Advertisement
Advertisement
March/April 2020
Sponsored by Penumbra, Inc.
Innovation in Coronary Mechanical Thrombectomy: Indigo® System CAT™ RX Powered by Penumbra ENGINE™
With S. Jay Mathews, MD, MS, FACC; Chris Metzger, MD; Waqas R. Qureshi, MD, MS; Jawairia Sahar K. Mirza, MBBS; Gus Theodos, MD, FACC, FSCAI; Brian Kolski, MD; and Suhail Dohad, MD, FACC
Mechanical power aspiration with the Indigo® System CAT™ RX (Penumbra, Inc.), introduced in 2018, continues to gain in popularity as a solution for high thrombus burden in the coronaries. As part of the Indigo Aspiration System, the Indigo CAT RX Aspiration Catheters and Indigo Separator™ 4 (Penumbra, Inc.) are indicated for the removal of fresh soft emboli and thrombi from vessels in the coronary and peripheral vasculature.
Mechanical power aspiration with a continuous vacuum source and large lumen aspiration catheter was first introduced in the neurovascular space when Penumbra revolutionized thrombus removal for acute ischemic stroke patients. Since launch, we have found that CAT RX has become an essential part of our treatment algorithm when thrombus is present in the coronaries.
Indigo System CAT RX has been designed to address the limitations of traditional treatment options with manual aspiration. Manual aspiration suffers from diminished aspiration force as fluid fills in the syringe, potentially resulting in systemic embolization during catheter removal, as shown in the TOTAL trial published in 2015 (Figure 1).1 Subgroup analysis of patients with high thrombus burden was explored that highlighted the potential for improved outcomes. This warranted the need for further innovation in the field of acute coronary syndrome.2 The goal of the Indigo System CAT RX mechanical aspiration system powered by the Penumbra ENGINE™ is to provide sustained aspiration for the duration of the procedure with enhanced deliverability to navigate tortuous anatomy and track to the distal coronary vasculature. At our institutions, we are using CAT RX for patients who present with fresh soft thrombi or emboli. CAT RX has become our frontline therapy for rapid3 clot removal in the coronary arteries.
We presented our initial experience at the American College of Cardiology’s (ACC) 68th Annual Scientific Session, which showed promising results for mechanical power aspiration for thrombus removal during percutaneous intervention using CAT RX.3 This retrospective case series included 59 patients from four institutions around the United States. Preprocedure TIMI 0 flow was seen in 76.3% of patients; TIMI 3 flow immediately post-CAT RX was demonstrated in 93.2% of patients. The median aspiration time with CAT RX was 35 seconds, with no incidence of stroke within 30 days (Figure 2).3
These data are encouraging and have led to the next stage in data collection through the CHEETAH study—a 400-patient, prospective, observational study evaluating the initial safety and performance of the Indigo Aspiration System CAT RX. CHEETAH will focus on patients presenting with high-grade thrombus burden who receive frontline treatment with CAT RX. We expect the results to further refine and improve our technique for mechanical aspiration and fine-tune the use of CAT RX for patients with high thrombus burden.
The advantages of CAT RX with Penumbra ENGINE include the potential to remove the thrombus intact and reduce the potential of systemic embolization while also increasing the visualization of the underlying stenosis and distal vessel. In our practice, we have been able to more accurately define percutaneous transluminal coronary angioplasty and stent length as a result of this increased visualization. In some cases, we have also seen a reduction in glycoprotein IIb/IIIa inhibitor usage (which may be associated with higher rates of bleeding). These benefits may suggest a reduction to cost of care, improved patient outcomes, and changes to the procedural algorithm.
The following case reports highlight CAT RX in a multitude of unique applications as a primary frontline device to treat patients with high thrombus burden.
–S. Jay Mathews, MD, MS, FACC
1. Jolly SS, Cairns JA, Yusuf S, et al. Randomized trial of primary PCI with or without routine manual thrombectomy. N Engl J Med. 2015;372:1389-1398.
2. Jolly SS, Cairns JA, Lavi S, et al. Thrombus aspiration in patients with high thrombus burden in the TOTAL trial. J Am Coll Cardiol. 2018;72:1589-1596.
3. Mathews SJ, Brown C, Kolski B, et al. Initial experience with a mechanical aspiration catheter for thrombus removal during percutaneous intervention: a multicenter retrospective case series. Presented at: American College of Cardiology’s 68th Annual Scientific Session; March 16–18, 2019; New Orleans, LA.
EXTENSIVE THROMBUS EXTRACTION IN MULTIVESSEL CORONARY OCCLUSION WITH THE INDIGO SYSTEM CAT RX
PATIENT HISTORY
A 59-year-old man with a history of hypertension and tobacco use presented with an inferior-posterior acute myocardial infarction (MI).
INTERVENTION
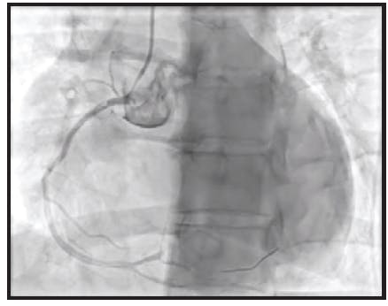
The initial angiogram confirmed an occlusion with extensive thrombus burden of a dominant left circumflex artery and TIMI 0 flow (Figure 1). Power aspiration with CAT RX and Penumbra ENGINE was started after wiring the dominant left circumflex artery. After one pass with CAT RX, the initial occlusion was removed. A second angiogram showed extensive clot burden spread across multiple branches (Figure 2). Each vessel was wired sequentially, delivering power aspiration via CAT RX to the site of each thrombus. A final angiogram revealed complete reperfusion to the dominant left circumflex artery and branches, with TIMI 3 flow (Figure 3).
DISCUSSION
The Indigo System CAT RX with Penumbra ENGINE is an invaluable tool that is easy to set up and can provide rapid thrombectomy and immediate reperfusion. This case illustrates the vast improvement in aspiration technology with an easy-to-deliver, trackable catheter that maintains sustained aspiration for the duration of the procedure. CAT RX is an essential tool in our percutaneous coronary armamentarium.
USE OF THE INDIGO SYSTEM CAT RX IN A FRESHLY PLACED DES TO ASPIRATE DISTAL EMBOLIZATION AFTER MANUAL ASPIRATION
PATIENT HISTORY
A woman in her 40s presented to the emergency department (ED) with acute onset chest pain of 4 hours’ duration. The patient had a medical history of cyclical vomiting, hypertension, diabetes, and hyperlipidemia.
Prior to the procedure, ticagrelor was administered and the patient was taken to the cardiac cath lab for angiography. The initial angiogram revealed TIMI 0 flow in the proximal right coronary artery (RCA) due to plaque rupture. The patient received a 3.5- X 38-mm everolimus-eluting stent (Synergy™ drug-eluting stent [DES], Boston Scientific Corporation) with postdilation optimized by intravascular ultrasound (IVUS) and was then sent to the step-down unit. The patient vomited the ticagrelor within 2 hours of administration and cangrelor was started. Due to continual vomiting, an electrocardiogram was obtained that showed an acute MI. The patient was brought back to the cardiac cath lab for follow-up angiography that revealed TIMI 0 flow of the RCA (Figure 1).
INTERVENTION
Manual aspiration using a Pronto V3 (Teleflex) catheter restored some flow, however, distal embolization to the posterior descending artery (PDA) immediately caused right ventricular cardiac arrest (Figure 2). The patient underwent six shocks and was intubated while CAT RX was delivered through the freshly placed 3.5- X 38-mm DES to the PDA. Two passes of CAT RX with the Penumbra ENGINE resulted in TIMI 3 flow restoration and retrieval of the distal emboli from the PDA (Figure 3). The patient’s symptoms normalized, the electrocardiogram stabilized, and the acute MI was immediately resolved. The patient remained on cangrelor with no need for tirofiban.
DISCUSSION
The Indigo System CAT RX and Penumbra ENGINE aspiration source were crucial to the success of this case. The atraumatic, low-profile design of CAT RX allowed for ease of deliverability through the freshly placed stent into the PDA when the patient was in critical condition. The sustained aspiration power provided by the Penumbra ENGINE allowed rapid TIMI 3 flow restoration and removal of the distal emboli. Due to our experience in such cases, sustained aspiration with the Indigo System CAT RX with Penumbra ENGINE has quickly become our frontline device, challenging the traditional method of manual aspiration in patients with thrombi and emboli in the coronary arteries.
POWER ASPIRATION WITH THE INDIGO SYSTEM CAT RX IN A SAPHENOUS VEIN GRAFT
PATIENT HISTORY
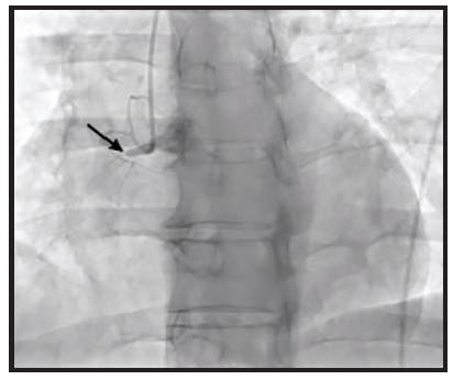
A 92-year-old man with a history of coronary artery disease (treated previously with coronary artery bypass graft) and severe aortic stenosis (treated previously with transcatheter aortic valve replacement) presented to the ED with chest pain. The patient had reported intermittent chest discomfort for 3 days, with some improvement with his daily medications. The pain became more intense and constant, so he presented to the ED. The patient was brought to the catheterization laboratory for angiography that showed stagnant flow through the saphenous vein graft (SVG; Figure 1).
INTERVENTION
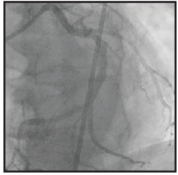
We decided to start with mechanical aspiration using CAT RX and Penumbra ENGINE to extract the thrombus. After just one pass with CAT RX and 20 seconds of aspiration, the thrombus was removed. Angiography was performed and confirmed complete thrombus removal and flow restoration through the SVG. We directly stented with a 3.5- X 38-mm Synergy DES and postdilated with a 4- X 20-mm noncompliant balloon. The final angiographic outcome revealed complete revascularization and TIMI 3 flow (Figure 2).
DISCUSSION
SVG occlusions can be challenging to resolve using traditional treatment modalities. Relying on a different mechanism of action, power aspiration with CAT RX and Penumbra ENGINE was able to extract the thrombus intact; thus restoring flow through the graft. CAT RX has allowed us to rethink how we approach these occluded SVGs.
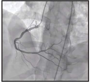
THROMBUS EXTRACTION OF A DISTAL RIGHT CORONARY ARTERY OCCLUSION
PATIENT HISTORY
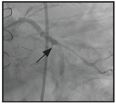
A 65-year-old man presented emergently with an inferior wall MI. The initial angiogram confirmed a distal occlusion of the RCA with TIMI 0 flow and extensive clot burden (Figure 1).
INTERVENTION
Initial angiography revealed an occlusion of the distal RCA. Mechanical coronary aspiration was performed frontline with CAT RX and Penumbra ENGINE to remove the high thrombus burden. After one pass with CAT RX, the high thrombus burden was removed, resulting in TIMI 3 flow.
With reperfusion to the distal vasculature and clear visualization of the underlying stenosis, a 3.5-mm stent was placed. After IVUS, the stent was dilated to 3.75 mm. Final angiography was performed, showing complete resolution of the underlying lesion (Figure 2).
DISCUSSION
Power aspiration with CAT RX has allowed us to successfully remove thrombus in patients presenting with acute coronary syndrome, establishing quick distal reperfusion and also visualization of the underlying stenosis. We have found the trackability of CAT RX to be easily navigable for hard-to-reach distal vessels. In a retrospective analysis of patients in our practice with fresh thrombus burden, we have observed TIMI 3 restored when using CAT RX frontline.1 This is another positive patient outcome with the use of CAT RX in a case of high thrombus burden.
1. Mathews SJ, Brown C, Kolski B, et al. Initial experience with a mechanical aspiration catheter for thrombus removal during percutaneous intervention: a multicenter retrospective case series. Presented at: American College of Cardiology’s 68th Annual Scientific Session; March 16–18, 2019; New Orleans, LA.
CRITICAL LIMB ISCHEMIA DISTAL POSTERIOR TIBIAL ARTERY THROMBUS REMOVAL WITH THE INDIGO SYSTEM CAT RX
PATIENT HISTORY
A 75-year-old woman with a history of diabetes, hypertension, and dyslipidemia presented with Rutherford class 5 critical limb ischemia (CLI) due to a nonhealing ulcer.
INTERVENTION
We started with laser atherectomy followed by percutaneous transluminal angioplasty of the tibial peroneal trunk, peroneal artery, and posterior tibial artery. Angiography of the posterior tibial artery revealed embolization to the heel resulting in no flow to the foot (Figure 1). After one pass with mechanical thrombectomy using CAT RX, the thrombus was removed and flow was restored to the pedal arch via the plantar posterior tibial artery (Figure 2 and Figure 3).
DISCUSSION
The Indigo System CAT RX was the preferred choice for mechanical aspiration thrombectomy to remove the distal emboli below the knee in the posterior tibial artery. The large aspiration lumen and highly trackable, low-profile design coupled with the power of the Penumbra ENGINE resulted in the successful removal of the emboli in one pass. The deliverability and continuous aspiration power were essential to achieving restoration of flow supporting a positive patient outcome to help heal this case of CLI.
The Indigo System: Now Indicated for Treatment of Pulmonary Embolism
The treatment of arterial and venous thrombus is challenging. Aspiration or disruption of thrombus with traditional diminished syringe-based aspiration or other mechanical devices is difficult, often incomplete, and has been associated with high complication rates.1 Use of medical therapy, such as powerful anticoagulants and thrombolytics (ie, tissue plasminogen activator), may carry a high risk of bleeding.2 The Indigo System was designed to provide sustained aspiration with Penumbra ENGINE to effectively remove thrombus, while reducing the risk of bleeding complications.3 The Indigo System utilizes atraumatic catheters varying in diameters from 3.4 to 8 F and lengths ranging from 50 to 150 cm. (CAT3, CAT RX, CAT5, CAT6, CAT8, and CATD) and patented Separator™ technology, which maintains continuous aspiration and helps limit clogging of the catheter’s tip during the procedure. Since the initial launch of the Indigo System, catheter technology as well as techniques have advanced. This has allowed expansion of the use of the Indigo System in patients with coronary and peripheral vascular thrombotic occlusions.
The newest indication for the Indigo System is the treatment of pulmonary embolism; this indication comes on the heels of the promising results of the EXTRACT-PE trial. The Indigo System met its efficacy and safety endpoints by reducing right-to-left ventricle (RV/LV) ratio at 48 hours by 27.3% (mean ratio reduction, 0.43; 95% confidence interval, 0.38–0.47; P < .0001) and had a low major adverse event of 1.7% (2/119). The procedure time was short (median of 37 minutes)—the shortest demonstrated so far in an investigational device exemption (IDE) trial on patients with pulmonary embolism. This allowed prompt treatment of patients with minimal intensive care unit days and early discharge from the hospital. The atraumatic tip and small catheter French size of the CAT8 device allows for easy tracking and maneuvering through the vasculature and selective debulking of thrombus from lobar branches of the pulmonary arterial tree. This ability of lobar thrombectomy likely allowed EXTRACT-PE to be the first endovascular IDE, pulmonary embolism trial that has reported statistically significant reduction in on-table systolic pulmonary artery pressures.
–Suhail Dohad, MD, FACC
1. Giri J, Sista AK, Weinberg J, et al. Interventional therapies for acute pulmonary embolism: current status and principles for the development of novel evidence: a scientific statement from the American Heart Association. Circulation. 2019;140:e774-e801.
2. Vedantham S, Goldhaber SZ, Julian JA, et al. Pharmacomechanical catheter-directed thrombolysis for deep-vein thrombosis. N Engl J Med. 2017;377:2240-2252.
3. Saxon RR, Benenati JF, Teigen C, et al. Utility of a power aspiration-based extraction technique as an initial and secondary approach in the treatment of peripheral arterial thromboembolism: results of the multicenter PRISM Trial. J Vasc Interv Radiol. 2018;29:92-100.
MECHANICAL THROMBECTOMY WITH INDIGO SYSTEM CAT8 AND SEP8 FOR THE TREATMENT OF PULMONARY EMBOLISM
PATIENT HISTORY
An 83-year-old woman transferred from an outside hospital presented with acute shortness of breath, was hypotensive, and was intubated. She had a recent embolic cerebrovascular accident (CVA) with a hemorrhagic conversion and right-sided hemiparesis but was otherwise known to be very functional. She was in a rehab facility prior to this new event recovering from her CVA. She had normal left ventricular systolic function with severe right ventricular dysfunction on her echocardiogram. She had acute tubular necrosis with minimal urine output at the time of transfer. Her heart rate was 110 beats per minute, elevated troponin levels at 4.5 ng/mL, and elevated brain natriuretic peptide at 1,164 pg/mL. After discussion with the family, a decision was made to take her emergently to the cardiac catheterization laboratory.
INTERVENTION
Ultrasound-guided access was obtained through the right femoral vein. A 65-cm 8-F Destination sheath (Terumo Interventional Systems) was advanced into the right pulmonary artery, first over a telescoping balloon tip catheter and stiff angle Glidewire® (Terumo Interventional Systems). Because the patient was not a candidate for thrombolysis, the decision was made to intervene with the Indigo System CAT8XTORQ115 and SEP 8, which were advanced sequentially into the right then left pulmonary artery. Using the usual telescoping technique of the sheath, the CAT8 and SEP8 were used in tandem to aspirate the thrombus using sustained aspiration with Penumbra ENGINE.
There was an immediate response in the clinical situation of the patient: her blood pressure stabilized into the 90s and her oxygenation improved substantially. Pulmonary artery peak pressures dropped from the mid 40s to the high 30s. Angiograms showed pre- and postthrombectomy of the right pulmonary artery with modest clot debulking but significant improvement in right lung perfusion. Within 72 hours, repeat echocardiography showed RV/LV ratio improvement from 1.43 to 0.98. The patient had a robust recovery and was discharged to her rehab facility on anticoagulation.
DISCUSSION
In patients with submassive pulmonary embolism with compromised right ventricular function and elevated biomarkers, the Indigo System is an excellent frontline tool offering a safe and effective1 treatment option. The Indigo System can provide immediate mechanical relief by extracting clot while decreasing pressures using sustained power aspiration without the need for thrombolytics. This is potentially more effective than diminished syringe-based aspiration. The low-profile catheter and Penumbra ENGINE are easy to set up and use. The procedure can be performed quickly,1 which is important for symptomatic patients.
1. Sista A. Indigo aspiration system for acute pulmonary embolism. Presented at: Vascular InterVentional Advances (VIVA); November 4–7, 2019; Las Vegas, Nevada.
Disclaimer: The opinions and clinical experiences presented herein are for informational purposes only. The results may vary depending on a variety of patient specific attributes.
Advertisement
Advertisement


