Advertisement
Advertisement
May/June 2017
Essential Equipment for Radial Access Problem Solving
A synopsis of the techniques and technology available to assist with and improve the benefits of radial access procedures.
By Anthony Wassef, MD, FRCPC, and Asim N. Cheema, MD, PhD, FRCPC
Since the first use of the radial artery for coronary angiography1 and percutaneous coronary intervention (PCI),2 transradial (TR) access has grown in popularity.3 Transradial PCI reduces vascular complications3-5 and favorably affects clinical outcomes.5-7 Other important benefits of TR access include greater patient comfort8 and lower procedural costs9 compared with the transfemoral approach. However, TR PCI has a slower learning curve compared with the femoral approach, with a significant risk of failure among less experienced operators.10,11 In this article, we discuss several commonly encountered challenges for TR PCI and various techniques and technologies that can be used to improve TR access success rates.
ULNAR ARTERY COLLATERAL CIRCULATION
Confirmation of dual circulation to the hand (intact palmar arch), either by Allen test12 or plethysmography,13 was traditionally considered an important prerequisite, and patients with poor collateral circulation were deemed unsuitable for TR access. However, recent studies have confirmed the safety of TR access, regardless of the collateral circulation status,14 and formal testing preprocedure is therefore not necessary.
RADIAL ARTERY PUNCTURE
In our practice, we use the right radial artery as a default approach due to ease of catheter manipulation and use of equipment, particularly in obese individuals. The radial artery is accessed 1 to 2 cm proximal to the radial styloid process using a micropuncture needle and modified Seldinger technique for an anterior wall-only puncture, but a true Seldinger technique with through-and-through arterial puncture may be used without added risk.15 Some patients may have a poorly palpable radial artery, and improved blood flow may be achieved by compression of the ipsilateral ulnar or radial artery distal to the puncture site16 or application of dermal or sublingual nitroglycerine.17,18
Once access is achieved, use of a tapered hydrophilic sheath is preferable to prevent spasm and discomfort during sheath insertion and removal.19,20 The arterial administration of vasodilators, such as verapamil (2.5 mg), nitroglycerin (200 µg), or both, immediately after gaining access was commonly used to prevent radial artery spasm, but not routinely required with the use of hydrophilic sheaths. Although sterile granulomas were observed with the initial use of hydrophilic sheaths,21 this has since been identified to be limited to a single manufacturer (Cook Medical), and there are no concerns about the use of hydrophilic sheaths by other manufacturers. Several available and commonly used hydrophilic sheaths include Glidesheath (Terumo Interventional Systems), VSI (Vascular Solutions, Inc.), Prelude (Merit Medical Systems, Inc.), and Adelante (Oscor Inc.). When choosing a sheath size, consider the complexity of the specific case; however, most patients can easily accommodate a 6-F sheath,22 allowing standard PCI equipment including IVUS/optical coherence tomography/fractional flow reserve, rotational atherectomy with a 1.5-mm burr, and bifurcation stenting except for when two stents need to be introduced simultaneously. In addition, many operators routinely use 5-F catheters for diagnostic angiography or simple PCI assisted by a power hand injector. We prefer 6-F catheters for routine use due to better backup support, and we upsize to 7 F to accommodate large atherectomy burrs or two-stent procedures and downsize to 5 F when we encounter radial artery spasm with 6-F guides.
NAVIGATING ANATOMICAL VARIATIONS
Variations in radial, brachial, and subclavian anatomy can make TR access difficult and remains the most common cause of TR access failure. It is imperative that operators are aware of different anatomic features to anticipate and overcome challenges. Tortuous forearm vessels are often difficult to negotiate with regular wires and catheters. Difficulty advancing wires or catheters is the first sign that either an anatomic variation or radial artery spasm is present, and operators should not persist or exert force that may cause vessel trauma to occur. It is important to inject from the sheath or the catheter to define the anatomy and reduce the risk of complications (Figure 1A and 1B). Most TR access with tortuosity or sharp angulations can be negotiated with a hydrophilic wire to facilitate catheter advancement. Similarly, radioulnar loops (Figure 1C) are a rare occurrence23 that may be negotiated with a hydrophilic guidewire or a standard 0.014-inch coronary wire (BMW Universal, Abbott Vascular), followed by gently advancing a 5-F catheter (Figure 1D). The use of balloon-assisted guide catheter advancement24 over a coronary guidewire (Figure 1E) is able to overcome most cases of radial tortuosity and loops. However, early switching to a femoral approach is advisable if the patient experiences discomfort or spasm.
Figure 1. Challenges in TR access and management strategies. Focal (A) and diffuse (B) radial artery spasm that did not respond to intra-arterial vasodilators. A 360° radial loop (C) that was successfully negotiated with a 5-F catheter over a hydrophilic guidewire (D). A 6-F guide catheter with a 2-mm leading balloon inflated over a coronary wire was used to successfully navigate radial artery tortuosity and spasm (E).
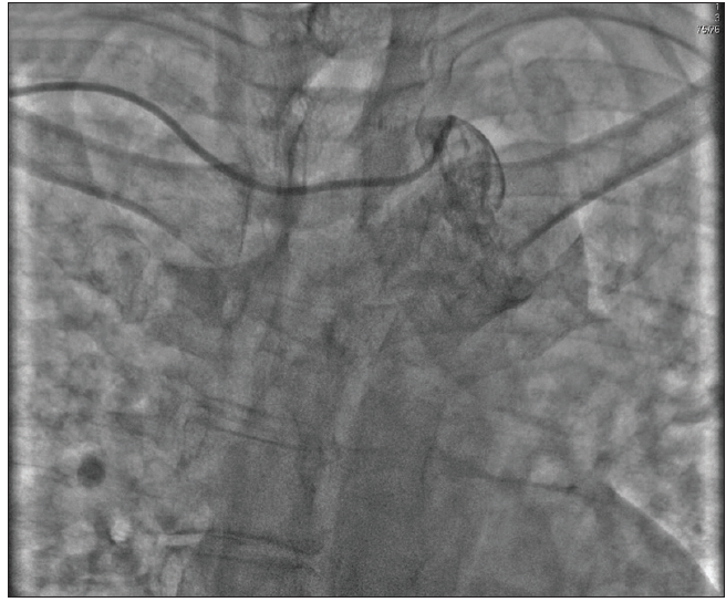
Figure 2. The aberrant right subclavian artery (arteria lusoria). The aberrant right subclavian origin was identified during TR access to treat a 74-year-old man for an acute anterior ST-segment elevation myocardial infarction. Due to the potential time delay associated with managing the technical difficulties of this case, alternate transfemoral access was used, and primary PCI was completed.
Subclavian tortuosity occurs more frequently in women and elderly patients,25 presenting a challenge for coronary cannulation. This can also be problematic for cases requiring multiple catheter exchanges or significant guide catheter support for equipment delivery in distal coronary segments. Access to the ascending aorta can be facilitated in most cases by asking the patient to take a deep breath, which can decrease excessive angulation between the right subclavian and the ascending aorta. If this is unsuccessful, a hydrophilic wire may be needed to negotiate the tortuosity and advance the catheter to straighten the vessel. If still unsuccessful, consider switching to the left radial artery for a more direct approach to the ascending aorta. Operators should be aware of arteria lusoria, a congenital, aberrant, retroesophageal course of the right subclavian with an aortic origin distal to the left subclavian (Figure 2). Although case reports of successful PCI in the presence of this condition have been reported,26 we find that treating these patients via the right TR access is a challenge, and early switching to a left radial or a femoral approach is advised.
MANAGING RADIAL ARTERY SPASM
Radial artery spasm (Figure 1A and 1B) is not infrequent during TR access and is associated with patient discomfort, increased procedural time, and procedural failure.11,27,28 Predictors of radial artery spasm include small artery diameter, female sex, and diabetes mellitus, as well initial unsuccessful cannulation.29 Spasm can be prevented in most cases with adequate preprocedural planning. We routinely prescribe sedation to all patients with intravenous fentanyl (25–100 µg) and midazolam (1–2 mg) and have found this to be extremely useful, as patient anxiety is an important inducer of radial artery spasm.30,31 In addition, use of a tapered hydrophilic sheath minimizes discomfort during sheath insertion and removal. The arterial administration of a vasodilator, such as verapamil (2.5–5 mg),32-34 nitroglycerin (100–200 µg),32,33 or both,35 were commonly administered through the sheath immediately after gaining access to prevent radial artery spasm but rarely needed with the use of hydrophilic sheaths.
Figure 3. Sheathless guide size comparisons for commonly used catheters. Sheathless guides (Asahi Intecc USA, Inc.) are particularly useful for TR access cases where a catheter with a larger inner diameter is required for equipment delivery compared with the standard technique of upsizing to a bigger sheath, followed by introduction of a larger lumen guide catheter.
Similarly, the size of sheaths and catheters has a significant impact on spasm development. Sheath-to-TR access ratios > 1 have higher rates of spasm,22,36 and use of a 5-F sheath/catheter for patients at risk for radial artery spasm/tortuosity is sufficient for most simple interventions.36 The use of longer sheaths (up to 25 cm) has been suggested to decrease spasm by protecting the vessel from catheter manipulation,37 but the data are inconsistent,19 and short sheaths (< 10 cm) remain the standard approach at most institutions, including ours. As previously mentioned, we routinely use 6-F hydrophilic sheaths and standard 6-F guide catheters and size down to 5 F if radial artery spasm is encountered. We also find sheathless guides (Sheathless Eaucath, Asahi Intecc Co. Ltd.) to be a useful alternative for reducing spasm when larger lumen guides are required for complex PCI. A 7.5-F sheathless guide has a smaller outer diameter than a 6-F regular sheath, and an inner diameter of 0.081 inches allows passage of a greater range of interventional equipment (Figure 3).38,39
Despite the interventionist’s best efforts, spasm may still occur, causing pain and discomfort for the patient, difficulty in catheter manipulation, or entrapment of the guide or sheath. It is critical not to use excessive withdrawal force, as radial artery laceration or avulsion can occur. Greater sedation, pain management, reducing ambient lighting, and administering local intra-arterial and systemic vasodilators usually work within several minutes. However, axillary nerve block or general anesthesia may be required for extreme cases that do not resolve within an hour.
OPTIMUM CATHETER AND GUIDE SELECTION
Catheter selection is critical to optimize angiographic quality, reduce the risk of coronary ostial trauma, and provide adequate support for equipment delivery. Although several radial-specific guides are available on the market, we have not found significant differences between specialized radial catheters and standard femoral catheters in over more than 2 decades of performing TR access procedures. A survey of interventional cardiologists found a similar preference for standard femoral catheters over special radial-specific catheters.40 For coronary angiography, Judkins left and Judkins right catheters are standard choices. An Amplatz right catheter can be used for tortuous anatomy or if Judkins right does not work. For coronary intervention, extra backup or Voda left catheter shapes (Medtronic) are commonly the workhorse guides for left coronary intervention and are one size smaller compared to what is used from a femoral approach. Judkins right and Amplatz right guides are standard workhorse guides for right coronary artery intervention. The larger the patient, the larger the diameter of the ascending aorta, and the need for extra backup support favors selecting a larger size catheter shape. For bypass angiography, most right-sided grafts can be engaged with Judkins right/multipurpose or right coronary bypass shapes, whereas left-sided grafts can be tackled with Judkins right, Amplatz left, and left coronary bypass shapes. The left internal mammary can be accessed from the right radial artery41; however, our preference is to use the left radial artery for all patients who have had bypass graft procedures.
IMPROVING BACKUP SUPPORT
Poor guide catheter support due to acute or anomalous coronary takeoff, tortuous subclavian anatomy, enlarged aorta, or coronary angulation, calcification, and tortuosity are frequent causes of frustration for TR access operators and are often the cause of failure.11 A strong knowledge of techniques and technology available significantly increases TR access success rates.10,11 The difficulty in delivering a long stent in a distal coronary segment is not infrequent with TR access despite successful initial angiography and balloon angioplasty. The poor backup support is due to the subclavian and ascending aorta angulation that limits any applied force to be directed at the guide catheter tip and distal equipment. Therefore, it is more important to adequately predilate lesions with noncompliant balloons or atherectomy, especially in calcific vessels. Use of a larger guide or buddy wire has been suggested to resolve these issues. However, we find the use of a guide extension technique with either the GuideLiner catheter (Vascular Solutions, Inc.) or the Guidezilla (Boston Scientific Corporation) to be the single most useful technique to facilitate equipment delivery in these circumstances. We routinely advance the GuideLiner device just proximal to the target segment before advancing stents. If there is difficulty with GuideLiner placement, it can be tracked and advanced over a balloon inflated in a distal segment. Another technique that can be useful is to use a Wiggle wire (Abbott Vascular) that can anchor the distal small coronary segments, allowing a better rail for equipment delivery (Figure 4). The TR access failure rates are greatly minimized for complex, calcified, and tortuous lesions when employing one or more of the previously mentioned techniques.
Figure 4. Maximizing backup support of the TR approach for complex coronary interventions. A 64-year-old man with previous stenting presented with Canadian Cardiovascular Society grade III angina and chronic occlusion of the right coronary artery (A). A TR approach was used with an Amplatz left (AL1) guide catheter, and a Pilot 200 guidewire (Abbott Vascular) successfully crossed the occluded segment. The Pilot wire was exchanged to a Wiggle wire (arrow) to anchor the guide, and a GuideLiner catheter (asterisk) was used to advance dilating balloons to the target segments (B). The GuideLiner device was brought to the distal segment using the inflated balloon used as an anchor (B) and then left in a deep-seated position to facilitate delivery of multiple, long drug-eluting stents (C) to treat the entire occluded segment with a good angiographic result (D).
OPTIMIZING RADIAL ARTERY HEMOSTASIS
Radial artery occlusion (RAO) is a complication of TR access that commonly resolves over time and rarely results in clinical manifestations of hand ischemia.42 However, it does render the radial artery inaccessible for subsequent use in cases where it does not spontaneously resolve. A meta-analysis of 66 trials found an incidence of 7.7% at 24 hours and 5.5% after 1 week.43 The positive predictors of RAO include radial sheath to artery size and postprocedure compression time, and negative predictors include the use of patent hemostasis and anticoagulant.43-45 Nonrandomized data suggest that the rate of RAO is 71% with no anticoagulation and as low as 4% with heparin.46 Weight-based dosing at 50 units/kg has similar efficacy to fixed dosing, with reduced time to hemostasis.47 Heparin given intra-arterially or intravenously has similar efficacy,48 although intra-arterial heparin can cause local pain. Guideline-recommended doses of heparin are 50 units/kg or 5,000 units.49
Figure 5. Several compression devices are commercially available to facilitate patent hemostasis after TR procedures. These devices have unique mechanisms to manage the amount of pressure being applied to the radial artery. These devices include RadAR (Advanced Vascular Dynamics) (A), TR Band (Terumo Interventional Systems) (B), RadStat (Merit Medical Systems, Inc.) (C), Finale (Merit Medical Systems, Inc.) (D), Bengal (Ates Group–Benrikal) (E), and RadiStop (St. Jude Medical, Inc., now Abbott Vascular) (F).
Postprocedure hemostasis may be achieved using several commercially available products (Figure 5). A key technique to avoid RAO, regardless of the device used, is patent hemostasis.50 The steps of patent hemostasis are (1) apply the band/clamp to the puncture site, (2) tighten the band/clamp and remove the sheath, (3) loosen the band/clamp until bleeding at puncture site, (4) retighten just above the pressure required to achieve hemostasis, and (5) perform a reverse Barbeau test13 with plethysmography to ensure good blood flow to the fingers.49 The duration of compression is also an important predictor of RAO, and prolonged compression (> 2 hours) is associated with higher rates of RAO.51 However, ultrashort compression (20 minutes) does not reduce rates of RAO,52 and we routinely use a compression time of 40 to 60 minutes.
CONCLUSION
TR access is a rewarding procedure for both the patient and the operator, as it improves both patient satisfaction and clinical outcomes. Adequate knowledge of the techniques and available technology to assist with TR access procedures should allow any invasive cardiologist to maximize the benefits of TR access for their patients.
1. Campeau L. Percutaneous radial artery approach for coronary angiography. Cathet Cardiovasc Diagn. 1989;16:3-7.
2. Kiemeneij F, Laarman GJ. Percutaneous transradial artery approach for coronary stent implantation. Cathet Cardiovasc Diagn. 1993;30:173-178.
3. Feldman DN, Swaminathan RV, Kaltenbach LA, et al. Adoption of radial access and comparison of outcomes to femoral access in percutaneous coronary intervention: an updated report from the national cardiovascular data registry (2007-2012). Circulation. 2013;127:2295-2306.
4. Agostoni P, Biondi-Zoccai GG, de Benedictis ML, et al. Radial versus femoral approach for percutaneous coronary diagnostic and interventional procedures: systematic overview and meta-analysis of randomized trials. J Am Coll Cardiol. 2004;44:349-356.
5. Jolly SS, Yusuf S, Cairns J, et al. Radial versus femoral access for coronary angiography and intervention in patients with acute coronary syndromes (RIVAL): a randomised, parallel group, multicentre trial. Lancet. 2011;377:1409-1420.
6. Alnasser SM, Bagai A, Jolly SS, et al. Transradial approach for coronary angiography and intervention in the elderly: a meta-analysis of 777,841 patients. Int J Cardiol. 2017;228:45-51.
7. De Luca G, Schaffer A, Wirianta J, Suryapranata H. Comprehensive meta-analysis of radial vs femoral approach in primary angioplasty for STEMI. Int J Cardiol. 2013;168:2070-2081.
8. Cooper CJ, El-Shiekh RA, Cohen DJ, et al. Effect of transradial access on quality of life and cost of cardiac catheterization: a randomized comparison. Am Heart J. 1999;138:430-436.
9. Amin AP, House JA, Safley DM, et al. Costs of transradial percutaneous coronary intervention. JACC Cardiovasc Interv. 2013;6:827-834.
10. Hess CN, Peterson ED, Neely ML, et al. The learning curve for transradial percutaneous coronary intervention among operators in the United States: a study from the National Cardiovascular Data Registry. Circulation. 2014;129:2277-2286.
11. Ball WT, Sharieff W, Jolly SS, et al. Characterization of operator learning curve for transradial coronary interventions. Circ Cardiovasc Interv. 2011;4:336-341.
12. Allen E. Thromboangiitis obliterans: methods of diagnosis of chronic occlusive arterial lesions distal to the wrist with illustrative cases. Am J Med Sci. 1929;178:237-244.
13. Barbeau GR, Arsenault F, Dugas L, et al. Evaluation of the ulnopalmar arterial arches with pulse oximetry and plethysmography: comparison with the Allen’s test in 1010 patients. Am Heart J. 2004;147:489-493.
14. Valgimigli M, Campo G, Penzo C, et al. Transradial coronary catheterization and intervention across the whole spectrum of Allen test results. J Am Coll Cardiol. 2014;63:1833-1841.
15. Pancholy SB, Sanghvi KA, Patel TM. Radial artery access technique evaluation trial: randomized comparison of Seldinger versus modified Seldinger technique for arterial access for transradial catheterization. Catheter Cardiovasc Interv. 2012;80:288-291.
16. Sanghvi KA. Ten critical lessons for performing transradial catheterization. Endovascular Today. 2014;13:62-67.
17. Pancholy SB, Coppola J, Patel T. Subcutaneous administration of nitroglycerin to facilitate radial artery cannulation. Catheter Cardiovasc Interv. 2006;68:389-391.
18. Beyer AT, Ng R, Singh A, et al. Topical nitroglycerin and lidocaine to dilate the radial artery prior to transradial cardiac catheterization: a randomized, placebo-controlled, double-blind clinical trial: the PRE-DILATE study. Int J Cardiol. 2013;168:2575-2578.
19. Rathore S, Stables RH, Pauriah M, et al. Impact of length and hydrophilic coating of the introducer sheath on radial artery spasm during transradial coronary intervention: a randomized study. JACC Cardiovasc Interv. 2010;3:475-483.
20. Koga S, Ikeda S, Futagawa K, et al. The use of a hydrophilic-coated catheter during transradial cardiac catheterization is associated with a low incidence of radial artery spasm. Int J Cardiol. 2004;96:255-258.
21. Kozak M, Adams DR, Ioffreda MD, et al. Sterile inflammation associated with transradial catheterization and hydrophilic sheaths. Catheter Cardiovasc Interv. 2003;59:207-213.
22. Saito S, Ikei H, Hosokawa G, Tanaka S. Influence of the ratio between radial artery inner diameter and sheath outer diameter on radial artery flow after transradial coronary intervention. Catheter Cardiovasc Interv. 1999;46:173-178.
23. Uglietta JP, Kadir S. Arteriographic study of variant arterial anatomy of the upper extremities. Cardiovasc Intervent Radiol. 1989;12:145-148.
24. Patel T, Shah S, Pancholy S. Balloon-assisted tracking of a guide catheter through difficult radial anatomy: a technical report. Catheter Cardiovasc Interv. 2013;81:E215-218.
25. Cha KS, Kim MH, Kim HJ. Prevalence and clinical predictors of severe tortuosity of right subclavian artery in patients undergoing transradial coronary angiography. Am J Cardiol. 2003;92:1220-1222.
26. Abhaichand RK, Louvard Y, Gobeil JF, et al. The problem of arteria lusoria in right transradial coronary angiography and angioplasty. Catheter Cardiovasc Interv. 2001;54:196-201.
27. Hildick-Smith DJ, Walsh JT, Lowe MD, et al. Transradial coronary angiography in patients with contraindications to the femoral approach: an analysis of 500 cases. Catheter Cardiovasc Interv. 2004;61:60-66.
28. Ho HH, Jafary FH, Ong PJ. Radial artery spasm during transradial cardiac catheterization and percutaneous coronary intervention: incidence, predisposing factors, prevention, and management. Cardiovasc Revasc Med. 2012;13:193-195.
29. Ruiz-Salmeron RJ, Mora R, Velez-Gimon M, et al. [Radial artery spasm in transradial cardiac catheterization. Assessment of factors related to its occurrence, and of its consequences during follow-up]. Rev Esp Cardiol. 2005;58:504-511.
30. Ercan S, Unal A, Altunbas G, et al. Anxiety score as a risk factor for radial artery vasospasm during radial interventions: a pilot study. Angiology. 2014;65:67-70.
31. Deftereos S, Giannopoulos G, Raisakis K, et al. Moderate procedural sedation and opioid analgesia during transradial coronary interventions to prevent spasm: a prospective randomized study. JACC Cardiovasc Interv. 2013;6:267-273.
32. Coppola J, Patel T, Kwan T, et al. Nitroglycerin, nitroprusside, or both, in preventing radial artery spasm during transradial artery catheterization. J Invasive Cardiol. 2006;18:155-158.
33. Chen CW, Lin CL, Lin TK, Lin CD. A simple and effective regimen for prevention of radial artery spasm during coronary catheterization. Cardiology. 2006;105:43-47.
34. Varenne O, Jegou A, Cohen R, et al. Prevention of arterial spasm during percutaneous coronary interventions through radial artery: the SPASM study. Catheter Cardiovasc Interv. 2006;68:231-235.
35. Boyer N, Beyer A, Gupta V, et al. The effects of intra-arterial vasodilators on radial artery size and spasm: implications for contemporary use of trans-radial access for coronary angiography and percutaneous coronary intervention. Cardiovasc Revasc Med. 2013;14:321-324.
36. Dahm JB, Vogelgesang D, Hummel A, et al. A randomized trial of 5 vs. 6 French transradial percutaneous coronary interventions. Catheter Cardiovasc Interv. 2002;57:172-176.
37. Caussin C, Gharbi M, Durier C, et al. Reduction in spasm with a long hydrophylic transradial sheath. Catheter Cardiovasc Interv. 2010;76:668-672.
38. Mamas M, D’Souza S, Hendry C, et al. Use of the sheathless guide catheter during routine transradial percutaneous coronary intervention: a feasibility study. Catheter Cardiovasc Interv. 2010;75:596-602.
39. Cheaito R, Benamer H, Hovasse T, et al. Feasibility and safety of transradial coronary interventions using a 6.5-F sheathless guiding catheter in patients with small radial arteries. Catheter Cardiovasc Interv. 2015;86:51-58.
40. Bertrand OF, Rao SV, Pancholy S, et al. Transradial approach for coronary angiography and interventions: results of the first international transradial practice survey. JACC Cardiovasc Interv. 2010;3:1022-1031.
41. Valsecchi O, Vassileva A. Safety and feasibility of selective angiography of left internal mammary artery grafts via right transradial approach. Indian Heart J. 2010;62:255-257.
42. Rhyne D, Mann T. Hand ischemia resulting from a transradial intervention: successful management with radial artery angioplasty. Catheter Cardiovasc Interv. 2010;76:383-386.
43. Rashid M, Kwok CS, Pancholy S, et al. Radial artery occlusion after transradial interventions: a systematic review and meta-analysis. J Am Heart Assoc. 2016;5.
44. Nagai S, Abe S, Sato T, et al. Ultrasonic assessment of vascular complications in coronary angiography and angioplasty after transradial approach. Am J Cardiol. 1999;83:180-186.
45. Zankl AR, Andrassy M, Volz C, et al. Radial artery thrombosis following transradial coronary angiography: incidence and rationale for treatment of symptomatic patients with low-molecular-weight heparins. Clin Res Cardiol. 2010;99:841-847.
46. Spaulding C, Lefevre T, Funck F, et al. Left radial approach for coronary angiography: results of a prospective study. Cathet Cardiovasc Diagn. 1996;39:365-370.
47. Schiano P, Barbou F, Chenilleau MC, et al. Adjusted weight anticoagulation for radial approach in elective coronarography: the AWARE coronarography study. EuroIntervention. 2010;6:247-250.
48. Pancholy SB. Comparison of the effect of intra-arterial versus intravenous heparin on radial artery occlusion after transradial catheterization. Am J Cardiol. 2009;104:1083-1085.
49. Rao SV, Tremmel JA, Gilchrist IC, et al. Best practices for transradial angiography and intervention: a consensus statement from the society for cardiovascular angiography and intervention’s transradial working group. Catheter Cardiovasc Interv. 2014;83:228-236.
50. Pancholy S, Coppola J, Patel T, Roke-Thomas M. Prevention of radial artery occlusion-patent hemostasis evaluation trial (PROPHET study): a randomized comparison of traditional versus patency documented hemostasis after transradial catheterization. Catheter Cardiovasc Interv. 2008;72:335-340.
51. Pancholy SB, Patel TM. Effect of duration of hemostatic compression on radial artery occlusion after transradial access. Catheter Cardiovasc Interv. 2012;79:78-81.
52. Lavi S, Cheema A, Yadegari A, et al. Randomized trial of compression duration after transradial cardiac catheterization and intervention. J Am Heart Assoc. 2017;6:e005029.
Anthony Wassef, MD, FRCPC
Division of Cardiology
St. Michael’s Hospital
University of Toronto
Toronto, Ontario, Canada
Disclosures: None.
Asim N. Cheema, MD, PhD, FRCPC
Division of Cardiology
St. Michael’s Hospital
University of Toronto
Toronto, Ontario, Canada
cheemaa@smh.ca
Disclosures: None.
Advertisement
Advertisement