing lifestyle-limiting angina despite optimal medical therapy (carvedilol, isosorbide mononitrate, and ranolazine) and the large area of ischemia on his stress test, it was decided to proceed with repeat RCA CTO PCI.

Procedural Overview

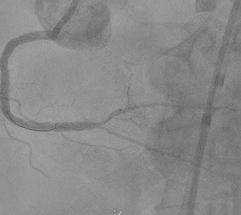
In a cath lab fitted with the Eggnest Complete system, the procedure began by achieving bifemoral access due to the patient’s bilateral arm fistulas. We placed 8-F, 45-cm sheaths in both common femoral arteries, followed by seating an 8-F, 90-cm EBU 4.0 guide catheter in the left coronary artery (LCA) and an 8-F, 100-cm AR guide catheter in the RCA. Dual angiography was performed with a workhorse wire in the LCA for protection (Figure 2A). This showed a relatively short (< 20 mm) CTO with an unambiguous proximal cap, a possible distal landing zone for anterograde dissection reentry, and possible but difficult retrograde collaterals. Therefore, we started with anterograde wiring with anterograde dissection reentry as a second option and possible retrograde wire escalation versus reverse CART (controlled antegrade and retrograde subintimal tracking) as bailout options.

Figure 2. Dual angiography of a dominant RCA CTO showing a functional CTO of the proximal RCA vessel with a short-segment (< 20 mm) CTO of the distal RCA, with an unambiguous proximal cap, reasonable distal landing zone, and difficult retrograde collaterals (A). Successful wiring into the R-PLV branch (B).

Using an 8-F Trapliner (Teleflex) in the AR guide, we took a 135-cm Corsair Pro microcatheter (Asahi Intecc) and a Runthrough wire (Terumo Interventional Systems) to the proximal cap of the RCA CTO and crossed the proximal and distal segments of the CTO with a Mongo jacketed wire (Asahi Intecc) with the wire going into the true lumen of the right posterolateral ventricular (R-PLV) branch, noted in multiple views on retrograde angiography (Figure 2B).

Unfortunately, the microcatheter would not cross the distal cap of the CTO, nor would a 1.5-mm semicompliant balloon, despite advancement of the guide extension. Given how close the microcatheter was able to get to the distal cap, we removed the Mongo wire and free-wired back into the R-PLV branch with a modified Rotofloppy wire (Boston Scientific Corporation) that had the radiopaque 0.014-inch segment cut short to facilitate wiring (Figure 3). We then performed rotational atherectomy of the CTO segment with a 1.5-mm burr over two 30-second runs, with the burr crossing the distal cap on the second run. The burr was removed and we used the microcatheter to switch the Rotofloppy wire out for the Runthrough wire. We then predilated the lesion with a 2.0-mm semicompliant balloon followed by a 2.5-mm NC balloon at nominal pressure with good expansion. Intravascular ultrasound (IVUS) was performed, showing some calcium fractures in the distal RCA but with residual concentric rings of thick calcium in the mid and proximal RCA (Figure 4).

Figure 3. How to shorten an atherectomy wire for difficult-to-cross lesions.

Figure 4. Residual thick, concentric calcium after rotational atherectomy.

We then performed IVL of the vessel with a 4-mm Shockwave C2+ balloon (Shockwave Medical), delivering all 120 pulses throughout the vessel. After that, we predilated the entire vessel with a 4-mm NC balloon with excellent expansion. Using the guide extension, we placed a 4- X 48-mm drug-eluting stent (DES) in the distal vessel, overlapped with a 4- X 38-mm DES in the mid vessel, and again overlapped with a 4- X 20-mm DES in the proximal RCA to the ostium. All stents were postdilated with a 4.5-mm NC balloon to high pressure.

Repeat IVUS showed minimum stent area > 8 mm2, no significant disease or dissection at the distal stent edge, and coverage of the RCA ostium. Angiography at this point showed TIMI (thrombolysis in myocardial infarction) grade 3 flow down the RCA and all its branches, excellent stent expansion, resolution of the 100% stenosis to 0%, and no evidence of complications (Figure 5). Repeat angiography of the LCA system showed no complications as well. We then pulled all the gear and obtained hemostasis bilaterally with Perclose devices (Abbott). All members were wearing light (0.125-mm) lead-equivalent lead aprons and real-time dosimetry badges (RaySafe) during the case. Total air kerma for the case was 2,106 mGy, with a dose area product of 201,842 mGy/cm2. Scatter radiation doses for all team members in the room were negligible (Figure 6).

Figure 5. Final angiogram after successful CTO PCI of the RCA.

Figure 6. Total radiation doses for all members of the cath lab team (mrem).

CONCLUSION

CAD complexity continues to be on the rise. Although modern-day PCI techniques have evolved to meet this clinical need, certain lesion subsets remain challenging, including significantly calcified lesions. Additionally, these more complex procedures are typically longer and expose cath lab teams to higher scatter radiation doses, increasing their risk for radiation-associated health issues including orthopedic issues from wearing heavy lead aprons. Both IVL and novel radiation protection systems have shown significant potential to keep everyone safer during these more complex procedures—both for patients and the cath lab teams that treat them. Further advancements in IVL technology will continue to show the versatility of IVL use in a wider variety of PCI cases, including testing its use in “uncrossable” lesions in the upcoming FORWARD CAD study.

The field of radiation protection will also continue to develop, noting several key components that will be necessary to ensure they provide adequate protection, including robust data regarding efficacy, ability to shield everyone in the room (not just the primary operators), versatility in utilization (eg, interventional radiology, catheterization laboratory, structural, electrophysiology, vascular surgery, emergency procedures), and seamless integration into work flow. The EggNest Complete Radiation Protection System appears to meet these needs, although future clinical study is needed as this field expands.27 Continuing development of devices that improve cath lab team safety will continue to improve safety for all during these procedures.

1. Venkitachalam L, Kip KE, Selzer F, et al. Twenty-year evolution of percutaneous coronary intervention and its impact on clinical outcomes: a report from the National Heart, Lung, and Blood Institute-sponsored, multicenter 1985-1986 PTCA and 1997-2006 Dynamic Registries. Circ Cardiovasc Interv. 2009;2:6-13. doi: 10.1161/CIRCINTERVENTIONS.108.825323

2. Singh M, Peterson ED, Roe MT, et al. Trends in the association between age and in- hospital mortality after percutaneous coronary intervention: National Cardiovascular Data Registry experience. Circ Cardiovasc Interv. 2009;2:20-26. doi: 10.1161/CIRCINTERVENTIONS.108.826172

3. Stone GW, Sabik JF, Serruys PW, et al. Everolimus-eluting stents or bypass surgery for left main coronary artery disease. N Engl J Med. 2016;375:2223-2235. doi: 10.1056/NEJMoa1610227

4. Sapontis J, Salisbury AC, Yeh RW, et al. Early procedural and health status outcomes after chronic total occlusion angioplasty: a report from the OPEN-CTO registry (outcomes, patient health status, and efficiency in chronic total occlusion hybrid procedures). JACC Cardiovasc Interv. 2017;10:1523-1534. doi: 10.1016/j.jcin.2017.05.065

5. Watt J, Austin D, Mackay D, et al. Radial versus femoral access for rotational atherectomy: a UK observational study of 8622 patients. Circ Cardiovasc Interv. 2017;10:e005311. doi: 10.1161/CIRCINTERVENTIONS.117.005311

6. Waldo SW, Secemsky EA, O’Brien C, et al. Surgical ineligibility and mortality among patients with unprotected left main or multivessel coronary artery disease undergoing percutaneous coronary intervention. Circulation. 2014;130:2295-2301. doi: 10.1161/CIRCULATIONAHA.114.011541

7. O’Neill WW, Kleiman NS, Moses J, et al. A prospective, randomized clinical trial of hemodynamic support with Impella 2.5 versus intra-aortic balloon pump in patients undergoing high-risk percutaneous coronary intervention: the PROTECT II study. Circulation. 2012;126:1717-1727. doi: 10.1161/CIRCULATIONAHA.112.098194

8. Escaned J, Collet C, Ryan N, et al. Clinical outcomes of state-of-the-art percutaneous coronary revascularization in patients with de novo three vessel disease: 1-year results of the SYNTAX II study. Eur Heart J. 2017;38:3124-3134. doi: 10.1093/eurheartj/ehx512

9. Patel MR, Calhoon JH, Dehmer GJ, et al. ACC/AATS/AHA/ASE/ASNC/SCAI/SCCT/STS 2016 appropriate use criteria for coronary revascularization in patients with acute coronary syndromes : a report of the American College of Cardiology Appropriate Use Criteria Task Force, American Association for Thoracic Surgery, American Heart Association, American Society of Echocardiography, American Society of Nuclear Cardiology, Society for Cardiovascular Angiography and Interventions, Society of Cardiovascular Computed Tomography, and the Society of Thoracic Surgeons. J Nucl Cardiol. 2017;24:439-463. doi: 10.1007/s12350-017-0780-8

10. Fihn SD, Blankenship JC, Alexander KP, et al. 2014 ACC/AHA/AATS/PCNA/SCAI/STS focused update of the guideline for the diagnosis and management of patients with stable ischemic heart disease: a report of the American College of Cardiology/American Heart Association Task Force on Practice Guidelines, and the American Association for Thoracic Surgery, Preventive Cardiovascular Nurses Association, Society for Cardiovascular Angiography and Interventions, and Society of Thoracic Surgeons. J Thorac Cardiovasc Surg. Mar 2015;149:e5-23. doi:10.1016/j.jtcvs.2014.11.002

11. Vandermolen S, Abbott J, De Silva K. What’s age got to do with it? a review of contemporary revascularization in the elderly. Curr Cardiol Rev. 2015;11:199-208. doi: 10.2174/1573403x10666141020110122

12. Nishida K, Kimura T, Kawai K, et al. Comparison of outcomes using the sirolimus-eluting stent in calcified versus non-calcified native coronary lesions in patients on- versus not on-chronic hemodialysis (from the j-Cypher registry). Am J Cardiol. 2013;112:647-655. doi: 10.1016/j.amjcard.2013.04.043

13. Alfonso F, Macaya C, Goicolea J, et al. Determinants of coronary compliance in patients with coronary artery disease: an intravascular ultrasound study. J Am Coll Cardiol. 1994;23:879-884. doi: 10.1016/0735-1097(94)90632-7

14. Chambers JW, Feldman RL, Himmelstein SI, et al. Pivotal trial to evaluate the safety and efficacy of the orbital atherectomy system in treating de novo, severely calcified coronary lesions (ORBIT II). JACC Cardiovasc Interv. 2014;7:510-518. doi: 10.1016/j.jcin.2014.01.158

15. Yamamoto MH, Maehara A, Karimi Galougahi K, et al. Mechanisms of orbital versus rotational atherectomy plaque modification in severely calcified lesions assessed by optical coherence tomography. JACC Cardiovasc Interv. 2017;10:2584-2586. doi: 10.1016/j.jcin.2017.09.031

16. Kini AS, Vengrenyuk Y, Pena J, et al. Optical coherence tomography assessment of the mechanistic effects of rotational and orbital atherectomy in severely calcified coronary lesions. Catheter Cardiovasc Interv. 2015;86:1024-1032. doi: 10.1002/ccd.26000

17. Mangieri A, Nerla R, Castriota F, et al. Cutting balloon to optimize predilation for stent implantation: The COPS randomized trial. Catheter Cardiovasc Interv. 2023;101:798-805. doi: 10.1002/ccd.30603

18. Kereiakes DJ, Virmani R, Hokama JY, et al. Principles of intravascular lithotripsy for calcific plaque modification. JACC Cardiovasc Interv. 2021;14:1275-1292. doi: 10.1016/j.jcin.2021.03.036

19. Kereiakes DJ, Hill JM, Shlofmitz RA, et al. Intravascular lithotripsy for treatment of severely calcified coronary arteries: 2-year results-Disrupt CAD III study. JACC Cardiovasc Interv. 2023;16:2472-2474. doi: 10.1016/j.jcin.2023.07.010

20. Kereiakes DJ, Di Mario C, Riley RF, et al. Intravascular lithotripsy for treatment of calcified coronary lesions: patient-level pooled analysis of the Disrupt CAD studies. JACC Cardiovasc Interv. 2021;14:1337-1348. doi: 10.1016/j.jcin.2021.04.015

21. Andreassi MG, Piccaluga E, Guagliumi G, et al. Occupational health risks in cardiac catheterization laboratory workers. Circ Cardiovasc Interv. 2016;9:e003273. doi: 10.1161/CIRCINTERVENTIONS.115.003273

22. Roguin A, Goldstein J, Bar O, Goldstein JA. Brain and neck tumors among physicians performing interventional procedures. Am J Cardiol. 2013;111:1368-1372. doi: 10.1016/j.amjcard.2012.12.060

23. Rajaraman P, Doody MM, Yu CL, et al. Incidence and mortality risks for circulatory diseases in US radiologic technologists who worked with fluoroscopically guided interventional procedures, 1994-2008. Occup Environ Med. 2016;73:21-27. doi: 10.1136/oemed-2015-102888

24. Brateman L. Radiation safety considerations for diagnostic radiology personnel. Radiographics. 1999;19:1037-1055. doi: 10.1148/radiographics.19.4.g99jl231037

25. Stam W, Pillay M. Inspection of lead aprons: a practical rejection model. Health Phys. 2008;95(suppl 2):S133-S136. doi: 10.1097/01.HP.0000314763.19226.86

26. Klein LW, Tra Y, Garratt KN, et al. Occupational health hazards of interventional cardiologists in the current decade: Results of the 2014 SCAI membership survey. Catheter Cardiovasc Interv. 2015;86:913-924. doi: 10.1002/ccd.25927

27. Riley RF, Kamen J, Tao A, Gomez-Cardona D. Comparative effectiveness of the EggNest complete shielding system to standard shielding in the Cath lab. Am Heart J Plus. Published online April 10, 2025. doi: 10.1016/j.ahjo.2025.100543

28. Kidd S, Riley RF, Power J, et al. A comparison of two next-generation scatter radiation shielding systems. J Am Coll Cardiol Intv. 2025;18(4 suppl):S84. https://www.jacc.org/doi/10.1016/j.jcin.2025.01.315


In the US: Rx Only. Prior to use, please reference the Important Safety Information on indications, contraindications, warnings, precautions, and adverse events. www.shockwavemedical.com/IFU

Please contact your local Shockwave representative for specific country availability.

Robert F. Riley, MD, MS
Overlake Medical Center & Clinics
Bellevue, Washington
Disclosures: Speakers bureau and consultant for Shockwave Medical, Boston Scientific, Abbott, and Egg Medical; advisory board member for Boston Scientific and Egg Medical; stock ownership with Vantis Medical and Egg Medical.