Advertisement
Advertisement
January/February 2019
PCI in Patients With Cancer
Approaches for successfully treating this challenging patient population when invasive coronary procedures are needed.
By Ezequiel Munoz-Gonzalez, MD; Marie-France Poulin, MD; Mishita Goel, MD; Opeyemi Oyenusi, BSc; Cezar Iliescu, MD; and Tochi M. Okwuosa, DO
Advances in cancer therapy have resulted in increased survival among patients with malignancies. With such developments, the long-term cardiovascular side effects resulting from either direct cardiovascular damage or accelerated atherosclerosis have become increasingly important.1 These side effects translate clinically into increased incidences of angina, acute coronary syndrome (ACS), stroke, limb ischemia, heart failure, and cardiac arrhythmias, with specific challenges for interventional cardiovascular procedures that include greater risk of bleeding for specific tumor location (especially intracranial and gastrointestinal), coagulation defects (commonly seen in hematologic malignancies), or thrombocytopenia (TP). Other complicating factors include the frequent need for noncardiac surgery, an intrinsic hypercoagulable state associated with cancer and consequent propensity for thrombosis, the need for coordination between timing of a procedure and oncologic treatment, and a lack of guidelines to help standardize clinical practice.2-4
This article provides an overview of percutaneous coronary intervention (PCI) in this high-risk population of patients with malignancies.
CORONARY ARTERY DISEASE IN Cancer PATIENTS AND Cancer SURVIVORS
Cancer is known to be associated with an increased risk of coronary events.5 This risk is higher at diagnosis and shortly after initiation of therapy and remains elevated for months to years after treatment completion.6 The major causes behind this are related to the proinflammatory and prothrombotic states from the malignancy itself, as well as the effects of cancer therapy.4
Chemotherapy-induced vascular toxicity plays a pivotal role in atherosclerotic plaque formation in patients with cancer.7 The mechanisms are multiple and depend on the agent involved (Table 1).8-21
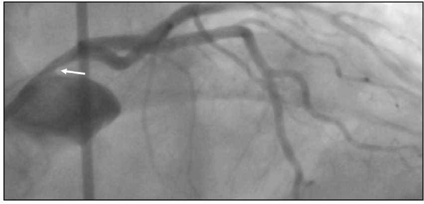
Chest radiation therapy for thoracic malignancies, such as lung and breast cancer as well as Hodgkin lymphoma, is also known to produce accelerated atherosclerosis with increased rates of fatal and nonfatal myocardial infarction (MI) compared to the nonexposed population.22 The classic angiographic features are severe ostial or proximal epicardial lesions, which include left main (LM) trunk, proximal left anterior descending artery, or proximal right coronary artery stenosis due to their anterior or central mediastinal location that makes them more susceptible to higher doses of radiation compared to other areas (Figure 1 and Figure 2).23
Figure 1. Refractory radiation-induced coronary artery disease in a 48-year-old woman with cardiovascular risk factors (hypertension, hyperlipidemia, diabetes, obesity) diagnosed with breast cancer with chest wall involvement (A) treated with radical mastectomy, chemotherapy, and radiation therapy (total of 54 Gy in 27 fractions over 5 weeks). She had accelerated atherosclerotic process and new coronary calcification on a follow-up CT scan (B). Three years later, the patient presented with acute MI (type II) and underwent PCI with three sequential DESs implanted in the distal left anterior descending artery. One year later, she returned to the hospital with NSTEMI, with coronary angiography showing disease progression and significant edge restenosis (C). Additional stents were placed, covering the gaps in an overlapping fashion, with final angiography showing good results and thrombolysis in myocardial infarction 3 flow (D). IVUS confirmed good expansion and apposition of the newly deployed stents (E). Three years later, the asymptomatic patient had a stress test that yielded abnormal results, and subsequent angiography revealed an occluded distal left anterior descending artery (F).
INVASIVE CORONARY ASSESSMENT AND PCI
Diagnostic coronary angiography remains the gold standard for visualization of the coronary tree. The addition of intravascular diagnostic tools (instantaneous wave-free ratio/fractional flow reserve [iFR/FFR], intravascular ultrasound [IVUS], and optical coherence tomography [OCT]) provides the complex physiologic and anatomic assessment needed to achieve the goal of minimizing the number of interventions.24
Vascular Access Considerations
In patients with cancer, meticulous vascular access is required, with increased concern for hemostasis, especially in patients with TP. In the absence of specific contraindications, including upper extremity vascular disease, anticipation of hemodialysis, or severe bilateral upper extremity arterial disease, a radial-first approach is favored in an attempt to minimize bleeding complications and promote early ambulation.2 Radial access should also be favored in case of significant peripheral artery disease, inguinal scarring from previous procedures (cancer and noncancer related), and radiation near the inguinal area.
To minimize the number of attempts and ensure higher first-pass success rates, the adoption of ultrasound guidance is recommended.25 Furthermore, smaller hydrophilic sheaths and anticoagulation for radial access should be used to decrease the risks of both bleeding and vascular thrombosis.
When radial access is not possible, transfemoral access with use of a micropuncture technique and fluoroscopic and ultrasound guidance should be used.2
Pharmacology (Antiplatelet and Anticoagulation) of PCI in Cardio-Oncology
All patients undergoing PCI require the use of anticoagulants during the procedure. Special consideration should be given to the antiplatelet/anticoagulation regimen in patients with TP. A lower initial dose of unfractionated heparin (30–50 U/kg) should initially be used in patients with platelet counts < 50,000 µL undergoing PCI, targeting an activated clotting time in the therapeutic range of 250 to 300 seconds.2 Bivalirudin can be considered in patients with a platelet count > 50,000 µL due to a decreased risk of bleeding complications, predictable anticoagulant effects, shorter duration of action, as well as in patients with a history of heparin-induced TP.
The use of aspirin has been proven safe in patients with cancer and TP.26 In a study by Yusuf et al of 456 patients with ACS, aspirin was found to be independently predictive of improved survival (hazard ratio, 0.77; 95% confidence interval, 0.6–0.98).27 When comparing the outcomes of acute MI in patients with and without cancer, Kurisu et al reported similar improved results of the role of medical therapy, including aspirin, as treatment.28
The use of P2Y12 inhibitors represents another challenge in this population. In a recent study of 98 patients with chronic TP (defined as a platelet count < 100,000 µL for at least 2 months prior to intervention) who presented with ACS, the addition of P2Y12 inhibition with clopidogrel did not increase the risk of bleeding.26 The majority of patients included in this study had underlying hematologic malignancy (72.4%), a mean platelet count of 47.63 ± 29.85 K/µL, and presented with non–ST-segment elevation myocardial infarction (NSTEMI) (85.7%). Dual antiplatelet therapy (DAPT) was used in 27.6% of patients and showed a trend for improved survival when compared to no antiplatelet therapy or aspirin alone (at 12.6, 7.6, and 9.5 months, respectively). In this small study, despite severe TP (platelet count < 30,000 µL) and concomitant use of DAPT, no major bleeding complication was reported.26 There are no identifiable data for ticagrelor (Brilinta, AstraZeneca), prasugrel (Effient, Eli Lilly and Company), or the use of glycoprotein IIb/IIIa inhibitors in patients with cancer and TP. Data comparing the use of different P2Y12 inhibitors in patients with cancer and a normal platelet count are also lacking.
Intravascular Physiologic Assessment: FFR and iFR
Physiologic assessment of coronary stenosis with the use of FFR represents the current standard of care for guiding management decisions and identifying patients who would benefit from revascularization. High-risk patients with cancer and angiographic disease (> 50% stenosis) that is hemodynamically nonsignificant after coronary physiologic assessment can avoid unnecessary stent placement and be spared complex management decisions regarding duration of antiplatelet therapy, especially in the presence of TP.
In the general population, an FFR ≤ 0.80 indicates a hemodynamically significant stenosis with high accuracy.29 In patients with cancer, experience from a large tertiary center showed improved survival with revascularization among patients who had angiographic obstructive lesions, using an FFR cutoff point of < 0.75.30 However, the use of FFR in patients presenting with STEMI remains a matter of debate due to the impracticality of the use of FFR in the acute setting for decision-making involving a culprit vessel. Nonetheless, its role may be more appropriate when considering revascularization of the noninfarct-related artery, as evidenced by the DANAMI-3-PRIMULTI and COMPARE-ACUTE trials.31,32 Future studies in patients with cancer are called for, but the routine use of FFR should be considered and incorporated during interventions in patients with malignancies.
A new option for intravascular physiologic assessment appears to be iFR, which has the advantage of not requiring vasodilation and, similar to FFR, helps reclassify and convert from PCI to optimal medical management.33 The cutoff point for iFR is 0.89 (Figure 3).
Stent Selection
In patients with cancer who have an increased risk of bleeding due to DAPT (ie, gastrointestinal or genitourinary cancer) or when early discontinuation of DAPT is anticipated to facilitate cancer therapy, the historical alternatives have been balloon angioplasty or the use of bare-metal stents (BMSs).2 Next-generation drug-eluting stents (DESs), which require a shorter length of DAPT and have a lower reported risk of stent thrombosis when compared with BMSs, should provide an attractive solution. In a prespecified analysis from the ZEUS trial of 828 patients, the use of the zotarolimus-eluting Endeavor Sprint stent (Medtronic) showed clear benefits in terms of reduced major adverse cardiac events, MI, target vessel revascularization, and stent thrombosis compared to BMSs in select patients with a high bleeding risk despite a shorter duration of DAPT.34 In this study, patients with a high bleeding risk were considered those who were older than 80 years, were actively using oral anticoagulants, experienced a recent episode of major bleeding requiring medical attention, and had coagulopathy or TP with a platelet count < 100,000 µL. Interestingly, a number of these patients had a diagnosis of cancer (n = 84).34 Similar promising findings were found with the use of polymer-free DES (proven to be more efficacious than BMS with a 1-month course of DAPT for patients with a high bleeding risk).35
Regarding patients who have undergone thoracic external beam radiation therapy (EBRT), a recent study demonstrated that thoracic EBRT has not been associated with higher rates of stent failure and does not portend an increase in clinically significant in-stent restenosis or stent thrombosis.36 However, when comparing BMSs to newer-generation DESs in this population, the former are associated with higher rates of in-stent restenosis, making the use of DESs more suitable in these patients.36
Intracoronary Imaging Modalities: IVUS and OCT
IVUS provides better spatial resolution and is superior to angiography alone in determining lesion severity because it enables precise assessment of vessel wall dimensions and atheroma burden through the assessment of the minimal lumen area (MLA) (Figure 1E).37 A meta-analysis published by Jang et al demonstrated that IVUS-guided DES implantation decreases the rate of major adverse cardiac events, stent thrombosis, and revascularization rates and allows optimal stent deployment.38 In patients with cancer, the use of this adjunctive tool can identify individuals in whom it is safe to defer revascularization based on MLA; this is only helpful for LM lesions, as iFR/FFR should be used for all other lesions. This has been particularly useful when characterizing the functional significance of LM coronary lesions, as evidenced by de la Torre Hernandez et al who demonstrated that it is safe to defer revascularization in the general population with intermediate LM lesions and a MLA > 6 mm2.39
Another important concept is to perform intravascular imaging (IVUS or OCT) to evaluate poststent deployment and ensure that the stent is well apposed and fully expanded, especially when using DESs in patients who may need early discontinuation of DAPT.38,40
OCT has better spacial resolution than IVUS but less power of penetration. It can also demonstrate the presence of thrombus, unrecognized plaque rupture, stent underexpansion, significant edge dissections, and excessive plaque at the stent edges that may be treatable with further stent expansion or the placement of additional stents.41 More recently, OCT has been adopted in the cardio-oncology field when early discontinuation of DAPT is necessary, as it helps to identify patients at lower risk for stent thrombosis (Figure 4).42 In a study published by Iliescu et al, patients who underwent DES implantation between 1 and 3 months prior to the planned procedure and had an indication for noncardiac surgery or biopsy with an increased risk of bleeding were included and followed for 12 months after diagnostic cardiac catheterization with OCT to evaluate the status of the stent.42 OCT images were obtained prior to the planned procedure and stents were considered low risk for thrombosis if the stent struts met the criteria of coverage (> 90% of the total analyzed stent struts), apposition (> 90% of the total analyzed stent struts), expansion, and absence of in-stent restenosis. Among those individuals considered low risk, P2Y12 inhibitors were stopped 5 days prior to the anticipated procedure and restarted 24 hours after with a loading dose. In contrast, those at high risk underwent bridging therapy with low-molecular-weight heparin. In this registry, none of the groups experienced stent thrombosis or cardiovascular death. These findings require further validation by additional studies but are certainly hypothesis generating and might become a useful tool in patients with cancer who require early discontinuation of antiplatelet therapy.
Figure 4. Representative example of the use of OCT images for early discontinuation of DAPT. The patient had a DES placed 1 month previously and required a cancer-related surgical curative procedure that was not possible on DAPT. OCT was performed and the patient was deemed to be low risk for stent thrombosis. DAPT was safely temporarily discontinued with no detrimental outcomes.
CONSIDERATIONS IN PATIENTS WITH TP
PLATELET TRANSFUSION THRESHOLDS:
• There is no established cutoff point for platelet count below which a coronary angiography is absolutely contraindicated
• Prophylactic platelet transfusion should be used only when oncologic indications are met, such as platelet count < 10,000 μL, < 20,000 μL in the presence of neoplasms with higher bleeding tendencies (eg, bladder, gynecologic, gastrointestinal), or the presence of fever, leukocytosis, coagulopathy, or rapid decrease in platelet count
• Platelet transfusion may not be necessary when performing diagnostic catheterization via radial access
• Platelet transfusion should be considered in patients with thrombocytopenia who develop postprocedural bleeding complications
ANTIPLATELET THERAPY IN PATIENTS WITH TP:
• Aspirin has been used in patients with platelet counts > 10,000 μL, and clopidogrel may be used in patients with platelet counts ≥ 30,000 μL
• Platelet counts < 30,000 μL require input from the hematologist/oncologist in an attempt to provide a more accurate risk/benefit analysis for use of antiplatelet therapy other than aspirin
• Prasugrel, ticagrelor, and glycoprotein IIb/IIIa inhibitors should be avoided if platelet counts are < 50,000/μL
Adapted from Iliescu CA, Grines CL, Herrmann J, et al. SCAI expert consensus statement: evaluation, management, and special considerations of cardio-oncology patients in the cardiac catheterization laboratory (endorsed by the Cardiological Society of India and Sociedad Latino Americana de Cardiologia Intervencionista). Catheter Cardiovasc Interv. 2016;87:E202–223.
CHALLENGES: TP AND PCI
The prevalence of TP is high in patients with cancer and reported to be approximately 10%. However, it does not confer a protective role against thrombotic events in this population. The Society for Cardiovascular Angiography and Interventions (SCAI) released a statement on special considerations for cardiac catheterization in patients with cancer and suggested that there should be no definitive platelet count cutoff point below which diagnostic coronary angiography is absolutely contraindicated. SCAI recommended the use of prophylactic platelet transfusion only when oncologic indications are met, such as a platelet count < 10,000 µL and perhaps < 20,000 µL in the presence of neoplasms with higher bleeding tendencies (bladder, gynecologic, gastrointestinal) or in the presence of fever, leukocytosis, coagulopathy, or rapid decrease in platelet count.2 Platelet transfusion may not be necessary when only performing diagnostic catheterization through radial access.
Platelet transfusion should be considered in patients with TP who develop postprocedural bleeding complications. Aspirin may be used in patients with platelet counts > 10,000 µL and clopidogrel may be used in patients with platelet counts ≥ 30,000 µL, whereas platelet counts < 30,000 µL require input from the oncologist in an attempt to provide a more accurate risk/benefit analysis for use of antiplatelet therapy. Prasugrel, ticagrelor, and glycoprotein IIb/IIIa inhibitors should be avoided if platelet counts are < 50,000 µL. More details on special considerations for patients with TP can be found in the Considerations in Patients With TP sidebar.
CONCLUSION
A continuous risk/benefit balance is paramount for successful care of patients with cancer who require invasive coronary procedures. The presence of TP should not represent an absolute contraindication given encouraging results in terms of symptom improvement and survival. Newer-generation DESs will probably become the standard of care in this complex patient population due to their reduced rate of complications. The use of intravascular imaging and physiologic assessments are part of the everyday armamentarium, with a clear impact on cardiovascular care.
1. de Haas EC, Oosting SF, Lefrandt JD, et al. The metabolic syndrome in cancer survivors. Lancet Oncol. 2010;11:193-203.
2. Iliescu CA, Grines CL, Herrmann J, et al. SCAI expert consensus statement: evaluation, management, and special considerations of cardio-oncology patients in the cardiac catheterization laboratory (endorsed by the Cardiological Society of India, and Sociedad Latino Americana de Cardiologia intervencionista). Catheter Cardiovasc Interv. 2016;87:E202-223.
3. Hess CN, Roe MT. Treatment of coronary artery disease in cancer survivors: an emerging challenge. Coron Artery Dis. 2017;28:1-2.
4. Krone RJ. Managing coronary artery disease in the cancer patient. Prog Cardiovasc Dis. 2010;53:149-156.
5. Zoller B, Ji J, Sundquist J, et al. Risk of coronary heart disease in patients with cancer: a nationwide follow-up study from Sweden. Eur J Cancer. 2012;48:121-128.
6. Yetis Sayin B, Oto MA. Acute coronary syndrome in cancer patients [published online June 22, 2018]. Am J Cardiovasc Drugs.
7. Min SS, Wierzbicki AS. Radiotherapy, chemotherapy and atherosclerosis. Curr Opin Cardiol. 2017;32:441-447.
8. Sudhoff T, Enderle MD, Pahlke M, et al. 5-Fluorouracil induces arterial vasocontractions. Ann Oncol. 2004;15:661-664.
9. Soultati A, Mountzios G, Avgerinou C, et al. Endothelial vascular toxicity from chemotherapeutic agents: preclinical evidence and clinical implications. Cancer Treat Rev. 2012;38:473-483.
10. Gottdiener JS, Appelbaum FR, Ferrans VJ, et al. Cardiotoxicity associated with high-dose cyclophosphamide therapy. Arch Intern Med. 1981;141:758-763.
11. Herrmann J, Yang EH, Iliescu CA, et al. Vascular toxicities of cancer therapies: the old and the new—an evolving avenue. Circulation. 2016;133:1272-1289.
12. Clarke CS, Otridge BW, Carney DN. Thromboembolism: a complication of weekly chemotherapy in the treatment of non-Hodgkin’s lymphoma. Cancer. 1990;66:2027-2030.
13. Yamac D, Elmas C, Ozogul C, et al. Ultrastructural damage in vascular endothelium in rats treated with paclitaxel and doxorubicin. Ultrastruct Pathol. 2006;30:103-110.
14. Moslehi JJ, Deininger M. Tyrosine kinase inhibitor-associated cardiovascular toxicity in chronic myeloid leukemia. J Clin Oncol. 2015;33:4210-4218.
15. Cortes JE, Kantarjian H, Shah NP, et al. Ponatinib in refractory Philadelphia chromosome-positive leukemias. N Engl J Med. 2012;367:2075-2088.
16. Saylor PJ, Keating NL, Freedland SJ, et al. Gonadotropin-releasing hormone agonists and the risks of type 2 diabetes and cardiovascular disease in men with prostate cancer. Drugs. 2011;71:255-261.
17. Seruga B, Zadnik V, Kuhar CG, et al. Association of aromatase inhibitors with coronary heart disease in women with early breast cancer. Cancer Invest. 2014;32:99-104.
18. Khosrow-Khavar F, Filion KB, Al-Qurashi S, et al. Cardiotoxicity of aromatase inhibitors and tamoxifen in postmenopausal women with breast cancer: a systematic review and meta-analysis of randomized controlled trials. Ann Oncol. 2017;28:487-496.
19. Shih T, Lindley C. Bevacizumab: an angiogenesis inhibitor for the treatment of solid malignancies. Clin Ther. 2006;28:1779-1802.
20. Kapelakis I, Toutouzas K, Drakopoulou M, et al. Bevacizumab increases the incidence of cardiovascular events in patients with metastatic breast or colorectal cancer. Hellenic J Cardiol. 2017;58:215-219.
21. Ranpura V, Hapani S, Chuang J, et al. Risk of cardiac ischemia and arterial thromboembolic events with the angiogenesis inhibitor bevacizumab in cancer patients: a meta-analysis of randomized controlled trials. Acta Oncol. 2010;49:287-297.
22. Marmagkiolis K, Finch W, Tsitlakidou D, et al. Radiation toxicity to the cardiovascular system. Curr Oncol Rep. 2016;18:15.
23. McEniery PT, Dorosti K, Schiavone WA, et al. Clinical and angiographic features of coronary artery disease after chest irradiation. Am J Cardiol. 1987;60:1020-1024.
24. Patel MR, Bailey SR, Bonow RO, et al. ACCF/SCAI/AATS/AHA/ASE/ASNC/HFSA/HRS/SCCM/SCCT/SCMR/STS 2012 appropriate use criteria for diagnostic catheterization: a report of the American College of Cardiology Foundation Appropriate Use Criteria Task Force, Society for Cardiovascular Angiography and Interventions, American Association for Thoracic Surgery, American Heart Association, American Society of Echocardiography, American Society of Nuclear Cardiology, Heart Failure Society of America, Heart Rhythm Society, Society of Critical Care Medicine, Society of Cardiovascular Computed Tomography, Society for Cardiovascular Magnetic Resonance, and Society of Thoracic Surgeons. J Am Coll Cardiol. 2012;59:1995-2027.
25. Seto AH, Roberts JS, Abu-Fadel MS, et al. Real-time ultrasound guidance facilitates transradial access: RAUST (Radial Artery Access With Ultrasound Trial). JACC Cardiovasc Interv. 2015;8:283-291.
26. Iliescu C, Balanescu DV, Donisan T, et al. Safety of diagnostic and therapeutic cardiac catheterization in cancer patients with acute coronary syndrome and chronic thrombocytopenia. Am J Cardiol. 2018;122:1465-1470.
27. Yusuf SW, Daraban N, Abbasi N, et al. Treatment and outcomes of acute coronary syndrome in the cancer population. Clin Cardiol. 2012;35:443-450.
28. Kurisu S, Iwasaki T, Ishibashi K, et al. Comparison of treatment and outcome of acute myocardial infarction between cancer patients and non-cancer patients. Int J Cardiol. 2013;167:2335-2337.
29. Tonino PA, De Bruyne B, Pijls NH, et al. Fractional flow reserve versus angiography for guiding percutaneous coronary intervention. N Engl J Med. 2009;360:213-224.
30. Donisan T, Dayah T, Balanescu DV, et al. Clinical outcomes after fractional flow reserve-guided treatment of oncology patients. 2018;36:e22106-e22106.
31. Engstrom T, Kelbaek H, Helqvist S, et al. Complete revascularisation versus treatment of the culprit lesion only in patients with ST-segment elevation myocardial infarction and multivessel disease (DANAMI-3-PRIMULTI): an open-label, randomised controlled trial. Lancet. 2015;386:665-671.
32. Smits PC, Boxma-de Klerk BM. Fractional flow reserve-guided multivessel angioplasty in myocardial infarction. N Engl J Med. 2017;377:397-398.
33. Andell P, Berntorp K, Christiansen EH, et al. Reclassification of treatment strategy with instantaneous wave-free ratio and fractional flow reserve: a substudy from the iFR-SWEDEHEART trial. JACC Cardiovasc Interv. 2018;11:2084-2094.
34. Ariotti S, Adamo M, Costa F, et al. Is bare-metal stent implantation still justifiable in high bleeding risk patients undergoing percutaneous coronary intervention?: a pre-specified analysis from the ZEUS trial. JACC Cardiovasc Interv. 2016;9:426-436.
35. Garot P, Morice MC, Tresukosol D, et al. 2-year outcomes of high bleeding risk patients after polymer-free drug-coated stents. J Am Coll Cardiol. 2017;69:162-171.
36. Liang JJ, Sio TT, Slusser JP, et al. Outcomes after percutaneous coronary intervention with stents in patients treated with thoracic external beam radiation for cancer. JACC Cardiovasc Interv. 2014;7:1412-1420.
37. Raber L, Windecker S. Intravascular ultrasound-guided percutaneous coronary interventions: an ongoing Odyssey? Circulation. 2014;129:417-419.
38. Jang JS, Song YJ, Kang W, et al. Intravascular ultrasound-guided implantation of drug-eluting stents to improve outcome: a meta-analysis. JACC Cardiovasc Interv. 2014;7:233-243.
39. de la Torre Hernandez JM, Hernandez Hernandez F, Alfonso F, et al. Prospective application of pre-defined intravascular ultrasound criteria for assessment of intermediate left main coronary artery lesions results from the multicenter LITRO study. J Am Coll Cardiol. 2011;58:351-358.
40. Zhang J, Gao X, Kan J, et al. Intravascular ultrasound-guided versus angiography-guided implantation of drug-eluting stent in all-comers: the ULTIMATE trial. J Am Coll Cardiol. 2018;72:3126-3137.
41. Lotfi A, Jeremias A, Fearon WF, et al. Expert consensus statement on the use of fractional flow reserve, intravascular ultrasound, and optical coherence tomography: a consensus statement of the Society of Cardiovascular Angiography and Interventions. Catheter Cardiovasc Interv. 2014;83:509-518.
42. Iliescu CA, Cilingiroglu M, Giza DE, et al. “Bringing on the light” in a complex clinical scenario: optical coherence tomography-guided discontinuation of antiplatelet therapy in cancer patients with coronary artery disease (PROTECT-OCT registry). Am Heart J. 2017;194:83-91.
Advertisement
Advertisement


