CASE PRESENTATION

A 95-year-old man with a history of chronic atrial fibrillation (for which he was on warfarin), hypertension, hyperlipidemia, gastroesophageal reflux disease, and hypothyroidism presented to a peripheral hospital with dizziness and lightheadedness lasting approximately 1 hour. The patient stated that he woke up at 3:00 AM feeling dizzy and sweaty. He thought he would pass out, so he called 911. The patient denies ever losing consciousness and did not fall. He reported no chest pain, shortness of breath, palpitations, nausea/vomiting, diarrhea, or fever/chills. Per the patient, this was his first episode; he did not have chest pain on a routine basis and did not have any subsequent episodes.

A workup performed at the peripheral hospital found that his troponin was elevated to 0.11 ng/mL, and echocardiography showed a left ventricular ejection fraction (LVEF) of 25% to 30%. The patient was bradycardic and the local cardiologist was concerned about amiodarone-induced bradyarrhythmia. Given the abnormalities on echocardiography, the patient was sent for cardiac catheterization.

Cardiac catheterization performed via right radial access showed a left dominant system, small right coronary artery with no stenosis, and left main (LM) and ostial left anterior descending (LAD) artery stenosis/proximal circumflex lesions. The case was discussed with our hospital, and the patient was accepted for transfer to evaluate for possible percutaneous coronary intervention (PCI) of the LM/LAD arteries. The patient reported no chest pain after catheterization.

The laboratory values obtained at the peripheral hospital were as follows: white blood cell count, 6.6 109/L; hematocrit, 35.8; platelet count, 191; sodium, 141 µg/L; potassium, 4.3 µg/L; blood urea nitrogen, 22 mg/dL; hemoglobin, 11.3 g/dL; and creatinine, 1.0 mg/dL.

On arrival at the tertiary center, the patient did not have shortness of breath, chest pain, dizziness, nausea/vomiting, fever/chills, or sweating and stated that he felt normal.

REVIEW OF SYSTEMS

A cardiac review of systems was notable for the absence of chest pain, dyspnea on exertion, paroxysmal nocturnal dyspnea, orthopnea, ankle edema, palpitations, syncope, or presyncope. On further review of systems, the patient denied any history of stroke, transient ischemic attack, deep vein thrombosis, pulmonary embolism, bleeding at the time of surgery, myalgias, joint pain, cough, hemoptysis, or black/red stools. He also denied exertional buttock or calf pain, recent fevers, chills, or rigors. All other reviews of systems were negative.

MEDICAL HISTORY

The patient’s medical history was significant for the following:

Cardiac Risk Factors

1. Hypertension

2. Dyslipidemia

Cardiac History

1. Admission with ventricular tachycardia (VT)

2. Atrial fibrillation on warfarin and amiodarone

3. Hyperlipidemia

4. Hypertension

Other Medical History

1. Gastroesophageal reflux disease

2. Thyroid goiter surgery

3. Cholecystectomy

Home Medications

The patient was on the following medication regimen: omeprazole (daily), levothyroxine sodium (25 µg daily at 6:00 AM), acetylsalicylic acid (81 mg daily; patient was switched from warfarin to aspirin by family doctor due to risk of bleeding), amiodarone (100 mg daily), finasteride (5 mg daily), furosemide (20 mg daily), atorvastatin (40 mg daily), and lisinopril (2.5 mg daily).

Allergies

The patient had no known allergies.

Social History

The patient lives in a house by himself with his dog. He is fully independent and has three daughters who live within 10 miles, bring him food, and help with his daily activities. He has no history of tobacco or drug use, but he does occasionally consume alcohol. He takes his home medications without help.

Family History

The patient was unsure and stated that we should talk with his daughter.

PHYSICAL EXAMINATION

The patient’s vital statistics were as follows: temperature, 98°; blood pressure, 130/75 mm Hg; and heart rate, 69 bpm. In general, the patient was a well-appearing elderly man in no acute distress. His neck was supple with no high jugular venous pressure. He had a normal heart rate with an irregular rhythm, and there were no murmurs/rubs/gallops appreciated. His lungs were clear to auscultation bilaterally, with no wheezes/crackles and a normal work of breathing. His abdomen was soft, nontender, and nondistended. He had normal bowel sounds. There was no peripheral edema and his pulses were 2+ bilaterally. The patient was alert and oriented to time and location.

STUDIES

Echocardiography

The visually estimated LVEF was between 25% and 30%. There was evidence of regional wall motion abnormalities (slight anterior hypokinesis).

Nuclear Stress Test

Myocardial perfusion was abnormal. There was a mixture of a scar and ischemia in the mid to distal anterior wall, apex, and distal inferior wall. Overall, his left ventricular systolic function was severely reduced with severe anterior wall and apical hypokinesis. His LVEF was calculated to be 38%.

What would your strategy be for this patient?

Dr. Hermanides: This is a very high-risk case of non–ST-segment elevation myocardial infarction (NSTEMI) presenting with VT. Furthermore, there is extensive multivessel disease (LM, LAD, intermediate branch, ostium marginal branch, ostium circumflex). I would like to first see serial electrocardiograms and troponin measurements on admission and during hospitalization. A P2Y12 inhibitor (clopidogrel) should be started, as well as aspirin for as short a duration as possible.

If there are R waves on the precordial leads, in combination with the previously described cardiac imaging (electrocardiogram), a complex provisional PCI of the LM-LAD/circumflex artery would be my strategy.

Dr. Ricalde: First, this is a high-risk patient who has some main points to consider, independent of his advanced age. He presented with an acute coronary syndrome (troponin I elevation, VT, wall motion abnormalities on a basal echocardiogram), as well as a reduced LVEF (< 30% by echocardiogram). As previously described, he is independent in his activities of daily living, and he has a reasonable life expectancy of more than 1 year. So, it is recommended to consider implantable cardioverter-defibrillator therapy as primary prevention. Then, regarding treatment of the high-risk coronary lesion, due to the severe alterations of the wall motion in the anterior wall (I assume there is a large amount of ischemia), I would consider an invasive treatment of that very high-risk lesion to be a better option than a conservative strategy.

Dr. Pinto: Given the presentation with acute coronary syndrome and evidence of ischemia, I think revascularization would be the preferred strategy. The goal is to avoid recurrent infarction and other cardiovascular complications. The choice of revascularization versus medical therapy would also depend on his functional status because of his advanced age.

Would you perform PCI?

Dr. Ricalde: Yes, I would. If the patient and family agree after a clear explanation about risks and benefits, I would prefer to perform PCI than surgery in this scenario of advanced age, reduced LVEF, recent myocardial infarction (in-hospital mortality calculated by EuroSCORE II, approximately 15%), and severe calcified disease through the LAD artery.

Dr. Pinto: Given the patient’s advanced age, I would recommend PCI over bypass surgery if he was a candidate.

Dr. Hermanides: Yes, due to presentation with VT in this very high-risk NSTEMI case, very likely as an expression of underlying ischemia in a large territory that seems viable (according to the dynamic electrocardiogram, echocardiogram, significant troponin rise). Furthermore, in this case, I would recommend PCI over coronary artery bypass grafting.

If so, which lesion would you treat?

Dr. Ricalde: I would like to treat the LM and the proximal LAD arteries, and I would use intravascular ultrasound (IVUS) to evaluate the necessity of treating the circumflex.

Dr. Hermanides: I would treat the LM-LAD lesion. In this 95-year-old patient, the LM-LAD lesion is by far the most important lesion. Up front, I would go for this lesion and remain expectative with regard to the other lesions.

Dr. Pinto: The LM is hard to appreciate angiographically. The ischemia is in the anterior portion of the heart, but I think it would be difficult to avoid treating the origin of the dominant circumflex when repairing the LAD artery. There is origin disease in the obtuse marginal artery, but I would not treat that lesion because it is not likely to be flow limiting.

What ­technique would you employ?

Dr. Hermanides: My preferred technique would be provisional PCI of the LM-LAD lesion (with optical coherence tomographic guidance) with use of rotablation. I would use a 7-F right radial approach due to the patient’s high bleeding risk and a 7-F Judkins left 3.5 guiding catheter because of the very short LM artery. I would wire the LM-LAD and LM–right circumflex arteries and then predilate with small balloons, upscaling with larger balloons. Thereafter, rotablation will allow for optimal vessel preparation and prevent stent underexpansion in this circumferential, heavily calcified, LM-LAD lesion. Next is placement of a drug-eluting stent (thick strut) from the LM to LAD artery and postdilatation with noncompliant balloons for optimal stent apposition. If the ostium of the circumflex artery requires stenting, I would use a T-stent and protrusion (TAP) technique.

Dr. Pinto: I would predilate both the LAD and circumflex arteries. Depending on the appearance of the LM, I would use either a V-stent technique or a TAP technique with the circumflex treated as the side branch.

Dr. Ricalde: Because it is a severely calcified lesion, I would initiate wiring the distal LAD artery only and perform rotablation of the LM and the proximal segment of the LAD arteries. I would then wire the circumflex. If the patient is stable at that moment, I would perform IVUS to evaluate the ostial lesion of the circumflex and determine if it is necessary to predilate, as well as to determine the length of this lesion. If it involves less than the first 5 mm, I would prefer to use a provisional stenting technique. If it involves more than the first 5 mm, a two-stent technique would be required. So, due to the very short length of the LM artery and the 90° takeoff of the circumflex, I would favor T-stenting as the better option.

Would you use left ventricular support?

Dr. Pinto: The lesion is complex and calcified in the LAD artery. I think atherectomy would be necessary; therefore, in a patient with an involved dominant circumflex and reduced left ventricular function, I would favor using support.

Dr. Ricalde: Yes. Due to the very low LVEF, the high-risk scenario (advanced age, recent acute coronary syndrome, VT), and the high-risk coronary anatomy, I think it is very important to have ventricular support.

Dr. Hermanides: This is a very high-risk PCI in a left-dominant system with an LVEF of approximately 30% and severe LM disease. Although this patient is 95 years old and has a high bleeding risk, the chance of ischemic complications and ventricular arrhythmias is very high periprocedurally, so I would use left ventricular support.

Approach of the Moderator

Revascularization seemed appropriate when considering the acute coronary syndrome complicated by VT at presentation, which was probably induced by a large ischemic area. Furthermore, because of his advanced age and high EuroSCORE, we decided to perform percutaneous coronary revascularization of the LM bifurcation lesion (Video 1A, Video 1B). We believed that treating only the LM-LAD would have resulted in worsening of the ostial left circumflex artery, which could cause further ischemia and/or infarction with the risk of VT and/or further reduction of LVEF.

Video 1. Right anterior oblique (A) and spider projections (B) of the LM bifurcation.

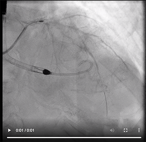
To reduce the risk of extensive stenting, the revascularization procedure would target only the LM bifurcation, while a conservative strategy was chosen for the marginal branch ostial lesion, which we believed would not further impact the patient’s prognosis. Considering the low LVEF as well as the complexity of the LM bifurcation, including the possibility of rotablator debulking of this lesion, left ventricular support was considered appropriate. An Impella CP device (Abiomed, Inc.) was implanted after careful angiographic evaluation of the right femoral and iliac arteries (Video 2).

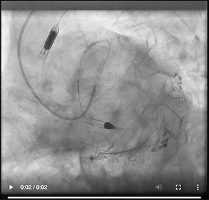
PCI was performed via the right radial artery. Simple balloon dilatation was used to test the resistance of this calcified lesion. The nearly 360° of calcific stenosis in the ostial LAD did not yield on high-pressure dilatation. Therefore, the decision to use rotablation became definitive.

Video 2. Rotablator atherectomy fol­lowing placement of the Impella device and tentative balloon dilatation.

Video 3. Result after rotablation.

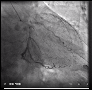
Video 4. Stent positioning.

The LM-LAD lesion was then crossed with a 1.5-mm rotablator burr at 140,000 rpm. There were no major visual dissections after rotablator debulking (Video 3). Both lesions were rewired, and a V-stent technique was used (simultaneous ostial stenting of the ostial LAD and left circumflex arteries) (Video 4 and Video 5A, Video 5B). The main reason for this choice was the very short LM, which made any other technique nearly impossible. The inability to readdress a possible left circumflex pinching after LM-LAD provisional stenting was another reason that a V-stent technique was chosen.

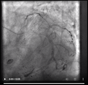
There was a very good final angiographic result. The patient remained hemodynamically stable throughout the procedure, and the Impella device was removed after the procedure. The patient was discharged 2 days postprocedure on triple therapy (edoxaban, clopidogrel, aspirin) for 1 month, followed by a combination of edoxaban and clopidogrel for 12 months, when clopidogrel will then be replaced by aspirin due to the patient’s high risk of bleeding. The patient is in very good condition and free of angina without the need for further PCI for the marginal branch artery stenosis.

Video 5. Stenting (A) and poststenting (B) result.

Elvin Kedhi, MD, PhD
Interventional Cardiologist
Isala Hospital
Zwolle, the Netherlands
e.kedhi@isala.nl
Disclosures: None.

Renicus Suffridus Hermanides, MD, PhD
Interventional Cardiologist
Isala Hospital
Zwolle, the Netherlands
r.s.hermanides@isala.nl
Disclosures: None.

Duane Pinto, MD, MPH
Section Chief, Interventional Cardiology Beth Israel Deaconess Medical Center
Harvard Medical School
Boston, Massachusetts
dpinto@bidmc.harvard.edu
Disclosures: Consultant to Medtronic, Abbott, Boston Scientific Corporation, Teleflex, NuPulse, and Abiomed, Inc.

Alejandro Ricalde, MD, FACC
Centro de Imagen y Tecnología en Intervención Cardiovascular
Instituto Nacional de Nutrición Salvador Zubirán
Mexico City, Mexico
alejandroricalde@yahoo.com.mx
Disclosures: None.