CASE PRESENTATION

A 47-year-old woman with a history of hypertension presents at the hospital complaining of weakness in the right arm and some speech loss. The diagnosis was of cryptogenic stroke, from which the patient experienced a full recovery of neurologic capacity without the need for thrombolysis or thrombectomy. The patient also has pectus excavatum, which is a long-standing condition.

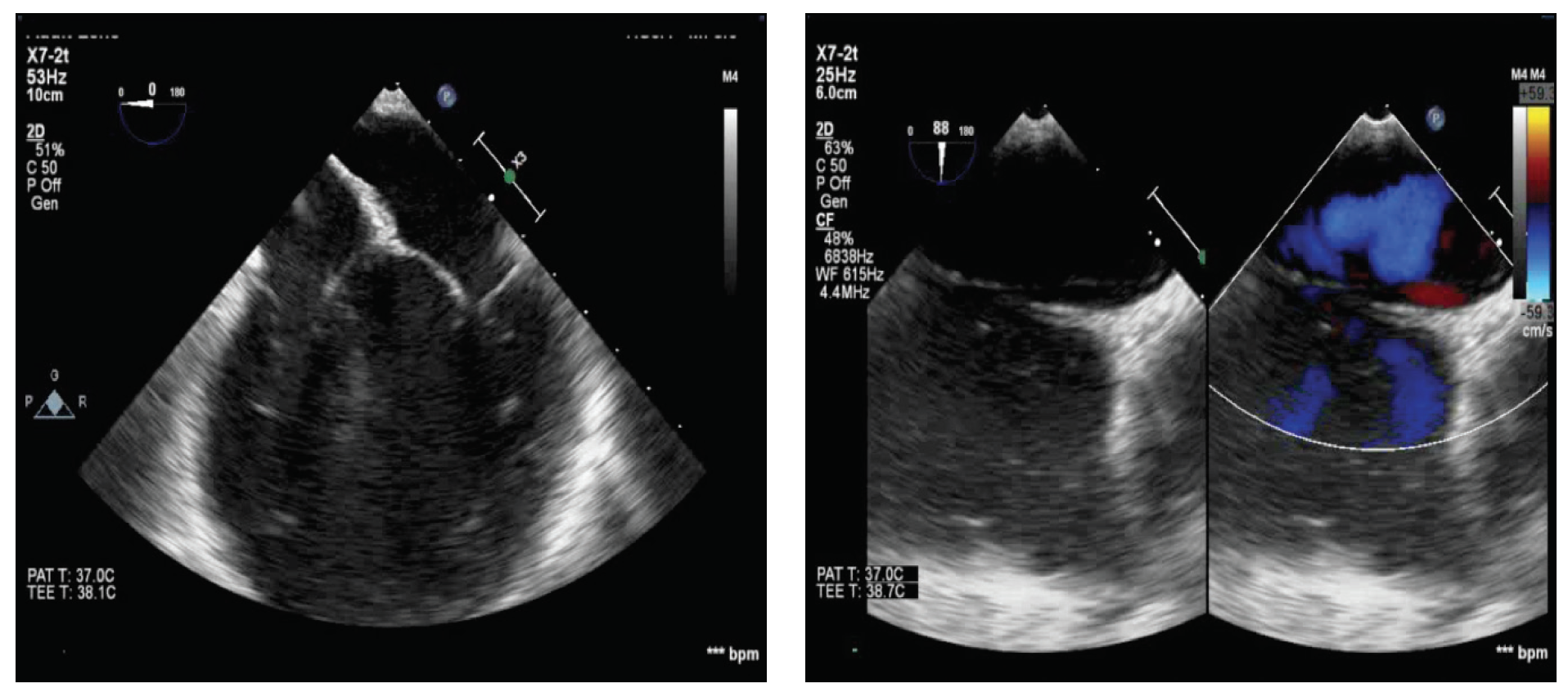
The initial workup shows no arrhythmia on 7-day Holter monitoring. The results of echocardiography were normal, and the finding of a thrombophilia test was negative. Brain imaging showed no cause in the carotid or vertebral circulation. The results of baseline transesophageal echocardiography (TEE) show a long tunnel–type patent foramen ovale (PFO) with an atrial septal aneurysm (Figure 1). A bubble study during TEE confirmed the PFO with a grade 3 shunt.

Figure 1. Baseline TEE demonstrating a PFO with an atrial septal aneurysm.

What additional diagnostic options would you pursue, if any?

Dr. Banerjee: I agree with the diagnostic workup. This patient with an ischemic stroke should undergo brain and vessel imaging (MRI of the brain and MRA or CTA of the neck and intracranial vessels), TEE (with bubble studies), and 7-day Holter monitoring. A full set of blood tests would include lipid profile, HBA1c, ESR, HIV test, autoimmune screen, and a thrombophilia screen, including antiphospholipid screen.

In view of the finding of a PFO with a long tunnel, I would also proceed to perform Doppler ultrasound of the legs to exclude deep vein thrombosis.

Dr. Tobis: The presumed mechanism of paradoxical embolism is that a small blood clot from varicose veins or hemorrhoids passes across a PFO to enter the arterial circulation. A thrombus can lodge in a distal brain artery and induce a stroke in vessels that are only 1 to 3 mm in diameter. So, the size of the PFO does not have to be large. It is the size of the thrombus that primarily affects how large the area of the stroke will be. Therefore, ultrasound of the legs for deep vein thrombosis is usually unrevealing. I prefer transcranial Doppler as the screening test because it is the most sensitive and also quantitates the shunt in terms of the number of bubbles crossing the right-to-left shunt.

Dr. Chukwuemeka: No further diagnostic tests would be necessary but the balance of risks related to surgery still needs to be evaluated before a final decision can be made on surgery for PFO closure or device closure. In a patient with pectus excavatum, I would particularly want to be reassured by acceptable pulmonary function test results before embarking on surgery. Clearly, the usual preoperative screening of kidney function and blood tests would also need to be satisfactory.

What is your chosen treatment pathway? How would you accomplish this (ie, what techniques, devices, therapies would you employ)?

Dr. Chukwuemeka: Device closure would be the first option nowadays, unless there is a technical reason for avoiding this. Surgery, while it is very likely to achieve closure of the PFO, has significant attendant risks. In this particular case, the pectus deformity just adds to the surgical challenge.

Dr. Banerjee: Because the patient has had a cryptogenic stroke and TEE confirmed a large PFO with a grade 3 shunt, I would recommend closure of the PFO in this scenario.

Dr. Tobis: Based on a study of the six devices available in the United States since 2001, I prefer the Cardioform device (Gore & Associates) as it is more effective at closure and better tolerated than the nitinol braided devices. There are no reported cases of erosion with the Cardioform devices.

Explain why you chose your treatment option. What benefit/risk assessment would you provide to the patient for intervention or nonintervention?

Dr. Chukwuemeka: I would favor intervention in light of the history of cryptogenic stroke. As previously outlined, the risks attending device closure are less than for surgery. Recovery is also clearly much quicker and there is no signal in the literature that the durability of device closure is in question.

Dr. Banerjee: Three recent (2017) trials (RESPECT, REDUCE, and CLOSE) have confirmed the potential benefit of PFO closure for patients younger than 60 years with cryptogenic ischemic stroke. The benefit of PFO closure (in addition to antiplatelet therapy) versus antiplatelet or anticoagulant therapy was particularly seen in those with moderate to large shunts or those with an associated atrial septal defect.

This patient has a grade 3 shunt. In the CLOSE trial, the 5-year cumulative estimate of the probability of stroke was 4.9% in the antiplatelet only group versus 0% in the PFO closure group (hazard ratio, 0.03 [in favor of PFO closure]). The numbers needed to treat to prevent one ischemic stroke over 5 years was reported to be 20.

Based on the available evidence, I would recommend PFO closure and continuing antiplatelet therapy in this scenario.

APPROACH OF THE MODERATOR

Because the patient had both a cryptogenic stroke and a PFO, we recommended the patient undergo PFO closure to reduce the risk of recurrent stroke based on data from the RESPECT, REDUCE, and CLOSE trials. The imaging suggested challenging anatomy; therefore, the decision was made to proceed with the case using general anesthesia with TEE guidance.

In this patient’s PFO tunnel, the Figulla PFO occluder (Occlutech International AB) did not sit well due to the elongated PFO tunnel that extended to the roof of the atrium and appeared to be splinted open—the tunnel could not be compressed by the device and held the two discs separated (Figure 2). As a result, we decided to perform a transseptal puncture (TSP) in the fossa ovalis and bring the two sides of the PFO tunnel together. The TSP caused a pericardial effusion due to an inadvertent high puncture. After pericardial drainage, an 18-mm Figulla PFO device was placed via the high puncture. The pericardial drain was removed at 24 hours.

Figure 2. Two-dimensional TEE image of the initial device not well aligned to the septum (A). Three-dimensional TEE of the initial device (B). Two-dimensional TEE of the second device well situated on the septum (C). Three-dimensional TEE of the second device (D).

The patient was seen at 6-month follow-up and had no long-term sequelae, no recurrence of stroke, and negative findings on a bubble echocardiogram.

DISCUSSION

Dr. Tobis: I am not convinced that a long tunnel or the presence of a Eustachian valve represent significant challenges to PFO closure. Large PFOs are fairly easy to cross and close. The smaller PFOs (5–7 mm) are more problematic and may require placing a multipurpose catheter in the foramen ovale to inject contrast. If a PFO is seen, it can then be crossed with either the catheter itself or with a straight wire. The standard J wire curve diameter may be larger than the PFO width.

We do not know when this case was done, but it is almost never necessary to perform a transseptal puncture, even with a long tunnel. The newer PFO devices are more effective and conform to the variable PFO anatomy. The fact that the atrium was punctured and necessitated pericardiocentesis is proof enough that this method of PFO closure carries a higher risk, which is not necessary. But, the subtleties of this case permit a good discussion so that others may learn from this experience.

Iqbal Malik, MD, FRCP, PhD
Consultant Cardiologist
Clinical Lead for Structural Heart Disease
Imperial College Healthcare NHS Trust
London, United Kingdom
iqbal.malik1@nhs.net
Disclosures: Proctor and consultant to Occlutech for structural heart procedures.

Soma Banerjee, MD(Res), FRCP
Consultant and Clinical Lead
Department of Stroke Medicine
Imperial College Healthcare NHS Trust
London, United Kingdom
soma.banerjee@nhs.net
Disclosures: None.

Andrew Chukwuemeka, MD, FRCS, FRCS(CTh)
Consultant Cardiothoracic Surgeon
Imperial College Healthcare NHS Trust
London, United Kingdom
andrew.chukwuemeka@nhs.net
Disclosures: None.

Jonathan M. Tobis, MD, MSCAI
Professor of Medicine
University of California
Los Angeles, California
jtobis@mednet.ucla.edu
Disclosures: None.