Advertisement
Advertisement
March/April 2017
Echocardiographic Aortic Annulus Sizing for TAVR
Can it be done, and is this approach reliable and accurate?
Aortic annulus anatomy has become a crucial component of preprocedural planning in transcatheter aortic valve replacement (TAVR) procedures.1 Annulus sizing is essential to procedural success and to avoid complications such as perivalvular regurgitation, annular disruption, valve embolization, and coronary occlusion.2-4 There is increasing evidence that echocardiographic sizing of the aortic annulus is accurate and is comparable to multidetector computed tomography (MDCT) sizing.5-8 This article describes two-dimensional (2D) and three-dimensional (3D) echocardiographic methods to measure the aortic annulus for accurate annular sizing.
CHALLENGES IN MEASURING THE AORTIC ANNULUS
The aortic annulus is a dynamic structure that changes shape during the cardiac cycle. In systole, the aortic annulus becomes less elliptical due to the shift of the aortomitral continuity from the membranous septum. During diastole, the aortic annulus becomes more elliptical.9 Because of the dynamic changes to the aortic annulus, any linear measurement, especially if made in the smallest dimension, can underestimate the aortic annulus size. Some studies have even proposed that the annular perimeter may be a better way to size the aortic annulus because it integrates annular diameters and shows minimal variation during the cardiac cycle.9 In addition, after transcatheter valve implantation, the aortic annulus itself changes shape, going from a more elliptical structure to a circular structure, especially with the balloon-expandable transcatheter valves.10,11
TWO-DIMENSIONAL ECHOCARDIOGRAPHY
Two-dimensional echocardiography plays a crucial role in transcatheter valve implantation procedures and can also be used in aortic annular sizing. In fact, MDCT and echocardiography may be complementary techniques in this situation. According to the American Society of Echocardiography, the aortic annulus is measured in the parasternal long axis view on transthoracic echocardiography (TTE) or the midesophageal long-axis view on transesophageal echocardiography (TEE).12 The distance is measured between the leaflet insertions of the leaflet on the top of the image to that of the bottom of the image (Figure 1A).
Figure 1. Two-dimensional TEE measurement of the aortic annulus (A). The measurement is made under the aortic valve from the hinge point of one leaflet to another. This measurement should be undertaken in the midesophageal long-axis view of TEE. The orange arrow (B) demonstrates measuring a smaller dimension than what the annulus actually is. This is one of the limitations of 2D TEE annular dimension measurement. The white arrow (B) demonstrates the true sagittal measurement. However, because the annulus is not a perfect circle, the coronal measurement may be larger, again underestimating the annular size. Note that the 2D linear measurement is perpendicular to the long axis of the aorta (C). Biplane imaging across the short axis of the aortic valve may help prevent some of the issues with off-axis measurements of the aortic annulus (D).
The problem with this technique is that measurements made using the leaflet insertions may not transect the full diameter of the aortic annulus; instead, the measurement could be a tangent across the aortic annulus, thus grossly underestimating the annulus size (Figure 1B). When measuring the aortic annulus, care should be taken to exclude or to measure around the significant calcification that can be frequently present along leaflet attachments in patients with severe aortic stenosis. In addition, one must ensure that the measurement of the annular plane is perpendicular to the long axis of the aorta, as this can prevent some of the problems encountered with tangential measurements of the annulus (Figure 1C).
In biplane imaging, bisecting the short axis of the aortic valve produces a longitudinal image and may help in obtaining the largest annular diameter (Figure 1D). This may overcome some of the issues of tangential measurements of the annulus. Despite the limitation of 2D echocardiography for annular sizing, it can give a quick idea of what the appropriate valve size would be for any given patient. For instance, in the case of balloon-expandable valves, a 2D linear measurement of 24 mm would imply the use of a 26-mm valve, and a 2D linear measurement of 27 mm would imply the use of a 29-mm valve.
However, studies have shown that there are differences even between TTE- versus TEE-derived aortic annulus area. Although 2D TEE gives one linear measurement of the aortic annulus, 3D TEE, similarly to MDCT, provides sagittal and coronal measurements of the annulus. Sagittal measurements are smaller than coronal measurements, hence underestimating the annulus when using 2D echo. Three-dimensional TEE-derived coronal and sagittal measurements have been shown to correlate well with MDCT-derived measurements of the annulus.13
THREE-DIMENSIONAL ECHOCARDIOGRAPHY
Three-dimensional TEE has many advantages over 2D imaging and has been shown to closely correlate with MDCT measurements. It not only measures the sagittal and coronal planes of the annulus, but also allows direct planimetry of the short axis of the annulus. The latter is not feasible with 2D imaging, as the operator may not be completely at the annular plane when making the measurement. The American and European Society of Echocardiography provide guidelines on image acquisition when using 3D echocardiography to size the aortic annulus.14
Three-dimensional TEE imaging still relies on optimal 2D images; suboptimal 2D images produce unreliable 3D images. There are three basic modes of image acquisition when using the iE33 ultrasound system (Philips Healthcare). The live 3D function provides an easy view of the aortic valve; however, despite the higher frame rate, it only allows for a narrow sector width. In addition, it does not allow for offline measurements of the aortic annulus. The second type of 3D function on this machine is the 3D zoom. This function allows for image acquisition when there are arrhythmias, albeit at the expense of spatial resolution and a low frame rate. There is a full-volume acquisition mode in which multiple 3D volumes are acquired over several beats and stitched together. This provides better temporal and spatial resolution, but this function requires a stable rhythm and electrocardiography. It is also affected by patient respiration. Thus, when acquiring images to measure the aortic annulus, a one- to two-beat capture can be selected to overcome the problem of a stitch artifact (created by misalignment of the various 3D volumes). There is yet another mode, the high volume rate acquisition mode, in which the image can be captured in a one-beat acquisition, which is especially advantageous in the setting of arrhythmias. However, the tradeoff for this ability is lower spatial resolution.
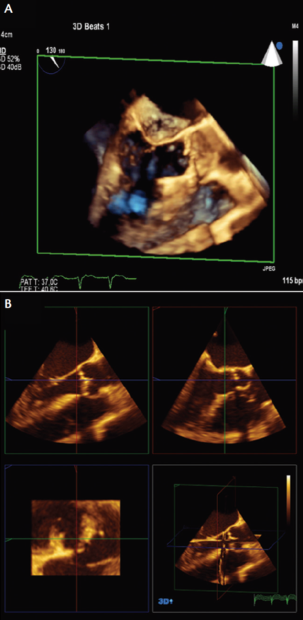
Figure 2. A 3D full-volume acquisition obtained in a long-axis view on TEE (A). The initial 2 X 2 screen that shows up when QLAB and the 3DQ function are accessed (B).
Generally, the full-volume 3D function with a one- or two-beat acquisition provides images that can give reliable annular measurements. The depth and gain must be optimized, and the TEE image has to be acquired in the long-axis view capturing the aortic valve, aortic annulus, left ventricular outflow tract (LVOT), aortic root, and part of the ascending aorta (Figure 2A). Once this image has been obtained, the commercially available QLAB software (Philips Healthcare) allows for manipulation of the 3D volumes, where a short-axis view of the annulus can be obtained by adjusting the sagittal and coronal views of the long-axis image. After opening the 3D quantification (3DQ) package in QLAB, the following steps can then be undertaken to obtain the aortic annulus:
1. Once the 3DQ package is opened, a 2 X 2 screen appears, which provides a coronal, sagittal, and transverse view of the aortic annulus (Figure 2B).
2. Scroll the image and select the mid-systolic frame.
3. Select the long-axis image and start adjusting the planes by dragging the red plane to sit right at the hinge point of the aortic valve with the blue plane perpendicular to the red plane (and parallel to the aorta) (Figure 3A).
4. Now select the red plane in Figure 3B and align it under the aortic valve, right at the hinge point of the aortic valve, then align the green plane to be perpendicular to the red plane and parallel to the aorta.
5. A short-axis image (Figure 3C) can be selected, along with the “Area” function, and the area can then be continuously traced.
6. The coronal and sagittal measurements are displayed in Figure 3C, which also shows the area and the two linear measurements.
Figure 3. After selecting a mid-systolic frame, the red plane is initially aligned just underneath the aortic valve close to the hinge points of the aortic leaflets (A). The blue plane then is aligned parallel to the aorta and perpendicular to the red plane. Similarly in this figure, the red plane is aligned underneath the aortic valve at the leaflet insertions, then the green plane is aligned parallel to the aorta and perpendicular to the red plane (B). After aligning the red, blue, and green planes, the short-axis view of the aortic annulus is obtained (C). This frame can be magnified for ease of measurement. The sagittal and coronal dimensions can also be measured from this function, along with the area. This patient had an annular dimension of 29 X 31 mm, with an area of 682 mm2.
This method has some obvious limitations. Besides the lack of optimal images and the appropriate spatial resolution, measuring the annulus may prove challenging when there is bulky calcium extending into the LVOT. It also requires considerable familiarity and expertise with the functions and manipulation of the planes and images to ensure that the annulus is measured in the correct plane. In addition, it requires the user to be familiar with the limitations of ultrasound physics and to be mindful of dropout due to acoustic shadowing.
The advantages of 3D TEE for annular sizing is that it obviates the need for contrast administration during CT scanning, especially in patients with renal dysfunction. It can also be performed in real-time during the procedure. There are other ultrasound vendors that have automated packages available that, with the push of a few buttons, should eliminate the need to extensively adjust the various planes. The vendors claim that this automated method of obtaining the annulus has been tested in several patients against CT scans. However, echocardiographers should still ensure that the images obtained by these automated software packages correctly measure the true aortic annulus and understand that even in the best software packages, significant errors can occur due to suboptimal images or acoustic shadowing. In addition, there are now 3D packages that can acquire multiple volumes for a cleaner, smoother image while eliminating the stitch artifact.
CONCLUSION
Echocardiography is an essential tool in transcatheter aortic valve procedures. Both 2D and 3D images can be used to size the aortic annulus, with 3D TEE providing certain advantages over 2D imaging. Three-dimensional imaging and annular sizing does require considerable experience, and it is crucial that echocardiographers involved in these procedures be extremely familiar with these techniques. With the rise of these procedures and the increasing need to be efficient during these cases, there is a rise in automated software packages that allow for rapid assessment of the annulus; however, the echocardiographer should be aware of the advantages and limitations of these technologies as well.
1. Holmes DR Jr, Mack MJ, Kaul S, et al. 2012 ACCF/AATS/SCAI/STS expert consensus document on transcatheter aortic valve replacement: developed in collaboration with the American Heart Association, American Society of Echocardiography, European Association for Cardio-Thoracic Surgery, Heart Failure Society of America, Mended Hearts, Society of Cardiovascular Anesthesiologists, Society of Cardiovascular Computed Tomography, and Society for Cardiovascular Magnetic Resonance. Ann Thorac Surg. 2012;93:1340-1395.
2. Athappan G, Patvardhan E, Tuzcu EM, et al. Incidence, predictors, and outcomes of aortic regurgitation after transcatheter aortic valve replacement: meta-analysis and systematic review of literature. J Am Coll Cardiol. 2013;61:1585-1595.
3. Ribeiro HB, Nombela-Franco L, Urena M, et al. Coronary obstruction following transcatheter aortic valve implantation: a systematic review. JACC Cardiovasc Interv. 2013;6:452-461.
4. Hahn RT, Khalique O, Williams MR, et al. Predicting paravalvular regurgitation following transcatheter valve replacement: utility of a novel method for three-dimensional echocardiographic measurements of the aortic annulus. J Am Soc Echocardiogr. 2013;26:1043-1052.
5. Janosi RA, Kahlert P, Plicht B, et al. Measurement of the aortic annulus size by real-time three-dimensional transesophageal echocardiography. Minim Invasive Ther Allied Technol. 2011;20:85-94.
6. Tsang W, Bateman MG, Weinert L, et al. Accuracy of aortic annular measurements obtained from three-dimensional echocardiography, CT and MRI: human in vitro and in vivo studies. Heart. 2012;98:1146-1152.
7. Smith LA, Dworakowski R, Bhan A, et al. Real-time three-dimensional transesophageal echocardiography adds value to transcatheter aortic valve implantation. J Am Soc Echocardiogr. 2013;26:359-369.
8. Khalique OK, Kodali SK, Paradis JM, et al. Aortic annular sizing using a novel 3-dimensional echocardiographic method: use and comparison with cardiac computed tomography. Circ Cardiovasc Imaging. 2014;7:155-163.
9. Hamdan A, Guetta V, Konen E, et al. Deformation dynamics and mechanical properties of the aortic annulus by 4-dimensional computed tomography: insights into the functional anatomy of the aortic valve complex and implications for transcatheter aortic valve therapy. J Am Coll Cardiol. 2012;59:119-127.
10. Ng AC, Delgado V, van der Kley F, et al. Comparison of aortic root dimensions and geometries before and after transcatheter aortic valve implantation by 2- and 3-dimensional transesophageal echocardiography and multislice computed tomography. Circ Cardiovasc Imaging. 2010;3:94-102.
11. Schultz CJ, Weustink A, Piazza N, et al. Geometry and degree of apposition of the CoreValve ReValving system with multislice computed tomography after implantation in patients with aortic stenosis. J Am Coll Cardiol. 2009;54:911-918.
12. Lang RM, Badano LP, Mor-Avi V, et al. Recommendations for cardiac chamber quantification by echocardiography in adults: an update from the American Society of Echocardiography and the European Association of Cardiovascular Imaging. J Am Soc Echocardiogr. 2015;28:1-39.
13. Altiok E, Koos R, Schroder J, et al. Comparison of two-dimensional and three-dimensional imaging techniques for measurement of aortic annulus diameters before transcatheter aortic valve implantation. Heart. 2011;97:1578-1584.
14. Lang RM, Badano LP, Tsang W, et al. EAE/ASE recommendations for image acquisition and display using three-dimensional echocardiography. Eur Heart J Cardiovasc Imaging. 2012;13:1-46.
Nishath Quader, MD
Washington University School of Medicine
St. Louis, Missouri
nquader@wustl.edu
Disclosures: None.
Advertisement
Advertisement