Advertisement
Advertisement
July/August 2018
PFO Closure in Patients With Cryptogenic Stroke
A discussion on the use of patent foramen ovale closure for patients with cryptogenic stroke.
With Lawrence Ong, MD; Salman Azhar, MD; and Jonathan M. Tobis, MD



CASE PRESENTATION
By Lawrence Ong, MD
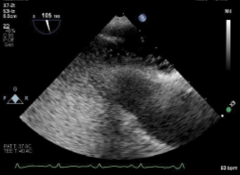
Figure 1. PFO with atrial septal aneurysm. There is wide opening of the septum primum, much larger than is usually seen with most PFOs.
A 30-year-old woman presented with cryptogenic stroke (loss of strength and coordination of her left arm for 4–6 hours) while on oral contraceptive therapy. A brain MRI showed multiple small cerebellar strokes without evidence of extra- or intracranial vascular pathology. Transesophageal echocardiography (TEE) reportedly showed a patent foramen ovale (PFO). An implantable loop recorder did not reveal occult atrial fibrillation. The patient was started on aspirin therapy and discharged.
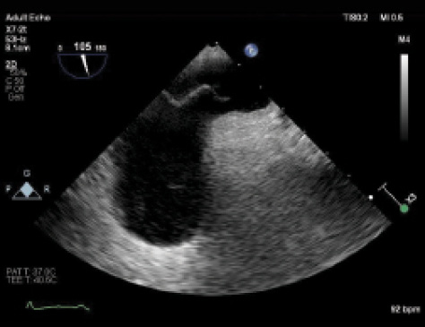
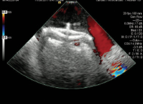
Now, 2 years later, the patient wishes to start a family and is reconsidering her aspirin therapy. No additional events have been reported since the patient has been off contraceptives. TEE was performed again and showed a large PFO with atrial septal aneurysm (Figure 1) and large right-to-left shunt (Figure 2). Treatment proceeded with implantation of a 35-mm Amplatzer PFO occluder (Abbott Vascular) without any complications (Figure 3).
Neurology Guidelines Do Not Support PFO Closure for This Patient
By Salman Azhar, MD
In 2016, the Academy of Neurology published an update of the practice parameter for PFO closure in stroke patients1 based on three trials and found no benefit for closure over medical treatment.2-4 The CLOSURE I trial2 was a 2-year study using the StarFlex septal closure system (NMT Medical, Inc.) that compared closure against antiplatelet therapy, warfarin, or both. No benefit was found in favor of surgical treatment and there was a trend toward a higher incidence of atrial fibrillation during the procedure, as well as an increased incidence of complications at 30 days after the procedure. The next two trials (the PC trial and RESPECT) used the Amplatzer PFO occluder and failed to show a benefit when compared with medical therapy.3,4 Additionally, there was an increased risk of atrial fibrillation and periprocedural complications. Based on all three trials showing no benefit and a higher risk of complications, the update strongly supported medical treatment as the standard of care for patients with cryptogenic stroke and PFO.
Major criticisms of these three trials were the inclusion of nonembolic lacunar strokes, inclusion of small PFOs, and a short follow-up period of only 2 years. Since the update, three subsequent studies, RESPECT Extended, REDUCE, and CLOSE, were presented that make a strong case for PFO closure in cryptogenic stroke.5-7 It is worthwhile to consider why the results of these trials were positive and whether they addressed the concerns brought up by the practice parameter.
Most interesting is the extended follow-up of the RESPECT trial.5 The 2-year follow-up data from RESPECT compared PFO closure against antiplatelet therapy or warfarin using the Amplatzer device. The primary outcome was a composite of nonfatal ischemic stroke, fatal ischemic stroke, or early death. No clear evidence of benefit was found at the 2-year mark (hazard ratio [HR], 0.49; P = .08). The follow-up study, RESPECT Extended, allowed for continued observation time with a median of 5.9 years with significant benefit evident in the PFO closure arm (HR, 0.55; P = .046). The number of patients who had a stroke increased from 16 to 28 in the medical therapy group and only from nine to 18 in the PFO closure group. By acting as its own internal control, RESPECT appears to indicate that it takes longer than initially expected at the outset of the trial to reap the benefit of PFO closure.
The REDUCE and CLOSE trials also addressed two flaws leveled at the previous studies. In both studies, there was a strong benefit in favor of closure with a low incidence of strokes during the procedure. The CLOSE trial only enrolled patients with a large interatrial shunt or atrial septal aneurysm. In the REDUCE trial (while allowing for any size PFO), 81.9% of patients had a moderate or large PFO, and it was in this group in particular that closure plus antiplatelets resulted in a significantly lower stroke risk in patients (P = .001). The closure arm in patients with small shunts did not reach significance (P = .26). Based on these studies, PFO closure is a recommended treatment after certain criteria are met. The size of PFO and presence of atrial septal aneurysm are key elements in the success of PFO closure. It is also important to recognize that it is not enough to ascertain if the stroke is cryptogenic but also to determine whether it is likely to be embolic or thrombotic. Exclusion of lacunar strokes and an extensive workup of other causes of stroke, including the implantation of a loop recorder and use of event monitors, may be required in patients with small PFOs, no atrial septal aneurysm, and no venous clot. Additionally, a patient who presents with a large PFO or a moderately sized PFO with a deep vein thrombosis will also benefit from a thorough evaluation for other sources of stroke.
The Evidence for PFO Closure for Cryptogenic Stroke Is Overwhelming
By Jonathan M. Tobis, MD
Percutaneous techniques for closure of PFO have been available since 2001. After multiple observational studies, the results of the RESPECT, REDUCE, and CLOSE clinical trials have all led to the same conclusion: The presence of a PFO is causally related to the majority of cryptogenic strokes and closure of a PFO decreases the risk of recurrent stroke by approximately 60%.5-7
The RESPECT trial5 randomized 980 people with cryptogenic stroke to either medical therapy (antiplatelet or warfarin [20% of subjects]) or PFO closure with the Amplatzer PFO occluder. The event rate was low but continuous at 1% per year for recurrent stroke in the medically treated arm. Subjects with an atrial septal aneurysm or large right-to-left shunt demonstrated the greatest benefit. Patients with cryptogenic stroke tend to be young and are at risk for recurrent stroke for many decades.
The REDUCE trial6 evaluated the Helex and Cardioform septal occluders (Gore & Associates) in 664 patients with cryptogenic stroke. Compared with antiplatelet therapy, PFO closure resulted in a 70% reduction in recurrent stroke events. Only clinical or silent strokes with documented MRI abnormalities should be considered for PFO closure. A clinical transient ischemic attack is difficult to distinguish from a complex migraine with transient neurologic deficits, as both will have a normal-appearing MRI.
The CLOSE trial7 compared PFO closure with 11 different devices to medical therapy with antiplatelets or anticoagulants (warfarin, 93%; novel oral anticoagulant, 7%). The study was limited to 663 patients who had an atrial septal aneurysm or a large right-to-left shunt. In the medical arm, the risk of recurrent stroke was approximately 1% per year over 9 years (similar to the RESPECT and REDUCE trial results) compared with no recurrent strokes in the PFO closure group.
The major risk associated with these devices is an approximate 5% incidence of atrial fibrillation during the first 2 months due to inflammation in the atrium. This requires anticoagulation and antiarrhythmic therapy but usually dissipates by 3 months. There is a small risk of nickel allergy associated with the Amplatzer device that does not appear to be present with either of the Gore occluders. Although usually well tolerated, 1 in 500 patients report excessive chest pain, which is only relieved upon removal of the device, and requires open heart surgery. Awareness of this possibility should be included during the informed consent process.
SUMMARY
A PFO should no longer be considered an innocent bystander in the presence of a stroke of unknown etiology. If an individual who has a PFO experiences a stroke, and no other cause is found, then that event should not be described as cryptogenic; that event should be called a PFO-associated stroke. PFO closure is relatively safe and will reduce the risk of recurrent stroke by 60% to 70%.
This debate was first presented as part of the inaugural New York City Debates in Interventional Cardiology meeting sponsored by Northwell Health.
1. Messé SR, Gronseth G, Kent DM, et al. Practice advisory: recurrent stroke with patent foramen ovale (update of practice parameter). Neurology. 2016;87:815-821.
2. Furlan AJ, Reisman M, Massaro J, et al. Closure or medical therapy for cryptogenic stroke with patent foramen ovale. N Engl J Med. 2012;366:991-999.
3. Meier B, Kalesan B, Mattle HP, et al. Percutaneous closure of patent foramen ovale in cryptogenic embolism. N Engl J Med. 2013;368:1083-1091.
4. Carroll JD, Saver JL, Thaler DE, et al. Closure of patent foramen ovale versus medical therapy after cryptogenic stroke. N Engl J Med. 2013;368:1092-1100.
5. Saver JL, Carroll JD, Thaler DE, et al. Long-term outcomes of patent foramen ovale closure or medical therapy after stroke. N Engl J Med. 2017;377:1022-1032.
6. Søndergaard L, Kasner SE, Rhodes JF, et al. Patent foramen ovale closure or antiplatelet therapy for cryptogenic stroke. N Engl J Med. 2017;377:1033-1042.
7. Mas J-L, Derumeaux G, Guillon B, et al. Patent foramen ovale closure or anticoagulation vs. antiplatelets after stroke. N Engl J Med. 2017;377:1011-1021.
Advertisement
Advertisement

