Advertisement
Advertisement
January/February 2019
Navigating Complex Radial Loops
An overview on radial loops and the techniques to circumvent them.
By Shing-Chiu Wong, MD, and Salil Desai, MD
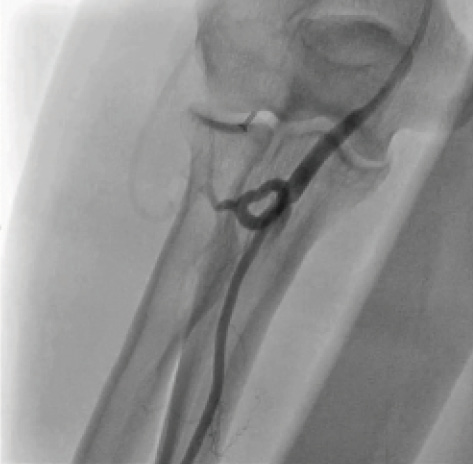
Transradial cardiac angiography and catheterization have been increasingly adopted over the past 10 years in the United States.1 Advantages of this technique include reduced mortality in patients with acute coronary syndrome, decreased vascular complications, shorter length of stay, early ambulation, and the potential for same-day discharge after percutaneous coronary intervention (PCI).2-4 This approach, however, can have a steep learning curve as well as unique hurdles that are not present with a traditional femoral approach. A potential area of difficulty is the anatomic variations that an operator can encounter between the radial artery and the coronary ostia. Radial loops are an uncommon but challenging vascular anomaly (Figure 1). Navigating around this anomaly can be arduous and can lead to conversion to alternative access sites or to complications such as perforation (Figure 2). As a result, the identification of radial loops and the strategies to circumvent them are crucial tools for performing safe and effective procedures via the radial approach in today’s cardiac catheterization lab.
RADIAL LOOPS
Several studies have looked at the incidence of vascular anomalies and, more specifically, radial loops in patients undergoing transradial catheterization. In a prospective study from the United Kingdom involving 1,540 consecutive patients, the overall incidence of a radial artery anomaly was 13.8%, of which 35 (2.3%) patients had a full radial loop.5 A study from Japan collected ultrasonography data of the radial artery in 115 patients undergoing elective transradial interventions. In this group, anatomic variations were observed in 11 (9.6%) of 115 patients. These variations included six (5.2%) tortuous configurations, two (1.7%) stenoses, two (1.7%) hypoplasias, and one (0.9%) radioulnar loop.6 A third study looking at the incidence of radial anatomic variations in a Chinese population reported an incidence of 1.1% for radioulnar loops in a total of 1,897 transradial cardiac catheterizations.7
When encountered, vascular anomalies via the radial approach have been associated with procedural failure. In the previously mentioned prospective United Kingdom study, the procedural failure rate for patients with radial loops was 37.1%.5 This rate is higher than in other studies. In a retrospective United Kingdom single-center analysis of 2,588 attempted transradial PCIs, difficult anatomy was noted in 221 (8.5%) cases (59% radial, 15% brachial, 26% subclavian).8 Among these cases, radial loops were present in 15 (0.6%) patients. The success rate for PCI in this group was 20%. This contrasted with brachial loops, in which the PCI success rate was 93% in a total of 30 (1.2%) patients.
Overall, the current literature suggests that radial loops occur in 1% to 2% of patients undergoing transradial invasive procedures and that, when encountered, the success rate is as low as 20%, even with experienced operators.
INTERVENTIONAL STRATEGIES
The first and most critical step in circumventing a radial loop is to obtain an arteriogram whenever there is resistance to guidewire or catheter advancement. Once an arteriogram is obtained, a step-wise algorithm can be used to navigate the vascular anomaly and ultimately deliver diagnostic and guide catheters through the loop (Figure 3).
Crossing the Loop With Specialized Wires
The next step in an interventional cardiologist’s toolbox after obtaining an arteriogram is to attempt to cross the loop with specialized wires. If a standard 0.035-inch J-wire is unsuccessful, then one should consider using a torqueable atraumatic 0.035-inch wire, such as a Wholey guidewire (Medtronic) or Magic Torque guidewire (Boston Scientific Corporation), followed by either a 0.014-inch angioplasty wire or 0.025-/0.035-inch hydrophilic wire if unsuccessful. Additionally, an operator could consider newer, more specialized wires such as a 0.035-inch, 1.5-mm Glidewire Baby-J hydrophilic-coated guidewire (Terumo Interventional Systems), which can provide the lubricity of a hydrophilic wire while maintaining the safety of a small trackable J-tip. If further support is required to either straighten the loop or cross the loop, a 4-F multipurpose diagnostic catheter or a hydrophilic catheter, such as a Glidecath hydrophilic-coated catheter (Terumo Interventional Systems), can be used to track over the wire. Rotating a low-profile catheter while pulling it back may aid in straightening out the loop. Ultimately, if the loop is crossed in this manner, a more supportive wire can be placed for the delivery of additional diagnostic or guiding catheters.
Pigtail-Assisted Tracking
If the loop is crossed with a wire but there is difficulty straightening the loop for the safe delivery of 5-/6-F diagnostic or guide catheters, then mother-daughter strategies can be employed to navigate past the anomaly. Garg et al described a pigtail-assisted tracking method where a 5-F pigtail catheter is loaded within a 6-F guide catheter.9 The distal pigtail is then extended outside the guide and tracked over the wire and through the loop. The benefit of this approach is that it can reduce the “razor-blade effect” of a guide catheter tip as it crosses the tortuous portion of a radial loop. This effect can prevent delivery of the catheter and lead to perforation of the vessel if pushed aggressively through the loop. The protruding pigtail reduces contact between the sharp edge of the guide catheter tip and the vessel wall.
Balloon-Assisted Tracking
Another more recently developed option is balloon-assisted tracking, which was first described by Patel et al as a safe and effective method for crossing anatomic difficulties from a radial approach.10,11 A coronary angioplasty balloon (1.5 mm for a 5-F catheter; 2 mm for a 6-F catheter) is placed at the end of a catheter with half of the balloon exiting the distal tip of the catheter (total balloon length 15 or 20 mm). The use of both semicompliant and compliant balloons has been described for this technique.10,11 The balloon is then inflated to 4 to 6 atm and the balloon-catheter complex is advanced over a guidewire. The atmospheric pressure in the balloon can be adjusted to allow for more conformity (lower atm) or more pushability (higher atm).
Several studies have attempted to assess the safety and effectiveness of this technique. A case series by Patel et al presented 60 of 63 cases that were successfully completed with balloon-assisted tracking. This population included patients with acute coronary syndrome (63.3%). Technical failures occurred in two cases with a very small radial artery (< 1.25 mm) and in one case with a 360° radial loop and a 1.5-mm caliber radial artery.12 A more recent study by Felekos et al demonstrated a 100% success rate with balloon-assisted tracking in a total of 30 cases with complex radial anatomy.13 There were no reported complications in this series. Of note, only one patient in this series had a radial loop.
ALTERNATIVE ACCESS
When these strategies are not successful, alternative access should be considered. The arteriogram from the radial sheath can reveal the anatomy of the ulnar artery, which can then be accessed via palpation, ultrasound, or fluoroscopic roadmap guidance. If the ulnar does not appear to be a viable option, alternative access sites include the contralateral radial or femoral approach. Based on the available literature, there are no data to suggest that the presence of a radial loop increases the likelihood of a similar anomaly on the contralateral side. As such, there are no data to guide the choice between contralateral radial artery access versus femoral access in these situations. This decision should ultimately fall on the operator’s discretion based on overall clinical judgment.
CONCLUSION
Overall, radial loops occur in 1% to 2% of patients undergoing transradial invasive procedures and can negatively impact procedural success. The first step in evaluating and circumventing this anomaly is obtaining an arteriogram, which can be performed when smooth wire or catheter advancement is not met. From this point, delineation of the vessel anatomy can help formulate the most appropriate wire/catheter strategies. If these attempts are unsuccessful, then alternative access should be considered (eg, ipsilateral ulnar, contralateral radial, femoral). As we continue to adopt transradial approaches into common practice, the ability to diagnose and circumvent a radial loop will play an increasingly important role in the day-to-day routine of the cardiac catheterization lab.
1. Masoudi FA, Ponirakis A, de Lemos JA, et al. Trends in U.S. cardiovascular care: 2016 report from 4 ACC national cardiovascular data registries. J Am Coll Cardiol. 2017;69:1427-1450.
2. Jolly SS, Amlani S, Hamon M, et al. Radial versus femoral access for coronary angiography or intervention and the impact on major bleeding and ischemic events: a systematic review and meta-analysis of randomized trials. Am Heart J. 2009;157:132-140.
3. Nardin M, Verdoia M, Barbieri L, et al. Radial vs femoral approach in acute coronary syndromes: a meta-analysis of randomized trials. Curr Vasc Pharmacol. 2017;16:79-92.
4. Mitchell MD, Hong JA, Lee BY, et al. Systematic review and cost-benefit analysis of radial artery access for coronary angiography and intervention. Circ Cardiovasc Qual Outcomes. 2012;5:454-462.
5. Lo TS, Nolan J, Fountzopoulos E, et al. Radial artery anomaly and its influence on transradial coronary procedural outcome. Heart. 2009;95:410-415.
6. Yokoyama N, Takeshita S, Ochiai M, et al. Anatomic variations of the radial artery in patients undergoing transradial coronary intervention. Catheter Cardiovasc Interv. 2000;49:357-362.
7. Nie B, Zhou YJ, Li GZ, et al. Clinical study of arterial anatomic variations for transradial coronary procedure in Chinese population. Chinese Med J (Engl). 2009;122:2097-2102.
8. Basavarajaiah S, Brown A, Naganuma T, et al. Should technical and anatomical difficulties discourage operators from embarking on transradial access for percutaneous coronary intervention? J Invasive Cardiol. 2018;30:341-347.
9. Garg N, Sahoo D, Goel PK. Pigtail assisted tracking of guide catheter for navigating the difficult radial: overcoming the “razor effect.” Indian Heart J. 2016;68:355-360.
10. Patel T, Shah S, Pancholy S. Balloon-assisted tracking of a guide catheter through difficult radial anatomy: a technical report. Catheter Cardiovasc Interv. 2013;81:e215-e218.
11. Patel T, Shah S, Pancholy SB. Strategies to traverse the arm and chest vasculature. Interv Cardiol Clin. 2015;4:127-144.
12. Patel T, Shah S, Pancholy S, et al. Balloon-assisted tracking: a must-know technique to overcome difficult anatomy during transradial approach. Catheter Cardiovasc Interv. 2014;83:211-220.
13. Felekos I, Hussain R, Patel SJ, Pavlidis AN. Balloon-assisted tracking: a practical solution to avoid radial access failure due to difficult anatomical challenges. Cardiovasc Revasc Med. 2018;19:564-569.
Advertisement
Advertisement


