Balloon pulmonary angioplasty (BPA) has gained increasing acceptance for treating chronic thromboembolic pulmonary hypertension (CTEPH).1 Although current complication rates are elevated with rates ranging from 15.8% to 32.5%, prior research suggests that the rate declines with increased operator volume and experience.2 This article utilizes a case study to illustrate best practices for the technical execution of safe and effective BPA.

IMAGING, ACCESS, AND DEVICE SELECTION

Nonselective invasive pulmonary angiography guides initial segment targeting in BPA, aiming to identify pulmonary segments where revascularization provides optimal benefit with the lowest predicted procedural risk. Lower lobe segments are prioritized due to their greater blood supply proportion.3 Recommendations include treating one lung per session, allowing selective intubation and ventilation of the unintervened lung in the event of pulmonary artery branch perforation.4 Contrast per BPA session is advised not to exceed three times the glomerular filtration rate, with a radiation dose limited to < 2 Gy.

Although upper extremity and jugular vein access for BPA are also feasible, femoral vein access is preferred.5 Segmental cannulation involves coronary guide catheters, sometimes in conjunction with a telescoping guide extension catheter. Subselective pulmonary angiography (SSPA) is then performed in orthogonal projections using diluted contrast, avoiding routine digital subtraction to limit radiation exposure. The goal is to delineate segmental and subsegmental branch anatomy, identify lesions, and assess venous return during levophase. Inspiratory breath holds are often required for optimal visualization during SSPA. Once lesions are identified, workhorse nonhydrophilic coronary guidewires and undersized compliant coronary balloons are recommended for lesion crossing and initial dilatation in most cases.

CASE EXAMPLE

A woman in her mid 60s with World Health Organization (WHO) functional class 3 dyspnea underwent an echocardiogram and ventilation/perfusion scan, revealing concerns about CTEPH. She had a history of deep venous thrombosis in her right leg. Right heart catheterization and nonselective invasive pulmonary angiography confirmed predominantly distal CTEPH (Table 1 and Figure 1). CT with contrast depicted generally healthy lung parenchyma exhibiting areas of high and low perfusion (mosaicism). Following a multidisciplinary discussion involving experts in pulmonary endarterectomy, endovascular BPA, pulmonary hypertension, and thoracic radiology, the patient was referred for BPA.

Figure 1. Successful BPA of right A4 with confirmatory assessment involved a pressure gradient evaluation through a pressure catheter.

STEP-BY-STEP APPROACH TO BPA

BPA Session 1

In this session, the right lung A4, A5, and A8 segments underwent treatment. Segmental cannulation was performed using a JR4 guide catheter, with A4 subsegmental cannulation utilizing a telescoping guide extension catheter. Lesions were crossed with a Sion blue guidewire (Asahi Intecc Medical, Inc.). Although the A4 segment appeared patent, suspicion of intravascular webbing arose during SSPA. Confirmatory assessment involved a pressure gradient evaluation through a pressure catheter, exploring alternatives such as a pressure wire or careful advancement of a guide extension catheter over the wire in the subsegmental vessels. A5 and A8 segments exhibited subtotal occlusions, which were also treated by sequential dilation using semicompliant balloons until brisk venous return was observed on SSPA (Figure 1).

BPA Session 2

Treatment extended to right segments A7, A9, and A10. Cannulation employed a JR4 guide catheter. A7 and A10 segments showed intravascular webbing, addressed similarly to right A4 in the previous session. The A9 segment presented with a total occlusion at the distal segmental branch level. Initial lesion crossing involved a Sion blue guidewire with a supporting 0.014-inch crossing catheter, followed by the use of an undersized 2-mm balloon for dilatation, considering the high risk of reperfusion edema with total occlusions (Figure 2).

Figure 2. Successful BPA of the right A7 subsegment.

BPA Session 3

The left lower lobe A9 and A10 segments were successfully treated in this session. Notably, due to significant tortuosity in the distal subsegmental branches of the left A10 segment, extra precautions involved maintaining a J-wire loop distally to minimize the risk of distal branch perforation (Figure 3).

Figure 3. Successful BPA of the left lower lobe A9 subsegment.

BPA Session 4

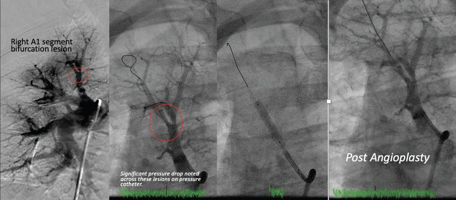
This session focused on the successful treatment of right upper lobe segments A1 and A3. Cannulation utilized an MPA-2 guide catheter with a telescoping guide extension catheter. Presence of ring-like stenosis at the bifurcation of the RA1 and RA3 segmental branches prompted sequential dilation with a buddy wire in place (Figure 4).

Figure 4. Successful BPA of the right upper lobe A1 segments.

BPA Sessions 5 & 6

Lingular segments (A4-5) were addressed during these sessions, employing a Champ 2.5 guiding catheter for selective cannulation. Left A4 segment exhibited intravascular webbing, which was managed as previously described. Left A5 segment presented tandem focal stenoses in the segmental branch, followed by a total occlusion in the superior subsegmental branch. The proximal focal stenosis was dilated first, allowing safe lesion crossing and subsequent successful dilatation in the occluded distal subsegmental branch (Figure 5).

Figure 5. Successful BPA of the right upper lobe A5 segments and pre- and post-BPA pressure tracings.

CASE CONCLUSION

The patient reported significant symptomatic improvement, achieving WHO class 1 status. The 6-minute walk distance increased to 244 m at 12 months and 326 m at 14 months from a baseline of 210 m pre-BPA. Notably, the right-sided cardiac hemodynamic profile also significantly improved (Table 1).

RATIONALE FOR APPROACH

The approach to managing CTEPH emphasizes the importance of a multidisciplinary team, incorporating expertise in diagnostic imaging, pulmonary endarterectomy (PEA), BPA, and medical management of CTEPH. Once CTEPH is diagnosed, treatment decisions are guided by several factors, including the anatomic location of the disease. Disease affecting levels 1 through 3, as identified on nonselective invasive pulmonary angiography, is typically considered suitable for surgical intervention via PEA, provided the patient's condition permits. In contrast, level 4 disease, which involves more distal pulmonary arteries, is generally better managed with BPA, especially because effective surgical outcomes for such distal disease are achievable only at select specialized centers. Patient-specific factors, such as symptom burden, hemodynamic impairments, and contraindications to surgery (eg, advanced age or comorbidities), also play a critical role in determining the appropriate treatment pathway.

BPA is often preferred for patients with CTEPH who do not exhibit pulmonary hypertension (PH) at rest but still experience symptoms due to other underlying conditions, such as exercise-induced PH or ventilatory inefficiency. The treatment strategy must also account for additional considerations, such as the patient's ability to tolerate interruptions in anticoagulation therapy and the condition of the deep venous system, which is necessary for percutaneous access during BPA. The goal of BPA is comprehensive revascularization by dilating all treatable lesions, a process that typically requires multiple sessions due to limitations in contrast volume, radiation exposure, and procedural duration. On average, four to eight BPA sessions are necessary to achieve optimal outcomes, with follow-up protocols varying between treatment centers.

CONCLUSION

This report underscores the intricate nature of clinical decision-making and the unique aspects of safe and effective BPA performance. Continued efforts are warranted to further refine procedural techniques, optimize procedural equipment, and cultivate expertise among physicians in this evolving field.

1. Fukui S, Ogo T, Morita Y, et al. Right ventricular reverse remodelling after balloon pulmonary angioplasty. Eur Respir J. 2014;43:1394-1402. doi: 10.1183/09031936.00012914

2. Yang JZ, Poch DS, Ang L, et al. Balloon pulmonary angioplasty in the current era of CTEPH treatment: how did we get here? Pulm Circ. 2023;13:e12312. doi: 10.1002/pul2.12312

3. Ogawa A, Satoh T, Fukuda T, et al. Balloon pulmonary angioplasty for chronic thromboembolic pulmonary hypertension: results of a multicenter registry. Circ Cardiovasc Qual Outcomes. 2017;10:e004029. doi: 10.1161/CIRCOUTCOMES.117.004029

4. Rich L, Patel N, Hyder SN, et al. Safe and effective balloon pulmonary angioplasty in the outpatient setting: the Michigan Medicine experience. J Soc Cardiovasc Angiogr Interv. 2023;2:100589. https://doi.org/10.1016/j.jscai.2023.100589

5. Velázquez M, Maneiro N, Lareo A, et al. Selective segmental pulmonary angiography: anatomical, technical and safety aspects of a must-learn technique in times of balloon pulmonary angioplasty for chronic thromboembolic pulmonary hypertension. J Clin Med. 2021;103358. doi: 10.3390/jcm10153358

Ahmad Jabri, MD
Division of Cardiovascular Medicine
Department of Internal Medicine
Henry Ford Hospital
Detroit, Michigan
Disclosures: None.

Anas Alameh, MD
Division of Cardiovascular Medicine
Department of Internal Medicine
Henry Ford Hospital
Detroit, Michigan
Disclosures: None.

Bryan Kelly, DO
Division of Pulmonary Medicine
Department of Internal Medicine
Henry Ford Hospital
Detroit, Michigan
Disclosures: None.

Vikas Aggarwal, MD, MPH
Division of Cardiovascular Medicine
Department of Internal Medicine
Henry Ford Hospital
Detroit, Michigan
vaggarw2@hfhs.org
Disclosures: None.