Advertisement
Advertisement
September/October 2017
An Anesthesiologist's Perspective of Radial Artery Catheterization
A brief summary of radial artery catheterization and the factors an anesthesiologist considers before and during placement, with an emphasis on ultrasound guidance.
By Todd Novak, MD, and Luke Janik, MD
Radial arterial catheterization is a common procedure performed by anesthesiologists in the perioperative period.1 The advantages of utilizing the radial artery include its accessibility, predictable location, and low risk of complications. The radial artery usually has a superficial course where it can be palpated in most patients, and given the extensive collateral circulation to the forearm and hand from the ulnar artery, it is the location of choice for arterial access. Although the success rate for radial artery catheterization among experienced anesthesiologists using a landmark (ie, palpation) technique is high,2 there are occasions when the procedure may be technically challenging (eg, nonpulsatile patient with a left ventricular assist device, hypotension, and morbid obesity). In these circumstances, the use of point-of-care two-dimensional ultrasonography (US) may decrease the number of attempts, reduce the time to cannulation, and improve the success rate.
Nevertheless, the routine use of US may only benefit the inexperienced proceduralist (ie, residents),3 as data suggest the added benefit to the experienced anesthesiologist is less certain.2 These circumstances are reflected in the 2012 guidelines by the Council on Vascular Ultrasound of the American Society of Echocardiography and the Society of Cardiovascular Anesthesiologists, in which the routine use of US is not recommended for arterial cannulation in general.4 However, in situations where difficulty is likely to be encountered, the use of US can be invaluable in improving first-pass success and decreasing the rate of complications.
INDICATIONS AND CONTRAINDICATIONS
Anesthesiologists most often perform arterial catheterization in the perioperative period when continuous arterial pressure measurement is needed and/or frequent arterial blood gas sampling or blood draws are anticipated. A less common indication is the inability to obtain accurate noninvasive blood pressure readings (ie, morbid obesity, severe burns, and severe peripheral vascular disease). Absolute contraindications to radial artery catheterization include inadequate circulation to the upper extremity, Raynaud syndrome, thromboangiitis obliterans, and infection over the insertion site.
COMPLICATIONS
The most common complications from radial artery catheterization when performed by anesthesiologists are temporary artery occlusion (19.7%) and hematoma (14.4%), with infection at the insertion site (1.3%), hemorrhage (0.53%), and bacteremia (0.13%) much less likely.5,6 It should be noted the complication rates in patients undergoing radial arterial catheterization for coronary interventions are lower than for patients with catheters inserted for hemodynamic monitoring. Although transradial cardiac catheterization may theoretically put patients at higher risk of postprocedure radial occlusion due to the use of larger-diameter radial catheters (6 F vs 2.7 F [20 gauge] for hemodynamic monitoring), there is still a notably lower (1%–10%) radial artery occlusion rate.7 This is thought to be primarily due to the use of adequate anticoagulation (≥ 5,000 IU heparin)8 and a relatively short duration of radial artery catheter placement. When radial artery catheterization is used for hemodynamic monitoring, patients are usually not anticoagulated and the cannulation duration may last for several days. In fact, as the cannulation time exceeds 48 to 72 hours, the incidence of radial occlusion increases significantly.9,10
The dual-arterial blood supply to the forearm and hand offers protection from more serious complications. Unlike the axillary, brachial, and femoral arteries, the radial artery is not the sole blood supply to a distal extremity. Fortunately, the complication of permanent ischemic damage is rare (0.09%).5 Many studies have been undertaken to attempt to predict patients who might be at risk for ischemic complications. The original Allen test, described by Dr. Edgar Allen in 1929, involves compression of the radial artery while the patient holds a clenched fist for 1 minute.11 Upon release of the clenched fist, the ulnar artery is considered patent if the initial pallor of the hand is replaced with normal rubor color. Similarly, the patency of the radial artery is assessed by occluding the ulnar artery.
The Allen test was later modified by Dr. Irving Wright in 1952.12 The modified Allen test is performed by clenching a fist for at least 30 seconds while both the ulnar and radial arteries are occluded. The hand is then allowed to relax while the test artery is released, and the time to reperfusion is noted. The collateral circulation of the hand is intact if pallor of the hand disappears rapidly. Although the modified Allen test is commonly performed to assess the adequacy of collateral circulation, there are limitations that make the clinical utility of using it as a screening tool problematic. It is quite subjective and is susceptible to interobserver variability.13 There is also a wide range of times considered acceptable for adequate collateral circulation.14
Moreover, there is a lack of evidence that the modified Allen test can predict which patients would be at risk for hand ischemia after radial artery cannulation.15-17 There have been reports of using the modified Allen test along with pulse oximetry, plethysmography, or Doppler US to make the results of the test more objective. When pulse oximetry is employed, the time until the value returns to baseline is evaluated.18 There are some concerns with this technique because blood flow as low as 4% to 9% of baseline can still return a normal pulse oximeter value; therefore, a normal reading does not guarantee adequate collateral blood flow.19 Some researchers believe that pulse oximetry alone may be too sensitive of an indicator of tissue perfusion and visualization of the plethysmography waveform is more objective.20 However, like pulse oximetry, plethysmography is still unable to quantify blood flow. Doppler US also has been investigated and appears promising, although no standard criteria have been established that define abnormal perfusion.21 In summary, there is no evidence the modified Allen test, with or without adjunctive testing, can accurately predict patients at risk for hand ischemia after radial artery catheterization.
PREPARATION
Successful insertion of a radial artery catheter in a safe and efficient manner requires thoughtful preparation, knowledge of the relevant anatomy, and familiarity with various cannulation techniques. Traditionally, arterial catheters have been considered to pose minimal risk for infection. Based on this widely accepted notion, many providers place arterial catheters using a “nontouch” aseptic technique, in which they wear nonsterile gloves and take care to avoid touching the intended site of needle insertion once the skin has been disinfected (similar to that used for peripheral intravenous catheters). However, recent evidence suggests that the infectious risk of arterial catheters is significantly higher than previously appreciated. A study by Maki and colleagues demonstrated that the infectious risk of arterial catheters approaches that of central venous catheters, with a rate of catheter-related bloodstream infections for arterial catheters of 1.3% (3.4/1,000 catheter-days) compared to 2.7% (5.9/1,000 catheter-days) for noncuffed short-term central venous catheters.6
Although the risk of infection clearly remains higher for femoral arterial catheters than radial arterial catheters (relative risk, 1.93),22 the recognition of potential infectious complications from radial artery catheters has led many providers to change their practice patterns. In line with the recommendation of the Centers for Disease Control and Prevention, many providers now use sterile gloves for placement of arterial catheters in addition to a hat, mask, and small drape.23 A 2% chlorhexidine aqueous solution preparation has been associated with lower bloodstream infection rates compared to 10% povidone-iodine or 70% alcohol and is the skin preparation of choice.24 A chlorhexidine-impregnated sponge (Biopatch, Ethicon) placed over the site of a short-term arterial catheter has been shown to reduce the risk for catheter colonization and catheter-related bloodstream infection.25 The role for maximal barrier protection (hat, mask, sterile gown, sterile gloves, large sterile drape) continues to be debated and is left to the provider’s discretion.
Knowledge of the normal course of the radial artery, as well as the common variants, is essential during placement of radial artery catheters. Although a detailed review of the relevant anatomy is beyond the scope of this article, we refer the reader to an excellent comprehensive review on this topic by Brzezinski et al.21 In the distal forearm, the radial artery is bordered by the flexor carpi radialis medially and the brachioradialis laterally. The artery runs in a straight course until reaching the distal radius, where it gently deviates medially around the styloid process of the radius before entering the hand. Also at this point, the radial artery gives off branch vessels to the arches supplying the hand. Of note, up to 30% of the population has a variant of the origin or course of the radial artery.
Known variants include but are not limited to a high origin off the brachial or axillary artery, opposite origin from the medial side of the brachial artery, a tortuous radial artery, and a superficial radial artery that crosses over the tendons defining the anatomic “snuffbox” of the wrist. Duplication of the artery, as well as complete absence, also have been described.21
TECHNIQUE
Figure 1. The wrist in extension with the aid of a towel roll. The thumb is also taped in extension. The wrist and forearm have been widely prepared with 2% chlorhexidine solution.
Anesthesiologists frequently place arterial catheters using the landmark technique. After positioning the wrist in extension with the aid of a towel roll, the hand is secured to the table using tape over the palmar surface of the hand. Additionally, many providers also secure the thumb in abduction and extension (Figure 1). Proper positioning brings the artery to its most superficial position and places it under maximal tension. After preparation and draping, the radial artery is localized using palpation. The point of maximal impulse is typically near the styloid process, where the artery is at its most superficial point. However, because the artery deviates medially around the styloid process and gives off branch vessels to the wrist and hand near this point, we recommend access proximal to the styloid process.
The use of local anesthetic prior to arterial cannulation greatly improves comfort and decreases the risk of vasospasm in awake or lightly sedated patients (this step is considered unnecessary for patients under general anesthesia). We recommend an injection of 1 to 3 mL of lidocaine 1% without epinephrine with a small-gauge needle (eg, 22–25 gauge), depositing local anesthetic on both the medial and lateral side of the radial artery. Generous use of lidocaine may distort the anatomy and make palpation of the artery difficult; however, gentle massage of the area after injection usually resolves this issue. The choice of arterial catheter varies by provider and institution. The catheter of choice at our institution is a 20-gauge X 1.75-inch catheter over a 22-gauge needle, with an integral 0.018-inch-diameter (0.46-mm) guidewire (Arrow radial artery catheterization set, Arrow International, a division of Teleflex). There are two main techniques for cannulating the radial artery: single-wall puncture and transfixation. The single-wall puncture technique involves puncture of the anterior wall of the artery, followed by advancement of the catheter over the needle or over a guidewire. The transfixation technique (ie, through-and-through) involves intentional skewering of the artery, followed by removal of the needle and then slow withdrawal of the catheter until pulsatile flow is noted, at which point a guidewire is inserted through the catheter and into the vessel lumen. There is no difference in the rate of arterial thrombosis between the two techniques.26
ULTRASOUND GUIDANCE
US guidance is useful in instances where the radial artery is difficult to localize by means of palpation. A high-frequency linear transducer is the probe of choice (eg, 13-6 MHz). Color Doppler can be helpful if the artery is not easily identified by pulsation alone, but it is often unnecessary. We recommend a short-axis, out-of-plane approach (Figure 2) because a long-axis view of the radial artery is difficult to reliably achieve given the small vessel diameter. Many novice users of US have difficulty visualizing the tip of the needle during an out-of-plane approach. As a result, it is often difficult to judge the depth of the needle, making single-wall puncture challenging. There are two simple solutions to this problem: (1) ask an assistant to constantly visualize the hub of the needle and alert the provider when flash is obtained, or (2) utilize a transfixation technique during US-guided access so that needle depth is not a primary concern.
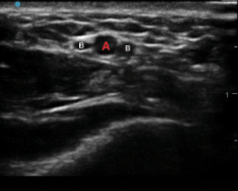
Figure 2. A short axis US image of the distal radial artery (red A). The artery is accompanied on both sides by radial venae comitantes (white Bs).
Figure 3. Demonstration of the dynamic needle tip positioning technique. The hyperechoic white dot representing the needle tip is localized just above the wall of the artery (A). The needle tip is advanced into the vessel lumen, using care to avoid advancing the needle tip beyond the plane of the ultrasound beam (B). The ultrasound probe is slowly advanced proximally while the needle is held immobile until the needle tip disappears (C). The ultrasound probe is held immobile while the needle is advanced until the tip reappears in the lumen (D). At this point, the guidewire or catheter can be advanced into the arterial lumen.
A more advanced technique of US-guided vascular access, known as dynamic needle tip positioning, is frequently used by these authors (Figure 3) and is described in excellent detail by Clemmesen et al.27 In this technique, the needle tip is localized as a hyperechoic white structure. Once localized, the US probe is slowly moved proximally while the needle is held immobile. When the hyperechoic white structure disappears from the screen, the provider should immediately stop moving the US probe and then slowly advance the needle. When the hyperechoic white structure reappears, the provider should then immediately stop advancing the needle. By continually repeating these steps, the provider can visualize the needle tip throughout the procedure, until it is clearly in the middle of the vessel lumen. When performed properly, the provider can be assured the tip of the needle is intraluminal without needing to deviate his/her eyes from the US screen to the hub of the needle to verify arterial flash.
CONCLUSION
Radial artery catheterization is commonly performed by anesthesiologists in the perioperative period. As the field of interventional cardiology continues to evolve, the transradial approach to cardiac catheterization procedures is more frequently utilized. Regardless of the indication for radial artery catheterization, the underlying principles of the procedure are the same across medical specialties. With proper knowledge of the upper extremity anatomy, the use of sterile technique, understanding of various cannulation techniques, and the aid of ultrasound guidance, radial artery catheterization can be performed safely and efficiently.
TIPS TO IMPROVE RADIAL ARTERY CANNULATION SUCCESS RATES
Like most medical procedures, there is no substitute for experience when cannulating the radial artery. However, there are a few tips that may improve success rates:
- The radial artery often lies slightly more medially than may be perceived by palpation. Skin puncture just medial to the perceived center of the radial artery may improve first-pass success rates.
- Traditional teaching encourages an approach angle of 30° to 45° to the skin, which is then decreased after flash is obtained. In our experience, the act of “dropping the angle of the needle” often results in significant movement at the tip of the needle, displacing the needle tip from the lumen of the vessel. Instead, we recommend starting with a shallower approach angle, so that once flash is obtained, the needle can be held motionless while the guidewire or catheter is advanced.
- The transfixation technique is an excellent “rescue” technique when single-wall puncture is attempted but the guidewire will not easily advance into the lumen after flash is obtained. In this situation, simply withdraw the guidewire and advance the needle to skewer the vessel. Then, proceed with the transfixation technique.
- The most common error in the transfixation technique is attempting to advance the guidewire through the catheter at the first sight of blood return. In a normotensive patient, do not attempt to advance the guidewire until there is a definitive, robust pulsatile flow from the catheter. This often requires withdrawal of the catheter several millimeters beyond the first sight of blood return.
- A small bolus of intravenous phenylephrine (40–80 mg), if not contraindicated, will improve the ability to palpate the radial artery and may improve success rates.
- Patients with significant atherosclerotic burden may require a very fine guidewire to access the vessel (eg, 0.012-inch guidewire with flexible ends).
1. Gardner RM. Direct arterial pressure monitoring. Curr Anaesth Crit Care. 1990;1:239-246.
2. Peters C, Schwarz SK, Yarnold CH, et al. Ultrasound guidance versus direct palpation for radial artery catheterization by expert operators: a randomized trial among Canadian cardiac anesthesiologists. Can J Anaesth. 2015;62:1161-1168.
3. Gopalasingam N, Hansen MA, Thorn S, et al. Ultrasound-guided radial artery catheterisation increases the success rate among anaesthesiology residents: a randomised study. J Vasc Access. In press.
4. Troianos CA, Hartman GS, Glas KE, et al; Councils on Intraoperative Echocardiography and Vascular Ultrasound of the American Society of Echocardiography. Guidelines for performing ultrasound guided vascular cannulation: recommendations of the American Society of Echocardiography and the Society of Cardiovascular Anesthesiologists. J Am Soc Echocardiogr. 2011;24:1291-1318.
5. Scheer B, Perel A, Pfeiffer UJ. Clinical review: complications and risk factors of peripheral arterial catheters used for haemodynamic monitoring in anaesthesia and intensive care medicine. Crit Care. 2002;6:199-204.
6. Safdar N, O’Horo JC, Maki DG. Arterial catheter-related bloodstream infection: incidence, pathogenesis, risk factors and prevention. J Hosp Infect. 2013;85:189-195.
7. Avdikos G, Karatasakis A, Tsoumeleas A, et al. Radial artery occlusion after transradial coronary catheterization. Cardiovasc Diagn Ther. 2017;7:305-316.
8. Spaulding C, Lefevre T, Funck F, et al. Left radial approach for coronary angiography: results of a prospective study. Cathet Cardiovasc Diagn. 1996;39:365-370.
9. Slogoff S, Keats AS, Arlund C. On the safety of radial artery cannulation. Anesthesiology. 1983;59:42-47.
10. Bedford RF. Long-term radial artery cannulation: effects on subsequent vessel function. Crit Care Med. 1978;6:64-67.
11. Allen EV. Thromboangiitis obliterans: methods of diagnosis of chronic arterial lesions distal to the wrist with illustrative cases. Am J Med Sci. 1929;178:237-244.
12. Wright I. Vascular diseases in clinical practice. Chicago, IL: Year Book Medical Publishers; 1952.
13. Greenhow DE. Incorrect performance of Allen’s test—ulnar-artery flow erroneously presumed inadequate. Anesthesiology. 1972;37:356-357.
14. WHO Guidelines on Drawing Blood: Best Practices in Phlebotomy. Geneva, Switzerland: World Health Organization; 2010.
15. Wilkins RG. Radial artery cannulation and ischaemic damage: a review. Anaesthesia. 1985;40:896-899.
16. Abu-Omar Y, Mussa S, Anastasiadis K, et al. Duplex ultrasonography predicts safety of radial artery harvest in the presence of an abnormal Allen test. Ann Thorac Surg. 2004;77:116-119.
17. McGregor A. The Allen test: an investigation of its accuracy by fluorescein angiography. J Hand Surg. 1986;12:82-85.
18. Nowak GS, Moorthy SS, McNiece WL. Use of pulse oximetry for assessment of collateral arterial flow. Anesthesiology. 1986;64:527.
19. Lawson D, Norley I, Korbon G, et al. Blood flow limits and pulse oximeter signal detection. Anesthesiology. 1987;67:599-603.
20. Brodsky JB. A simple method to determine patency of the ulnar artery intraoperatively prior to radial-artery cannulation. Anesthesiology. 1975;42:626-627.
21. Brzezinski M, Luisetti T, London MJ. Radial artery cannulation: a comprehensive review of recent anatomic and physiologic investigations. Anesth Analg. 2009;109:1763-1781.
22. O’Horo JC, Maki DG, Krupp AE, et al. Arterial catheters as a source of bloodstream infection: a systematic review and meta-analysis. Crit Care Med. 2014;42:1334-1339.
23. O’Grady NP, Alexander M, Dellinger EP, et al. Guidelines for the prevention of intravascular catheter-related infections. MMWR Recomm Rep. 2002;51(RR-10):1-29.
24. Maki DG, Ringer M, Alvarado CJ. Prospective randomised trial of povidone-iodine, alcohol, and chlorhexidine for prevention of infection associated with central venous and arterial catheters. Lancet. 1991;338:339-343.
25. Maki DG, Mermel LA, Klugar D, et al. The efficacy of a chlorhexidine impregnated sponge (Biopatch) for the prevention of intravascular catheter-related infection—a prospective randomized controlled multicenter study [abstract]. Presented at the Interscience Conference on Antimicrobial Agents and Chemotherapy, American Society for Microbiology; 2000; Toronto, Ontario, Canada.
26. Jones RM, Hill AB, Nahrwol ML, et al. The effect of method of radial artery cannulation on postcannulation blood flow and thrombus formation. Anesthesiology. 1981;55:76-78.
27. Clemmesen L, Knudsen L, Sloth E, et al. Dynamic needle tip positioning—ultrasound guidance for peripheral vascular access. A randomized, controlled and blinded study in phantoms performed by ultrasound novices. Ultraschall in Med. 2012;33:E321-E325.
Todd Novak, MD
Department of Anesthesia Northshore University
Healthsystem
Clinical Assistant Professor
University of Chicago Pritzker School of Medicine
Evanston, Illinois
(847) 570-2760; tnovak@northshore.org
Disclosures: None.
Luke Janik, MD
Department of Anesthesia Northshore University
Healthsystem
Clinical Assistant Professor
University of Chicago Pritzker School of Medicine
Evanston, Illinois
(847) 570-2760; ljanik@northshore.org
Disclosures: None.
Advertisement
Advertisement