Coronary CTA has transformed how patients with suspected coronary artery disease (CAD) are evaluated clinically. Coronary CTA is gaining popularity due to its ability to reliably rule out obstructive CAD while also identifying patients who are appropriate candidates for coronary revascularization. Furthermore, coronary CTA provides information regarding coronary plaque characteristics, identifies vulnerable features, and determines plaque burden in the coronary tree in its entirety. In this article, the authors discuss the current role of coronary CTA in lesion-specific ischemia assessment and the evaluation of vulnerable plaque.

LESION-SPECIFIC ISCHEMIA EVALUATION

Evaluation of CAD

Cardiovascular imaging plays a major role in CAD management, and technical advancements in coronary imaging have resulted in a multimodality approach. Several prospective clinical trials involving patients with acute or stable symptoms indicate that coronary CTA is associated with a reduction in diagnostic ambiguity and myocardial infarction as compared to conventional care.1-4 When utilized appropriately in a low- to intermediate-risk population, coronary CTA accurately identifies patients who have no CAD or nonobstructive CAD with non–flow-limiting lesions and do not need any further testing.5 Management is also straightforward in patients with severe obstructive CAD, as guidelines recommend revascularization based on medically refractory symptoms and location of stenosis.6 However, a common clinical challenge remains regarding the evaluation of patients with moderate, possibly flow-limiting stenosis identified on coronary CTA.

Combining Coronary CTA With Fractional Flow Reserve

Invasive coronary angiography (ICA) was historically used to diagnose obstructive CAD, and the decision to revascularize was solely based on anatomic assessment of stenosis severity, resulting in a rise in the number of revascularization procedures and procedure-related complications. Invasive fractional flow reserve (FFR) was developed to assess the coronary physiology of the detected stenotic lesion that would benefit from revascularization. In the FAME trial, FFR-guided percutaneous coronary intervention (PCI) reduced the rates of major adverse cardiovascular events (MACE) compared to angiography-guided PCI.7 Additionally, based on the DEFER trial, coronary interventions can be safely deferred regardless of the obstruction severity in lesions with an FFR > 0.80.8 Current revascularization guidelines recommend physiologic assessment of stenotic lesions with treatment targeted only at functionally significant lesions. These principles guided the development of noninvasive FFR utilizing coronary CTA.

Coronary CTA provides a qualitative assessment of the atherosclerosis burden and can identify or rule out obstructive CAD, and it offers high sensitivity and negative predictive value for the identification of obstructive CAD. However, it comes with the limitation of low specificity and positive predictive value, and it overestimates the severity of stenosis and does not provide information about the hemodynamic significance of the stenotic lesion. The discovery of FFRCT made it possible to evaluate the combined anatomic and physiologic significance of the obstructive lesion using coronary CTA. This combined anatomic-physiologic assessment allows for improved clinical decision-making, which results in greater event-free survival and reduces unnecessary revascularization.

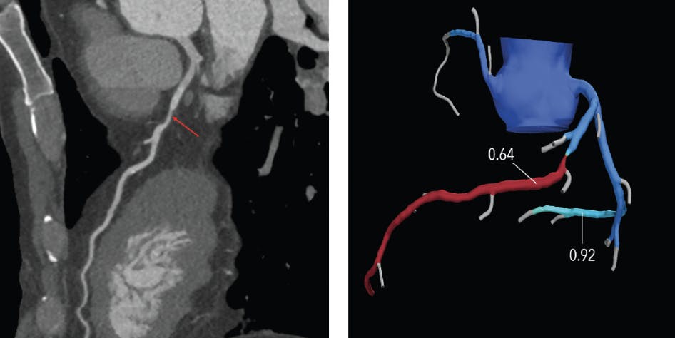
FFRCT is the alternative method to obtain lesion-specific ischemia assessment when deemed necessary across any stenotic lesion within the coronary tree from a coronary CTA (Figure 1). Although invasive FFR is the gold standard, it is acquired only during the invasive procedure and only detects the pressure gradient within the targeted vessel, as defined by the interventionalist. Furthermore, invasive FFR is not regularly assessed in clinical practice due to the extended time required for the procedure, greater radiation exposure, and the requirement for the administration of adenosine. FFRCT, on the other hand, can be added to coronary CTA for lesion-specific physiologic assessment without the need for a separate procedure, resulting in no additional radiation or contrast administration.

Figure 1. FFRCT of the left anterior descending artery indicating a flow-limiting lesion.

Clinical Implications of FFRCT

FFRCT was developed to aid in decision-making regarding ICA after anatomic diagnosis of CAD using coronary CTA.9 It is currently being clinically utilized in patients with stable angina. FFRCT results are reported as normal (> 0.80), borderline (0.76-0.80), and abnormal (≤ 0.75) based on the physiology of the stenotic lesion. Additionally, translesional gradient (ΔFFRCT) may add incremental value to decision-making regarding ICA referral, particularly for those with an FFRCT of 0.76 to 0.80.

FFRCT is useful in adjudicating borderline lesions or moderate (50%-70%) stenosis detected on coronary CTA with questionable functional significance. Additionally, it is useful in determining the physiologic significance of high-grade stenoses (> 70%). This information is crucial because a considerable proportion of these high-grade lesions are not physiologically significant and do not need ICA. In the ADVANCE registry, one or more 70%-90% stenoses determined by coronary CTA were found in 24% of the 5,081 patients.10 Interestingly, 25% (n = 384) of these lesions were not functionally significant as determined by FFRCT. In high-grade stenosis, FFRCT helps in downward reclassification and avoidance of unnecessary ICA.

Considering the physiology of obstructive lesions in multivessel disease, the functional SYNTAX score was developed using invasive angiography. The functional SYNTAX score demonstrated a better predictive accuracy for the occurrence of MACE compared to the anatomic SYNTAX score.11 Against this background, a noninvasive functional SYNTAX score was developed utilizing FFRCT. As with the invasive technique, the noninvasive functional SYNTAX score is calculated by recalculating the SYNTAX score while only including lesions that cause ischemia (ie, FFRCT < 0.80), thus providing a full anatomic and physiologic risk assessment that allows for discussion prior to intervention or catheterization and aids in procedural planning. However, agreement in the SYNTAX score between modalities should be considered in the context of disease severity and calcification extent, as these characteristics have been demonstrated to impair accurate coronary CTA assessment. Additional evidence is necessary, especially in patients with multivessel disease.

FFRCT and Outcomes

The PLATFORM study evaluated the impact of measuring FFRCT and standard of care on patient selection for ICA at 90 days in patients with stable chest pain. For patients who did undergo invasive angiography in the FFRCT arm, just 12% did not have obstructive CAD. In contrast, 73% of patients in the usual care arm who underwent invasive angiography had no obstructive disease. Investigators showed that 61% of angiograms were canceled in the FFRCT-guided arm after receiving functional and anatomic data from the imaging test. This was followed by a 1-year outcome study, which demonstrated that care guided by CTA and selective FFRCT was associated with equivalent clinical outcomes (MACE) and lower cost compared to usual care.12

Clinical outcomes were investigated in the large prospective ADVANCE registry, which enrolled 5,083 clinically stable and symptomatic patients diagnosed with CAD on CTA.10 At 1 year, the patients with negative FFRCT had low rates of revascularization and a trend toward lower MACE and a significantly lower rate of cardiovascular death or myocardial infarction compared with the patients with abnormal FFRCT. In addition, coronary CTA plus FFRCT was shown to have improved the ratio of revascularization to ICA.

In addition, Nørgaard et al investigated the real-world clinical outcomes after a diagnostic strategy including first-line coronary CTA with selective FFRCT in 3,674 patients with stable chest pain. After a median follow-up of 24 months, higher rates of MACE were reported in patients with an FFRCT < 0.8 if treated medically than in patients treated medically who had an FFRCT > 0.8. Individuals with an FFRCT of < 0.8 referred for ICA appeared to have a lower risk of nonfatal myocardial infarction.13

In addition to prospective and observational studies, there has been one randomized trial done to assess the effect of FFRCT on cost and clinical outcomes. A recently published FORECAST randomized study assessed whether routine use of FFRCT is superior to the standard clinical pathway in patients presenting with stable angina to rapid-access chest pain clinics.14 In this study, there was no significant difference in cost savings or clinical outcomes between coronary CTA plus selective FFR and the standard clinical approach. However, ICA was used less in the coronary CTA plus FFR-based strategy compared to standard care.

Diagnostic Performance of FFRCT

Measurement of FFR during ICA is the gold standard for identifying coronary artery lesions that cause ischemia. The diagnostic performance of noninvasive FFRCT was validated in multiple prospective multicenter studies, and it is now FDA approved. DISCOVER-FLOW was the first trial that compared FFRCT with invasive angiography and showed that FFRCT and FFR correlated well with minimal underestimation by FFRCT.15 This was followed by the DeFACTO study, which showed that at the patient level, when FFRCT was added to CT, it improved diagnostic accuracy versus CT alone, mainly driven by high sensitivity as well as specificity.16 Another large study that compared FFRCT with invasive angiography is the NXT trial, which indicated high diagnostic accuracy and discrimination for the diagnosis of hemodynamically significant CAD.17 Furthermore, noninvasive CT–derived FFR has better specificity and positive predictive value in detecting hemodynamically significant lesions. In a study by Driessen et al, FFRCT showed higher diagnostic performance compared to standard coronary CTA, single-photon emission CT, and positron emission tomography for vessel-specific ischemia, providing improved discrimination of ischemia beyond any other noninvasive tests.18

The precise interpretation of coronary CTA and FFRCT depends on image quality, especially in patients with high heart rate, arrhythmias, severe calcifications, and other artifacts. Numerous studies have evaluated the impact of image quality, severe calcifications, and artifacts on FFRCT diagnostic accuracy.16,19,20 What we know based on current evidence is that poor image quality due to misalignment, motion, and severe calcifications negatively affects the diagnostic performance of FFRCT. Studies have also shown that the use of β-blocker and nitroglycerin administration before coronary CTA improves diagnostic performance.

Future Directions

The ability of FFRCT to measure ischemia at any point along the vessel and in relation to the stenosis may increase our understanding of lesion-specific ischemia. Additionally, ΔFFRCT may give a more precise estimate of lesion-induced ischemia because it reflects the pressure decrease caused by a specific stenosis. More evidence is needed to validate the prognostic value of ΔFFRCT. Furthermore, coronary CTA and FFRCT may play a role in planning coronary interventions because the majority of patients have incomplete revascularization with current approaches. However, evidence for the use of FFRCT to guide interventions is currently lacking. Finally, while the evidence supporting FFRCT use in clinical practice is currently primarily limited to observational studies and one randomized controlled trial (RCT; FORECAST), the ongoing PRECISE and FUSION trials will provide insights into the relative effectiveness of a combined CTA and FFRCT strategy versus existing standard of care.

EVALUATION OF VULNERABLE PLAQUE

Advancements in CT technology have enabled the detection of coronary artery stenosis and the definition of plaque characteristics on coronary CT. Several features of CT imaging, including excellent spatial resolution (0.3-0.6 mm), temporal resolution (80 ms), cardiac volume coverage, slice thickness, and reconstruction algorithms, allow for the capture of high-quality images to characterize and quantify plaque burden. The plaque phenotypes are clinically significant because it is believed that vulnerable plaques have a higher tendency to rupture and cause acute coronary syndrome.

Imaging High-Risk Plaque

Plaques can be classified broadly based on their dense calcium components, high-risk features known as vulnerable plaques, or the American Heart Association histopathology classification system. High-risk plaques identified on coronary CTA are known to demonstrate features such as low-attenuation plaque, positive remodeling, napkin-ring sign, and spotty calcification (Figure 2). While it is hypothesized that vulnerable plaques are responsible for most myocardial infarctions, not all plaques with such features lead to an acute event. The atherosclerotic plaque type most commonly associated with culprit lesions is a thin-cap fibroatheroma (< 65 μm), which is characterized by a large necrotic or lipid core separated from the vessel lumen by a thin layer of epithelial cells. These observations suggest that not only the presence but also the evolution and progression of high-risk plaque pose a greater cardiovascular risk.

Figure 2. Coronary atherosclerotic vulnerable plaque features as seen on coronary CTA. Positive remodeling (A), napkin-ring sign (B), spotty calcification (C), and low-attenuation plaque (D).

While intravascular plaque assessment approaches have contributed significantly to our understanding of the pathophysiologic mechanisms behind plaque formation, intracoronary assessment of a single coronary artery identifies only a subset of high-risk plaques. Additionally, intracoronary assessment of multiple vessels via intravascular ultrasound and intravascular optical coherence tomography are inconvenient and are not clinically appropriate in all patients undergoing cardiac catheterization. Conversely, coronary CTA is a noninvasive technology that can provide an assessment of coronary tree in its entirety with improved precision and reproducibility. Furthermore, serial imaging with coronary CTA is a simple and safe procedure to perform in patients with high-risk plaques and can be used to assess the effects of pharmacologic therapy on vulnerable plaques and overall plaque burden.

Software applications used to assess plaque characteristics are becoming more sophisticated. Numerous postprocessing software programs (eg, QAngio, Medis Medical Imaging; and Cleerly, Inc.) have simplified the assessment of coronary plaque volume and the identification of vulnerable plaque features. Furthermore, novel software (Elucid Bioimaging Inc.), validated using histology, is used to evaluate vulnerable plaque features such as lipid-rich necrotic core content, intraplaque hemorrhage, and fibrous cap thickness using coronary CTA. Despite significant advancements in coronary plaque evaluation, evidence to support the use of plaque composition and high-risk features in clinical practice is weak.

High-Risk Plaque and Outcomes

Prominent prospective trials, such as PROMISE and SCOT-HEART,21,22 indicate that high-risk plaque is independently related to MACE. The results of a secondary analysis of the PROMISE trial, which included 4,415 symptomatic patients with suspected CAD, indicated that the presence of high-risk plaque as determined by coronary CTA (eg, positive remodeling, low CT attenuation, or napkin-ring sign) was independently associated with future MACE over a 2-year follow-up period.21

According to post hoc analysis of the SCOT-HEART trial involving 1,769 participants, the incidence of coronary heart disease death or nonfatal myocardial infarction was three times more frequent in patients with adverse plaque compared to those without. Furthermore, patients with obstructive disease and adverse plaque had a 10-fold increase in rate of coronary heart disease death or nonfatal myocardial infarction at 5 years.22 A subsequent analysis of the SCOT-HEART trial found that low-attenuation plaque burden is the strongest predictor of fatal or nonfatal myocardial infarction.23

In the 3V FFR-FRIENDS study, CTA and FFRCT were performed in all vessels in 299 patients (772 vessels) with three-vessel disease (> 30% stenosis), and the number of high-risk plaque characteristics was associated with adverse cardiac outcomes in deferred lesions (FFR > 0.8). These findings suggest that integration of both physiological stenosis severity and plaque vulnerability would provide better prognostic stratification of patients than either individual component alone.24

Future Directions

Coronary CTA is a noninvasive, precise, low-cost, and safe imaging modality for the evaluation of plaque characteristics and plaque burden. There is much debate over the characteristics of high-risk plaque and their relationship to cardiovascular outcomes.24 Although there is some evidence to support the theory that vulnerable plaque is an independent predictor of cardiovascular outcomes, all of the current knowledge comes from observational and prospective studies. Furthermore, there are no RCTs evaluating the impact of medical therapy on high-risk plaque and cardiovascular outcomes. As a result, existing evidence indicates that the knowledge gained via imaging of the vulnerable plaque is currently of uncertain significance pending RCTs.

CONCLUSION

Coronary CT is a valuable tool in the evaluation of lesion-specific ischemia utilizing FFRCT. FFRCT can be used to assess the hemodynamic significance of anatomic stenoses, thereby adjudicating borderline lesions. It also aids in the downward classification of high-grade stenoses, therefore preventing unnecessary ICA. Additionally, further knowledge gained from FFRCT can be used in planning invasive coronary interventions by serving as a roadmap prior to complex procedures. Furthermore, coronary CTA provides an opportunity to assess plaque burden and vulnerability in the entire coronary tree by identifying high-risk plaque features and allowing serial assessment of these high-risk plaques over time. Although FFRCT and coronary CTA assessment of vulnerable plaque have many clinical utilities, further large-scale, RCTs are needed to evaluate the benefit/effect of these imaging tools on clinical outcomes and changes in clinical practice guidelines.

1. Newby D, Adamson PD, Berry C, et al. SCOT-HEART investigators. Coronary CT angiography and 5-year risk of myocardial infarction. N Engl J Med. 2018;379:924-933. doi: 10.1056/NEJMoa1805971

2. Bittencourt MS, Hulten EA, Murthy VL, et al. Clinical outcomes after evaluation of stable chest pain by coronary computed tomographic angiography versus usual care. Circ Cardiovasc Imaging. 2016;9:e004419. doi: 10.1161/CIRCIMAGING.115.004419

3. El-Hayek G, Benjo A, Uretsky S, et al. Meta-analysis of coronary computed tomography angiography versus standard of care strategy for the evaluation of low risk chest pain: are randomized controlled trials and cohort studies showing the same evidence? Int J Cardiol. 2014;177:238-245. doi: 10.1016/j.ijcard.2014.09.012

4. Foy AJ, Dhruva SS, Peterson B, et al. Coronary computed tomography angiography vs functional stress testing for patients with suspected coronary artery disease: a systematic review and meta-analysis. JAMA Intern Med. 2017;177:1623-1631. doi: 10.1001/jamainternmed.2017.4772

5. LaMont DH, Shavelle DM, Brundage BH, Hagar JH. Coronary calcium scanning identifies patients with false positive stress tests. Circulation. 1997;96:1706-1707.

6. Lawton JS, Tamis-Holland JE, Bangalore S, et al. 2021 ACC/AHA/SCAI guideline for coronary artery revascularization: a report of the American College of Cardiology/American Heart Association Joint Committee on Clinical Practice Guidelines. J Am Coll Cardiol. 2022;79:e21-e129. doi: 10.1016/j.jacc.2021.09.006

7. Tonino PAL, De Bruyne B, Pijls NHJ, et al. Fractional flow reserve versus angiography for guiding percutaneous coronary intervention. N Engl J Med. 2009;360:213-224. doi: 10.1056/NEJMoa0807611

8. Pijls NHJ, van Schaardenburgh P, Manoharan G, et al. Percutaneous coronary intervention of functionally nonsignificant stenosis: 5-year follow-up of the DEFER study. J Am Coll Cardiol. 2007;49:2105-2111. doi: 10.1016/j.jacc.2007.01.087

9. Dahal S, Budoff MJ. Failed ISCHEMIA trial or failed ischemia testing? J Invasive Cardiol. 2020;32:E83-E85.

10. Patel MR, Nørgaard BL, Fairbairn TA, et al. 1-year impact on medical practice and clinical outcomes of FFRCT: the ADVANCE registry. JACC: Cardiovasc Imaging. 2020;13:97-105. doi: 10.1016/j.jcmg.2019.03.003

11. Nam CW, Mangiacapra F, Entjes R, et al. Functional SYNTAX score for risk assessment in multivessel coronary artery disease. J Am Coll Cardiol. 2011;58:1211-1218. doi: 10.1016/j.jacc.2011.06.020

12. Douglas PS, De Bruyne B, Pontone G, et al. 1-year outcomes of FFRCT-guided care in patients with suspected coronary disease: the PLATFORM study. J Am Coll Cardiol. 2016;68:435-445. doi: 10.1016/j.jacc.2016.05.057

13. Nørgaard BL, Terkelsen CJ, Mathiassen ON, et al. Coronary CT angiographic and flow reserve-guided management of patients with stable ischemic heart disease. J Am Coll Cardiol. 2018;72:2123-2134. doi: 10.1016/j.jacc.2018.07.043

14. Curzen N, Nicholas Z, Stuart B, et al. Fractional flow reserve derived from computed tomography coronary angiography in the assessment and management of stable chest pain: the FORECAST randomized trial. Eur Heart J. 2021;42:3844-3852. doi: 10.1093/eurheartj/ehab444

15. Koo BK, Erglis A, Doh JH, et al. Diagnosis of ischemia-causing coronary stenoses by noninvasive fractional flow reserve computed from coronary computed tomographic angiograms. Results from the prospective multicenter DISCOVER-FLOW (Diagnosis of Ischemia-Causing Stenoses Obtained Via Noninvasive Fractional Flow Reserve) study. J Am Coll Cardiol. 2011;58:1989-1997. doi: 10.1016/j.jacc.2011.06.066

16. Leipsic J, Yang TH, Thompson A, et al. CT angiography (CTA) and diagnostic performance of noninvasive fractional flow reserve: results from the Determination of Fractional Flow Reserve by Anatomic CTA (DeFACTO) study. AJR Am J Roentgenol. 2014;202:989-994. doi: 10.2214/AJR.13.11441

17. Nørgaard BL, Leipsic J, Gaur S, et al. Diagnostic performance of noninvasive fractional flow reserve derived from coronary computed tomography angiography in suspected coronary artery disease: the NXT trial (analysis of coronary blood flow using CT angiography: next steps). J Am Coll Cardiol. 2014;63:1145-1155. doi: 10.1016/j.jacc.2013.11.043

18. Driessen RS, Danad I, Stuijfzand WJ, et al. Comparison of coronary computed tomography angiography, fractional flow reserve, and perfusion imaging for ischemia diagnosis. J Am Coll Cardiol. 2019;73:161-173. doi: 10.1016/j.jacc.2018.10.056

19. Di Jiang M, Zhang XL, Liu H, et al. The effect of coronary calcification on diagnostic performance of machine learning-based CT-FFR: a Chinese multicenter study. Eur Radiol. 2021;31:1482-1493. doi: 10.1007/s00330-020-07261-2

20. Xu PP, Li JH, Zhou F, et al. The influence of image quality on diagnostic performance of a machine learning-based fractional flow reserve derived from coronary CT angiography. Eur Radiol. 2020;30:2525-2534. doi: 10.1007/s00330-019-06571-4

21. Ferencik M, Mayrhofer T, Bittner DO, et al. Use of high-risk coronary atherosclerotic plaque detection for risk stratification of patients with stable chest pain: a secondary analysis of the PROMISE randomized clinical trial. JAMA Cardiol. 2018;3:144-152. doi: 10.1001/jamacardio.2017.4973

22. Williams MC, Moss AJ, Dweck M, et al. Coronary artery plaque characteristics associated with adverse outcomes in the SCOT-HEART study. J Am Coll Cardiol. 2019;73:291-301. doi: 10.1016/j.jacc.2018.10.066

23. Williams MC, Kwiencinski J, Doris M, et al. Low-attenuation noncalcified plaque on coronary computed tomography angiography predicts myocardial infarction. Circulation. 2020;141:1452-1462. doi: 10.1161/CIRCULATIONAHA.119.044720

24. Lee JM, Choi KH, Koo BK, et al. Prognostic implications of plaque characteristics and stenosis severity in patients with coronary artery disease. J Am Coll Cardiol. 2019;73:2413-2424. doi: 10.1016/j.jacc.2019.02.060

Venkat S. Manubolu, MD, MPH
Advanced Cardiac Imaging Fellow
Department of Cardiology
Lundquist Institute
Harbor-UCLA
Torrance, California
venkat.manubolu@lundquist.org
Disclosures: None.

Matthew J. Budoff, MD
Professor of Medicine, UCLA
Endowed Chair of Preventive Cardiology
Department of Cardiology
Lundquist Institute
Harbor-UCLA
Torrance, California
budoff@ucla.edu
Disclosures: Receives research support from General Electric (GE) and funding support from the National Institutes of Health (NIH).