Left atrial appendage occlusion (LAAO) has emerged as an effective stroke prevention strategy in selected patients with nonvalvular atrial fibrillation.1 Given the prophylactic indication for LAAO and the high-risk features of patients referred for it, careful planning is paramount to minimize the risk of the procedure and optimize its outcomes. This is particularly true considering the remaining procedural challenges with LAAO, such as the significant variations in the size, shape, and orientation of the LAA; the limitations of the commonly used occluders; and the difficulty in obtaining coaxial alignment with the LAA using fixed curve sheaths. Therefore, pre- and intraprocedural imaging is key to the safety and success of LAAO and requires effective dialogue between the interventionalist and the procedural imager before, during, and after the procedure. This article summarizes the required imaging data needed to optimize the LAAO procedure from the interventionalist’s point of view.

PREPROCEDURAL ASSESSMENT

Transesophageal echocardiography (TEE) remains the most commonly used imaging modality to plan for and guide LAAO worldwide (Figure 1). However, there is a growing interest in cardiac CTA (CCTA) for preprocedural planning and postprocedural surveillance (Figure 2).2,3 Regardless of the chosen imaging modality, the essential data needed by the interventionalist to achieve safe and efficient LAAO include determinants of LAA suitability for closure and predictors of a challenging LAA procedure (Table 1).

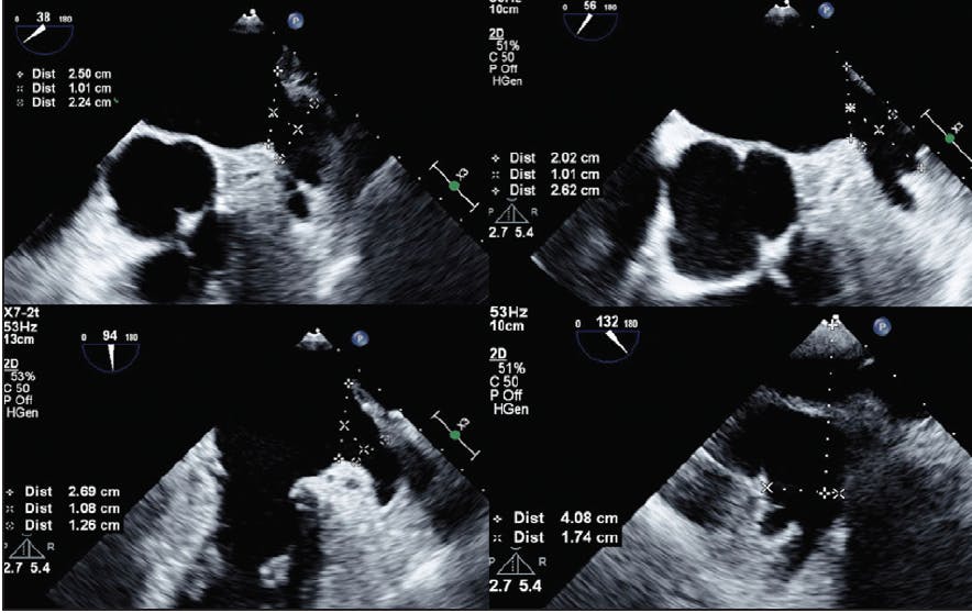
Figure 1. Sizing of the LAA for implanting an Amulet device (Abbott) using two-dimensional TEE.

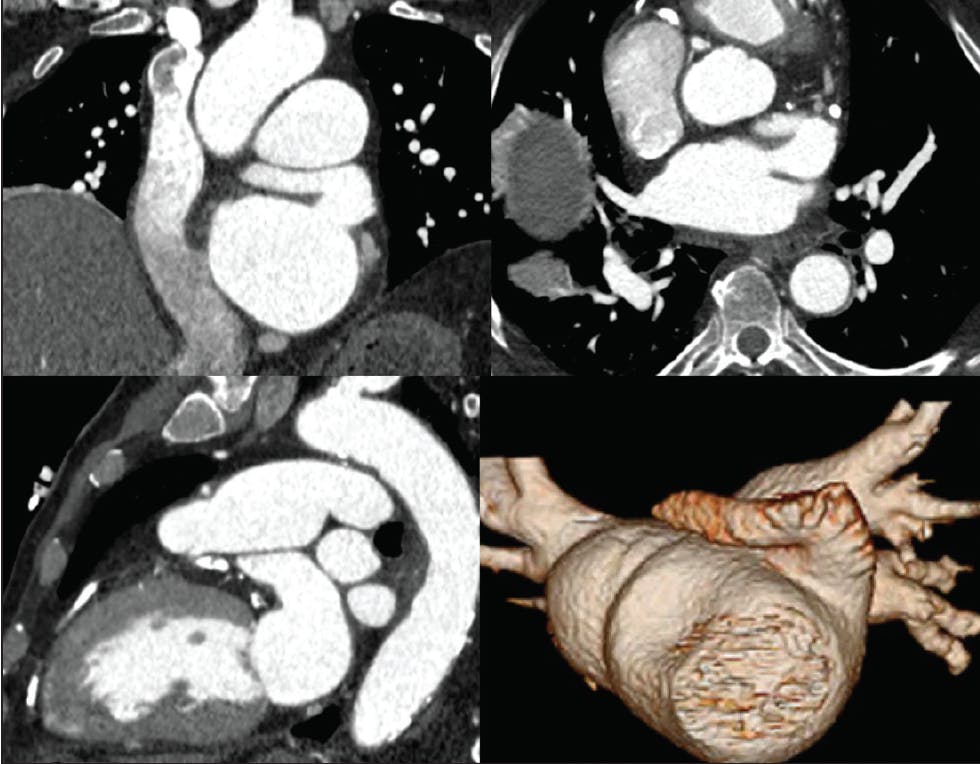
Figure 2. Sizing of the LAA for implanting a Watchman device using CCTA.

Determining the Suitability of the LAA for Closure

This is the most critical aspect of patient screening and requires familiarity with the specific anatomic requirements for various LAA occluders.

LAA sizing.  The diameter and depth of the LAA are the two most important elements needed for anatomic suitability screening. Unfortunately, there is considerable variability in measuring and reporting those dimensions in clinical practice. For example, an LAA with an acute chicken wing anatomy may be reported to have a 32-mm depth, but only 16 to 18 mm of this depth can be used to perform the LAAO procedure. Similarly, the ostial diameter is commonly measured at a different location than the intended landing zone for the specific device. Although several landmarks can be used to report those dimensions (eg, left circumflex coronary artery), the best ostial and depth measurements for the procedure are those that are performed by an interventional imager who is (1) familiar with the LAAO devices used in their interventional lab and (2) able to envision/simulate device deployment while performing the screening imaging. Essentially, the operator needs to know if the LAA is amenable for closure with a certain LAA occluder. Published sizing criteria can be a useful guide to determine suitability for LAA closure4; however, they cannot replace the foresight of an experienced interventional imager who can simulate the implant either conceptually or with the use of advanced imaging techniques (three-dimensional [3D] TEE reconstruction, 3D printing, or CCTA simulator software).

Excluding intracardiac thrombi.  The absence of a discrete or impending LAA thrombus is considered a prerequisite for safe LAAO, although there are published reports of LAAO in patients with LAA thrombi.5,6 The absence of LAA thrombus is readily discernible with two-dimensional TEE, but it often requires the administration of echocardiographic contrast agents in uncertain cases. When CCTA is used, delayed imaging is crucial to distinguish delayed LAA filling from LAA thrombus. Ruling out other intracardiac thrombi is equally important; this includes careful excluding of left atrial thrombi in patients with severely dilated or stiff left atrium, apical thrombi in patients with reduced left ventricular function, and lead/catheter-associated thrombi in patients with pacemakers or chronic indwelling catheters.

Assessing concomitant cardiac disease.  Patients with nonvalvular atrial fibrillation are often managed by primary care providers and may not necessarily have had cardiac imaging prior to their referral for LAAO. Hence, it is essential to perform a detailed assessment of ventricular and valvular functions in these patients. The presence of severe mitral regurgitation or severe aortic stenosis might require consideration of surgical or transcatheter intervention. The presence of calcified mitral annulus with moderate mitral stenosis would classify the patient’s atrial fibrillation as valvular, where LAAO is currently not indicated. Severe eccentric tricuspid regurgitation needs to be considered as a potential source of right-to-left shunt via the iatrogenic atrial septal defect (ASD) after the LAAO procedure.7,8 Other key findings that might alter the procedural planning include factors that may suggest potential futility (eg, end-stage cardiomyopathy) or the presence of competing risk factors for stroke (eg, a large patent foramen ovale with right-to-left shunt or a substantial amount of mobile aortic atherosclerotic lesions).

Predicting Difficulties With LAAO

LAA Lobe Anatomy

Given the wide variability in the shapes and segmentation of the LAA and assuming that the reduction of stroke risk requires adequate coverage of all the “true” trabeculated surfaces of the LAA, it is essential to carefully evaluate the characteristics of lobulated LAAs. This has important implications for determining suitability for closure and predicting peridevice leaks. An LAA that bifurcates into two or three lobes distally with a short dividing septum is likely amenable to closure, whereas closing a proximal divided LAA with two large discrete lobes may be challenging or not feasible.9,10

LAA Topographic Orientation

The ability to close the LAA with endocardial devices is often hampered by its orientation. Anteriorly angulated LAAs are often more challenging to close due to the difficulties associated with gaining a coaxial alignment with the long axis of the appendage using fixed shape nonsteerable sheaths (Figure 3). Posteriorly oriented major lobes are more amenable to closure even when depth seems borderline. Hence, reporting the orientation of the major lobes of the LAA can aid in determining the feasibility of closure and selecting the appropriate device and/or sheath for the procedure.

Figure 3. CCTA showing a challenging anterior chicken wing anatomy for LAAO.

Transseptal Puncture Planning

Evaluating the intra-atrial septum should include two essential components: (1) whether there are septal features that will likely lead to a difficult transseptal puncture (eg, atrial septal aneurysm, fibrotic or hypertrophied septum, prior surgical patch or percutaneous occluder), and (2) the ideal crossing location to produce the best coaxial trajectory into the LAA.11 The classic teaching has been to aim low and posterior on the fossa ovalis. However, a more anterior crossing has been found to be more useful in certain LAA anatomies.11,12 Although predicting the septal crossing location is best achieved with CCTA, an interventional imager with LAAO experience would be able to forecast that location from comprehensive TEE.

INTRAPROCEDURAL GUIDANCE

Verification of the absence of LAA thrombus is the standard first step of intraprocedural imaging. After this is performed, efficient communication between the operator and the imager requires the use of standardized terminology and reasonable mutual expectations. Describing catheter maneuvers in the LA usually follows the same nomenclature that is commonly used for other left atrial procedures (eg, 3D TEE surgeon view in guiding MitraClip [Abbott]). When positioned in the LAA, a simple description of the sheath’s orientation and motion as deep/shallow and anterior/posterior is adequate to achieve its optimal positioning. In multilobulated LAA, it is important to note the presence of rigid ridges between the lobes because landing distally in one of these lobes will inevitably result in snatching of the distal feet within that lobe, preventing full expansion of the device.

Once the device is implanted, a detailed assessment of the implantation using the recommended manufacturer criteria is performed. For the Watchman device (Boston Scientific Corporation), this includes evaluation of the position, anchoring, size, and seal of the device (also known as the PASS criteria). The ideal position of the device is distal to or at the ostium of the LAA. By convention, the ostium of the LAA is considered to be at the cross-section of the left circumflex coronary artery. Adequate device anchoring is proven by observing the fixation anchors engaged in the LAA wall and/or by ensuring the stability of the device with a tug test. Proper sizing is confirmed with the presence of > 8% to 20% compression of the device original size in multiple TEE views. Finally, assessing device seal requires careful spanning of the LAA with 0° to 135° TEE imaging to ensure that all the lobes are covered. If a significant peridevice leak is present, it is important for the operator to recognize its location and its etiology because this will determine the possible remediation strategies (Figure 4). If the leak is a result of a titled device due to noncoaxial deployment, attempts can be made to reorient the device by maneuvering the sheath, exchanging it to a different sheath shape, or even obtaining a different septal crossing location.9 On the other hand, if the leak is a result of a proximal uncovered lobe or a large ostium, a two-device strategy can be entertained before aborting the procedure.10 The manufacturer’s criteria for device release varies between devices, and familiarity with those various criteria by both the operator and the imager is key to enhance the safety of the procedure.

Figure 4. Illustration of the various mechanisms of peridevice leaks after LAAO. Titled LAAO device due to noncoaxial deployment (A). Multilobar LAA (B). Proximal off-axis side lobe (C). Shallow implantation (D). Reprinted with permission from Alkhouli M, Chaker Z, Clemetson E, et al. Incidence, characteristics and management of persistent peri-device flow after percutaneous left atrial appendage occlusion. Structural Heart. 2019;3:491-498.

Throughout the procedure and the immediate postprocedural phase, the interventional imager plays a critical role in the early detection and treatment of procedural complications.11,13 For example, the early identification of bubbles in the pericardial space near the LAA allows the operator to modify procedural techniques and anticoagulation strategies to mitigate an impending tamponade. Similarly, immediate assessment of the intra-atrial septum at the conclusion of the procedure can detect septal tears or substantial left-to-right or right-to-left shunting via the iatrogenic ASD that may facilitate real-time treatment.

POSTPROCEDURAL GUIDANCE

In current practice, the LAA is considered adequately excluded from the systemic circulation if there is a < 5-mm leak around the device on follow-up imaging, typically with TEE or CCTA at 45 days after the LAAO procedure. Ideally, a detailed description of the number of peridevice leaks, their location, and their potential mechanisms should be provided to aid the operator in determining the possible management strategies for inadequately sealed LAAs (additional closure with coils or plug versus continuation of oral anticoagulation).14 If CCTA is used for imaging after LAAO, it is essential to report whether a persistent opacification of the LAA is due to peridevice leak versus intrafabric leak.15 In addition to assessing adequacy of closure, follow-up imaging can diagnose late complications, such as device-related thrombus, device migrations, and physiologically relevant persistent iatrogenic ASD.7,8,16

CONCLUSION

The success of LAAO relies heavily on optimal imaging. Those are best achieved with an interventional imager who is invested in all stages of the procedure, including preprocedural planning, intraprocedural guidance, and postprocedural surveillance. Concerted collaborative efforts between the interventional imager and the procedural operator are key to further refining the LAAO procedure, optimizing its outcomes, and incorporating newer imaging technology.17-20

1. Holmes DR Jr, Alkhouli M, Reddy V. Left atrial appendage occlusion for the unmet clinical needs of stroke prevention in nonvalvular atrial fibrillation. Mayo Clin Proc. 2019;94:864-874.

2. Korsholm K, Berti S, Iriart X, et al. Expert recommendations on cardiac computed tomography for planning transcatheter left atrial appendage occlusion. JACC Cardiovasc Interv. 2020;13:277-292.

3. Eng MH, Wang DD. Computed tomography for left atrial appendage occlusion case planning. Interv Cardiol Clin. 2018;7:367-378.

4. Vainrib AF, Harb SC, Jaber W, et al. Left atrial appendage occlusion/exclusion: procedural image guidance with transesophageal echocardiography. J Am Soc Echocardiogr. 2018;31:454-474.

5. Bordignon S, Bologna F, Chen S, et al. Percutaneous left atrial appendage closure in the presence of thrombus: a feasibility report. J Cardiovasc Electrophysiol. 2019;30:2858-2863.

6. Dugo D, Bordignon S, Konstantinou A, et al. Locked away: percutaneous closure of a malignant left atrial appendage to constrain an unresolvable thrombus. Circ Arrhythm Electrophysiol. 2016;9:e004127.

7. Alkhouli M, Sarraf M, Zack CJ, et al. Iatrogenic atrial septal defect following transseptal cardiac interventions. Int J Cardiol. 2016;209:142-148.

8. Alkhouli M, Sarraf M, Holmes DR. Iatrogenic atrial septal defect. Circ Cardiovasc Interv. 2016;9:e003545.

9. Alkhouli M, Chaker Z, Clemetson E, et al. Incidence, characteristics and management of persistent peri-device flow after percutaneous left atrial appendage occlusion. Structural Heart. 2019;3:491-498.

10. Alkhouli M, Chaker Z, Mills J, Raybuck B. Double device closure for large or bilobar left atrial appendage anatomy [published online June 18, 2019]. EuroIntervention.

11. Alkhouli M, Rihal CS, Holmes DR Jr. Transseptal techniques for emerging structural heart interventions. JACC Cardiovasc Interv. 2016;9:2465-2480.

12. Radinovic A, Mazzone P, Landoni G, et al. Different transseptal puncture for different procedures: optimization of left atrial catheterization guided by transesophageal echocardiography. Ann Card Anaesth. 2016;19:589-593.

13. Alkhouli M, Sievert H, Rihal CS. Device embolization in structural heart interventions: incidence, outcomes, and retrieval techniques. JACC Cardiovasc Interv. 2019;12:113-126.

14. Alkhouli M. Management of peridevice leak after LAAO: coils, plugs, occluders, or better understanding of the problem? JACC Cardiovasc Interv. 2020;13:320-322.

15. Qamar SR, Jalal S, Nicolaou S, et al. Comparison of cardiac computed tomography angiography and transoesophageal echocardiography for device surveillance after left atrial appendage closure. EuroIntervention. 2019;15:663-670.

16. Alkhouli M, Busu T, Shah K, et al. Incidence and clinical impact of device-related thrombus following percutaneous left atrial appendage occlusion: a meta-analysis. JACC Clin Electrophysiol. 2018;4:1629-1637.

17. Alkhouli M, Chaker Z, Alqahtani F, et al. Outcomes of routine intracardiac echocardiography to guide left atrial appendage occlusion. JACC Clin Electrophysiol. 2020;6:393-400.

18. Wang DD, Forbes TJ, Lee JC, Eng MH. Echocardiographic imaging for left atrial appendage occlusion: transesophageal echocardiography and intracardiac echocardiographic imaging. Interv Cardiol Clin. 2018;7:219-228.

19. Nijenhuis VJ, Alipour A, Wunderlich NC, et al. Feasibility of multiplane microtransoesophageal echocardiographic guidance in structural heart disease transcatheter interventions in adults. Neth Heart J. 2017;25:669-674.

20. Wang DD, Geske JB, Choi AD, et al. Interventional imaging for structural heart disease: challenges and new frontiers of an emerging multi-disciplinary field. Structural Heart. 2019;3:187-200.

Mohamad Alkhouli, MD
Department of Cardiovascular Diseases
Mayo Clinic School of Medicine
Rochester, Minnesota
alkhouli.mohamad@mayo.edu
Disclosures: Advisory board for and received consultation fees and research grant support from Boston Scientific Corporation; steering committee of the CHAMPION trial.

Akram Kawsara, MD
Division of Cardiology
West Virginia University
Morgantown, West Virginia
Disclosures: None.