Advertisement
Advertisement
March/April 2018
SAVR Versus TAVR: Treating Intermediate-Risk Patients
A patient-centered debate on the safety, efficacy, and durability of transcatheter aortic valve replacement versus surgical aortic valve replacement for intermediate-risk patients.
With Bruce Rutkin, MD; S. Jacob Scheinerman, MD, FACS; and Issam D. Moussa, MD, MBA



CASE PRESENTATION
By Bruce Rutkin, MD
The heart team evaluated a 74-year-old man with symptomatic (New York Heart Association [NYHA] class II), severe aortic stenosis (AS) for aortic valve replacement. Transthoracic echocardiography (TTE) revealed preserved left ventricular ejection function, a mean transvalvular gradient (TVG) of 41 mm Hg, an aortic velocity of 4.3 m/s, and a calculated aortic valve area of 0.5 cm2. His history included hypertension, dyslipidemia, and coronary artery disease (CAD) with previous percutaneous coronary intervention with stents. The patient’s Society of Thoracic Surgeons risk score was 4.4%, which indicated an intermediate surgical risk.
Figure 1. CTA of the chest, abdomen, and pelvis (A). Crosssection of the aortic annulus (B). Longitudinal section of the aortic root (C).
Based on the recently approved indication for transcatheter aortic valve replacement (TAVR) in intermediate-risk patients, as well as the patient’s preference after discussing the potential risks and benefits of both approaches, the heart team offered to proceed with TAVR. A chest/pelvis CTA demonstrated aortic annular sizing and peripheral anatomy suitable for a transfemoral (TF) TAVR; moderate calcification was noted in the left ventricle outflow tract (Figure 1). Coronary angiography demonstrated nonobstructive CAD.
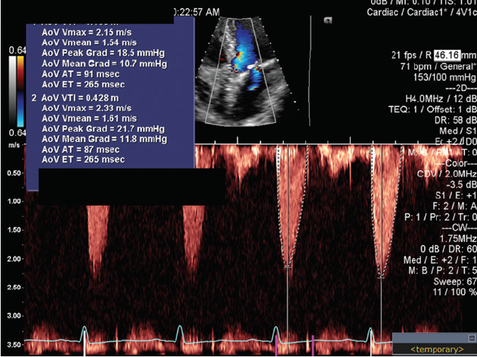
TAVR was successfully performed with a 23-mm, balloon-expandable transcatheter heart valve (THV; Sapien 3, Edwards Lifesciences) via TF access, which provided 3.8% oversizing. The patient was extubated in the hybrid operating room immediately postprocedure with no complications. On postoperative day 1, TTE revealed a well-seated THV with a mean TVG of 17 mm Hg, an aortic velocity of 2.7 m/s, and no evidence of aortic insufficiency. The patient was discharged on postoperative day 2. The patient returned for follow-up 1 year after TAVR without cardiac symptoms or limitations (NYHA class I) and a sustained improvement in his functional capacity. At 1 year, TTE demonstrated a left ventricular ejection fraction of 75%, a mean TVG of 12 mm Hg, an aortic velocity of 2.3 m/s, and no evidence of aortic insufficiency (Figure 2).
TAVR Is Safer and as Effective as SAVR
By Issam D. Moussa, MD, MBA
The purpose of this debate is to have a patient-centered discussion with regard to the safety and efficacy of TAVR versus surgical aortic valve replacement (SAVR) in patients with symptomatic severe AS who are at intermediate risk for SAVR. Per Dr. Rutkin’s case discussion, the patient underwent a successful TAVR procedure and was discharged on postoperative day 2 without a stroke, major bleeding, atrial fibrillation, acute kidney injury, or other major events.
The first question is whether this patient would have had similar, better, or worse short- and long-term outcomes if he underwent SAVR? Based on the current data from the PARTNER IIA and SURTAVI randomized controlled trials1,2 and one large prospective registry,3 patients undergoing TAVR had a lower incidence of major nonfatal complications (ie, major bleeding, atrial fibrillation, acute kidney injury), need for surgical reexploration, a larger valve area, and were discharged home earlier. During follow-up, patients were able to return to their normal daily activities much faster than their surgical counterparts, and most importantly, had lower stroke and mortality rates that persisted at 2-year follow-up.
It has been well established that TAVR is safer and as effective as SAVR at up to 2-year follow-up in appropriately selected intermediate-risk patients. The remaining question is whether the short-term favorable profile and durability of THVs are sustainable in the long-term and are similar, better, or worse than that of surgical bioprosthetic valves.
A thorough review of the literature concerning durability of THVs and surgical valves reveals the following:
The 5-year durability of TAVR and SAVR is equivalent.
Five-year follow-up of the PARTNER IA trial demonstrated equivalent durability of TAVR and SAVR.4 The critique that only approximately 35% of patients were alive at 5 years is valid; however, this applies to both the TAVR and SAVR arms.
Emerging data indicate that TAVR durability at 8 years is similar to SAVR when using the same durability definition.
Dr. Dvir’s presentation at EuroPCR 2016 raised concerns regarding the 7-year durability of TAVR. However, it was clear that the reported low durability rate was due to using a drastically different and much broader definition of structural valve degeneration (SVD) (at least moderate aortic regurgitation and/or a gradient of > 20 mm Hg that was not present within 30 days of procedure) than what has been used in the surgical literature for decades. When the authors used the surgical definition of aortic valve degeneration (ie, need for reoperation), TAVR durability at 8 years was 97.6%, which is similar to the reported durability of surgical valves at that time interval.6
The long-term (> 15 years) durability data of aortic surgical valves is not reliable.
First, a restrictive definition of SVD as defined by the need for reoperation grossly underestimates the true incidence of SVD because it underreports SVD in patients who died due to valve degeneration, patients who declined or in whom surgical risk was too high for reoperation, patients who were lost to follow-up, and patients with moderate or moderate-to-severe valve degeneration who did not require reoperation. David et al reported a 69% freedom from SVD at 12 years, yet, only 48% of patients were free from moderate or severe aortic regurgitation.7
Second, the number of patients at risk for SVD at 15 to 20 years after SAVR is extremely small. Contemporary studies have found that evidence supporting the long-term (> 15 years) durability of surgical valves had a mean follow-up period of only 6 to 8 years.7-17 Only 6% to 17% of patients achieved 15-year follow-up, and 0.01% to 3% of patients achieved 20-year follow-up (Table 1).7,8,10-14,17 The evidence for long-term durability (> 15 years) of surgical bioprosthetic aortic valves is very weak. In fact, recent data from the Valve-in-Valve registry6 show that approximately 50% of patients who required valve-in-valve TAVR for a degenerated surgical valve presented < 10 years after SAVR, with some presenting within the first 2 years. Case reports of early aortic bioprosthetic valve degeneration is not unique to TAVR but can also occur after SAVR. Eventually, all aortic bioprosthetic valves will fail.
It is apparent that the longer track record of aortic bioprosthetic surgical valves does not necessarily imply better durability than THVs. In fact, there are reasons to believe that THV durability may be more favorable than SAVR durability. TAVR patients are left with a larger effective orifice area and a significantly lower prevalence of prosthesis-patient mismatch, both of which are factors with strong correlation to valve durability and prognosis.15
SAVR Should Still Be the Standard of Care
By S. Jacob Scheinerman, MD, FACS
The long-term durability of TAVR is not proven, which may be the most important question debated when considering TAVR versus SAVR.
Almost every patient with AS, regardless of age, seen in my office for surgical evaluation wants to know about TAVR, specifically why they may or may not be a candidate, the risks involved, and how long it will last. For patients who do not ask about its longevity, I feel compelled to discuss it, especially when talking to low- or intermediate-risk patients.
The success of TAVR cannot be questioned in the high-risk or inoperable patient population with critical AS. The PARTNER IIA and SURTAVI trials have documented low and improving procedure mortality and morbidity for TAVR, with outcomes that compare well with SAVR in intermediate-risk patients.1,2 With THVs, valve gradients and valve areas are better than surgically implanted valves and show minimal changes over 3 to 5 years.4 However, the problem is that available published data on long-term follow-up are lacking, and the number of patients followed at 5 years is only 20% to 40% of the implantation population.
The question becomes: what do we know of the valve gradients, valve area, or durability for the remaining 60% to 80% of the TAVR prostheses implanted?
Dvir reported closely following patients’ progress, with periodic echocardiography performed at their homes.5 The study’s definition of functional degeneration included at least moderate aortic regurgitation and/or a gradient > 20 mm Hg that was not present within 30 days of procedure and was not due to endocarditis. Based on these criteria, the study showed evidence of SVD in approximately 50% of patients at 7 years.5
In a presentation at EuroPCR in 2016, Dvir showed images from the study that depicted SVD and calcification in explanted TAVR specimens, occurring as early as 2.5 years after implantation. The calcification and degeneration closely resembled what we see in the operating room when performing reoperative aortic valve replacements, but at shorter time periods after TAVR implantation.
There are factors in TAVR that are dissimilar to SAVR that may accelerate degeneration and turbulent flow. During SAVR, all calcium is routinely removed from the annulus, allowing suture placement and seating of the valve without any paravalvular leak. In addition, the stent of the valve allows opening and closing of the leaflets as designed to minimize stress at the sites of leaflet coaptation or hinge points as well as minimize turbulent flow that may impact leaflet degeneration. With TAVR, annular calcium remains and is often bulky, which may prevent complete and circumferential deployment of the TAVR frame. Anything less than the complete symmetric full deployment may impede complete leaflet opening and coaptation, which may accelerate leaflet degeneration and calcification. Also unknown is what long-term impact resheathing of self-expanding valves has on durability, the effect of crimping on the balloon-expandable valve, and potential damage from postdilating valves.
Examination of the published durability data has been equally troubling. Although numerous reports with follow-up of 5 to 10 years suggest SVD of < 5%, on closer examination of the data, the number of patients at 5 to 10 year follow-up is negligible.3-5,18-22 Only 20% to 40% of the patients originally implanted with TAVR are alive and available for follow-up at 5 to 10 years. In fact, I believe that long-term data on TAVR durability in a sufficient number of patients does not exist. Many of the high-risk patients die within a few years. We will not have long-term durability data at 5 or 10 years with a significant enough population to review until our low- or intermediate-risk trials have yielded those data. There are, however, numerous surgical reports with larger patient numbers documenting excellent long-term durability with porcine and bovine aortic prostheses.7-17
Until we can reliably discuss the durability of TAVR it is difficult to recommend it as an option in young, low-, and intermediate-risk patients with critical AS.
SUMMARY
In patients with symptomatic severe AS at intermediate surgical risk, TAVR is safer than SAVR in the intermediate term. The long-term comparative durability (> 10 years) of TAVR versus SAVR remains unknown. Resolving this question will require a standardized definition of SVD for TAVR and SAVR and long-term follow-up in the setting of prospective randomized clinical trials.23 In the interim, clinicians should ask what is more compelling: what we know for certain about the safety and effectiveness of TAVR or what we do not know regarding durability beyond 10 years?
This debate was first presented as part of the inaugural New York City Debates in Interventional Cardiology meeting sponsored by Northwell Health.
1. Leon, MB, Smith CR, Mack MJ, et al. Transcatheter or surgical aortic-valve replacement in intermediate-risk patients. N Engl J Med. 2016;374:1609-1620.
2. Reardon MJ, Van Mieghem NM, Popma JJ, et al. Surgical or transcatheter aortic-valve replacement in intermediate-risk patients. N Engl J Med. 2017;376:1321-1331.
3. Thourani VH, Kodali S, Makkar RR, et al. Transcatheter aortic valve replacement versus surgical valve replacement in intermediate-risk patients: a propensity score analysis. Lancet. 2016;387:2218-2225
4. Mack MJ, Leon MB, Smith CR, et al. 5-year outcomes of transcatheter aortic valve replacement or surgical aortic valve replacement for high surgical risk patients with aortic stenosis (PARTNER 1): a randomised controlled trial. Lancet. 2015;385:2477-2484.
5. Dvir D. First look at long-term durability of transcatheter heart valves: assessment of valve function up to 10-years after implantation. Presented at: EuroPCR 2016; May 17–20, 2016; Paris, France.
6. Webb J. VIVID Registry Data, TVT 2016. Presented at: EuroPCR 2016; May 17–20, 2016; Paris, France.
7. David TE, Armstrong S, Maganti M. Hancock II bioprosthesis for aortic valve replacement: the gold standard of bioprosthetic valves durability? Ann Thorac Surg. 2010;90:775-781.
8. Jamieson WR, Burr LH, Miyagishima RT, et al. Carpentier-Edwards supra-annular aortic porcine bioprosthesis: clinical performance over 20 years. J Thorac Cardiovasc Surg. 2005;130:994-1000.
9. David TE, Feindel CM, Bos J, Ivanov J, Armstrong S. Aortic valve replacement with Toronto SPV bioprosthesis: optimal patient survival but suboptimal valve durability. J Thorac Cardiovasc Surg. 2008;135:19-24.
10. Yankah CA, Pasic M, Musci M, et al. Aortic valve replacement with the Mitroflow pericardial bioprosthesis: durability results up to 21 years. J Thorac Cardiovasc Surg. 2008;136:688-696.
11. Mykén PS, Bech-Hansen O. A 20-year experience of 1712 patients with the Biocor porcine bioprosthesis. J Thorac Cardiovasc Surg. 2009;137:76-81.
12. Forcillo J, Pellerin M, Perrault LP, et al. Carpentier-Edwards pericardial valve in the aortic position: 25-years experience. Ann Thorac Surg. 2013;96:486-493.
13. Bach DS, Kon ND. Long-term clinical outcomes 15 years after aortic valve replacement with the Freestyle stentless aortic bioprosthesis. Ann Thorac Surg. 2014;97:544-551.
14. Guenzinger R, Fiegl K, Wottke M, Lange RS. Twenty-seven-year experience with the St. Jude Medical Biocor bioprosthesis in the aortic position. Ann Thorac Surg. 2015;100:2220-2226.
15. Johnston DR, Soltesz EG, Vakil N, et al. Long-term durability of bioprosthetic aortic valves: implications from 12,569 implants. Ann Thorac Surg. 2015;99:1239-1247.
16. Repossini A, Fischlein T, Santarpino G, et al. Pericardial stentless valve for aortic valve replacement: long-term results. Ann Thorac Surg. 2016;102:1956-1965.
17. Bourguignon T, El Khoury R, Candolfi P, et al. Very long-term outcomes of the Perimount aortic valve in patients aged 60 or younger. Ann Thorac Surg. 2015;100:853-859.
18. Rodriguez-Gabella T, Voisine P, Puri R, et al. Aortic bioprosthetic valve durability: incidence, mechanisms, predictors, and management of surgical and transcatheter valve degeneration. J Am Coll Cardiol. 2017;70:1013-1028.
19. Kapadia SR, Leon MB, Makkar RR, et al. 5-year outcomes of transcatheter aortic valve replacement compared with standard treatment for patients with inoperable aortic stenosis (PARTNER 1): a randomised controlled trial. Lancet. 2015;385:2485-2491.
20. Toggweiler S, Humphries KH, Lee M, et al. 5-year outcome after transcatheter aortic valve implantation. J Am Coll Cardiol. 2013;61:413-419.
21. Barbanti M, Petronio AS, Ettori F, et al. 5-year outcomes after transcatheter aortic valve implantation with CoreValve prosthesis. JACC Cardiovasc Interv. 2015;8:1084-1091.
22. Eltchaninoff H. Clinical experiences and echo data from Rouen. Presented at: Transcatheter Valve Therapies (TVT) 2016; June 16–18, 2016; Chicago, Illinois.
23. Dvir D, Bourguignon T, Otto CM, et al. Standardized definition of structural valve degeneration for surgical and transcatheter bioprosthetic aortic valves. Circulation. 2018;137:388-399.
Advertisement
Advertisement

