Radiology Associates of North Texas: Lightning Flash CAVT Experience

By Robert Sanchez, MD; Justin Sacks, MD; Robert Reuter, MD; Kent Walker, MD; Prakash Gajera, MD; and Justin McCaslin, MD

Our practice at Radiology Associates of North Texas treats a high volume of pulmonary embolism (PE) composed of intermediate-high-risk and high-risk patients. We are continually searching for treatment options to advance the PE landscape and strengthen our referral pathways.

Since the launch of Lightning Flash™ (Penumbra, Inc.), our practice has used Computer Assisted Vacuum Thrombectomy (CAVT) for our treatment of PE. In the past, we have used a combination of Lightning® 12 (Penumbra, Inc.), large-bore aspiration thrombectomy, catheter-directed thrombolysis, and ultrasound-assisted catheter-directed thrombolysis. Penumbra’s newest innovation, Lightning Flash, offers a lower-profile, moderate-bore thrombectomy catheter, designed to prioritize safety, minimize blood loss, and expedite procedure times.

As interventionalists, it is important to keep in mind the clinical endpoints we look to achieve in our PE cases. These include improvements in heart rate (HR), blood pressure (BP), pulmonary artery (PA) pressure, oxygen level, and visible angiographic improved perfusion.

In our practice, Penumbra’s Flash had an average device time of 13 minutes and average total case time of 38 minutes for PE treatment. Additionally, Lightning Flash had an average estimated blood loss (EBL) of 194 mL and consistent hemoglobin levels pre- and postprocedure, highlighting the system’s efficiency and blood loss mitigation capabilities. We saw significant drops in PA pressure and HR of 24% and 12%, respectively (Table 1). These on-table improvements instill confidence in our radiology practice when treating our PE patients with Lightning Flash.

Utilizing a device designed for speed, safety, and simplicity has pioneered a shift away from first-generation technologies toward the more advanced approach known as CAVT. Lightning Flash’s microprocessor has dual clot detection algorithms that are designed to allow for quick clot recognition, removal and, subsequently, reduced blood loss in our PE cases. Furthermore, we have seen decreased blood loss and quicker clot removal in the new generation of Penumbra’s technology from Lightning 12 to Lightning Flash, emphasizing the rapid advancement in their technologies. The upgraded bore of the catheter from 12 F to 16 F allows for expedited clot removal. Additionally, Lightning Flash achieves excellent trackability and maneuverability engineered with a soft, atraumatic tip design. Due to the device’s ease of use and procedural success, CAVT has become our preferred treatment modality for our PE patients.


Bilateral PE Treated With CAVT

Robert Sanchez, MD
Interventional Radiology
UT Health East Texas and Christus Trinity Mother Francis
Radiology Associates of North Texas
Tyler, Texas
Disclosures: None.

PATIENT PRESENTATION

A man in his mid-70s presented with a bilateral PE. The patient has a history of both deep vein thrombosis (DVT) and PE occurring 7 years ago. Initial diagnostic testing revealed a troponin of 295.9 mg/mL, B-type natriuretic peptide (BNP) of 70 pg/mL, and a hemoglobin of 13.5 g/dL. The PE was discovered via CT from an external facility; the patient was then transferred to our practice the same day (Figure 1 and Figure 2). The patient presented with a BP of 141/97 mm Hg, HR of 80 bpm, and oxygen saturation of 95% on 40 L/min on a 50% non-rebreather.

Figure 1. Right lobe initial angiogram.

Figure 2. Left lobe initial angiogram.

INTERVENTION

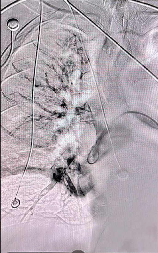
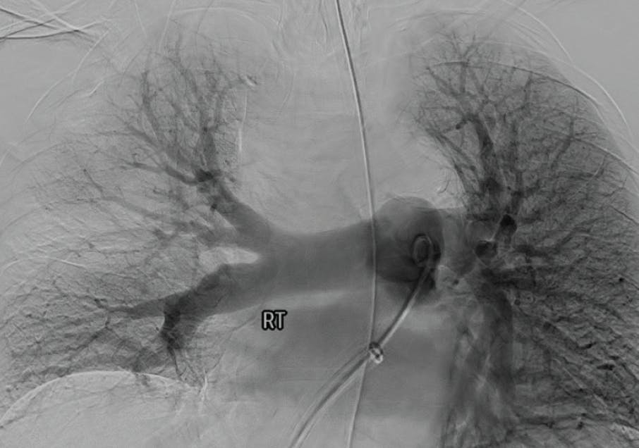
Based on evaluation, we decided to pursue aspiration thrombectomy utilizing Lightning Flash through a 16-F, 65-cm Gore DrySeal sheath (Gore & Associates). We achieved access in the right femoral vein. The device time was 17 minutes, and the total procedure time was 30 minutes (Figure 3, Figure 4, Figure 5, and Figure 6). At the conclusion of the case, the total EBL was 175 mL, the patient had BP of 112/67 mm Hg, HR of 65 bpm, and oxygen saturation of 99% on 3 L nasal cannula.

Figure 3. Post-thrombectomy lower right lobe angiogram.

Figure 4. Post-thrombectomy upper right lobe angiogram.

Figure 5. Post-thrombectomy left lobe angiogram.

Figure 6. Clot removed.


Aspiration Thrombectomy With Lightning Flash for Treatment of Bilateral PE

Justin Sacks, MD
Interventional Radiologist
UT Health East Texas and Christus Trinity Mother Francis
Radiology Associates of North Texas
Tyler, Texas
Disclosures: None.

PATIENT PRESENTATION

A woman in her early 70s presented with bilateral PE. Initial diagnostic testing revealed a troponin of 467 mg/mL, BNP of 396 pg/mL, and hemoglobin of 11.7 g/dL. The patient presented with a BP of 128/62 mm Hg on BP medication with a HR of 72 bpm and oxygen saturation of 92% on 5 L nasal cannula. She had no history of previous DVT or PE. The PE was discovered via CT, and we intervened the same day (Figure 1 and Figure 2).

Figure 1. Right initial angiogram.

Figure 2. Left initial angiogram.

INTERVENTION

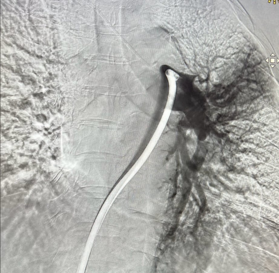
Based on the evaluation, the decision was made to pursue aspiration thrombectomy using the Lightning Flash device. The opening PA pressures were 33/12 mm Hg (mean, 20 mm Hg) and closed with 18/3 mm Hg (mean, 8 mm Hg), taken through the 16-F, 65-cm Gore DrySeal sheath, showing a significant drop in pressure. The device time of Lightning Flash was 6 minutes, and the total procedure time was 55 minutes (Figure 3, Figure 4, and Figure 5). By the conclusion of the case, the EBL was 100 mL and postprocedure BP was 122/63 mm Hg, HR was 54 bpm, and oxygen saturation was 97% on 2 L nasal cannula.

Figure 3. Right post-thrombectomy angiogram.

Figure 4. Left post-thrombectomy angiogram.

Figure 5. Clot removed.


PE Thrombus Removal With Lightning Flash

Robert Reuter, MD
Interventional Radiologist
UT Health East Texas and Christus Trinity Mother Francis
Radiology Associates of North Texas
Tyler, Texas
Disclosures: None.

PATIENT PRESENTATION

A man in his mid-40s with bilateral PE was transferred to our facility. A CTA was performed to confirm the PE, along with pre- and postechocardiograms (Figure 1 and Figure 2). The patient had no known history of previous DVT or PE. Heparin was stopped 8 hours prior to treatment, and 3,000 units were administered intraprocedurally. Diagnostic testing revealed a troponin of 869 mg/mL and hemoglobin of 12.7 g/dL. The patient presented with a BP of 137/97 mm Hg and was tachycardic with a HR of 120 bpm.

Figure 1. Right initial angiogram.

Figure 2. Left initial angiogram.

INTERVENTION

After initial evaluation, the decision was made to use aspiration thrombectomy to remove the PE thrombus. We utilized a 16-F, 65-cm Gore DrySeal sheath through the right femoral vein. Penumbra’s Lightning Flash was used for a device time of 10 minutes (Figure 3, Figure 4, and Figure 5). The total procedure time was only 20 minutes. With the conclusion of the case, we had an EBL of 120 mL and a postprocedure BP of 120/87 mm Hg. The HR decreased substantially to 98 bpm, and the oxygen saturation improved to 100% on room air.

Figure 3. Right post-thrombectomy angiogram.

Figure 4. Left post-thrombectomy angiogram.

Figure 5. Clot removed.

CONCLUSION

In our interventional practice, my colleagues and I have provided either intraarterial pharmacologic thrombolysis or mechanical thrombectomy to our patients with pulmonary emboli. Currently, we lean strongly in favor of mechanical thrombectomy. The Lightning Flash system provides rapid, safe, and effective therapy for these patients. It has become our go-to device.


Intermediate-High-Risk PE Treated With CAVT

A. Jody Mintz, DO, FACC, FSCAI, RPVI
Interventional Cardiology, Vascular Medicine
Columbia University Medical Center
New York, New York
Disclosures: Speaker for Penumbra.

PATIENT PRESENTATION

A patient in her early 60s presented with fatigue, sudden onset of sharp chest pain, and shortness of breath. Initial evaluation revealed resting tachycardia of 120 bpm with a BP of 93/80 mm Hg and an oxygen saturation of 84% on room air. Additionally, the patient had elevated troponin and BNP. A CT pulmonary angiogram (CTPA) revealed an extensive thrombotic burden involving all five lobes, with an elevated right ventricular/left ventricular (RV/LV) ratio of 1.3 (Figure 1). Parenteral anticoagulation was administered, and after discussion with the PE response team, she was transferred for advanced therapy. Based on the patient’s symptoms, the decision was made to pursue thrombus extraction with Lightning Flash due to the device’s moderate-bore profile and trackability.

Figure 1. Right and left initial angiograms.

INTERVENTION

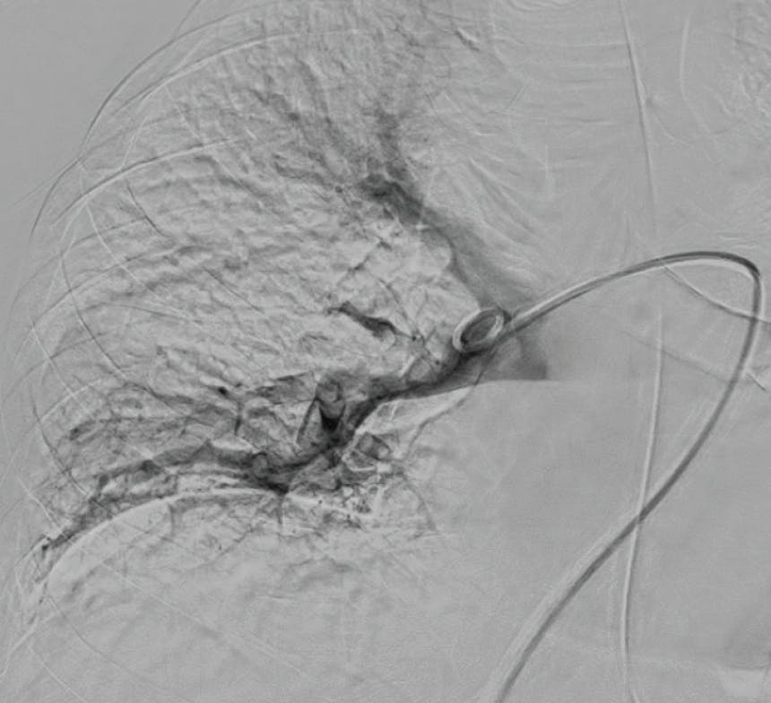
Access was achieved in the right common femoral vein (CFV), and initial diagnostics revealed an elevated mean PA pressure of 34 mm Hg. After selection of the right lower lobar PA, the venotomy site was dilated over a wire and a 16-F, 33-cm Gore DrySeal sheath was placed. Under fluoroscopic guidance, a 16-F, 100-cm Lightning Flash XTORQ was advanced into the right PA and two passes were performed. Subsequently, the device was tracked into the left PA and two additional passes were performed. Figure 2 shows the amount of clot extracted. Reassessment of hemodynamics revealed improvement in mean PA pressure from 34 to 17 mm Hg, reflecting an on-table drop of 17 mm Hg. Additionally, selective bilateral pulmonary angiography showed significant improvement in perfusion (Figure 3). By the conclusion of the case, the patient was weaned from FiO2 of 15 L/min to room air.

Figure 2. Clot removed.

Figure 3. Post-thrombectomy right and left angiograms.

CONCLUSION

In this case, an intermediate-high-risk PE was managed quickly with low procedural times, rapid thrombus extraction, and expedited symptomatic and hemodynamic improvement due to the utilization of CAVT. The moderate-bore Lightning Flash catheter provides a versatile size that may be used in a variety of clinical scenarios. Specifically for this PE thrombectomy, the navigable catheter was tracked to the main PA as easily as the subsegmental branches, and stayed atraumatic.


PE Thrombectomy Using Lightning Flash

Heba Fouad, MD
Interventional Radiology
Ochsner LSU Health
Shreveport, Louisiana
Disclosures: None.

PATIENT PRESENTATION

A patient in his late 50s presented to the emergency department (ED) with fatigue, shortness of breath, and emesis. The patient had previous medical history of hypertension, diabetes, and anemia. Initial diagnostics showed elevated levels of high-sensitivity troponin I at 482.8 ng/L, a HR of 104 bpm, and oxygen saturation of 91%. A transthoracic echocardiogram revealed mildly dilated RV size with mildly reduced ventricular systolic function. Evaluation of imaging and diagnostics confirmed a submassive saddle PE with right heart strain due to an RV/LV ratio of 1.9 (Figure 1, Figure 2, and Figure 3). The decision was made to pursue mechanical thrombectomy with Lightning Flash for the acute submassive PE.

Figure 1. CTPA showing a submassive saddle PE.

Figure 2. Initial angiogram.

Figure 3. Preprocedural venogram.

INTERVENTION

Access was obtained in the right femoral vein. The mean PA pressure before thrombectomy was 29 mm Hg. CTPA revealed acute bilateral PE in the bilateral lobar and main PAs (Figure 1). Thrombectomy was performed with the 16-F Lightning Flash device and resulted in < 50 mL of blood loss. A postprocedure pulmonary angiogram revealed successful mechanical thrombectomy with establishment of flow from the PAs to both lungs (Figure 4 and Figure 5). The patient’s HR decreased to 81 bpm, and his oxygen sats increased to 100%. The patient’s final high-sensitivity troponin I levels were measured at 123.8 ng/L. With a minimal 4-day hospital length of stay and no postprocedural complications, this PE procedure with Lightning Flash was successful.

Figure 4. Post-thrombectomy angiogram.

Figure 5. Clot removed.

CONCLUSION

Penumbra offers the only CAVT on the market. Coupled with the maximum aspiration power of –29 in Hg coming from the Penumbra ENGINE™ (Penumbra, Inc.), the dual clot detection algorithms allowed for the quick removal of thrombus with, minimal blood loss as seen in our case of 50 mL.


PE Thrombectomy in an Intermediate-High-Risk Patient With Lightning Flash

Brian Schiro, MD
Interventional Radiology
Baptist Health South Florida/Miami Cardiac & Vascular Institute
Miami, Florida
Disclosures: Speaker for Penumbra, Medtronic, and Cook Medical; consultant to Philips and Portola Medical.

PATIENT PRESENTATION

A patient in his early 60s was admitted with bowel obstruction and colonic mass. The patient underwent resection 6 days prior and had an acute episode of shortness of breath and chest pain. Initial evaluation revealed a HR of 111 bpm, BP of 115/59 mm Hg, and oxygen saturation of 83%. Troponin I was 0.81 ng/mL and pro-BNP was 2,080 pg/mL. CTA revealed a large amount of thrombus concentrated within the right PA (Figure 1). There was evidence of right heart strain with an elevated RV/LV ratio of 1.35, and echocardiogram displayed right heart dysfunction.

Figure 1. Initial angiogram of right PA

Based on the patient’s lab results, they were placed at the intermediate-high-risk category for pulmonary thromboembolism and, subsequently, the decision was made to pursue CAVT with Lightning Flash.

INTERVENTION

Access was achieved in the right CFV. Initial diagnostic testing revealed a PA pressure of 53/28 mm Hg. The 16-F Lightning Flash device was advanced into the right PA, and the flow switch was turned on to deliver continuous aspiration to the thrombus (Figure 2). By the conclusion of the case, there was complete resolution of thrombus and an EBL of < 200 mL. Postprocedure PA pressure was 38/17 mm Hg (Figure 3 and Figure 4). The patient experienced immediate clinical improvement in oxygen saturation and HR as well as resolved shortness of breath following the intervention.

Figure 2. Preprocedural venogram.

Figure 3. Post-thrombectomy angiogram.

Figure 4. Clot removed.

CONCLUSION

Penumbra’s CAVT is designed to provide a fast, safe, and simple solution for clinical improvement in patients with acute pulmonary thromboembolism. CAVT has been performed safely at our practice in patients at high risk of bleeding, including those with recent surgery, recent hemorrhage, and patients with cancer.


Submassive Saddle PE Treated With Lightning Flash

Abdullah Rifai, MD, FACC, FSCAI, RPVI
Interventional Cardiologist
Advocate Heart Institute
Hazel Crest, Illinois
Disclosures: Speaker for Penumbra and Inari Medical.

PATIENT PRESENTATION

A patient in her early 40s with history of PE, severe obesity, hypertension, and iron deficiency presented to the ED with extreme shortness of breath. CT scan showed a saddle PE extending down the right PA in addition to several small distal thrombi; the thrombus extended to the PA bifurcation, almost completely occluding flow to the segmental arteries throughout the right lung (Figure 2).

Figure 1. Left lobe initial angiogram.

Figure 2. Right lobe initial angiogram.

On the left, there was thrombus in the proximal left pulmonary artery (Figure 1). Initial evaluation showed stable hemodynamics except for tachycardia, with a HR of 115 bpm, and revealed BP of 145/110 mm Hg, mild tachypnea, and 98% saturation on 2 L of oxygen. The patient had an RV/LV ratio of 1.4, indicating right heart strain. An echocardiogram showed mildly dilated right ventricle and mild systolic dysfunction, an estimated systolic pressure of 50 mm Hg.

Cardiac enzymes including troponin and proBNP were both elevated; in the setting of submassive PE, the decision was made to pursue aspiration thrombectomy with Lightning Flash, with the goal of preserving RV function and preventing the development of pulmonary hypertension. The challenging point was the presence of saddle PE, pulmonary hypertension, and severe obesity.

INTERVENTION

Access was obtained in the right groin, and an angiogram was performed to confirm the patency of the inferior vena cava and the iliac veins. Over the wire, a 16-F, 33-cm Gore DrySeal sheath was placed, and a Swan-Ganz PA catheter was advanced to the PA to measure the hemodynamics and measure the cardiac output. After exchanging for the 16-F Lightning Flash aspiration catheter in the right lung, aspiration thrombectomy was initiated (Figure 3).

Figure 3. Intraprocedural angiogram.

Upon confirming vessel patency and thrombus removal with an angiogram (Figure 4, Figure 5, and Figure 6), right heart catheterization from the side port was performed, showing a significant drop in PA pressure from systolic 67 down to 49 mm Hg and excellent hemostasis. By the conclusion of the case, the patient no longer required supplemental oxygen, had no chest pain or shortness of breath, and experienced no significant bleeding. The patient was cleared for discharge the next day.

Figure 4. Post-thrombectomy right lobe angiogram.

Figure 5. Post-thrombectomy left lobe angiogram.

Figure 6. Clot removed.

CONCLUSION

Penumbra’s Lightning Flash was effective in the aspiration thrombectomy of the saddle PE. This device is a strong option in morbid obese patients and those with chronic thromboembolic pulmonary hypertension.

Drs. Walker, Gajera, and McCaslin have no disclosures related to this article.

Disclaimer: The opinions and clinical experiences presented herein are for informational purposes only. The results may not be predictive of all patients. Individual results may vary depending on a variety of patient-specific attributes.